MUC5AC Antibody (MUC5AC/7066R) - Azide and BSA Free

Images

 
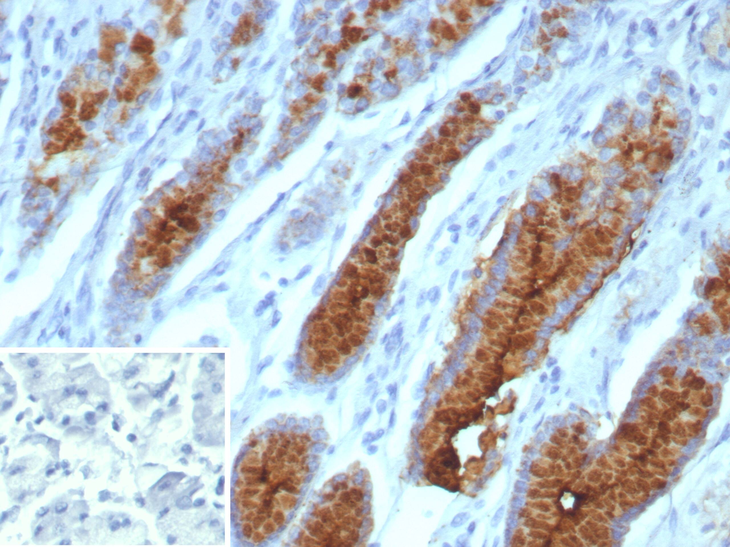
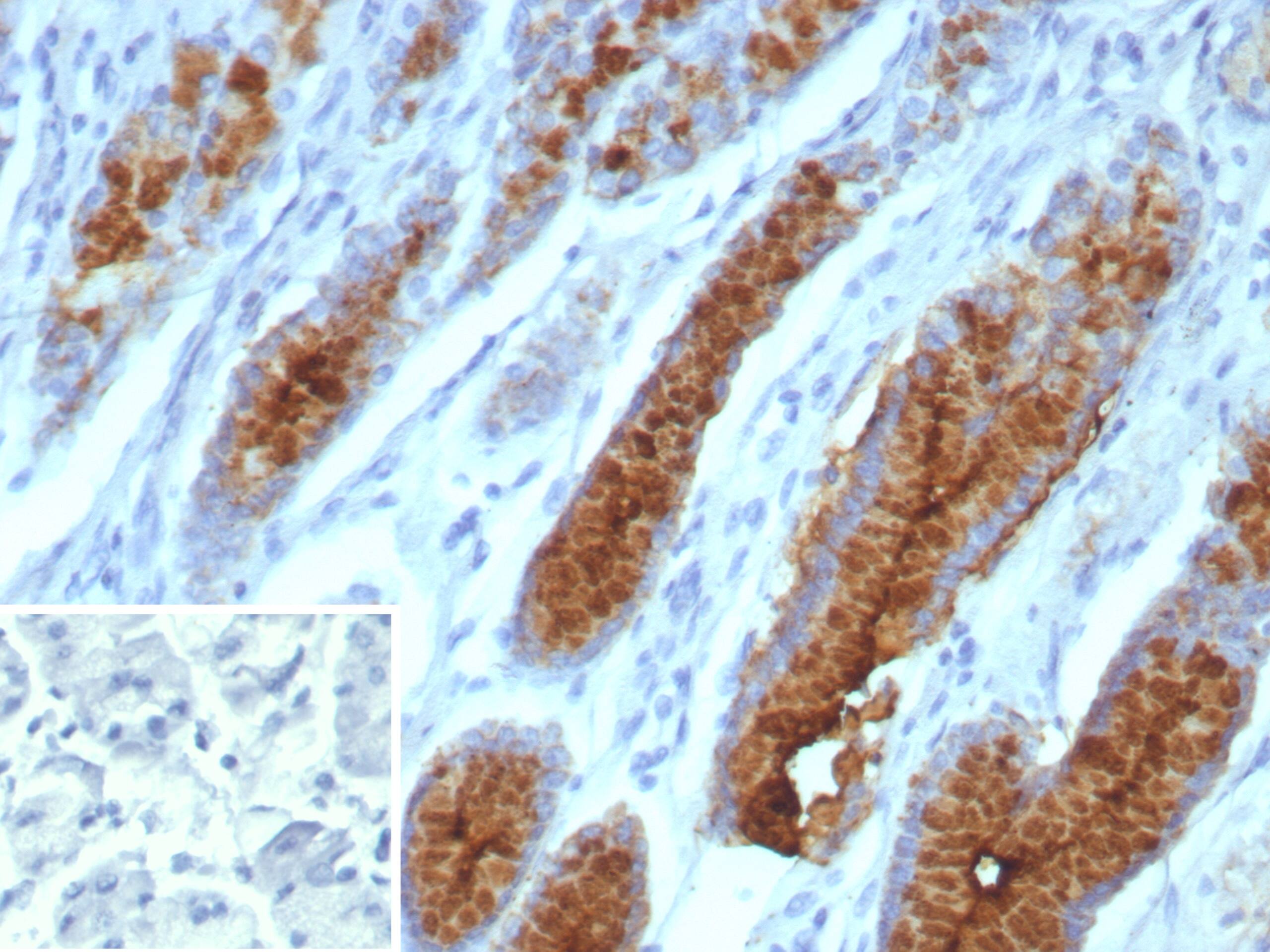
Formalin-fixed, paraffin-embedded human stomach stained with MUC5AC Antibody (MUC5AC/7066R) - Azide and BSA Free. Inset: PBS instead of primary antibody; secondary only negative control.

