Lgr5/GPR49 Antibody (CL13579) - Azide and BSA Free

Images

 
Orthogonal Strategies: Analysis in human placenta and tonsil tissues using NBP3-43804 antibody. Corresponding Lgr5/GPR49 RNA-seq data are presented for the same tissues.
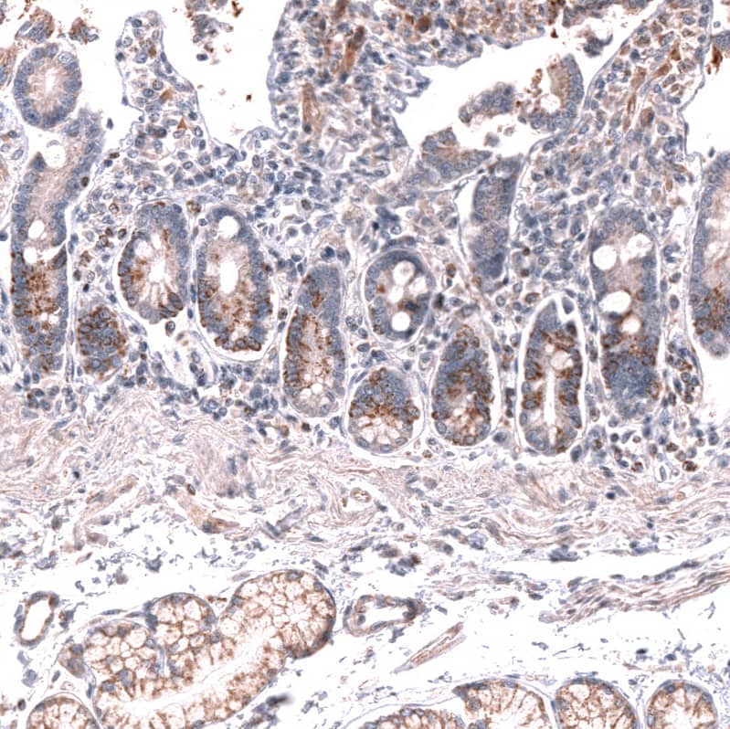
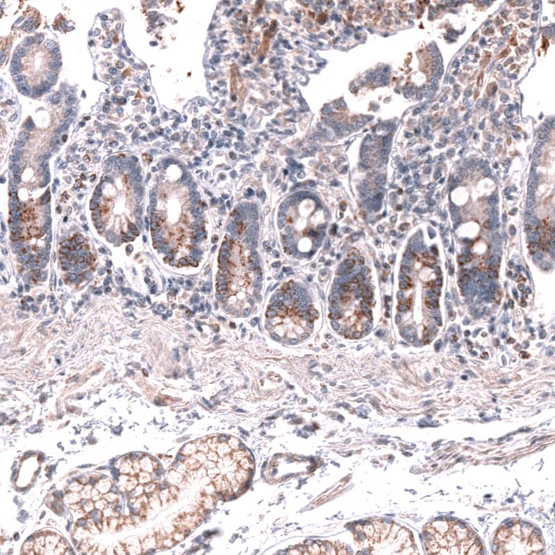
Staining of human duodenum shows moderate cytoplasmic and membranous positivity in glandular cells.
