FMO3 Antibody - BSA Free

Images

 
Western Blot: FMO3 Antibody [NBP1-33583] - Sample (30 ug of whole cell lysate) A: H1299 7. 5% SDS PAGE; antibody diluted at 1:1000.
Immunocytochemistry/ Immunofluorescence: FMO3 Antibody [NBP1-33583] - Analysis of methanol-fixed A431, using antibody at 1:200 dilution.
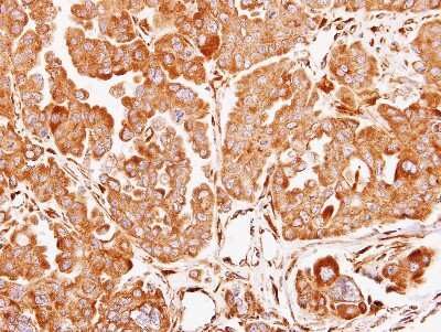
Immunohistochemistry-Paraffin: FMO3 Antibody [NBP1-33583] - Paraffin-embedded OVCAR3 xenograft, using antibody at 1:100 dilution.
Western Blot: FMO3 Antibody [NBP1-33583] - Sample (50 ug of whole cell lysate) A: Mouse liver 7. 5% SDS PAGE; antibody diluted at 1:1000.

Product Details

Summary
Reactivity Hu, Mu, Pm, RMSpecies Glossary
Applications WB, ICC/IF, IHC
Clonality
Polyclonal
Host
Rabbit
Conjugate
Unconjugated
Format
BSA Free

Order Details

FMO3 Antibody - BSA Free Summary

Description
Novus Biologicals Rabbit FMO3 Antibody - BSA Free (NBP1-33583) is a polyclonal antibody validated for use in IHC, WB and ICC/IF. Anti-FMO3 Antibody: Cited in 1 publication. All Novus Biologicals antibodies are covered by our 100% guarantee.
Immunogen
Recombinant protein encompassing a sequence within the center region of human FMO3. The exact sequence is proprietary.
Localization
Microsome membrane, Endoplasmic reticulum membrane
Predicted Species
Rhesus Macaque (100%), Chimpanzee (100%). Backed by our 100% Guarantee.
Isotype
IgG
Clonality
Polyclonal
Host
Rabbit
Gene
FMO3
Purity
Antigen Affinity-purified
Innovator's Reward
Test in a species/application not listed above to receive a full credit towards a future purchase.

Applications/Dilutions

Dilutions
  • Immunocytochemistry/ Immunofluorescence 1:100-1:1000
  • Immunohistochemistry 1:100-1:1000
  • Immunohistochemistry-Paraffin 1:100-1:1000
  • Western Blot 1:500-1:3000
Theoretical MW
60 kDa.
Disclaimer note: The observed molecular weight of the protein may vary from the listed predicted molecular weight due to post translational modifications, post translation cleavages, relative charges, and other experimental factors.
Publications
Read Publication using NBP1-33583.

Reactivity Notes

Rat (81%), Canine (84%), Rabbit (81%), Bovine (83%).

Packaging, Storage & Formulations

Storage
Aliquot and store at -20C or -80C. Avoid freeze-thaw cycles.
Buffer
0.1M Tris, 0.1M Glycine, 20% Glycerol
Preservative
0.01% Thimerosal
Purity
Antigen Affinity-purified

Alternate Names for FMO3 Antibody - BSA Free

  • dimethylaniline monooxygenase [N-oxide-forming] 3
  • Dimethylaniline oxidase 3
  • dJ127D3.1
  • EC 1.14.13.8
  • flavin containing monooxygenase 3
  • FMO 3
  • FMO form 2
  • FMO II
  • FMOII
  • Hepatic flavin-containing monooxygenase 3
  • hepatic flavin-containing monooxygenase-3
  • MGC34400
  • TMAU

Background

The mammalian flavin-containing monooxygenases (FMO; EC 1.14.13.8) represent a multigene family whose gene products are localized in the endoplasmic reticulum of many tissues. These enzymes catalyze the NADPH-dependent oxidative metabolism of many drugs, pesticides, and other foreign compounds. Their substrates are soft nucleophiles with an electron-rich center, typically a nitrogen, sulfur or phosphorus-containing functional group, as the site for oxidative attack by the enzyme (Ziegler, 1990 [PubMed 2203193]; Hines et al., 1994 [PubMed 8128486]).[supplied by OMIM]

Limitations

This product is for research use only and is not approved for use in humans or in clinical diagnosis. Primary Antibodies are guaranteed for 1 year from date of receipt.

