IL-7 Antibody (AH34-12)

Images

 
Western Blot: IL-7 Antibody (AH34-12) [NBP2-67277] - Analysis of IL7 on human thymus cell lysates using anti- IL7 antibody at 1/500 dilution.
Immunocytochemistry/ Immunofluorescence: IL-7 Antibody (AH34-12) [NBP2-67277] - Staining IL7 in MCF-7 cells (red). The nuclear counter stain is DAPI (blue). Cells were fixed in paraformaldehyde, permeabilised with 0.25% ...read more
Immunohistochemistry-Paraffin: IL-7 Antibody (AH34-12) [NBP2-67277] - Analysis of paraffin-embedded rat spleen tissue using anti-IL7 antibody. Counter stained with hematoxylin.
Immunocytochemistry/ Immunofluorescence: IL-7 Antibody (AH34-12) [NBP2-67277] - Staining IL7 in 293T cells (red). The nuclear counter stain is DAPI (blue). Cells were fixed in paraformaldehyde, permeabilised with 0.25% ...read more
Immunocytochemistry/ Immunofluorescence: IL-7 Antibody (AH34-12) [NBP2-67277] - Staining IL7 in Hela cells (red). The nuclear counter stain is DAPI (blue). Cells were fixed in paraformaldehyde, permeabilised with 0.25% ...read more
Immunocytochemistry/ Immunofluorescence: IL-7 Antibody (AH34-12) [NBP2-67277] - Staining IL7 in HepG2 cells (red). The nuclear counter stain is DAPI (blue). Cells were fixed in paraformaldehyde, permeabilised with 0.25% ...read more
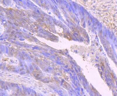
Immunohistochemistry-Paraffin: IL-7 Antibody (AH34-12) [NBP2-67277] - Analysis of paraffin-embedded human colon cancer tissue using anti-IL7 antibody. Counter stained with hematoxylin.
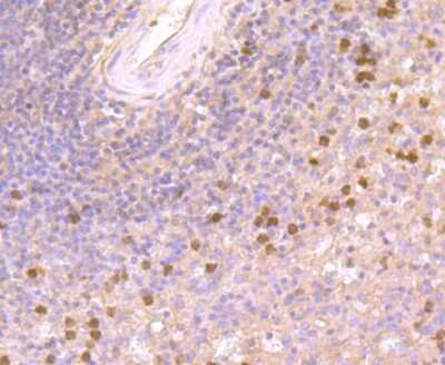
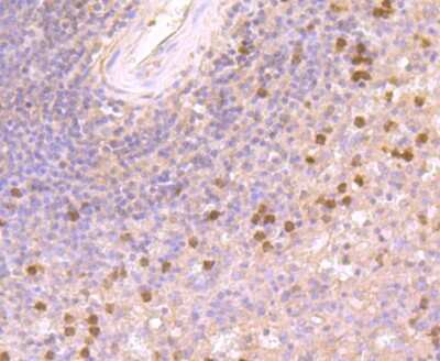
Immunohistochemistry-Paraffin: IL-7 Antibody (AH34-12) [NBP2-67277] - Analysis of paraffin-embedded human spleen tissue using anti-IL7 antibody. Counter stained with hematoxylin.

Product Details

Summary
Product Discontinued
View other related IL-7 Primary Antibodies

Order Details


    • Catalog Number
      NBP2-67277
    • Availability
      Product Discontinued

    Can't find what you are looking for? Use our Antibody Concierge Service & we will help you locate your antibody!

    Or feel free to contact us for alternative products.

IL-7 Antibody (AH34-12) Summary

Additional Information
Recombinant Monoclonal Antibody
Immunogen
Recombinant protein
Localization
Secreted.
Isotype
IgG1
Clonality
Monoclonal
Host
Mouse
Gene
IL7
Purity
Protein A purified
Innovator's Reward
Test in a species/application not listed above to receive a full credit towards a future purchase.

