MUC5B Antibody - BSA Free

Images

 
Orthogonal Strategies: Immunohistochemistry-Paraffin: MUC5B Antibody [NBP1-92151] - Analysis in human cervix, uterine and skeletal muscle tissues. Corresponding MUC5B RNA-seq data are presented for the same ...read more
Immunocytochemistry/ Immunofluorescence: MUC5B Antibody [NBP1-92151] - Staining of human cell line A549 shows localization to vesicles. Antibody staining is shown in green.
Immunohistochemistry-Paraffin: MUC5B Antibody [NBP1-92151] - Staining of human skeletal muscle shows no positivity in myocytes as expected.
Immunohistochemistry-Paraffin: MUC5B Antibody [NBP1-92151] - Staining of human pancreas shows no positivity in exocrine glandular cells as expected.
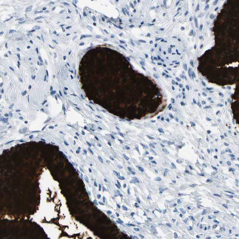
Immunohistochemistry-Paraffin: MUC5B Antibody [NBP1-92151] - Staining of human gallbladder shows very strong cytoplasmic positivity in glandular cells.
Immunohistochemistry-Paraffin: MUC5B Antibody [NBP1-92151] - Staining of human gallbladder shows very strong cytoplasmic positivity in glandular cells.
Immunohistochemistry-Paraffin: MUC5B Antibody [NBP1-92151] - Staining of human lower gastrointestinal shows strong extracellular space positivity in glandular cells.
Staining of human pancreas shows no positivity in exocrine glandular cells as expected.
Staining of human cervix, uterine shows very strong extracellular space positivity in glandular cells.
Orthogonal Strategies: Analysis in human cervix, uterine and skeletal muscle tissues using NBP1-92151 antibody. Corresponding MUC5B RNA-seq data are presented for the same tissues.

Product Details

Summary
Reactivity HuSpecies Glossary
Applications ICC/IF, IHC
Clonality
Polyclonal
Host
Rabbit
Conjugate
Unconjugated
Format
BSA Free
Validated by:
       

Orthogonal Strategies

 

Order Details

MUC5B Antibody - BSA Free Summary

Description
Novus Biologicals Rabbit MUC5B Antibody - BSA Free (NBP1-92151) is a polyclonal antibody validated for use in IHC and ICC/IF. Anti-MUC5B Antibody: Cited in 8 publications. All Novus Biologicals antibodies are covered by our 100% guarantee.
Immunogen
This antibody was developed against Recombinant Protein corresponding to amino acids: CTCTYEDRTYSYQDVIYNTTDGLGACLIAICGSNGTIIRKAVACPGTPATTPFTFTTAWVPHSTTSPALPVSTVCVREVCRWSSWYNGHRPEPGLGGGDFETFENLRQRGYQVCPVLA
Isotype
IgG
Clonality
Polyclonal
Host
Rabbit
Gene
MUC5B
Purity
Immunogen affinity purified
Innovator's Reward
Test in a species/application not listed above to receive a full credit towards a future purchase.

Applications/Dilutions

Dilutions
  • Immunocytochemistry/ Immunofluorescence 0.25-2 ug/ml
  • Immunohistochemistry 1:500 - 1:1000
  • Immunohistochemistry-Paraffin 1:500 - 1:1000
Application Notes
For IHC-Paraffin, HIER pH 6 retrieval is recommended. ICC/IF Fixation Permeabilization: Use PFA/Triton X-100.
Control Peptide
MUC5B Recombinant Protein Antigen (NBP1-92151PEP)
Publications
Read Publications using
NBP1-92151 in the following applications:

Packaging, Storage & Formulations

Storage
Store at 4C short term. Aliquot and store at -20C long term. Avoid freeze-thaw cycles.
Buffer
PBS (pH 7.2) and 40% Glycerol
Preservative
0.02% Sodium Azide
Purity
Immunogen affinity purified

Alternate Names for MUC5B Antibody - BSA Free

  • high molecular weight salivary mucin MG1
  • mucin 5, subtype B, tracheobronchial
  • mucin 5B, oligomeric mucus/gel-forming
  • sublingual gland mucin
  • tracheobronchial