Product Details

Summary
Reactivity HuSpecies Glossary
Applications WB, Flow, ICC/IF, IHC
Clone
MUC5AC/7066R
Clonality
Monoclonal
Host
Rabbit
Conjugate
Unconjugated
Format
Azide and BSA Free
Concentration
1 mg/ml

Order Details

MUC5AC Antibody (MUC5AC/7066R) - Azide and BSA Free Summary

Description
1.0 mg/ml of antibody purified from Bioreactor Concentrate by Protein A/G. Prepared in 10mM PBS WITHOUT BSA & azide. Also available at 200 ug/ml WITH BSA & azide (NBP3-13974).

Antibody with azide - store at 2 to 8C. Antibody without azide - store at -20 to -80 C.
Additional Information
Recombinant Monoclonal Antibody
Immunogen
Recombinant full-length human MUC5AC protein (Uniprot: P98088 )
Localization
Cytoplasm
Specificity
This monoclonal antibody recognizes the peptide core of gastric mucin M1 (recently identified as Mucin 5AC. Its epitope is located in the N-terminal cysteine rich part of the peptide core of MUC5AC. Its epitope is destroyed by beta-mercaptoethanol. This mucin is present in primary ovarian mucinous cancer but usually absent in colorectal adenocarcinoma, thus showing an expression pattern opposite to MUC2.Together with a panel of antibodies, Anti-MUC5AC may be useful for differential identification of primary mucinous ovarian tumors from colon adenocarcinoma metastatic to the ovary. MUC5AC antibodies may also be useful for identification of intestinal metaplasia as well as in the identification of pancreatic carcinoma and pre-cancerous changes vs. normal pancreas.
Isotype
IgG
Clonality
Monoclonal
Host
Rabbit
Gene
MUC5AC
Purity
Protein A or G purified
Innovator's Reward
Test in a species/application not listed above to receive a full credit towards a future purchase.

Applications/Dilutions

Dilutions
  • Flow Cytometry 1-2 ug/million cells
  • Immunocytochemistry/ Immunofluorescence 1-2 ug/ml
  • Immunohistochemistry-Paraffin 1-2 ug/ml
  • Western Blot 1-2 ug/ml
Application Notes
Immunohistochemistry (Formalin-fixed): 1-2ug/ml for 30 minutes at RT. Staining of formalin-fixed tissues requires heating tissue sections in 10mM Tris with 1mM EDTA, pH 9.0, for 45 min at 95C followed by cooling at RT for 20 minutes

Western Blot must be performed under non-reducing conditions only.

Reactivity Notes

Predicted to react in Monkey, Bovine, Feline and Mouse.

