Cytochrome P450 2E1 Antibody - BSA Free

Images

 
Orthogonal Strategies: Immunohistochemistry-Paraffin: Cytochrome P450 2E1 Antibody [NBP1-85367] - Analysis in human liver and endometrium tissues. Corresponding CYP2E1 RNA-seq data are presented for the same ...read more
Independent Antibodies: Immunohistochemistry-Paraffin: Cytochrome P450 2E1 Antibody [NBP1-85367] - Staining of human endometrium, liver, liver cancer and tonsil using Anti-CYP2E1 antibody NBP1-85367 (A) shows ...read more
Western Blot: Cytochrome P450 2E1 Antibody [NBP1-85367] - Western blot analysis in mouse liver tissue and rat liver tissue.
Immunohistochemistry-Paraffin: Cytochrome P450 2E1 Antibody [NBP1-85367] - Staining of human endometrium shows no positivity in glandular or stromal cells as expected.
Western Blot: Cytochrome P450 2E1 Antibody [NBP1-85367] - Analysis in human liver tissue.
Immunohistochemistry-Paraffin: Cytochrome P450 2E1 Antibody [NBP1-85367] - Staining of human liver cancer shows moderate cytoplasmic positivity in tumor cells.
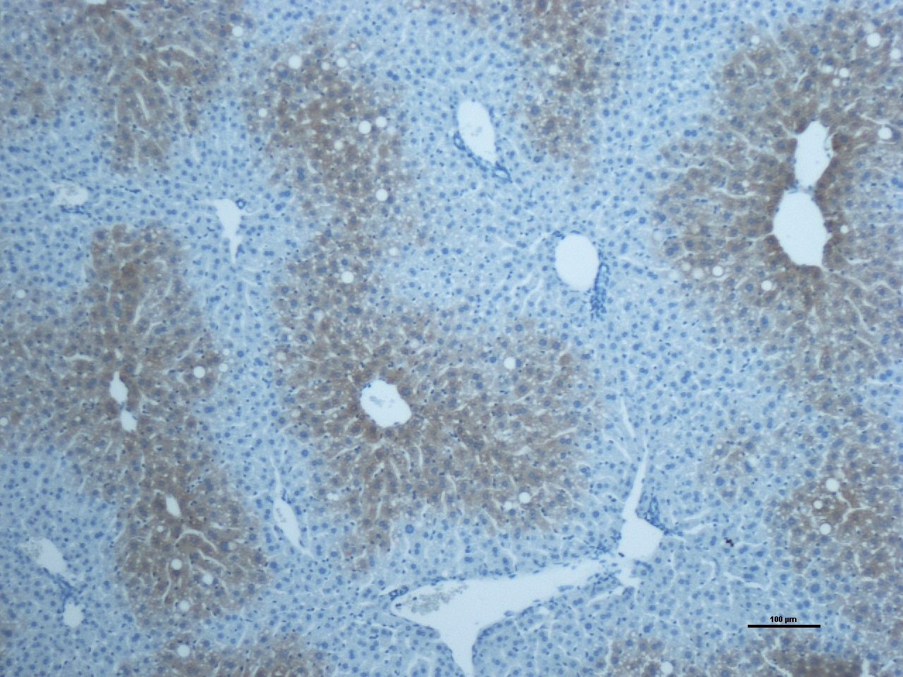
Immunohistochemistry-Paraffin: Cytochrome P450 2E1 Antibody [NBP1-85367] - Staining of human liver shows strong cytoplasmic positivity in hepatocytes.
Immunohistochemistry-Paraffin: Cytochrome P450 2E1 Antibody [NBP1-85367] - Staining of human tonsil shows no positivity in germinal center cells as expected.
Western Blot: Rabbit Polyclonal Cytochrome P450 2E1 Antibody [NBP1-85367] - Western Blot of the liver homogenates from control and alcohol-fed mice. Image from a verified customer review.
Western Blot: Rabbit Polyclonal Cytochrome P450 2E1 Antibody [NBP1-85367] - Cytochrome P450 2E1 western blot of the homogenates from control and alcohol-fed rats. Image from a verified customer review.
Western Blot: Rabbit Polyclonal Cytochrome P450 2E1 Antibody [NBP1-85367] - Cytochrome P450 2E1 western blot of the lysate of VL-17A cells (Hep G2 cells that stably express both Cytochrome P450 2E1 and ADH): control and ...read more
Immunocytochemistry/ Immunofluorescence: Rabbit Polyclonal Cytochrome P450 2E1 Antibody [NBP1-85367] - VA-13 cells (mouse ADH1-transfected HepG2 cells) stained with Cytochrome P450 2E1 Antibody. Image from a verified ...read more

