FGF-8 Antibody (47109)

Images

 
Recombinant Mouse FGF-8 c Isoform (Catalog # 424-FC) stimulates proliferation in the the NR6R-3T3 mouse fibroblast cell line in a dose-dependent manner (orange line). Proliferation elicited by Recombinant Mouse FGF-8 c ...read more
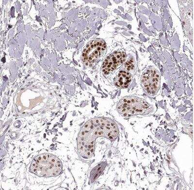
FGF-8 was detected in immersion fixed paraffin-embedded sections of human prostate using Mouse Anti-Human/Mouse FGF-8 Monoclonal Antibody (Catalog # MAB323) at 25 µg/mL overnight at 4 °C. Tissue was stained using the ...read more
Bafilomycin A1 (BAF) treatment demonstrates the polarization of ERK activity by FGF8 signal activity along the neuraltube. A-C) BAF amplifies ectopic ERK1/2 activity-related FGF8 induction revealing a clear polarized ...read more
Brefeldin A (BFA) treatment inhibits ERK1/2 activity & modulates differentially Fgf8 negative feed-back regulators. A, B & C) are 12 mM cryostat transversal sections of mouse ONTCs to the isthmic constriction. A & B) ...read more
Phosphorylation patterns of ERK1/2 (dpERK) enzymes in the anterior neural tube.Whole mount in situ hybridization (ISH) of E9.5 mouse embryo (A,B,B’) and corresponding organotypic neural tissue cultures of mouse E9.5 ...read more

Product Details

Summary
Reactivity Hu, MuSpecies Glossary
Applications WB, IHC, B/N
Clone
47109
Clonality
Monoclonal
Host
Mouse
Conjugate
Unconjugated

Order Details

FGF-8 Antibody (47109) Summary

Immunogen
E. coli-derived recombinant mouse FGF-8b
Gln23-Arg215
Accession # NP_001159834
Specificity
Detects human and mouse FGF-8 in direct ELISAs and Western blots. In direct ELISAs and Western blots, less than 2% cross-reactivity with recombinant human  (rh) FGF-5, rhFGF-7, and rhFGF-9 is observed.
Source
N/A
Isotype
IgG1
Clonality
Monoclonal
Host
Mouse
Gene
FGF8
Purity Statement
Protein A or G purified from ascites
Endotoxin Note
<0.10 EU per 1 μg of the antibody by the LAL method.
Innovator's Reward
Test in a species/application not listed above to receive a full credit towards a future purchase.

Applications/Dilutions

Dilutions
  • Immunohistochemistry 8-25 ug/mL
  • Neutralization 0.25-0.75 ug/mL
  • Western Blot 1 ug/mL
Publications
Read Publications using
MAB323 in the following applications:

Packaging, Storage & Formulations

Storage
Use a manual defrost freezer and avoid repeated freeze-thaw cycles.
  • 12 months from date of receipt, -20 to -70 °C as supplied.
  • 1 month, 2 to 8 °C under sterile conditions after reconstitution.
  • 6 months, -20 to -70 °C under sterile conditions after reconstitution.
Buffer
Lyophilized from a 0.2 μm filtered solution in PBS with Trehalose. *Small pack size (SP) is supplied either lyophilized or as a 0.2 µm filtered solution in PBS.
Preservative
No Preservative
Reconstitution Instructions
Reconstitute at 0.5 mg/mL in sterile PBS.

Notes

This product is produced by and ships from R&D Systems, Inc., a Bio-Techne brand.

Alternate Names for FGF-8 Antibody (47109)

  • AIGF
  • AIGFKAL6
  • Androgen-induced growth factor
  • FGF8
  • FGF-8
  • fibroblast growth factor 8 (androgen-induced)
  • fibroblast growth factor 8
  • HBGF-8
  • Heparin-binding growth factor 8
  • MGC149376