Packaging, Storage & Formulations

Storage
Store at -20 to -80C. Avoid freeze-thaw cycles.
Buffer
10mM PBS
Preservative
No Preservative
Concentration
1 mg/ml
Purity
Protein A or G purified

Alternate Names for MUC5AC Antibody (MUC5AC/7066R) - Azide and BSA Free

  • gastric mucin
  • leB
  • lewis B blood group antigen
  • major airway glycoprotein
  • MUC5
  • mucin 5, subtypes A and C, tracheobronchial/gastric
  • mucin 5AC, oligomeric mucus/gel-forming pseudogene
  • mucin 5AC, oligomeric mucus/gel-forming
  • mucin-5 subtype AC, tracheobronchial
  • mucin-5AC
  • TBM
  • tracheobronchial mucin

Background

Mucin 5, subtype AC (MUC5AC) is a gel-forming secreted mucin that functions as a protective barrier on surface of epithelial tissues (1-2). MUC5AC is expressed primarily by goblet cells of the surface epithelium, including in the stomach, respiratory tract, gall bladder, endocervix, and endometrium (1-3). Human MUC5AC is located on chromosome 11p15.5, consisting of 5654 amino acids and has a N-terminus, tandem-repeat region (TRR), and a C-terminus, with a theoretical molecular weight of ~585 kDa (1-4). More specifically, the N-terminus contains four von Willebrand factor type D domains, where D1 also has a leucine zipper pattern (1). The TRR is further divided into nine CysD domains and four PTS-rich tandem repeats (1). Finally, the C-terminus has a D4-, B-, C-, and CK-domain (1). The TRR is a site of heavy O-glycosylation that functions in gel and polypeptide formation (1,3).

Given that MUC5AC is the primary mucin produced and secreted by cells lining airway, it is understandable that its expression is dysregulated in a number of respiratory diseases (1,3,5,6). For instance, MUC5AC is overexpressed in asthma and the protein is also more highly glycosylated, specifically fucosylated, in the disease state (1,3,7). Additionally, its overproduction is a key feature in chronic obstructive pulmonary disease (COPD) contributing to mucosal blockage (6). Multiple pathways are associated with overproduction of MUC5AC including NFkappaB, the primary pathway for production and secretion, and also the MAPK and STAT6 pathways (3). In addition to conventional, synthetic therapeutics agents, researchers are exploring natural MUC5AC inhibitors such as flavonoids, glycosides, and steroids to treat associated disorders (3).

References

1. Krishn, S. R., Ganguly, K., Kaur, S., & Batra, S. K. (2018). Ramifications of secreted mucin MUC5AC in malignant journey: a holistic view. Carcinogenesis. https://doi.org/10.1093/carcin/bgy019

2. Ballester, B., Milara, J., & Cortijo, J. (2019). Mucins as a New Frontier in Pulmonary Fibrosis. Journal of clinical medicine. https://doi.org/10.3390/jcm8091447

3. Samsuzzaman, M., Uddin, M. S., Shah, M. A., & Mathew, B. (2019). Natural inhibitors on airway mucin: Molecular insight into the therapeutic potential targeting MUC5AC expression and production. Life sciences. https://doi.org/10.1016/j.lfs.2019.05.041

4. Uniprot (P98088)

5. Li, J., & Ye, Z. (2020). The Potential Role and Regulatory Mechanisms of MUC5AC in Chronic Obstructive Pulmonary Disease. Molecules (Basel, Switzerland). https://doi.org/10.3390/molecules25194437

6. Bonser, L. R., & Erle, D. J. (2017). Airway Mucus and Asthma: The Role of MUC5AC and MUC5B. Journal of clinical medicine. https://doi.org/10.3390/jcm6120112

Limitations

This product is for research use only and is not approved for use in humans or in clinical diagnosis. Primary Antibodies are guaranteed for 1 year from date of receipt.

Customers Who Viewed This Item Also Viewed...

