Glutaminyl-peptide Cyclotransferase/QPCT Antibody - BSA Free

Images

 
Orthogonal Strategies: Immunohistochemistry-Paraffin: Glutaminyl-peptide Cyclotransferase/QPCT Antibody [NBP1-81838] - Staining in human adrenal gland and liver tissues using anti-QPCT antibody. Corresponding ...read more
Western Blot: Glutaminyl-peptide Cyclotransferase/QPCT Antibody [NBP1-81838] - Analysis in human cell line SK-MEL-30.
Immunohistochemistry: Glutaminyl-peptide Cyclotransferase/QPCT Antibody [NBP1-81838] - Staining of human adrenal gland shows high expression.
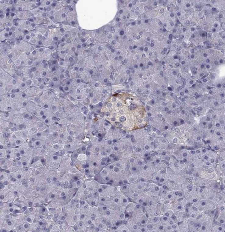
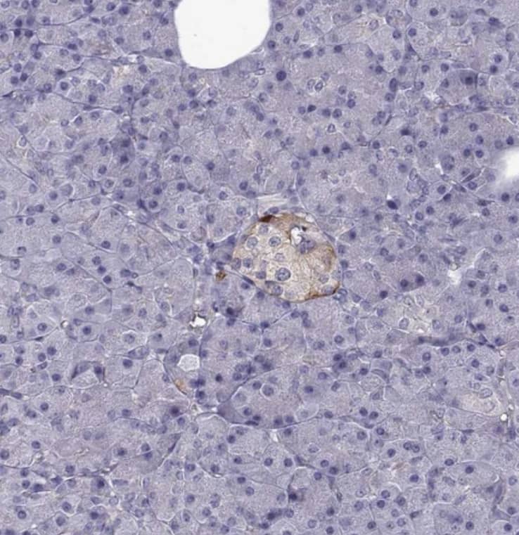
Immunohistochemistry-Paraffin: Glutaminyl-peptide Cyclotransferase/QPCT Antibody [NBP1-81838] - Staining of human liver shows low expression as expected.
Staining of human pancreas shows weak cytoplasmic positivity in islets of Langerhans.
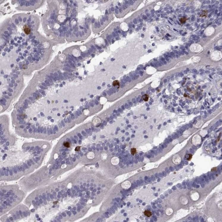
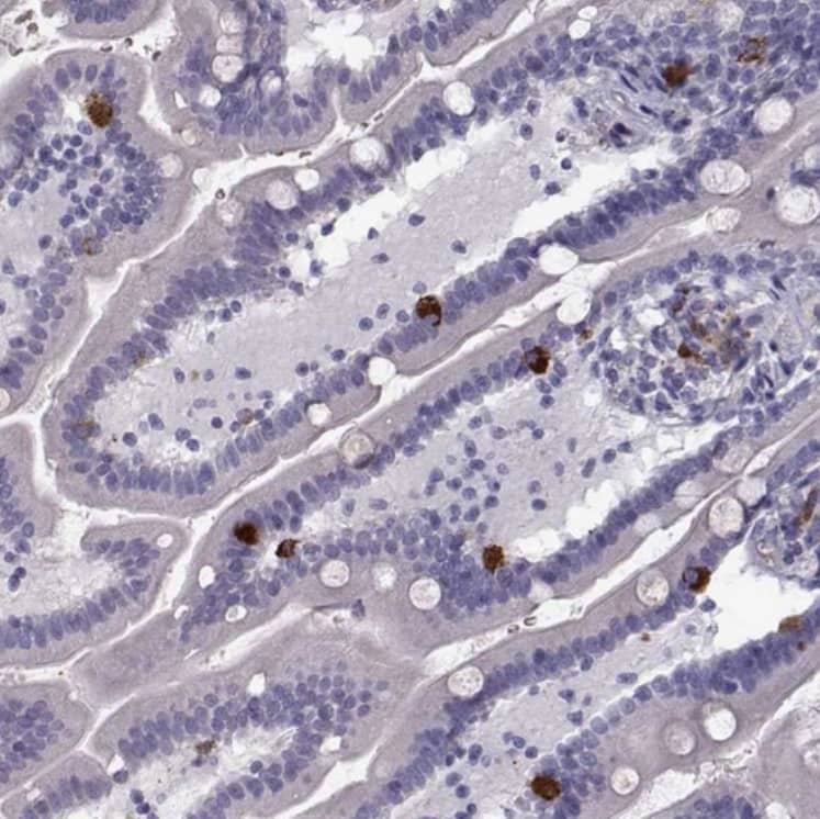
Staining of human duodenum shows strong cytoplasmic positivity in enteroendocrine cells.

