INO80E Antibody - BSA Free

Images

 
Immunohistochemistry-Paraffin: INO80E Antibody [NBP1-86578] - Staining of human fallopian tube shows strong nuclear positivity in glandular cells.
Immunohistochemistry-Paraffin: INO80E Antibody [NBP1-86578] - Staining of human tonsil shows strong nuclear positivity in germinal and non germinal center cells.
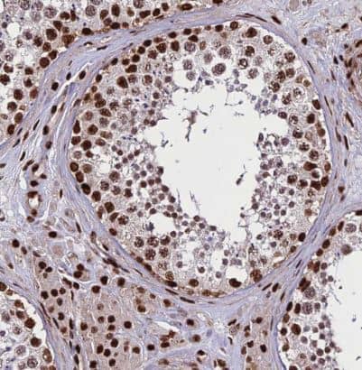
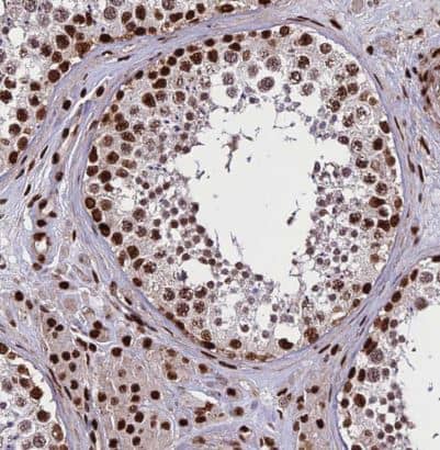
Immunohistochemistry-Paraffin: INO80E Antibody [NBP1-86578] - Staining of human testis shows strong nuclear positivity in cells in seminiferous ducts and leydig cells.
Staining of human colon shows strong nuclear positivity in glandular cells.
Analysis in human cell line NTERA-2.
Staining of human cell line A-431 shows localization to nucleoplasm.

Product Details

Summary
Reactivity Hu, RtSpecies Glossary
Applications WB, ICC/IF, IHC
Clonality
Polyclonal
Host
Rabbit
Conjugate
Unconjugated
Format
BSA Free

Order Details

View Available Formulations
Catalog# & Formulation Size Price

INO80E Antibody - BSA Free Summary

Description
Novus Biologicals Rabbit INO80E Antibody - BSA Free (NBP1-86578) is a polyclonal antibody validated for use in IHC, WB and ICC/IF. All Novus Biologicals antibodies are covered by our 100% guarantee.
Immunogen
This antibody was developed against Recombinant Protein corresponding to amino acids: LPRKLKMAVGPPDCPVGGPLTFPGRGSGAGVGTTLTPLPPPKMPPPTILSTVPRQMFSDAGSGDDALDGDDD
Predicted Species
Rat (90%). Backed by our 100% Guarantee.
Isotype
IgG
Clonality
Polyclonal
Host
Rabbit
Gene
INO80E
Purity
Immunogen affinity purified
Innovator's Reward
Test in a species/application not listed above to receive a full credit towards a future purchase.

Applications/Dilutions

Dilutions
  • Immunocytochemistry/ Immunofluorescence 0.25-2 ug/ml
  • Immunohistochemistry 1:1000 - 1:2500
  • Immunohistochemistry-Paraffin 1:1000 - 1:2500
  • Western Blot 0.04-0.4 ug/ml
Application Notes
For IHC-Paraffin, HIER pH 6 retrieval is recommended. ICC/IF,Fixation Permeabilization: Use PFA/Triton X-100.
Control Peptide
INO80E Protein (NBP1-86578PEP)

Reactivity Notes

Immunogen displays the following percentage of sequence identity for non-tested species: Mouse (89%)

Packaging, Storage & Formulations

Storage
Store at 4C short term. Aliquot and store at -20C long term. Avoid freeze-thaw cycles.
Buffer
PBS (pH 7.2) and 40% Glycerol
Preservative
0.02% Sodium Azide
Purity
Immunogen affinity purified

Alternate Names for INO80E Antibody - BSA Free

  • CCDC95
  • coiled-coil domain containing 95
  • Coiled-coil domain-containing protein 95
  • FLJ00079
  • FLJ90652
  • INO80 complex subunit E

Limitations

This product is for research use only and is not approved for use in humans or in clinical diagnosis. Primary Antibodies are guaranteed for 1 year from date of receipt.

