Glutaminase Products

Antibodies
Glutaminase Antibody - BSA Fr ...
Glutaminase Antibody - BSA Free
Species: Hu, Mu, Rt
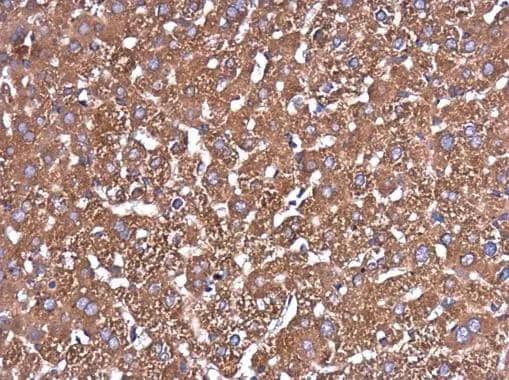
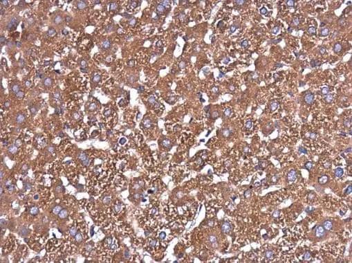
Applications: WB, ICC/IF, IHC
Host: Rabbit Polyclonal
Glutaminase Antibody (5C4) - ...
Glutaminase Antibody (5C4) - Azide...
H00002744-M01
Species: Hu, Mu
Applications: WB, ELISA, ICC/IF
Host: Mouse Monoclonal
Glutaminase Antibody (3211) - ...
Glutaminase Antibody (3211) - Azid...
NBP2-43762
Species: Hu, Mu, Bv
Applications: WB, ICC/IF, IHC
Host: Mouse Monoclonal
ELISA Kits
Human Glutaminase ELISA Kit ( ...
Human Glutaminase ELISA Kit (Color...
NBP3-31785
Species: Hu
Applications: ELISA
Human Glutaminase - Ready-To ...
Human Glutaminase - Ready-To-Use ...
NBP3-31786
Species: Hu
Applications: ELISA
Rat Glutaminase ELISA Kit (Co ...
Rat Glutaminase ELISA Kit (Colorim...
NBP3-42515
Species: Rt
Applications: ELISA
Kits
Glutaminase Activity Assay Ki ...
Glutaminase Activity Assay Kit (Co...
NBP3-24496
Species: All-NA
Applications: Func
Lysates
Glutaminase Overexpression Ly ...
Glutaminase Overexpression Lysate
NBP2-10302
Species: Hu
Applications: WB
Proteins
Recombinant Human Glutaminase ...
Recombinant Human Glutaminase His-...
10115-GL
Species: Hu
Applications: Enzyme Activity
Formulation Catalog # Availability Price  
Recombinant E. coli Glutamina ...
Recombinant E. coli Glutaminase Hi...
NBP1-72301
Species: Ec
Applications: PAGE
Glutaminase Recombinant Prote ...
Glutaminase Recombinant Protein An...
NBP1-89766PEP
Species: Hu
Applications: AC

Description

Sahai (1983) [PubMed 6825316] demonstrated phosphate-activated glutaminase (EC 3.5.1.2) in human platelets. It is the major enzyme yielding glutamate from glutamine. Significance of the enzyme derives from its possible implication in behavior disturbances in which glutamate acts as a neurotransmitter (Prusiner, 1981). High heritability of platelet glutaminase was indicated by studies of Sahai and Vogel (1983) [PubMed 6682827] who found an intraclass correlation coefficient of 0.96 for monozygotic twins and 0.53 for dizygotic twins.[supplied by OMIM]

Bioinformatics

Entrez Human
Uniprot Human
Human
Product By Gene ID 2744
Alternate Names
  • AAD20
  • EC 3.5.1.2
  • GLS1DKFZp686O15119
  • glutaminase C
  • glutaminase kidney isoform, mitochondrial
  • glutaminase
  • glutaminase, phosphate-activated
  • K-glutaminase
  • KIAA0838FLJ10358
  • L-glutamine amidohydrolase