Product Details

Summary
Reactivity Hu, Mu, RtSpecies Glossary
Applications WB, ICC/IF, IHC
Clonality
Polyclonal
Host
Rabbit
Conjugate
Unconjugated
Format
BSA Free

Order Details

View Available Formulations
Catalog# & Formulation Size Price

Cytochrome P450 2E1 Antibody - BSA Free Summary

Description
Novus Biologicals Rabbit Cytochrome P450 2E1 Antibody - BSA Free (NBP1-85367) is a polyclonal antibody validated for use in IHC, WB and ICC/IF. Anti-Cytochrome P450 2E1 Antibody: Cited in 4 publications. All Novus Biologicals antibodies are covered by our 100% guarantee.
Immunogen
This antibody was developed against Recombinant Protein corresponding to amino acids: EKLHEEIDRVIGPSRIPAIKDRQEMPYMDAVVHEIQRFITLVPSNLPHEATRDTIFRGYLIPKGTVVVPTLDSVLYDNQEFPDPEKFKPEHFLNENGKFKYSDYFKPFSTGKRVCAG
Isotype
IgG
Clonality
Polyclonal
Host
Rabbit
Gene
CYP2E1
Purity
Affinity purified
Innovator's Reward
Test in a species/application not listed above to receive a full credit towards a future purchase.

Applications/Dilutions

Dilutions
  • Immunocytochemistry/ Immunofluorescence Validated from a verified customer review.
  • Immunohistochemistry 1:200 - 1:500
  • Immunohistochemistry-Paraffin 1:200 - 1:500
  • Western Blot 0.04-0.4 ug/ml
Application Notes
For IHC-Paraffin, HIER pH 6 retrieval is recommended.
Control Peptide
Cytochrome P450 2E1 Protein (NBP1-85367PEP)
Reviewed Applications
Read 5 Reviews rated 5
using
NBP1-85367 in the following applications:

Publications
Read Publications using
NBP1-85367 in the following applications:

Packaging, Storage & Formulations

Storage
Store at 4C short term. Aliquot and store at -20C long term. Avoid freeze-thaw cycles.
Buffer
PBS (pH 7.2) and 40% Glycerol
Preservative
0.02% Sodium Azide
Purity
Affinity purified

Alternate Names for Cytochrome P450 2E1 Antibody - BSA Free

  • 4-nitrophenol 2-hydroxylase
  • CPE1
  • CYP2Ecytochrome P450 2E1
  • CYPIIE1
  • cytochrome P450, family 2, subfamily E, polypeptide 1
  • cytochrome P450, subfamily IIE (ethanol-inducible), polypeptide 1
  • Cytochrome P450-J
  • EC 1.14.13.-
  • EC 1.14.13.n7
  • EC 1.14.14.1
  • flavoprotein-linked monooxygenase
  • microsomal monooxygenase
  • P450C2E
  • P450-J
  • xenobiotic monooxygenase

Limitations

This product is for research use only and is not approved for use in humans or in clinical diagnosis. Primary Antibodies are guaranteed for 1 year from date of receipt.

Customers Who Viewed This Item Also Viewed...

NBP2-37502
Species: Hu
Applications: CyTOF-ready, ELISA, Flow, ICC/IF, IHC,  IHC-P, WB
NBP2-02563
Species: Hu
Applications: Flow, ICC/IF, IHC,  IHC-P, WB
NB100-74398
Species: Hu, Mu, Pm, Rt
Applications: ICC/IF, IHC,  IHC-P, WB
NBP1-91818
Species: Hu
Applications: IHC,  IHC-P, WB
NBP2-01397
Species: Hu
Applications: Flow, ICC/IF, IHC,  IHC-P, WB
NBP2-01437
Species: Hu, Pm, Mu, Pm, Rt
Applications: Flow, IHC,  IHC-P, WB
NBP3-10546
Species: Hu
Applications: WB
NBP2-01800
Species: Ca, Hu, Pm, Mu, Rt
Applications: Flow, ICC/IF, IHC,  IHC-P, WB
NB600-326
Species: ET
Applications: ELISA, ICC/IF, IHC,  IHC-P, IP, Simple Western, WB
NBP2-36776
Species: Hu
Applications: ICC/IF, IHC,  IHC-P, KD, WB
NBP1-32733
Species: Hu, Mu, Rt
Applications: IHC,  IHC-P, IP, WB
NBP2-02164
Species: Hu, Mu, Rt
Applications: Flow, ICC/IF, IHC,  IHC-P, WB
AF1936
Species: Hu
Applications: IP, WB
NBP1-88054
Species: Hu
Applications: IHC,  IHC-P, WB
AF3398
Species: Hu, Mu, Rt
Applications: ICC, KO, Simple Western, WB
H00001556-P01
Species: Hu
Applications: ELISA, AP, PA, PAGE, WB
NBP1-85367
Species: Hu, Mu, Rt
Applications: WB, ICC/IF, IHC