Product Details

Summary
Reactivity HuSpecies Glossary
Applications WB, IHC
Clonality
Polyclonal
Host
Rabbit
Conjugate
Unconjugated
Format
BSA Free
Validated by:
       

Orthogonal Strategies

 

Order Details

View Available Formulations
Catalog# & Formulation Size Price

Glutaminyl-peptide Cyclotransferase/QPCT Antibody - BSA Free Summary

Immunogen
This antibody was developed against Recombinant Protein corresponding to amino acids: VPCAMMLELARALDKKLLSLKTVSDSKPDLSLQLIFFDGEEAFLHWSPQDSLYGSRHLAAKMASTPHPPGARGTSQLHGMDLLVLLDLIGAPNPTFPNFFPNSARWFERLQAIEHELHELGLLKDHSLEGRYFQNYSYGGVIQDDH
Isotype
IgG
Clonality
Polyclonal
Host
Rabbit
Gene
QPCT
Purity
Affinity purified
Innovator's Reward
Test in a species/application not listed above to receive a full credit towards a future purchase.

Applications/Dilutions

Dilutions
  • Immunohistochemistry 1:50 - 1:200
  • Immunohistochemistry-Paraffin 1:50 - 1:200
  • Western Blot 0.04-0.4 ug/ml
Application Notes
IHC-Paraffin, HIER pH 6 retrieval is recommended.
Control Peptide
Glutaminyl-peptide Cyclotransferase/QPCT Protein (NBP1-81838PEP)
Publications
Read Publication using
NBP1-81838 in the following applications:

Reactivity Notes

Rat (84%), Mouse (84%).

Packaging, Storage & Formulations

Storage
Store at 4C short term. Aliquot and store at -20C long term. Avoid freeze-thaw cycles.
Buffer
PBS (pH 7.2) and 40% Glycerol
Preservative
0.02% Sodium Azide
Purity
Affinity purified

Alternate Names for Glutaminyl-peptide Cyclotransferase/QPCT Antibody - BSA Free

  • EC 2.3.2.5
  • GCT
  • Glutaminyl cyclase
  • glutaminyl-peptide cyclotransferase
  • Glutaminyl-tRNA cyclotransferase
  • Glutamyl cyclase
  • QCEC
  • QPCT
  • sQC

Background

QPCT encodes human pituitary glutaminyl cyclase, which is responsible for the presence of pyroglutamyl residues in many neuroendocrine peptides. The amino acid sequence of this enzyme is 86% identical to that of bovine glutaminyl cyclase.

Limitations

This product is for research use only and is not approved for use in humans or in clinical diagnosis. Primary Antibodies are guaranteed for 1 year from date of receipt.

Customers Who Viewed This Item Also Viewed...

