Isocitrate Dehydrogenase 1/IDH1 Antibody (CL0219) - Azide and BSA Free

Images

 
Lane 1: Marker [kDa]Lane 2: Human cell line RT-4
Staining of A-431 cells using the anti-Isocitrate Dehydrogenase 1/IDH1 monoclonal antibody) .
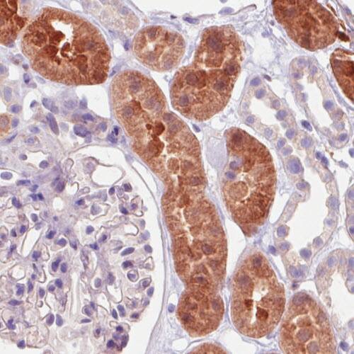
Staining of human kidney shows strong positivity in a subset of renal tubules.
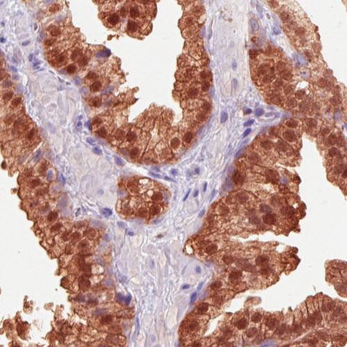
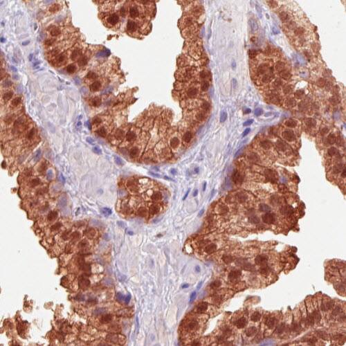
Staining of human prostate shows strong positivity in glandular epithelium.
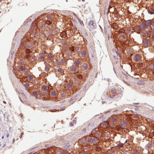
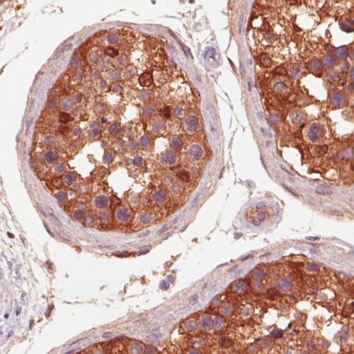
Staining of human testis shows strong immunoreactivity in seminiferous tubules.
Genetic Strategies: Analysis in RT-4 cells transfected with control siRNA, target specific siRNA probe #1 and #2, using Anti-Isocitrate Dehydrogenase 1/IDH1 antibody. Remaining relative intensity is presented. ...read more

Product Details

Summary
Reactivity HuSpecies Glossary
Applications WB, ICC/IF, IHC
Clone
CL0219
Clonality
Monoclonal
Host
Mouse
Conjugate
Unconjugated
Format
Azide and BSA Free
Concentration
LYOPH
Validated by:
     

Genetic Strategies

   

Order Details

Isocitrate Dehydrogenase 1/IDH1 Antibody (CL0219) - Azide and BSA Free Summary

Description
Novus Biologicals Mouse Isocitrate Dehydrogenase 1/IDH1 Antibody (CL0219) - Azide and BSA Free (NBP2-52882) is a monoclonal antibody validated for use in IHC, WB and ICC/IF. All Novus Biologicals antibodies are covered by our 100% guarantee.
Immunogen
This antibody was generated using a recombinant protein sequence of O75874, with the exact immunogen sequence remaining proprietary.
Isotype
IgG2a
Clonality
Monoclonal
Host
Mouse
Gene
IDH1
Purity
Protein A purified
Innovator's Reward
Test in a species/application not listed above to receive a full credit towards a future purchase.

Applications/Dilutions

Dilutions
  • Immunocytochemistry/ Immunofluorescence 2-10 ug/ml
  • Immunohistochemistry-Paraffin 1:5000 - 1:10000
  • Western Blot 1 ug/ml
Application Notes
For IHC-Paraffin, HIER pH 6 retrieval is recommended. Immunocytochemistry/ Immunofluorescence/IF Fixation/Permeabilization: PFA/Triton X-100.

Packaging, Storage & Formulations

Storage
Store at 4C short term. Aliquot and store at -20C long term. Avoid freeze-thaw cycles.
Buffer
Lyophilized from a 0.2 um filtered solution in PBS with Trehalose
Preservative
No Preservative
Concentration
LYOPH
Purity
Protein A purified
Reconstitution Instructions
Centrifuge the vial of lyophilized antibody at 12,000 x g for 20 seconds. Reconstitute by adding sterile, distilled water to achieve a final antibody concentration of 1mg/ml.

Alternate Names for Isocitrate Dehydrogenase 1/IDH1 Antibody (CL0219) - Azide and BSA Free

  • Cytosolic NADP-isocitrate dehydrogenase
  • EC 1.1.1.42
  • IDCD
  • IDH
  • IDH1
  • IDP
  • IDPC
  • isocitrate dehydrogenase [NADP] cytoplasmic
  • isocitrate dehydrogenase 1 (NADP+), soluble
  • Isocitrate Dehydrogenase 1
  • NADP(+)-specific ICDH
  • NADP-dependent isocitrate dehydrogenase, cytosolic
  • NADP-dependent isocitrate dehydrogenase, peroxisomal
  • Oxalosuccinate decarboxylase
  • PICD

