Glutaminase Antibody (SN68-09)

Images

 
Western Blot: Glutaminase Antibody (SN68-09) [NBP2-67683] - Analysis of Glutaminase on different lysates using anti-Glutaminase antibody at 1/1,000 dilution. Positive control: Lane 1: Hela Lane 2: 293
Immunocytochemistry/ Immunofluorescence: Glutaminase Antibody (SN68-09) [NBP2-67683] - Staining Glutaminase in HepG2 cells (green). The nuclear counter stain is DAPI (blue). Cells were fixed in paraformaldehyde, ...read more
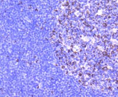
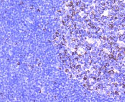
Immunohistochemistry-Paraffin: Glutaminase Antibody (SN68-09) [NBP2-67683] - Analysis of paraffin-embedded human tonsil tissue using anti-Glutaminase antibody. Counter stained with hematoxylin.
Immunocytochemistry/ Immunofluorescence: Glutaminase Antibody (SN68-09) [NBP2-67683] - Staining Glutaminase in Hela cells (green). The nuclear counter stain is DAPI (blue). Cells were fixed in paraformaldehyde, ...read more
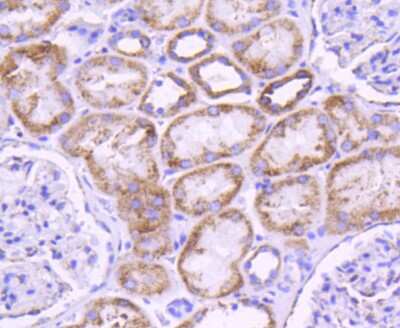
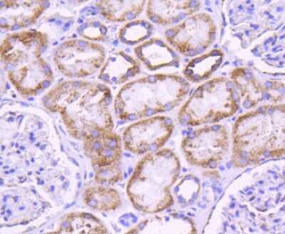
Immunohistochemistry-Paraffin: Glutaminase Antibody (SN68-09) [NBP2-67683] - Analysis of paraffin-embedded human kidney tissue using anti-Glutaminase antibody. Counter stained with hematoxylin.

Product Details

Summary
Product Discontinued
View other related Glutaminase Primary Antibodies

Order Details


    • Catalog Number
      NBP2-67683
    • Availability
      Product Discontinued

    Can't find what you are looking for? Use our Antibody Concierge Service & we will help you locate your antibody!

    Or feel free to contact us for alternative products.

Glutaminase Antibody (SN68-09) Summary

Additional Information
Recombinant Monoclonal Antibody.
Immunogen
Synthetic peptide within human Glutaminase aa 50-100. (SwissProt: O94925 Human; SwissProt: D3Z7P3 Mouse; SwissProt: P13264 Rat)
Localization
Cytoplasm, Mitochondrion.
Isotype
IgG
Clonality
Monoclonal
Host
Rabbit
Gene
GLS
Purity
Protein A purified
Innovator's Reward
Test in a species/application not listed above to receive a full credit towards a future purchase.

Applications/Dilutions

Dilutions
  • Immunocytochemistry/ Immunofluorescence 1:50-1:200
  • Immunohistochemistry
  • Immunohistochemistry-Paraffin 1:50-1:200
  • Western Blot 1:1000-1:2000

Packaging, Storage & Formulations

Storage
Store at 4C short term. Aliquot and store at -20C long term. Avoid freeze-thaw cycles.
Buffer
TBS (pH7.4), 0.05% BSA, 40% Glycerol
Preservative
0.05% Sodium Azide
Concentration
1 mg/ml
Purity
Protein A purified

Alternate Names for Glutaminase Antibody (SN68-09)

  • AAD20
  • EC 3.5.1.2
  • GLS
  • GLS1DKFZp686O15119
  • glutaminase C
  • glutaminase kidney isoform, mitochondrial
  • Glutaminase
  • glutaminase, phosphate-activated
  • K-Glutaminase
  • KIAA0838FLJ10358
  • L-Glutamine Amidohydrolase

Background

Sahai (1983) [PubMed 6825316] demonstrated phosphate-activated glutaminase (EC 3.5.1.2) in human platelets. It is the major enzyme yielding glutamate from glutamine. Significance of the enzyme derives from its possible implication in behavior disturbances in which glutamate acts as a neurotransmitter (Prusiner, 1981). High heritability of platelet glutaminase was indicated by studies of Sahai and Vogel (1983) [PubMed 6682827] who found an intraclass correlation coefficient of 0.96 for monozygotic twins and 0.53 for dizygotic twins.[supplied by OMIM]

Limitations

This product is for research use only and is not approved for use in humans or in clinical diagnosis. Primary Antibodies are guaranteed for 1 year from date of receipt.