DVE00
Species: Hu
Applications: ELISA
AF3398
Species: Hu, Mu, Rt
Applications: ICC, KO, Simple Western, WB
AF1126
Species: Mu
Applications: ELISA(Cap), ELISA(Det), ELISA(Sta), IHC, IP, WB
NBP1-31329
Species: Hu, Mu, Rt
Applications: ICC/IF, IHC, IHC-Fr,  IHC-P, WB
NB110-41404
Species: Bv, Hu, Mu, Rt
Applications: ICC/IF, IHC, WB
NBP1-86616
Species: Hu
Applications: IHC,  IHC-P, WB
MAB1417
Species: Bv, Hu, Mu
Applications: ICC, IHC
AF1230
Species: Hu, Mu, Rt
Applications: IHC, KO, WB
NBP2-58917
Species: Hu
Applications: IHC,  IHC-P, WB
DYC1825-2
Species: Hu, Mu, Rt
Applications: ELISA
MAB1455
Species: Hu
Applications: CyTOF-ready, Dual ISH-IHC, ICC, IHC, ICFlow, Simple Western, WB
AF796
Species: Mu
Applications: AdBlk, IHC, WB
7268-CT
Species: Hu
Applications: BA
AF1513
Species: Mu
Applications: CyTOF-ready, Flow, IHC, IP, Simple Western, WB
NBP2-67232
Species: Hu, Mu
Applications: ICC/IF, IHC,  IHC-P, WB
NBP2-79843
Species: Hu
Applications: CyTOF-ready, ELISA, Flow, ICC/IF, IHC,  IHC-P, PA, WB
NB100-524
Species: Hu, Mu
Applications: Flow-IC, Flow, ICC/IF, IHC, IHC-Fr,  IHC-P, IP, WB
AF2335
Species: Mu
Applications: CyTOF-ready, Flow, ICC, IHC, IP, WB
NBP1-81838
Species: Hu
Applications: WB, IHC

Publications for Glutaminyl-peptide Cyclotransferase/QPCT Antibody (NBP1-81838)(1)

We have publications tested in 1 confirmed species: Mouse.

We have publications tested in 1 application: IF/IHC.


Filter By Application
IF/IHC
(1)
All Applications
Filter By Species
Mouse
(1)
All Species

Reviews for Glutaminyl-peptide Cyclotransferase/QPCT Antibody (NBP1-81838) (0)

There are no reviews for Glutaminyl-peptide Cyclotransferase/QPCT Antibody (NBP1-81838). By submitting a review you will receive an Amazon e-Gift Card or Novus Product Discount.
  • Review with no image -- $10/€7/£6/$10 CAD/¥70 Yuan/¥1110 Yen
  • Review with an image -- $25/€18/£15/$25 CAD/¥150 Yuan/¥2500 Yen

Product General Protocols

Find general support by application which include: protocols, troubleshooting, illustrated assays, videos and webinars.

Video Protocols

WB Video Protocol

FAQs for Glutaminyl-peptide Cyclotransferase/QPCT Antibody (NBP1-81838). (Showing 1 - 1 of 1 FAQ).

  1. Have you tested QPCT Antibody (NBP1-81838) on mice?
    • This antibody has only been tested with human, but the sequence recognized by this antibody shares 85% similarity with mouse. It may cross-react but we can not guarantee it. If you would like to test the antibody in mouse you may be interested in our Innovators Reward Program; through this program if you complete an online review with image, detailing your positive or negative results we will send you a discount voucher for 100% of the purchase price of the reviewed product.

Secondary Antibodies

 

Isotype Controls

Additional Glutaminyl-peptide Cyclotransferase/QPCT Products

Research Areas for Glutaminyl-peptide Cyclotransferase/QPCT Antibody (NBP1-81838)

Find related products by research area.

Blogs on Glutaminyl-peptide Cyclotransferase/QPCT

There are no specific blogs for Glutaminyl-peptide Cyclotransferase/QPCT, but you can read our latest blog posts.

Customers Who Bought This Also Bought

Contact Information

Product PDFs

Calculators

Concentration Calculator

The concentration calculator allows you to quickly calculate the volume, mass or concentration of your vial. Simply enter your mass, volume, or concentration values for your reagent and the calculator will determine the rest.

=
÷

Review this Product

Be the first to review our Glutaminyl-peptide Cyclotransferase/QPCT Antibody - BSA Free and receive a gift card or discount.

Bioinformatics

Gene Symbol QPCT
Entrez
Uniprot