NB120-11197
Species: Hu, Mu
Applications: Flow-IC, Flow, ICC/IF (-), IHC, IHC-Fr,  IHC-P, WB
NB120-22711
Species: Hu, Mu
Applications: ELISA, Flow, ICC/IF, IHC, IHC-Fr,  IHC-P
NBP2-44374
Species: Hu
Applications: Flow, ICC/IF, IF, IHC,  IHC-P, IP, WB
NBP1-92151
Species: Hu
Applications: ICC/IF, IHC,  IHC-P
H00004585-M07
Species: Hu, Mu
Applications: ELISA, IHC,  IHC-P, WB
AF231
Species: Hu
Applications: CyTOF-ready, Dual ISH-IHC, ELISA(Cap), ELISA(Det), ELISA(Sta), Flow, ICC, IHC, IP, Simple Western, WB
DY413
Species: Mu
Applications: ELISA
NBP2-67309
Species: Hu, Rt
Applications: Flow, ICC/IF, IHC,  IHC-P, IP, WB
AF1126
Species: Mu
Applications: ELISA(Cap), ELISA(Det), ELISA(Sta), IHC, IP, WB
NBP2-47940
Species: Hu
Applications: CyTOF-ready, Flow, ICC/IF, IF, IHC,  IHC-P, Simple Western, WB
NBP2-44434
Species: Hu, Rt(-)
Applications: Flow, ICC/IF, IF, IHC,  IHC-P
NBP2-24583
Species: Bv, Eq, Hu, Mu, Ma-Op, Pm, Rt
Applications: IHC,  IHC-P, WB
NB200-103
Species: Hu, Mu, Rt, Xp(-), Ye
Applications: CyTOF-ready, ELISA, Flow-IC, Flow, ICC/IF, IHC, IHC-Fr,  IHC-P, IP, WB
DY4517-05
Species: Mu
Applications: ELISA
236-EG
Species: Hu
Applications: BA
AF1230
Species: Hu, Mu, Rt
Applications: IHC, KO, WB
NBP2-22203
Species: Hu, Pm, Mu, Rt
Applications: ELISA, Flow, ICC/IF, IHC,  IHC-P, WB
NBP1-82045
Species: Hu
Applications: IHC,  IHC-P
NBP3-14003
Species: Hu
Applications: WB, Flow, ICC/IF, IHC

Publications for MUC5AC Antibody (NBP3-14003) (0)

There are no publications for MUC5AC Antibody (NBP3-14003).
By submitting your publication information earn gift cards and discounts for future purchases.

Reviews for MUC5AC Antibody (NBP3-14003) (0)

There are no reviews for MUC5AC Antibody (NBP3-14003). By submitting a review you will receive an Amazon e-Gift Card or Novus Product Discount.
  • Review with no image -- $10/€7/£6/$10 CAD/¥70 Yuan/¥1110 Yen
  • Review with an image -- $25/€18/£15/$25 CAD/¥150 Yuan/¥2500 Yen

Product General Protocols

Find general support by application which include: protocols, troubleshooting, illustrated assays, videos and webinars.

Video Protocols

WB Video Protocol
ICC/IF Video Protocol

FAQs for MUC5AC Antibody (NBP3-14003) (0)

There are no specific FAQs related to this product. Read our general customer & technical service FAQs.

Secondary Antibodies

 

Isotype Controls

Additional MUC5AC Products

Research Areas for MUC5AC Antibody (NBP3-14003)

Find related products by research area.

Blogs on MUC5AC.

Spheroids vs. Organoids: Which 3D Cell Culture Model is Best for You?
By Jennifer Jones, M.S.Spheroids and organoids are two words that, like “butter” and “margarine”, are often referred to interchangeably but have distinct meanings. The progression and adopt...  Read full blog post.

Customers Who Bought This Also Bought

Contact Information

Product PDFs

Calculators

Concentration Calculator

The concentration calculator allows you to quickly calculate the volume, mass or concentration of your vial. Simply enter your mass, volume, or concentration values for your reagent and the calculator will determine the rest.

=
÷

Review this Product

Be the first to review our MUC5AC Antibody (MUC5AC/7066R) - Azide and BSA Free and receive a gift card or discount.

Bioinformatics

Gene Symbol MUC5AC