Background

MUC5B, also known as Mucin 5B, is a long 5762 amino acid protein that is 596 kDa, expressed on surface airway epithelia, it is a major contributor to the lubricating and viscoelastic properties of whole saliva, normal lung mucus and cervical mucus. Disease research is being performed in relation to MUC5B and chronic obstructive pulmonary disease, cervicitis, sinusitis, polyposis, pseudomyxoma peritonei, otitis media, dry eye syndrome, ampulla of vater carcinoma, common cold, copd, dental caries, diffuse panbronchiolitis, biliary papillomatosis, panbronchiolitis, atrophic gastritis, Barrett's esophagus, cystic fibrosis lung disease, peptic ulcer, bronchitis, gastritis, sinusitis, asthma, laryngitis, and nasopharyngitis. This protein has been shown to have interactions with AMY1A, AMY1B, AMY1C, HTN1, STATH, and over 40 other proteins in Addition of GalNAc to the Tn antigen via an alpha-1,6 linkage forms a Core 7 glycoprotein, O-linked glycosylation of mucins, Metabolism of proteins, Post-translational protein modification, Addition of galactose to the Tn antigen via an alpha-1,3 linkage forms a Core 8 glycoprotein, Addition of GlcNAc to the Tn antigen via a beta-1,6 linkage forms a Core 6 glycoprotein, Termination of O-glycan biosynthesis, Salivary secretion, Mucin expression in CF via TLRs, EGFR signaling pathways, Mucin expression in CF via IL-6, IL-17 signaling pathways, and Selected targets of CREB1 pathways.

Limitations

This product is for research use only and is not approved for use in humans or in clinical diagnosis. Primary Antibodies are guaranteed for 1 year from date of receipt.

Customers Who Viewed This Item Also Viewed...

NBP2-15196
Species: Bv(-), Ch, Fe, Hu, Ma, Pm, Mu, Po, Rb, Rt
Applications: DB, Flow-IC, Flow, ICC/IF, IHC, IHC-Fr,  IHC-P, WB
NB120-11197
Species: Hu, Mu
Applications: Flow-IC, Flow, ICC/IF (-), IHC, IHC-Fr,  IHC-P, WB
NB120-22711
Species: Hu, Mu
Applications: ELISA, Flow, ICC/IF, IHC, IHC-Fr,  IHC-P
NBP1-82045
Species: Hu
Applications: IHC,  IHC-P
H00004585-M07
Species: Hu, Mu
Applications: ELISA, IHC,  IHC-P, WB
NBP2-44374
Species: Hu
Applications: Flow, ICC/IF, IF, IHC,  IHC-P, IP, WB
NBP2-44434
Species: Hu, Rt(-)
Applications: Flow, ICC/IF, IF, IHC,  IHC-P
DY413
Species: Mu
Applications: ELISA
AF231
Species: Hu
Applications: CyTOF-ready, Dual ISH-IHC, ELISA(Cap), ELISA(Det), ELISA(Sta), Flow, ICC, IHC, IP, Simple Western, WB
NBP2-22203
Species: Hu, Pm, Mu, Rt
Applications: ELISA, Flow, ICC/IF, IHC,  IHC-P, WB
MAB59151
Species: Mu
Applications: WB
NB120-10109
Species: Hu
Applications: CyTOF-ready, IHC,  IHC-P, S-ELISA, WB
NB600-586
Species: Ca, Fe, Hu, Mu
Applications: Dual ISH-IHC, ICC/IF, IHC, IHC-Fr,  IHC-P
NBP2-61118
Species: Hu, Mu
Applications: Flow, ICC/IF, IHC,  IHC-P, Simple Western, WB
5609-MU
Species: Hu
Applications: Bind
NBP1-92450
Species: Hu
Applications: IHC,  IHC-P

Publications for MUC5B Antibody (NBP1-92151)(9)

We have publications tested in 1 confirmed species: Human.

We have publications tested in 2 applications: ICC/IF, IF/IHC.