Staining of human cerebral cortex shows moderate cytoplasmic and membranous positivity in neurons and neuropil.
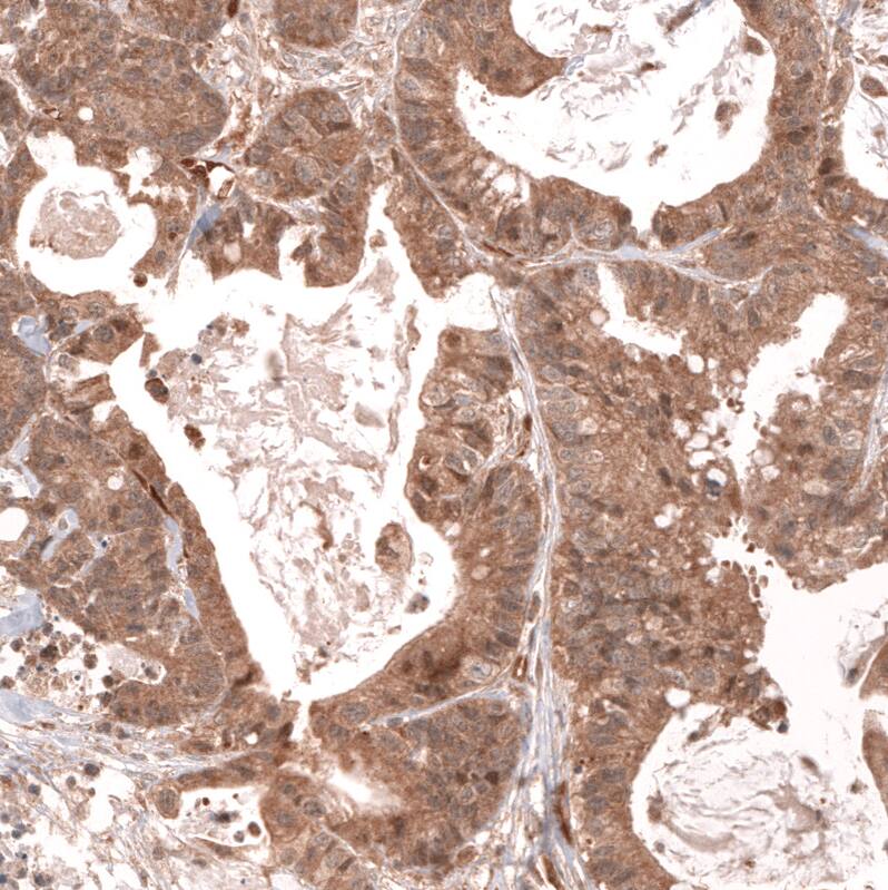
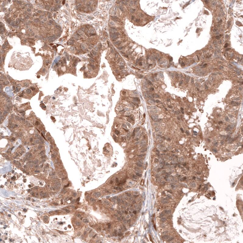
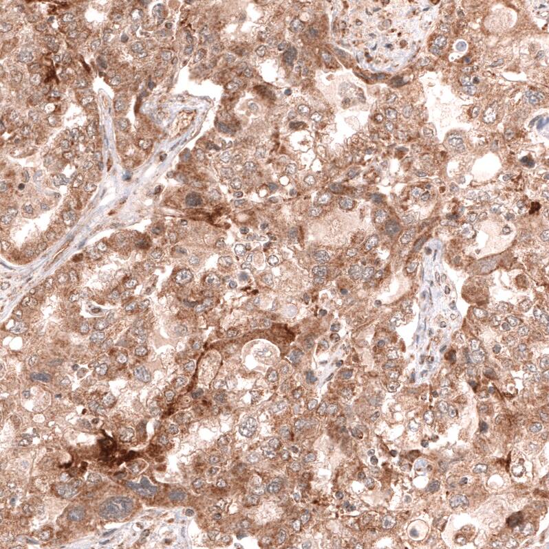
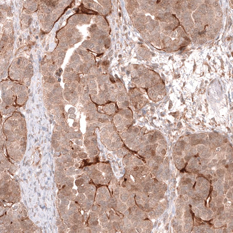
Staining of human colorectal cancer shows moderate cytoplasmic positivity in tumor cells.
Staining of human ovarian cancer (endometrioid carcinoma) shows moderate cytoplasmic positivity in tumor cells.