Customers Who Viewed This Item Also Viewed...

NB110-41404
Species: Bv, Hu, Mu, Rt
Applications: ICC/IF, IHC, WB
NBP1-76544
Species: Hu, Mu, Rt
Applications: ELISA, ICC/IF, IHC,  IHC-P, Simple Western, WB
NBP2-58917
Species: Hu
Applications: IHC,  IHC-P, WB
NB500-487
Species: Bv, Hu, Mu, Rt
Applications: IHC,  IHC-P, IP, WB
NBP1-82558
Species: Hu
Applications: ICC/IF, IHC,  IHC-P, WB
NBP1-88866
Species: Hu
Applications: IHC,  IHC-P
NBP1-89133
Species: Hu
Applications: ICC/IF, IHC,  IHC-P, WB
H00002678-M01
Species: Hu, Mu, Ye
Applications: ELISA, ICC/IF, IHC,  IHC-P, IP, S-ELISA, WB
MAB1417
Species: Bv, Hu, Mu
Applications: ICC, IHC
NB100-91662
Species: Hu, Mu, Rt
Applications: Flow, ICC/IF, IHC,  IHC-P, Simple Western, WB
H00008833-M01
Species: Hu
Applications: ELISA, Flow, IHC,  IHC-P, S-ELISA, WB
AF3398
Species: Hu, Mu, Rt
Applications: ICC, KO, Simple Western, WB
NBP1-91942
Species: Hu, Mu, Rt
Applications: IHC,  IHC-P, WB
NBP2-43648
Species: Hu, Mu, Rt, Ze
Applications: ICC/IF, IHC,  IHC-P, WB
NBP2-16679
Species: Dr, Hu, Mu, Rt
Applications: ELISA, ICC/IF, IHC,  IHC-P, WB
NBP1-90906
Species: Hu, Mu, Rt
Applications: ICC/IF, IHC,  IHC-P, WB
H00030851-M01
Species: Hu
Applications: ELISA, S-ELISA, Simple Western, WB
NB100-2737
Species: Hu
Applications: ICC/IF, IHC, IP, WB
NBP2-67683
Species: Hu, Mu, Rt
Applications: WB, ICC/IF, IHC

Publications for Glutaminase Antibody (NBP2-67683) (0)

There are no publications for Glutaminase Antibody (NBP2-67683).
By submitting your publication information earn gift cards and discounts for future purchases.

Reviews for Glutaminase Antibody (NBP2-67683) (0)

There are no reviews for Glutaminase Antibody (NBP2-67683). By submitting a review you will receive an Amazon e-Gift Card or Novus Product Discount.
  • Review with no image -- $10/€7/£6/$10 CAD/¥70 Yuan/¥1110 Yen
  • Review with an image -- $25/€18/£15/$25 CAD/¥150 Yuan/¥2500 Yen

Product General Protocols

Find general support by application which include: protocols, troubleshooting, illustrated assays, videos and webinars.

Video Protocols

WB Video Protocol
ICC/IF Video Protocol

FAQs for Glutaminase Antibody (NBP2-67683) (0)

There are no specific FAQs related to this product. Read our general customer & technical service FAQs.

Contact Information

Product PDFs

Calculators

Concentration Calculator

The concentration calculator allows you to quickly calculate the volume, mass or concentration of your vial. Simply enter your mass, volume, or concentration values for your reagent and the calculator will determine the rest.

=
÷

Review this Product

Be the first to review our Glutaminase Antibody (SN68-09) and receive a gift card or discount.

Bioinformatics

Gene Symbol GLS