Applications/Dilutions

Dilutions
  • ELISA 1:5000-1:10000
  • Immunocytochemistry/ Immunofluorescence 1:100-1:500
  • Immunohistochemistry
  • Immunohistochemistry-Paraffin 1:50-1:200
  • Western Blot 1:500-1:1000

Packaging, Storage & Formulations

Storage
Store at -20C. Avoid freeze-thaw cycles.
Buffer
TBS (pH7.4), 1% BSA, 40% Glycerol
Preservative
0.2% Sodium Azide
Concentration
2 mg/ml
Purity
Protein A purified

Alternate Names for IL-7 Antibody (AH34-12)

  • IL7
  • IL-7
  • IL-7interleukin-7
  • interleukin 7
  • Lymphopoietin-1
  • PBGF

Background

Interleukin-7 (IL-7, previously known as lymphopoietin-1 and pre-B-cell growth factor) is a hematopoietic growth factor that stimulates early B and T cells. It can also co-stimulate the proliferation of mature T cells with other factors such as ConA (concanavalin A) and IL-2. IL-7 can induce the formation of lymphokine-activated killer (LAK) cells, it also plays a role in the development of cytotoxic T lymphocytes (CTL). IL-7 can stimulate the production of pro-inflammatory cytokines and enhance the tumoricidal activity of monocytes/macrophages. It is produced by thymic stromal cells, spleen cells and keratinocytes. Human and murine IL-7 show cross-species reactivity.

Limitations

This product is for research use only and is not approved for use in humans or in clinical diagnosis. Primary Antibodies are guaranteed for 1 year from date of receipt.

Customers Who Viewed This Item Also Viewed...

202-IL
Species: Hu
Applications: BA
6507-IL/CF
Species: Hu
Applications: BA
247-ILB
Species: Hu
Applications: BA
M6000B
Species: Mu
Applications: ELISA
NBP1-19371
Species: Ca, Hu, Mu, Po, Rb, Rt
Applications: Dual ISH-IHC, Flow, ICC/IF, IHC, IHC-Fr,  IHC-P, Simple Western, WB
NBP1-49045
Species: Mu, Rt
Applications: Cell Depl, CyTOF-ready, Flow, ICC/IF, IHC, IHC-Fr,  IHC-P, IP, InhibTFunc
255-SC
Species: Hu
Applications: BA
203-IL
Species: Hu
Applications: BA
DY417
Species: Mu
Applications: ELISA
485-MI
Species: Mu
Applications: BA
7268-CT
Species: Hu
Applications: BA
NBP2-79843
Species: Hu
Applications: CyTOF-ready, ELISA, Flow, ICC/IF, IHC,  IHC-P, PA, WB
NB100-524
Species: Hu, Mu
Applications: Flow-IC, Flow, ICC/IF, IHC, IHC-Fr,  IHC-P, IP, WB
NB600-1441
Species: Ca, Hu, Mu, Po
Applications: Flow, ICC/IF, IHC, IHC-Fr,  IHC-P, KD
DDX0700P-100
Species: Ca, Hu
Applications: B/N, Flow, IP
AF2168
Species: Hu, Mu
Applications: ChIP, Simple Western, WB
AF114
Species: Mu
Applications: CyTOF-ready, Flow, ICC, IHC, WB
AF1584
Species: Hu, Mu
Applications: CyTOF-ready, ICC, IP, ICFlow, KO, Simple Western, WB
NB100-56098
Species: Ca, Hu, Mu, Rt
Applications: IHC,  IHC-P, IP, WB

Publications for IL-7 Antibody (NBP2-67277) (0)

There are no publications for IL-7 Antibody (NBP2-67277).
By submitting your publication information earn gift cards and discounts for future purchases.

Reviews for IL-7 Antibody (NBP2-67277) (0)

There are no reviews for IL-7 Antibody (NBP2-67277). By submitting a review you will receive an Amazon e-Gift Card or Novus Product Discount.
  • Review with no image -- $10/€7/£6/$10 CAD/¥70 Yuan/¥1110 Yen
  • Review with an image -- $25/€18/£15/$25 CAD/¥150 Yuan/¥2500 Yen

Product General Protocols

Find general support by application which include: protocols, troubleshooting, illustrated assays, videos and webinars.

Video Protocols

WB Video Protocol
ICC/IF Video Protocol

FAQs for IL-7 Antibody (NBP2-67277) (0)

There are no specific FAQs related to this product. Read our general customer & technical service FAQs.

Contact Information

Product PDFs

Calculators

Concentration Calculator

The concentration calculator allows you to quickly calculate the volume, mass or concentration of your vial. Simply enter your mass, volume, or concentration values for your reagent and the calculator will determine the rest.

=
÷

Review this Product

Be the first to review our IL-7 Antibody (AH34-12) and receive a gift card or discount.

Bioinformatics

Gene Symbol IL7