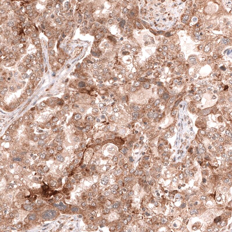
Staining of human ovarian cancer (papillary carcinoma) shows moderate to strong cytoplasmic and membranous positivity in tumor cells.
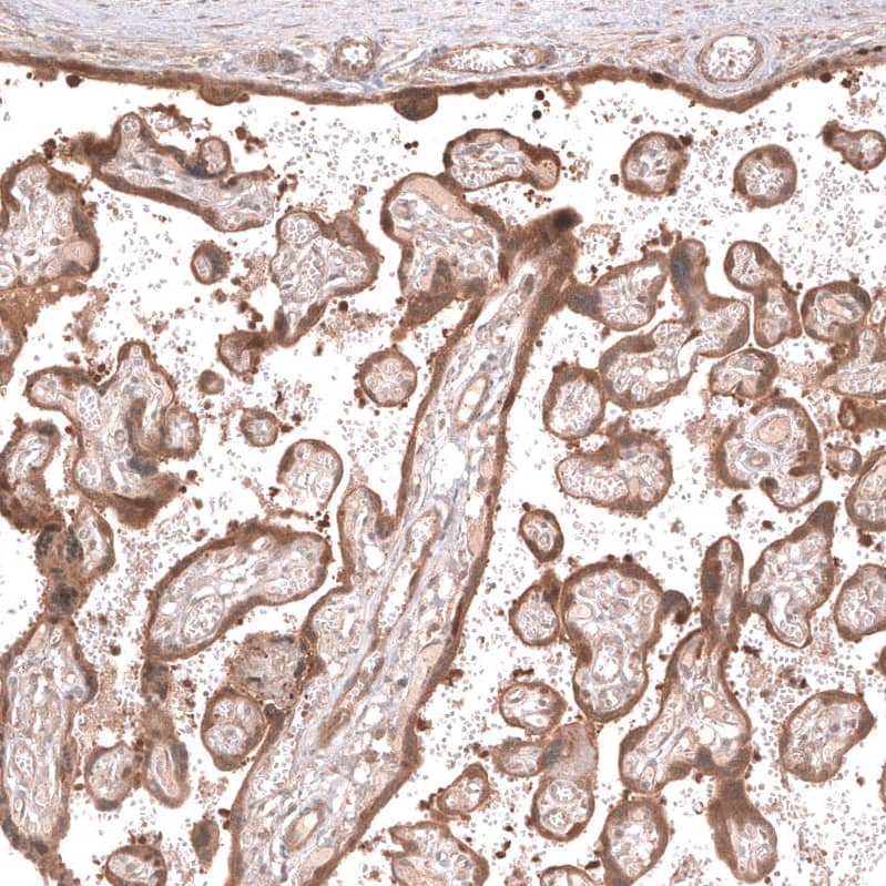
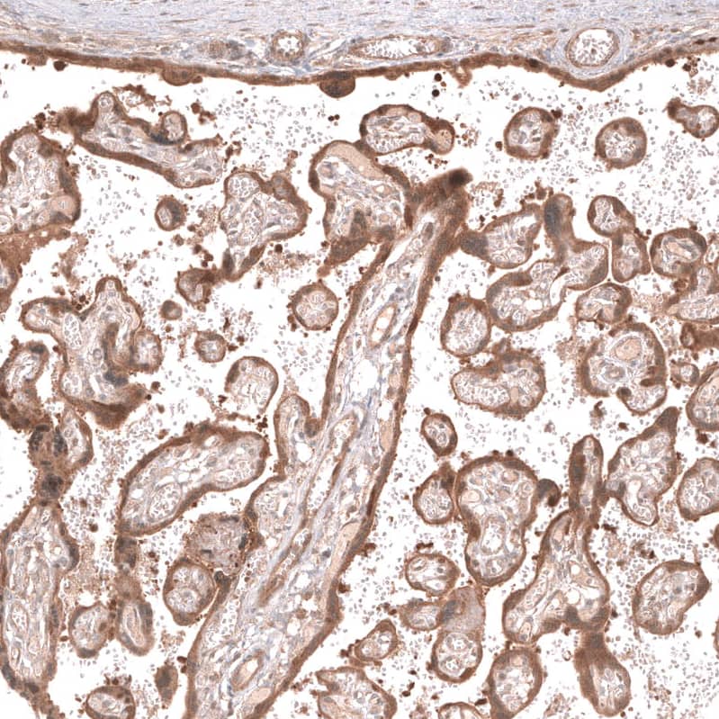
Staining of human placenta shows moderate cytoplasmic and membranous positivity in trophoblastic cells.
Staining of human tonsil shows mainly very weak positivity in non-germinal center cells.

