MUC20 Antibody - Azide and BSA Free

Images

 
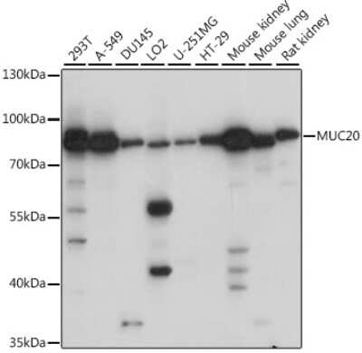
Western Blot: MUC20 Antibody [NBP2-94455] - Analysis of extracts of various cell lines, using MUC20 at 1:1000 dilution.Secondary antibody: HRP Goat Anti-Rabbit IgG (H+L) at 1:10000 dilution.Lysates/proteins: 25ug per ...read more

Product Details

Summary
Reactivity Hu, Mu, RtSpecies Glossary
Applications WB
Clonality
Polyclonal
Host
Rabbit
Conjugate
Unconjugated
Format
Azide and BSA Free

Order Details

View Available Formulations
Catalog# & Formulation Size Price

MUC20 Antibody - Azide and BSA Free Summary

Description
Novus Biologicals Rabbit MUC20 Antibody - Azide and BSA Free (NBP2-94455) is a polyclonal antibody validated for use in WB. All Novus Biologicals antibodies are covered by our 100% guarantee.
Immunogen
A synthetic peptide corresponding to a sequence within amino acids 100-200 of human MUC20 (NP_689886.3). PNFMVLIATSVETSAASGSPEGAGMTTVQTITGSDPEEAIFDTLCTDDSSEEAKTLTMDILTLAHTSTEAKGLSSESSASSDGPHPVITPSRASESSASSD
Isotype
IgG
Clonality
Polyclonal
Host
Rabbit
Gene
MUC20
Purity
Affinity purified
Innovator's Reward
Test in a species/application not listed above to receive a full credit towards a future purchase.

Applications/Dilutions

Dilutions
  • Western Blot 1:500-1:2000

Packaging, Storage & Formulations

Storage
Store at -20C. Avoid freeze-thaw cycles.
Buffer
PBS (pH 7.3), 50% glycerol
Preservative
0.01% Thimerosal
Purity
Affinity purified

Alternate Names for MUC20 Antibody - Azide and BSA Free

  • FLJ14408
  • FLJ53153
  • KIAA1359mucin-20
  • MUC-20
  • mucin 20, cell surface associated
  • transmembrane mucin MUC20S

Background

MUC20 encodes a member of the mucin protein family. Mucins are high molecular weight glycoproteins secreted by many epithelial tissues to form an insoluble mucous barrier. The shorter isoform expressed by this gene is localized to the plasma membrane, whereas the longer isoform might be secreted. The C terminus of this protein associates with the multifunctional docking site of the met proto-oncogene and suppresses activation of some downstream met signaling cascades. The protein features a tandem repeat domain that varies between 2 and 6 copies in different individuals. Multiple transcript variants encoding different isoforms have been found for this gene. [provided by RefSeq]

Limitations

This product is for research use only and is not approved for use in humans or in clinical diagnosis. Primary Antibodies are guaranteed for 1 year from date of receipt.

Customers Who Viewed This Item Also Viewed...

H00004585-M07
Species: Hu, Mu
Applications: ELISA, IHC,  IHC-P, WB
NBP2-24566
Species: Hu
Applications: IHC,  IHC-P, WB
NB120-22711
Species: Hu, Mu
Applications: ELISA, Flow, ICC/IF, IHC, IHC-Fr,  IHC-P
NBP1-92151
Species: Hu
Applications: ICC/IF, IHC,  IHC-P
NBP2-15196
Species: Bv(-), Ch, Fe, Hu, Ma, Pm, Mu, Po, Rb, Rt
Applications: DB, Flow-IC, Flow, ICC/IF, IHC, IHC-Fr,  IHC-P, WB
5609-MU
Species: Hu
Applications: Bind
NBP2-44374
Species: Hu
Applications: Flow, ICC/IF, IF, IHC,  IHC-P, IP, WB
NB120-11197
Species: Hu, Mu
Applications: Flow-IC, Flow, ICC/IF (-), IHC, IHC-Fr,  IHC-P, WB
NBP2-44434
Species: Hu, Rt(-)
Applications: Flow, ICC/IF, IF, IHC,  IHC-P
MAB8245
Species: Hu
Applications: IHC
NBP1-82607
Species: Hu
Applications: IHC,  IHC-P
NBP3-17128
Species: Hu
Applications: IHC,  IHC-P
NBP1-82045
Species: Hu
Applications: IHC,  IHC-P
NBP2-24763
Species: Hu, Pm
Applications: IHC,  IHC-P, WB
NBP1-91013
Species: Hu
Applications: ICC/IF, IHC,  IHC-P, WB
AF932
Species: Hu
Applications: ICC, IHC, Simple Western, WB
NB100-92243
Species: Hu, Mu, Rt
Applications: ICC/IF, IHC,  IHC-P, PLA, WB
294-HG
Species: Hu
Applications: BA
⚠ WARNING: This product can expose you to chemicals including Methotrexate, which is known to the State of California to cause reproductive toxicity with developmental effects. For more information, go to www.P65Warnings.ca.gov

Publications for MUC20 Antibody (NBP2-94455) (0)

There are no publications for MUC20 Antibody (NBP2-94455).
By submitting your publication information earn gift cards and discounts for future purchases.

Reviews for MUC20 Antibody (NBP2-94455) (0)

There are no reviews for MUC20 Antibody (NBP2-94455). By submitting a review you will receive an Amazon e-Gift Card or Novus Product Discount.
  • Review with no image -- $10/€7/£6/$10 CAD/¥70 Yuan/¥1110 Yen
  • Review with an image -- $25/€18/£15/$25 CAD/¥150 Yuan/¥2500 Yen

Product General Protocols

Find general support by application which include: protocols, troubleshooting, illustrated assays, videos and webinars.

Video Protocols

WB Video Protocol

FAQs for MUC20 Antibody (NBP2-94455) (0)

There are no specific FAQs related to this product. Read our general customer & technical service FAQs.

Secondary Antibodies

 

Isotype Controls

Additional MUC20 Products

Research Areas for MUC20 Antibody (NBP2-94455)

Find related products by research area.

Blogs on MUC20

There are no specific blogs for MUC20, but you can read our latest blog posts.

Customers Who Bought This Also Bought

Contact Information

Product PDFs

Calculators

Concentration Calculator

The concentration calculator allows you to quickly calculate the volume, mass or concentration of your vial. Simply enter your mass, volume, or concentration values for your reagent and the calculator will determine the rest.

=
÷

Review this Product

Be the first to review our MUC20 Antibody - Azide and BSA Free and receive a gift card or discount.

Bioinformatics

Gene Symbol MUC20