Background

FGF-8 is a member of the fibroblast growth factor family that was originally discovered as a growth factor essential for the androgen-dependent growth of mouse mammary carcinoma cells (1-3). Alternate splicing of mouse FGF-8 mRNA generates eight secreted isoforms, designated a-h, but only FGF-8a, b, e and f exist in humans (4). FGF-8 contains a 22 amino acid (aa) signal sequence, an N‑terminal domain that varies according to the isoform (30 aa for FGF-8b; 20 aa for the shortest, FGF-8a), a 125 aa FGF domain and a 37 aa proline‑rich C‑terminal sequence. The FGF domain of FGF-8 shares the most aa identity with FGF17 (75%) and FGF-18 (67%), and the three form an FGF subfamily (2). Mouse FGF-8b shares 100% aa identity with human FGF-8b. FGF-8 is widely expressed during embryogenesis, and mediates epithelial-mesenchymal transitions. It plays an organizing and inducing role during gastrulation, and regulates patterning of the midbrain/hindbrain, eye, ear, limbs and heart in the embryo (2, 5 - 8). The isoforms may play different roles in development. FGF-8b shows the strongest receptor affinity and oncogenic transforming capacity although FGF-8a and FGF-8e are also transforming and have been found in human prostate, breast or ovarian tumors (1, 5, 9-12). FGF-8 shows limited expression in the normal adult, but low levels are found in the reproductive and genitourinary tract, peripheral leukocytes and bone marrow hematopoietic cells (3, 9, 13).
  1. Mattila, M.M. and P.L. Harkonen (2007) Cytokine Growth Factor Rev. 18:257.
  2. Reuss, B. and O. von Bohlen und Halbach (2003) Cell Tiss. Res. 313:139.
  3. Tanaka, A. et al. (1992) Proc. Natl. Acad. Sci. USA 89:8928.
  4. Gemel, J. et al. (1996) Genomics 35:253.
  5. Olsen, S.K. et al. (2006) Genes Dev. 20:185.
  6. Crossley, P.H. et al. (1996) Cell, 84:127.
  7. Heikinheimo, M. et al. (1994) Mech. Dev. 48:129.
  8. Sun, X. et al. (1999) Genes Dev. 13:1834.
  9. Ghosh, A.K. et al. (1996) Cell Growth Differ. 7:1425.
  10. Mattila, M.M. et al. (2001) Oncogene 20:2791.
  11. Valve, E. et al. (2000) Int. J. Cancer 88:718.
  12. Valve, E.M. et al. (2001) Lab. Invest. 81:815.
  13. Nezu, M. et al. (2005) Biochem. Biophys. Res. Commun. 335:843.

Limitations

This product is for research use only and is not approved for use in humans or in clinical diagnosis. Primary Antibodies are guaranteed for 1 year from date of receipt.

Customers Who Viewed This Item Also Viewed...

314-BP
Species: Hu
Applications: BA, BA
235-F4
Species: Hu
Applications: BA
233-FB
Species: Hu
Applications: BA
345-FG
Species: Hu
Applications: BA
NB600-1287
Species: Ca, Hu, Mu, Rb, Rt
Applications: CyTOF-ready, Flow, ICC/IF, IHC,  IHC-P, IP, WB
H00002263-M01
Species: Bv, Hu
Applications: ELISA, ICC/IF, IHC,  IHC-P, S-ELISA, WB
1206-F3
Species: Hu
Applications: BA
AF1979
Species: Hu
Applications: ICC, IHC, Simple Western, WB
AF3364
Species: Hu
Applications: ICC, IHC, WB
355-BM
Species: Hu, Mu, Rt
Applications: BA
NBP1-51575
Species: Hu, Mu
Applications: ELISA, Flow, ICC/IF, IHC,  IHC-P, WB
AF5045
Species: Hu, Mu
Applications: IHC, WB
AF232
Species: Hu
Applications: IHC, Neut, Simple Western, WB
NB100-55393
Species: Hu, Mu
Applications: ICC/IF, IHC,  IHC-P, PEP-ELISA, WB
NBP2-20486
Species: Hu, Mu
Applications: ICC/IF, IHC,  IHC-P, IP, WB
MAB319
Species: Hu
Applications: IHC, WB
NB300-109
Species: Ch, Dr, Hu, I, Ma, Mu, Rt
Applications: Dual ISH-IHC, ICC/IF, IHC-FrFl, IHC-WhMt, IHC, IHC-Fr,  IHC-P, KO, Simple Western, WB
H00002019-M04
Species: Hu, Mu
Applications: ELISA, IHC,  IHC-P, IP, WB
MAB323
Species: Hu, Mu
Applications: WB, IHC, B/N

Publications for FGF-8 Antibody (MAB323)(9)

We have publications tested in 3 confirmed species: Human, Mouse, Chicken.

We have publications tested in 5 applications: ICC, IHC, IHC-P, In Ovo, Western Blot.


