Integrin alpha 1/CD49a Antibody (CL7217) - Azide and BSA Free

Images

 
Orthogonal Strategies: Analysis in human prostate and skeletal muscle tissues using NBP3-44431 antibody. Corresponding Integrin alpha 1/CD49a RNA-seq data are presented for the same tissues.
Staining of human skeletal muscle shows no positivity in striated muscle fibers as expected.
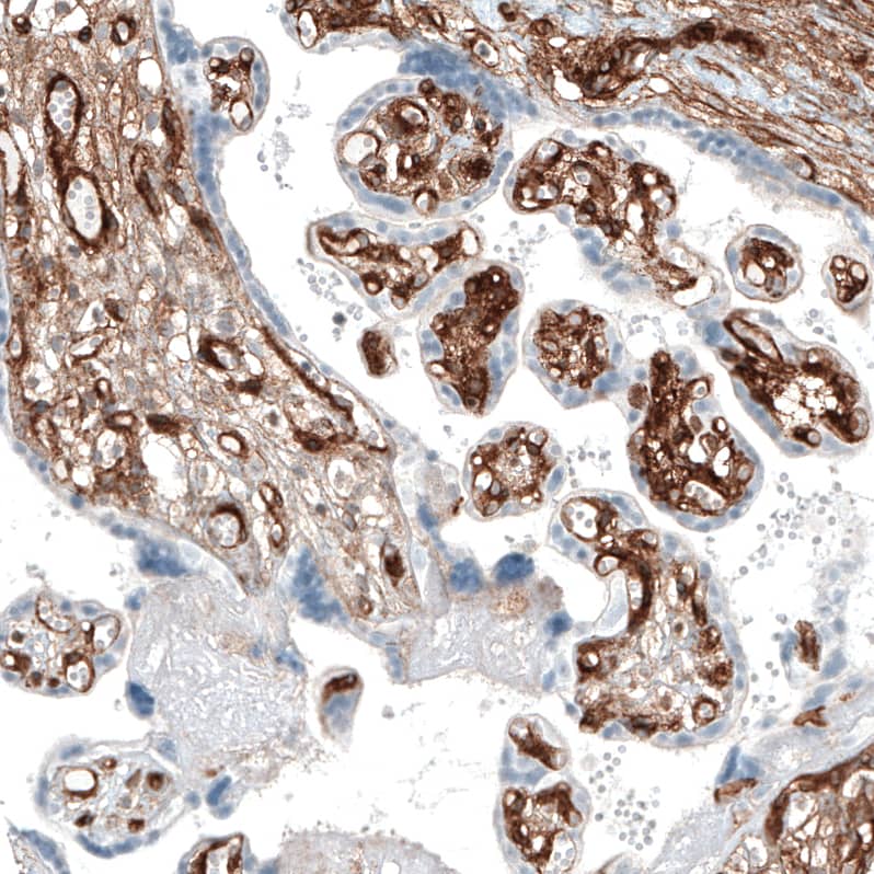
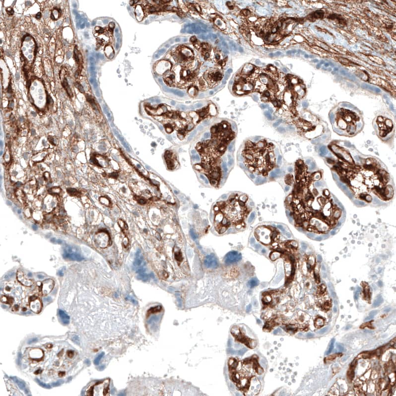
Staining of human placenta shows strong membranous positivity in blood vessels, as well as positivity in loose connective tissue.
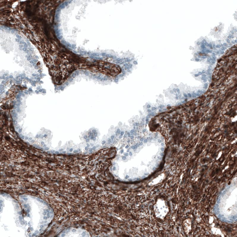
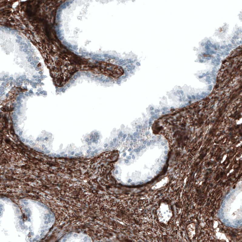
Staining of human prostate shows strong membranous positivity in smooth muscle cells.
Staining of human stomach shows moderate membranous positivity in glandular cells, as well as staining in basement membrane.
Analysis in human cell line SH-SY5Y.
Genetic Strategies: Analysis in U-138MG cells transfected with control siRNA, target specific siRNA probe #1, using Anti-Integrin alpha 1/CD49a antibody. Remaining relative intensity is presented. Loading ...read more

Product Details

Summary
Reactivity HuSpecies Glossary
Applications WB, IHC
Clone
CL7217
Clonality
Monoclonal
Host
Mouse
Conjugate
Unconjugated
Format
Azide and BSA Free
Concentration
LYOPH

Order Details

Integrin alpha 1/CD49a Antibody (CL7217) - Azide and BSA Free Summary

Description
Novus Biologicals Mouse Integrin alpha 1/CD49a Antibody (CL7217) - Azide and BSA Free (NBP2-76479) is a monoclonal antibody validated for use in IHC and WB. All Novus Biologicals antibodies are covered by our 100% guarantee.
Immunogen
This antibody was generated using a synthetic peptide of P56199, with the exact immunogen sequence remaining proprietary.
Isotype
IgG1
Clonality
Monoclonal
Host
Mouse
Gene
ITGA1
Purity
Protein A purified
Innovator's Reward
Test in a species/application not listed above to receive a full credit towards a future purchase.

Applications/Dilutions

Dilutions
  • Immunohistochemistry-Paraffin 1:1000 - 1:2500
  • Western Blot 1 ug/ml
Application Notes
For IHC-Paraffin, HIER pH 6 retrieval is recommended.