Publications for Cytochrome P450 2E1 Antibody (NBP1-85367)(4)

Reviews for Cytochrome P450 2E1 Antibody (NBP1-85367) (5) 55

Average Rating: 5
(Based on 5 reviews)
We have 5 reviews tested in 3 species: Human, Mouse, Rat.

Reviews using NBP1-85367:
Filter by Applications
WB
(3)
Immunocytochemistry/Immunofluorescence
(1)
 IHC-P
(1)
All Applications
Filter by Species
Human
(2)
Mouse
(2)
Rat
(1)
All Species
Images Ratings Applications Species Date Details
Western Blot Cytochrome P450 2E1 NBP1-85367
Enlarge
5
reviewed by:
Armen Petrosyan
WB Human 11/10/2024
View

Summary

ApplicationWestern Blot
Sample TestedHepG2 CELLS
SpeciesHuman
Lot000045420
Western Blot Cytochrome P450 2E1 NBP1-85367
Enlarge
5
reviewed by:
Armen Petrosyan
WB Rat 11/09/2024
View

Summary

ApplicationWestern Blot
Sample TestedRat hepatocytes
SpeciesRat
Lot000045420
Immunocytochemistry/Immunofluorescence Cytochrome P450 2E1 NBP1-85367
Enlarge
5
reviewed by:
Armen Petrosyan
Immunocytochemistry/Immunofluorescence Human 11/06/2024
View

Summary

ApplicationImmunocytochemistry/Immunofluorescence
Sample TestedHepG2 hepatoma cells
SpeciesHuman
Lot000045420

Comments

Comments***Bio-Techne Response: This review was submitted through the legacy Novus Innovators Program, reflecting a new species or application tested on a primary antibody.***
Western Blot Cytochrome P450 2E1 NBP1-85367
Enlarge
5
reviewed by:
Armen Petrosyan
WB Mouse 11/06/2024
View

Summary

ApplicationWestern Blot
Sample TestedLiver homogenates sample
SpeciesMouse
Lot000045420
Immunohistochemistry-Paraffin Cytochrome P450 2E1 NBP1-85367
Enlarge
5
reviewed by:
Marta Melis
 IHC-P Mouse 12/21/2019
View

Summary

ApplicationImmunohistochemistry-Paraffin
Sample Testedmouse liver FFPE section,mouse liver paraffin section
SpeciesMouse
LotB115936

Product General Protocols

Find general support by application which include: protocols, troubleshooting, illustrated assays, videos and webinars.

Video Protocols

WB Video Protocol
ICC/IF Video Protocol

FAQs for Cytochrome P450 2E1 Antibody (NBP1-85367) (0)

There are no specific FAQs related to this product. Read our general customer & technical service FAQs.

Secondary Antibodies

 

Isotype Controls

Additional Cytochrome P450 2E1 Products

Research Areas for Cytochrome P450 2E1 Antibody (NBP1-85367)

Find related products by research area.

Blogs on Cytochrome P450 2E1

There are no specific blogs for Cytochrome P450 2E1, but you can read our latest blog posts.

Customers Who Bought This Also Bought

Contact Information

Product PDFs

Calculators

Concentration Calculator

The concentration calculator allows you to quickly calculate the volume, mass or concentration of your vial. Simply enter your mass, volume, or concentration values for your reagent and the calculator will determine the rest.

=
÷

Recent Reviews

5
5
5
4
0
3
0
2
0
1
0

Armen Petrosyan
11/10/2024
Application: WB
Species: Human

Armen Petrosyan
11/09/2024
Application: WB
Species: Rat

Armen Petrosyan
11/06/2024
Application: Immunocytochemistry/Immunofluorescence
Species: Human

Bioinformatics

Gene Symbol CYP2E1