FGF-21 Antibody (AH21-71)

Images

 
Immunocytochemistry/ Immunofluorescence: FGF-21 Antibody (AH21-71) [NBP2-67275] - Staining FGF21 in A549 cells (green). The nuclear counter stain is DAPI (blue). Cells were fixed in paraformaldehyde, permeabilised with ...read more
Immunohistochemistry-Paraffin: FGF-21 Antibody (AH21-71) [NBP2-67275] - Analysis of paraffin-embedded rat stomach tissue using anti-FGF21 antibody. Counter stained with hematoxylin.
Immunocytochemistry/ Immunofluorescence: FGF-21 Antibody (AH21-71) [NBP2-67275] - Staining FGF21 in A431 cells (green). The nuclear counter stain is DAPI (blue). Cells were fixed in paraformaldehyde, permeabilised with ...read more
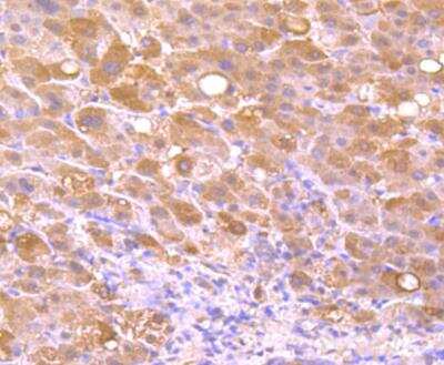
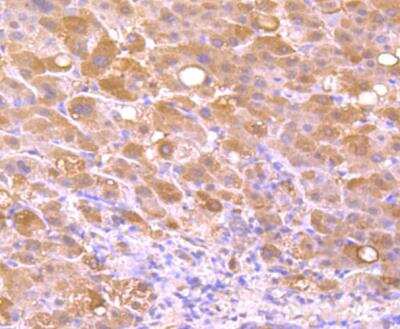
Immunohistochemistry-Paraffin: FGF-21 Antibody (AH21-71) [NBP2-67275] - Analysis of paraffin-embedded human liver cancer tissue using anti-FGF21 antibody. Counter stained with hematoxylin.

Product Details

Summary
Product Discontinued
View other related FGF-21 Primary Antibodies

Order Details


    • Catalog Number
      NBP2-67275
    • Availability
      Product Discontinued

    Can't find what you are looking for? Use our Antibody Concierge Service & we will help you locate your antibody!

    Or feel free to contact us for alternative products.

FGF-21 Antibody (AH21-71) Summary

Additional Information
Recombinant Monoclonal Antibody
Immunogen
Recombinant protein
Localization
Secreted.
Isotype
IgG1
Clonality
Monoclonal
Host
Mouse
Gene
fgf21
Purity
Protein A purified
Innovator's Reward
Test in a species/application not listed above to receive a full credit towards a future purchase.

Applications/Dilutions

Dilutions
  • ELISA 1:5000-1:10000
  • Immunocytochemistry/ Immunofluorescence 1:50-1:200
  • Immunohistochemistry
  • Immunohistochemistry-Paraffin 1:50-1:200
  • Western Blot 1:1000

Reactivity Notes

Mouse blocking reagent may be needed for IHC and ICC experiments to reduce high background signal. You can find these reagents under catalog numbers PK-2200-NB and MP-2400-NB. Please contact Technical Support if you have any. Please note that this antibody is reactive to Mouse and derived from the same host, Mouse. Mouse-On-questions.

Packaging, Storage & Formulations

Storage
Store at -20C. Avoid freeze-thaw cycles.
Buffer
TBS (pH7.4), 1% BSA, 40% Glycerol
Preservative
0.1% Sodium Azide
Concentration
2 mg/ml
Purity
Protein A purified

Alternate Names for FGF-21 Antibody (AH21-71)

  • FGF21
  • FGF-21
  • fibroblast growth factor 21

Limitations

This product is for research use only and is not approved for use in humans or in clinical diagnosis. Primary Antibodies are guaranteed for 1 year from date of receipt.

Customers Who Viewed This Item Also Viewed...

MAB1417
Species: Bv, Hu, Mu
Applications: ICC, IHC
NB300-537
Species: Bv, Hu, Mu, Rb, Rt
Applications: ChIP, Flow, GS, ICC/IF, IHC,  IHC-P, IP, KD, Simple Western, WB
NBP2-22106
Species: Hu, Mu, Rt
Applications: IHC,  IHC-P, IP, WB
DF1900
Species: Hu
Applications: ELISA
DRP300
Species: Hu
Applications: ELISA
DLP00
Species: Hu
Applications: ELISA
NB600-1287
Species: Ca, Hu, Mu, Rb, Rt
Applications: CyTOF-ready, Flow, ICC/IF, IHC,  IHC-P, IP, WB
MAB26291
Species: Mu
Applications: IHC
H00002263-M01
Species: Bv, Hu
Applications: ELISA, ICC/IF, IHC,  IHC-P, S-ELISA, WB
AF2619
Species: Mu
Applications: WB
NBP1-32822
Species: Al, Av, Hu, Mu, Pl, Rt, Ze
Applications: ChIP, Flow, ICC/IF, IHC,  IHC-P, IP, KD, Simple Western, WB
DY1707
Species: Hu
Applications: ELISA
MAB1249
Species: Hu, Mu
Applications: CyTOF-ready, ICC, ICFlow
AF887
Species: Hu, Mu, Rt
Applications: CyTOF-ready, IHC, ICFlow, Simple Western, WB
NBP2-34294
Species: Hu, Mu, Rt
Applications: Flow, IHC,  IHC-P
NBP2-22203
Species: Hu, Pm, Mu, Rt
Applications: ELISA, Flow, ICC/IF, IHC,  IHC-P, WB
NB110-39113
Species: Hu, Mu, Rb, Rt
Applications: ChIP, ChIP, Flow-IC, Flow, ICC/IF, IHC, IHC-Fr,  IHC-P, In vitro, Simple Western, WB
291-G1
Species: Hu
Applications: BA
MAB6852
Species: Hu
Applications: CyTOF-ready, Flow, ICC, IHC, WB
NBP2-67275
Species: Hu, Mu, Rt
Applications: WB, ELISA, ICC/IF, IHC

Publications for FGF-21 Antibody (NBP2-67275) (0)

There are no publications for FGF-21 Antibody (NBP2-67275).
By submitting your publication information earn gift cards and discounts for future purchases.

Reviews for FGF-21 Antibody (NBP2-67275) (0)

There are no reviews for FGF-21 Antibody (NBP2-67275). By submitting a review you will receive an Amazon e-Gift Card or Novus Product Discount.
  • Review with no image -- $10/€7/£6/$10 CAD/¥70 Yuan/¥1110 Yen
  • Review with an image -- $25/€18/£15/$25 CAD/¥150 Yuan/¥2500 Yen

Product General Protocols

Find general support by application which include: protocols, troubleshooting, illustrated assays, videos and webinars.

Video Protocols

WB Video Protocol
ICC/IF Video Protocol

FAQs for FGF-21 Antibody (NBP2-67275) (0)

There are no specific FAQs related to this product. Read our general customer & technical service FAQs.

Contact Information

Product PDFs

Calculators

Concentration Calculator

The concentration calculator allows you to quickly calculate the volume, mass or concentration of your vial. Simply enter your mass, volume, or concentration values for your reagent and the calculator will determine the rest.

=
÷

Review this Product

Be the first to review our FGF-21 Antibody (AH21-71) and receive a gift card or discount.

Bioinformatics

Gene Symbol fgf21