Background

Isocitrate dehydrogenases catalyze the oxidative decarboxylation of isocitrate to 2-oxoglutarate. These enzymes belong to two distinct subclasses, one of which utilizes NAD(+) as the electron acceptor and the other NADP(+). Five isocitrate dehydrogenases have been reported: three NAD(+)-dependent isocitrate dehydrogenases, which localize to the mitochondrial matrix, and two NADP(+)-dependent isocitrate dehydrogenases, one of which is mitochondrial and the other predominantly cytosolic. Each NADP(+)-dependent isozyme is a homodimer. The protein encoded by this gene is the NADP(+)-dependent isocitrate dehydrogenase found in the cytoplasm and peroxisomes. It contains the PTS-1 peroxisomal targeting signal sequence. The presence of this enzyme in peroxisomes suggests roles in the regeneration of NADPH for intraperoxisomal reductions, such as the conversion of 2, 4-dienoyl-CoAs to 3-enoyl-CoAs, as well as in peroxisomal reactions that consume 2-oxoglutarate, namely the alpha-hydroxylation of phytanic acid. The cytoplasmic enzyme serves a significant role in cytoplasmic NADPH production. [provided by RefSeq]

Limitations

This product is for research use only and is not approved for use in humans or in clinical diagnosis. Primary Antibodies are guaranteed for 1 year from date of receipt.

Customers Who Viewed This Item Also Viewed...

NBP2-22166
Species: Hu, Mu, Rt
Applications: ICC/IF, IHC,  IHC-P, WB
NB200-103
Species: Hu, Mu, Rt, Xp(-), Ye
Applications: CyTOF-ready, ELISA, Flow-IC, Flow, ICC/IF, IHC, IHC-Fr,  IHC-P, IP, WB
NB100-168
Species: Hu, Mu(-)
Applications: CyTOF-ready, Flow-IC, Flow, ICC/IF, IHC,  IHC-P, Simple Western, WB
AF231
Species: Hu
Applications: CyTOF-ready, Dual ISH-IHC, ELISA(Cap), ELISA(Det), ELISA(Sta), Flow, ICC, IHC, IP, Simple Western, WB
NB110-61646
Species: Hu, Mu
Applications: ICC/IF, IHC,  IHC-P, IP, WB
MAB812
Species: Hu
Applications: CyTOF-ready, Flow
NBP2-59451
Species: Hu
Applications: ELISA, Flow, ICC/IF, MiAr, Simple Western, WB
NBP2-32104
Species: Hu, Rt
Applications: IHC,  IHC-P, IP, WB
NBP2-02541
Species: Hu, Pm, Mu, Pm, Rt
Applications: ICC/IF, IHC,  IHC-P, WB
H00171023-M05
Species: Hu
Applications: ELISA, IP, WB
NBP1-32259
Species: Hu, Mu, Rt
Applications: ICC/IF, IHC,  IHC-P, KO, WB
NBP1-32398
Species: Hu, Mu, Rt
Applications: ICC/IF, IHC,  IHC-P, IP, KD, WB
NBP1-89559
Species: Hu
Applications: IHC,  IHC-P, WB
NBP3-05078
Species: Hu, Mu, Rt
Applications: ICC/IF, IHC,  IHC-P, WB
NBP1-87069
Species: Hu, Mu
Applications: ICC/IF, IHC,  IHC-P, KD, Simple Western, WB
NB120-13888
Species: Hu, Mu, Rt
Applications: ChIP, ChIP, CyTOF-ready, Flow, ICC/IF, IHC-WhMt, IHC, IHC-Fr,  IHC-P, KD, KO, WB
NBP1-26612
Species: Hu
Applications: IP (-), WB
NBP2-45978
Species: Hu
Applications: Flow, IHC,  IHC-P, WB
AF7094
Species: Hu
Applications: IHC
NBP3-43836
Species: Hu
Applications: WB, ICC/IF, IHC

Publications for Isocitrate Dehydrogenase 1/IDH1 Antibody (NBP3-43836) (0)

There are no publications for Isocitrate Dehydrogenase 1/IDH1 Antibody (NBP3-43836).
By submitting your publication information earn gift cards and discounts for future purchases.

Reviews for Isocitrate Dehydrogenase 1/IDH1 Antibody (NBP3-43836) (0)

There are no reviews for Isocitrate Dehydrogenase 1/IDH1 Antibody (NBP3-43836). By submitting a review you will receive an Amazon e-Gift Card or Novus Product Discount.
  • Review with no image -- $10/€7/£6/$10 CAD/¥70 Yuan/¥1110 Yen
  • Review with an image -- $25/€18/£15/$25 CAD/¥150 Yuan/¥2500 Yen

Product General Protocols

Find general support by application which include: protocols, troubleshooting, illustrated assays, videos and webinars.

Video Protocols

WB Video Protocol
ICC/IF Video Protocol

FAQs for Isocitrate Dehydrogenase 1/IDH1 Antibody (NBP3-43836) (0)

There are no specific FAQs related to this product. Read our general customer & technical service FAQs.

Secondary Antibodies

 

Isotype Controls

Additional Isocitrate Dehydrogenase 1/IDH1 Products

Research Areas for Isocitrate Dehydrogenase 1/IDH1 Antibody (NBP3-43836)

Find related products by research area.

Blogs on Isocitrate Dehydrogenase 1/IDH1

There are no specific blogs for Isocitrate Dehydrogenase 1/IDH1, but you can read our latest blog posts.

Customers Who Bought This Also Bought

Contact Information

Product PDFs

Calculators

Concentration Calculator

The concentration calculator allows you to quickly calculate the volume, mass or concentration of your vial. Simply enter your mass, volume, or concentration values for your reagent and the calculator will determine the rest.

=
÷

Review this Product

Be the first to review our Isocitrate Dehydrogenase 1/IDH1 Antibody (CL0219) - Azide and BSA Free and receive a gift card or discount.

Bioinformatics

Gene Symbol IDH1