Filter By Application
ICC
(1)
IHC
(1)
IHC-P
(1)
In Ovo
(1)
Western Blot
(3)
All Applications
Filter By Species
Human
(1)
Mouse
(4)
Chicken
(1)
All Species
Showing Publications 1 - 9 of 9.
Publications using MAB323 Applications Species
P Nowialis, K Lopusna, J Opavska, SL Haney, A Abraham, P Sheng, A Riva, A Natarajan, O Guryanova, M Simpson, R Hlady, M Xie, R Opavsky Catalytically inactive Dnmt3b rescues mouse embryonic development by accessory and repressive functions Nat Commun, 2019-09-26;10(1):4374. 2019-09-26 [PMID: 31558711] (Western Blot, Mouse) Western Blot Mouse
JM Bae, JC Clarke, H Rashid, MD Adhami, K McCullough, JS Scott, H Chen, KM Sinha, B de Crombru, A Javed Specificity protein 7 is required for proliferation and differentiation of ameloblasts and odontoblasts J. Bone Miner. Res., 2018-03-24;0(0):. 2018-03-24 [PMID: 29405385] (IHC-P, Western Blot, Mouse) IHC-P, Western Blot Mouse
Wai-Kit Chan, David J. Price, Thomas Pratt Fgf8 morphogen gradients are differentially regulated by heparan sulphotransferases Hs2st and Hs6st1 in the developing brain Biology Open 2017-12-15 [PMID: 29158323]
Eric G. Bluemn, Ilsa M. Coleman, Jared M. Lucas, Roger T. Coleman, Susana Hernandez-Lopez, Robin Tharakan et al. Androgen Receptor Pathway-Independent Prostate Cancer Is Sustained through FGF Signaling Cancer Cell 2017-10-09 [PMID: 29017058]
Fibulin-1 Binds to Fibroblast Growth Factor 8 with High Affinity: Effects on Embryo Survival J Biol Chem, 2016-07-08;0(0):. 2016-07-08 [PMID: 27402846] (Western Blot, Human) Western Blot Human
Yang S, Yang M, Herrlinger S, Liang C, Lai F, Chen J MiR-302/367 regulate neural progenitor proliferation, differentiation timing, and survival in neurulation. Dev Biol, 2015-10-09;408(1):140-50. 10/9/2015 [PMID: 26441343]
Nonomura K, Yamaguchi Y, Hamachi M, Koike M, Uchiyama Y, Nakazato K, Mochizuki A, Sakaue-Sawano A, Miyawaki A, Yoshida H, Kuida K, Miura M Local apoptosis modulates early mammalian brain development through the elimination of morphogen-producing cells. Dev Cell, 2013-12-23;27(6):621-34. 2013-12-23 [PMID: 24369835] (IHC, Mouse) IHC Mouse
Wang C, Xia C, Bian W, Liu L, Lin W, Chen YG, Ang SL, Jing N Cell aggregation-induced FGF8 elevation is essential for P19 cell neural differentiation. Mol. Biol. Cell, 2006-04-26;17(7):3075-84. 2006-04-26 [PMID: 16641368] (ICC, Mouse) ICC Mouse
Alsan BH, 2019, Schultheiss TM Regulation of avian cardiogenesis by Fgf8 signaling. e0007247, 2002-04-01;129(8):1935-43. 2002-04-01 [PMID: 11934859] (In Ovo, Chicken) In Ovo Chicken

Reviews for FGF-8 Antibody (MAB323) (0)

There are no reviews for FGF-8 Antibody (MAB323). By submitting a review you will receive an Amazon e-Gift Card or Novus Product Discount.
  • Review with no image -- $10/€7/£6/$10 CAD/¥70 Yuan/¥1110 Yen
  • Review with an image -- $25/€18/£15/$25 CAD/¥150 Yuan/¥2500 Yen

Product General Protocols

Find general support by application which include: protocols, troubleshooting, illustrated assays, videos and webinars.

Video Protocols

WB Video Protocol

FAQs for FGF-8 Antibody (MAB323) (0)

There are no specific FAQs related to this product. Read our general customer & technical service FAQs.

Customers Who Bought This Also Bought

Contact Information

Product PDFs

Calculators

Concentration Calculator

The concentration calculator allows you to quickly calculate the volume, mass or concentration of your vial. Simply enter your mass, volume, or concentration values for your reagent and the calculator will determine the rest.

=
÷

Review this Product

Be the first to review our FGF-8 Antibody (47109) and receive a gift card or discount.

Bioinformatics

Gene Symbol FGF8
Uniprot