Filter By Application
ICC/IF
(1)
IF/IHC
(1)
All Applications
Filter By Species
Human
(2)
All Species
Showing Publications 1 - 9 of 9.
Publications using NBP1-92151 Applications Species
Gry M, Oksvold P, Ponten F et al. Tissue specific protein expression in human cells, tissues and organs. J Proteomics Bioinform 2010-01-01
Cao W, Li J, Che L et al. Single-cell transcriptomics reveals e-cigarette vapor-induced airway epithelial remodeling and injury Respiratory Research 2024-09-28 [PMID: 39342154]
Yong-Shun Ye, Di-Fei Chen, Ming Liu, Yu-Long Luo, Huan-Jie Chen, Hai-Kang Zeng, Jing-Wei Liu, Yi-Ping Zhu, Xin-Yu Song, Chang-Qin Lin, Zhu-Quan Su, Shi-Yue Li Autologous Airway Basal Cell Transplantation Alleviates Airway Epithelium Defect in Recurrent Benign Tracheal Stenosis Stem Cells Translational Medicine 2023-12-01 [PMID: 37804518]
Takahashi J, Mizutani T, Sugihara H et al. Suspension culture in a rotating bioreactor for efficient generation of human intestinal organoids Cell reports methods 2022-11-21 [PMID: 36452871] (IF/IHC, Human) IF/IHC Human
Yusuke Ueda, Haruta Mogami, Yosuke Kawamura, Masahito Takakura, Asako Inohaya, Eriko Yasuda, Yu Matsuzaka, Yoshitsugu Chigusa, Shinji Ito, Masaki Mandai, Eiji Kondoh Cervical MUC5B and MUC5AC are Barriers to Ascending Pathogens During Pregnancy. The Journal of clinical endocrinology and metabolism 2022-11-24 [PMID: 36112402]
Tan Y, Flynn W, Sivajothi S Et al. Single cell analysis of endometriosis reveals a coordinated transcriptional program driving immunotolerance and angiogenesis across eutopic and ectopic tissues Nat Cell Biol 2022-07-21 [PMID: 35864314]
Yin W, Liontos A, Koepke J et al. An essential function for autocrine Hedgehog signaling in epithelial proliferation and differentiation in the trachea bioRxiv 2022-01-01 [PMID: 35112129] (ICC/IF, Human) ICC/IF Human
Carrer M, Crosby Jr, Sun G et Al. Antisense Oligonucleotides Targeting Jagged 1 Reduce House Dust Mite-Induced Goblet Cell Metaplasia in the Adult Murine Lung Am. J. Respir. Cell Mol. Biol. 2020-03-16 [PMID: 32176858]
Meyerholz DK, Stoltz DA, Namati E et al. Loss of cystic fibrosis transmembrane conductance regulator function produces abnormalities in tracheal development in neonatal pigs and young children. Am J Respir Crit Care Med 2010-11-01 [PMID: 20622026]

Reviews for MUC5B Antibody (NBP1-92151) (0)

There are no reviews for MUC5B Antibody (NBP1-92151). By submitting a review you will receive an Amazon e-Gift Card or Novus Product Discount.
  • Review with no image -- $10/€7/£6/$10 CAD/¥70 Yuan/¥1110 Yen
  • Review with an image -- $25/€18/£15/$25 CAD/¥150 Yuan/¥2500 Yen

Product General Protocols

Find general support by application which include: protocols, troubleshooting, illustrated assays, videos and webinars.

Video Protocols

ICC/IF Video Protocol

FAQs for MUC5B Antibody (NBP1-92151) (0)

There are no specific FAQs related to this product. Read our general customer & technical service FAQs.

Secondary Antibodies

 

Isotype Controls

Additional MUC5B Products

Research Areas for MUC5B Antibody (NBP1-92151)

Find related products by research area.

Blogs on MUC5B

There are no specific blogs for MUC5B, but you can read our latest blog posts.

Customers Who Bought This Also Bought

Contact Information

Product PDFs

Calculators

Concentration Calculator

The concentration calculator allows you to quickly calculate the volume, mass or concentration of your vial. Simply enter your mass, volume, or concentration values for your reagent and the calculator will determine the rest.

=
÷

Review this Product

Be the first to review our MUC5B Antibody - BSA Free and receive a gift card or discount.

Bioinformatics

Gene Symbol MUC5B