Product Details

Summary
Reactivity HuSpecies Glossary
Applications IHC
Clone
CL13579
Clonality
Monoclonal
Host
Mouse
Conjugate
Unconjugated
Format
Azide and BSA Free
Concentration
LYOPH
Validated by:
       

Orthogonal Strategies

 

Order Details

Lgr5/GPR49 Antibody (CL13579) - Azide and BSA Free Summary

Description
Novus Biologicals Mouse Lgr5/GPR49 Antibody (CL13579) - Azide and BSA Free (NBP3-24571) is a monoclonal antibody validated for use in IHC. All Novus Biologicals antibodies are covered by our 100% guarantee.
Immunogen
This antibody was generated using a synthetic peptide of O75473, with the exact immunogen sequence remaining proprietary.
Isotype
IgG1
Clonality
Monoclonal
Host
Mouse
Gene
LGR5
Purity
Protein A purified
Innovator's Reward
Test in a species/application not listed above to receive a full credit towards a future purchase.

Applications/Dilutions

Dilutions
  • Immunohistochemistry-Paraffin 1:200 - 1:500
Application Notes
For IHC-Paraffin, we recommend using Heat-Induced Epitope Retrieval (HIER) with a pH level of 6. This optimized retrieval method ensures the best results for your experiments.

Packaging, Storage & Formulations

Storage
Store at 4C short term. Aliquot and store at -20C long term. Avoid freeze-thaw cycles.
Buffer
Lyophilized from a 0.2 um filtered solution in PBS with Trehalose
Preservative
No Preservative
Concentration
LYOPH
Purity
Protein A purified
Reconstitution Instructions
Centrifuge the vial of lyophilized antibody at 12,000 x g for 20 seconds. Reconstitute by adding sterile, distilled water to achieve a final antibody concentration of 1mg/ml.

Alternate Names for Lgr5/GPR49 Antibody (CL13579) - Azide and BSA Free

  • FEX
  • G protein-coupled receptor 49
  • GPR49
  • GPR49G-protein coupled receptor HG38
  • GPR67
  • G-protein coupled receptor 49
  • G-protein coupled receptor 67
  • GRP49
  • HG38
  • leucine-rich repeat containing G protein-coupled receptor 5
  • leucine-rich repeat-containing G protein-coupled receptor 5
  • leucine-rich repeat-containing G-protein coupled receptor 5
  • Lgr5
  • MGC117008
  • orphan G protein-coupled receptor HG38

Background

Leucine-rich repeat-containing LGR5, also known as GPR49, is an Orphan-A G-protein coupled receptor with an unknown ligand. GPR49 is a stem cell marker of the intestinal epithelium and the hair follicule, and is often expressed in the brain, skeletal muscle, placenta, and spinal cord. Because LGR5 is typically found in mouse hair follicles it may potentially be used to regrow hair in mice. GPR49/LGR5 antibodies are useful tools for research on hair loss and hair follicule development.

Limitations

This product is for research use only and is not approved for use in humans or in clinical diagnosis. Primary Antibodies are guaranteed for 1 year from date of receipt.

Customers Who Viewed This Item Also Viewed...