Packaging, Storage & Formulations

Storage
Store at 4C short term. Aliquot and store at -20C long term. Avoid freeze-thaw cycles.
Buffer
Lyophilized from a 0.2 um filtered solution in PBS with Trehalose
Preservative
No Preservative
Concentration
LYOPH
Purity
Protein A purified
Reconstitution Instructions
Centrifuge the vial of lyophilized antibody at 12,000 x g for 20 seconds. Reconstitute by adding sterile, distilled water to achieve a final antibody concentration of 1mg/ml.

Alternate Names for Integrin alpha 1/CD49a Antibody (CL7217) - Azide and BSA Free

  • CD49 antigen-like family member A
  • CD49a antigen
  • CD49a
  • Integrin alpha 1
  • integrin, alpha 1
  • ITGA1
  • Laminin and collagen receptor
  • very late activation protein 1
  • VLA-1
  • VLA1integrin alpha-1

Background

Integrin alpha 1 encodes the alpha 1 subunit of integrin receptors. This protein heterodimerizes with the beta 1 subunit to form a cell-surface receptor for collagen and laminin. The heterodimeric receptor is involved in cell-cell adhesion and may play a role in inflammation and fibrosis. The alpha 1 subunit contains an inserted (I) von Willebrand factor type I domain which is thought to be involved in collagen binding. [provided by RefSeq]

Limitations

This product is for research use only and is not approved for use in humans or in clinical diagnosis. Primary Antibodies are guaranteed for 1 year from date of receipt.

Customers Who Viewed This Item Also Viewed...

MAB1233
Species: Hu
Applications: CyTOF-ready, Flow, ICC, IP
AF796
Species: Mu
Applications: AdBlk, IHC, WB
7268-CT
Species: Hu
Applications: BA
AF1864
Species: Hu
Applications: AdBlk, CyTOF-ready, Flow, Simple Western, WB
NB100-524
Species: Hu, Mu
Applications: Flow-IC, Flow, ICC/IF, IHC, IHC-Fr,  IHC-P, IP, WB
NBP2-79843
Species: Hu
Applications: CyTOF-ready, ELISA, Flow, ICC/IF, IHC,  IHC-P, PA, WB
MAB17781
Species: Hu
Applications: Block, CyTOF-ready, Flow, ICC, IP, KO
AF1730
Species: Hu
Applications: AdBlk, CyTOF-ready, Flow, ICC
202-IL
Species: Hu
Applications: BA
NBP1-91258
Species: Bv, Ca, Eq, Fe, Hu, Mu, Po, Rt
Applications: ICC/IF, IHC, IHC-Fr,  IHC-P, Simple Western, WB
NB500-328
Species: Hu
Applications: CyTOF-ready, Flow, IP
BBA10
Species: Hu
Applications: CyTOF-ready, Flow, IHC, IP, KO, Simple Western, WB
NBP1-49045
Species: Mu, Rt
Applications: Cell Depl, CyTOF-ready, Flow, ICC/IF, IHC, IHC-Fr,  IHC-P, IP, InhibTFunc
NBP1-19371
Species: Ca, Hu, Mu, Po, Rb, Rt
Applications: Dual ISH-IHC, Flow, ICC/IF, IHC, IHC-Fr,  IHC-P, Simple Western, WB
NBP2-22542
Species: Hu
Applications: B/N, CyTOF-ready, Flow, ICC/IF, IHC, IHC-Fr, IP, WB
DR2A00
Species: Hu
Applications: ELISA
NBP2-16996
Species: Hu, Mu
Applications: ICC/IF, IHC, IHC-Fr,  IHC-P, WB
NB110-89474
Species: Bv, Ce, ChHa, Hu, Pm, Mu, Rt, RM
Applications: Dual ISH-IHC, Flow-CS, Flow, ICC/IF, IHC, IHC-Fr,  IHC-P, ISH, Simple Western, Single-Cell Western, WB
NBP3-44431
Species: Hu
Applications: WB, IHC

Publications for Integrin alpha 1/CD49a Antibody (NBP3-44431) (0)

There are no publications for Integrin alpha 1/CD49a Antibody (NBP3-44431).
By submitting your publication information earn gift cards and discounts for future purchases.

Reviews for Integrin alpha 1/CD49a Antibody (NBP3-44431) (0)

There are no reviews for Integrin alpha 1/CD49a Antibody (NBP3-44431). By submitting a review you will receive an Amazon e-Gift Card or Novus Product Discount.
  • Review with no image -- $10/€7/£6/$10 CAD/¥70 Yuan/¥1110 Yen
  • Review with an image -- $25/€18/£15/$25 CAD/¥150 Yuan/¥2500 Yen

Product General Protocols

Find general support by application which include: protocols, troubleshooting, illustrated assays, videos and webinars.

Video Protocols

WB Video Protocol

FAQs for Integrin alpha 1/CD49a Antibody (NBP3-44431) (0)

There are no specific FAQs related to this product. Read our general customer & technical service FAQs.

Secondary Antibodies

 

Isotype Controls

Additional Integrin alpha 1/CD49a Products

Research Areas for Integrin alpha 1/CD49a Antibody (NBP3-44431)

Find related products by research area.

Blogs on Integrin alpha 1/CD49a

There are no specific blogs for Integrin alpha 1/CD49a, but you can read our latest blog posts.

Customers Who Bought This Also Bought

Contact Information

Product PDFs

Calculators

Concentration Calculator

The concentration calculator allows you to quickly calculate the volume, mass or concentration of your vial. Simply enter your mass, volume, or concentration values for your reagent and the calculator will determine the rest.

=
÷

Review this Product

Be the first to review our Integrin alpha 1/CD49a Antibody (CL7217) - Azide and BSA Free and receive a gift card or discount.

Bioinformatics

Gene Symbol ITGA1