Customers Who Viewed This Item Also Viewed...

AF7817
Species: Hu, Mu, Rt
Applications: WB
NBP2-30524
Species: Hu
Applications: ICC/IF, IHC,  IHC-P
NB100-40845
Species: Hu, Mu
Applications: ChIP, CHIP-SEQ, IHC,  IHC-P, IP, KD, WB
NBP2-19939
Species: Hu, Mu
Applications: ChIP, ICC/IF, IHC,  IHC-P, IP, WB
NBP2-61724
Species: Hu
Applications: ELISA, ICC/IF, WB
NBP1-91269
Species: Hu, Mu
Applications: ICC/IF (-), IHC (-), WB
NB100-56340
Species: Hu, Mu, Rt
Applications: IHC, IHC-Fr,  IHC-P, KO, Simple Western, WB
NBP1-87109
Species: Hu, Mu
Applications: ICC/IF, IHC,  IHC-P, KD, WB
H00008031-M04
Species: Hu, Mu
Applications: ELISA, ICC/IF, IHC,  IHC-P, WB
MAB4184
Species: Hu, Mu
Applications: ICC, IP, WB
NB100-56519
Species: Bv, Hu, Mu, Po, Rt, Sh
Applications: ChIP, CyTOF-ready, Flow-IC, Flow, ICC/IF, IHC-FrFl, IHC, IHC-Fr,  IHC-P, IP, KD, Simple Western, WB
NBP2-50163
Species: Hu, Mu
Applications: ChIP, CyTOF-ready, ELISA, Flow, ICC/IF, IHC, IP, KO, WB
NBP2-15736
Species: Hu, Mu
Applications: ICC/IF, IHC,  IHC-P, IP, KO, WB
NB600-250
Species: Hu
Applications: IHC,  IHC-P, IP, WB
NBP1-87835
Species: Hu, Mu, Rt
Applications: ICC/IF, IHC,  IHC-P, KD, WB
NB120-13888
Species: Hu, Mu, Rt
Applications: ChIP, ChIP, CyTOF-ready, Flow, ICC/IF, IHC-WhMt, IHC, IHC-Fr,  IHC-P, KD, KO, WB
NBP3-16632
Species: Hu, Mu, Rt
Applications: ICC/IF, IHC,  IHC-P, WB
NB300-516
Species: Hu, Mu, Rt
Applications: ChIP, IHC,  IHC-P, KD, Simple Western, WB
NBP2-14441
Species: Hu
Applications: ICC/IF, IHC,  IHC-P
NBP1-44092
Species: Hu, Mu, Pm, Rt
Applications: ELISA, ICC/IF, IHC,  IHC-P, WB

Publications for INO80E Antibody (NBP1-86578) (0)

There are no publications for INO80E Antibody (NBP1-86578).
By submitting your publication information earn gift cards and discounts for future purchases.

Reviews for INO80E Antibody (NBP1-86578) (0)

There are no reviews for INO80E Antibody (NBP1-86578). By submitting a review you will receive an Amazon e-Gift Card or Novus Product Discount.
  • Review with no image -- $10/€7/£6/$10 CAD/¥70 Yuan/¥1110 Yen
  • Review with an image -- $25/€18/£15/$25 CAD/¥150 Yuan/¥2500 Yen

Product General Protocols

Find general support by application which include: protocols, troubleshooting, illustrated assays, videos and webinars.

Video Protocols

WB Video Protocol
ICC/IF Video Protocol

FAQs for INO80E Antibody (NBP1-86578) (0)

There are no specific FAQs related to this product. Read our general customer & technical service FAQs.

Customers Who Bought This Also Bought

Contact Information

Product PDFs

Calculators

Concentration Calculator

The concentration calculator allows you to quickly calculate the volume, mass or concentration of your vial. Simply enter your mass, volume, or concentration values for your reagent and the calculator will determine the rest.

=
÷

Review this Product

Be the first to review our INO80E Antibody - BSA Free and receive a gift card or discount.

Bioinformatics

Gene Symbol INO80E