Customers Who Viewed This Item Also Viewed...

NBP1-86412
Species: Hu
Applications: IHC,  IHC-P
NBP1-59353
Species: Hu
Applications: WB
NBP1-86093
Species: Hu
Applications: ICC/IF, IHC,  IHC-P
NBP1-33318
Species: Hu
Applications: IHC,  IHC-P, WB
NBP2-37502
Species: Hu
Applications: CyTOF-ready, ELISA, Flow, ICC/IF, IHC,  IHC-P, WB
NBP2-02563
Species: Hu
Applications: Flow, ICC/IF, IHC,  IHC-P, WB
NBP1-91818
Species: Hu
Applications: IHC,  IHC-P, WB
NBP2-01437
Species: Hu, Pm, Mu, Pm, Rt
Applications: Flow, IHC,  IHC-P, WB
NBP3-10546
Species: Hu
Applications: WB
NBP1-88054
Species: Hu
Applications: IHC,  IHC-P, WB
NB100-74398
Species: Hu, Mu, Pm, Rt
Applications: ICC/IF, IHC,  IHC-P, WB
NBP1-85367
Species: Hu, Mu, Rt, V-Vi
Applications: ICC/IF, IHC,  IHC-P, WB
NBP2-01397
Species: Hu
Applications: Flow, ICC/IF, IHC,  IHC-P, WB
NB100-128
Species: Hu, Mu, Rt
Applications: ChIP, GS, ICC/IF, IHC,  IHC-P, WB
NBP2-58917
Species: Hu
Applications: IHC,  IHC-P, WB
AF5928
Species: Hu
Applications: ICC, IHC, WB
NBP1-86616
Species: Hu
Applications: IHC,  IHC-P, WB
AF3398
Species: Hu, Mu, Rt
Applications: ICC, KO, Simple Western, WB
NB100-182
Species: Av, Ca, Hu, Ma, Mu, Pm, Rt, Ze
Applications: ChIP, ChIP, Flow, IB, ICC/IF, IHC,  IHC-P, IP, KD, KO, RNAi, Simple Western, WB
NBP1-33583
Species: Hu, Mu, Pm, RM
Applications: WB, ICC/IF, IHC
⚠ WARNING: This product can expose you to chemicals including mercury, which is known to the State of California to cause reproductive toxicity with developmental effects.  For more information go to www.P65Warnings.ca.gov.

Publications for FMO3 Antibody (NBP1-33583)(1)

Reviews for FMO3 Antibody (NBP1-33583) (0)

There are no reviews for FMO3 Antibody (NBP1-33583). By submitting a review you will receive an Amazon e-Gift Card or Novus Product Discount.
  • Review with no image -- $10/€7/£6/$10 CAD/¥70 Yuan/¥1110 Yen
  • Review with an image -- $25/€18/£15/$25 CAD/¥150 Yuan/¥2500 Yen

Product General Protocols

Find general support by application which include: protocols, troubleshooting, illustrated assays, videos and webinars.

Video Protocols

WB Video Protocol
ICC/IF Video Protocol

FAQs for FMO3 Antibody (NBP1-33583) (0)

There are no specific FAQs related to this product. Read our general customer & technical service FAQs.

Secondary Antibodies

 

Isotype Controls

Additional FMO3 Products

Research Areas for FMO3 Antibody (NBP1-33583)

Find related products by research area.

Blogs on FMO3

There are no specific blogs for FMO3, but you can read our latest blog posts.

Customers Who Bought This Also Bought

Contact Information

Product PDFs

Calculators

Concentration Calculator

The concentration calculator allows you to quickly calculate the volume, mass or concentration of your vial. Simply enter your mass, volume, or concentration values for your reagent and the calculator will determine the rest.

=
÷

Review this Product

Be the first to review our FMO3 Antibody - BSA Free and receive a gift card or discount.

Bioinformatics

Gene Symbol FMO3