NB120-16518
Species: Hu, Mu, Po, Rt
Applications: ChIP, ELISA, Flow, ICC/IF, IHC, IHC-Fr,  IHC-P, WB
BBA10
Species: Hu
Applications: CyTOF-ready, Flow, IHC, IP, KO, Simple Western, WB
NBP1-96140
Species: Hu, Mu
Applications: ChIP, Flow-IC, Flow, ICC/IF, IP, WB
MAB8458
Species: Hu
Applications: CyTOF-ready, Flow, ICC
AF2628
Species: Hu, Mu, Rt
Applications: ICC, IHC, WB
NBP1-77127
Species: Hu, Mu, Rt
Applications: ELISA, ICC/IF, IHC,  IHC-P, WB
MAB7750
Species: Hu
Applications: Block, CyTOF-ready, Flow, ICC
AF1759
Species: Hu, Mu
Applications: ChIP, ICC, IP, Simple Western, WB
AF1329
Species: Hu, Mu, Rt
Applications: ChIP, CyTOF-ready, ICC, IHC, ICFlow, Simple Western, WB
NB100-524
Species: Hu, Mu
Applications: Flow-IC, Flow, ICC/IF, IHC, IHC-Fr,  IHC-P, IP, WB
AF1172
Species: Ca, Hu, Mu, Rt
Applications: CyTOF-ready, Flow, ICC, IHC, Simple Western, WB
NBP2-79843
Species: Hu
Applications: CyTOF-ready, ELISA, Flow, ICC/IF, IHC,  IHC-P, PA, WB
7268-CT
Species: Hu
Applications: BA
NB100-91662
Species: Hu, Mu, Rt
Applications: Flow, ICC/IF, IHC,  IHC-P, Simple Western, WB
DY413
Species: Mu
Applications: ELISA
NBP1-72042
Species: Hu, Mu, Rt
Applications: ICC/IF, IHC,  IHC-P, PEP-ELISA, WB
7150-RS/CF
Species: Mu
Applications: BA
NB100-77903
Species: Hu
Applications: Flow, ICC/IF, IHC, IHC-Fr
NBP2-29463
Species: Pm, Hu, Pm, Mu
Applications: Flow, ICC/IF, IHC,  IHC-P, WB
NBP3-43804
Species: Hu
Applications: IHC

Publications for Lgr5/GPR49 Antibody (NBP3-43804) (0)

There are no publications for Lgr5/GPR49 Antibody (NBP3-43804).
By submitting your publication information earn gift cards and discounts for future purchases.

Reviews for Lgr5/GPR49 Antibody (NBP3-43804) (0)

There are no reviews for Lgr5/GPR49 Antibody (NBP3-43804). By submitting a review you will receive an Amazon e-Gift Card or Novus Product Discount.
  • Review with no image -- $10/€7/£6/$10 CAD/¥70 Yuan/¥1110 Yen
  • Review with an image -- $25/€18/£15/$25 CAD/¥150 Yuan/¥2500 Yen

Product General Protocols

Find general support by application which include: protocols, troubleshooting, illustrated assays, videos and webinars.

FAQs for Lgr5/GPR49 Antibody (NBP3-43804) (0)

There are no specific FAQs related to this product. Read our general customer & technical service FAQs.

Secondary Antibodies

 

Isotype Controls

Additional Lgr5/GPR49 Products

Research Areas for Lgr5/GPR49 Antibody (NBP3-43804)

Find related products by research area.

Blogs on Lgr5/GPR49.

Meeting Report: 2nd International Antibody Validation Meeting
Bio-Techne brands Novus Biologicals® and R&D Systems® were proud to support the 2nd International Antibody Validation Meeting held at Bath University, on the 15-16 September, 2016. Almost 100 participants from around the world, including funde...  Read full blog post.

Customers Who Bought This Also Bought

Contact Information

Product PDFs

Calculators

Concentration Calculator

The concentration calculator allows you to quickly calculate the volume, mass or concentration of your vial. Simply enter your mass, volume, or concentration values for your reagent and the calculator will determine the rest.

=
÷

Review this Product

Be the first to review our Lgr5/GPR49 Antibody (CL13579) - Azide and BSA Free and receive a gift card or discount.

Bioinformatics

Gene Symbol LGR5