Factor XIIIa Antibody (SPM180) - Azide and BSA Free

Images

 
Immunohistochemistry-Frozen: Factor XIIIa Antibody (SPM180) - Azide and BSA Free [NBP2-54480] - Huma skin section stained for FXIIIa+ interstitial dendritic cells (red) and counter-stained with DAPI (blue). Image from a ...read more
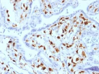
Immunohistochemistry-Paraffin: Factor XIIIa Antibody (SPM180) - Azide and BSA Free [NBP2-54480] - Formalin-fixed, paraffin-embedded human Placenta stained with Factor XIIIa Mouse Monoclonal Antibody (SPM180).

Product Details

Summary
Reactivity HuSpecies Glossary
Applications WB, ELISA, Flow, ICC/IF, IHC, CyTOF-ready
Clone
SPM180
Clonality
Monoclonal
Host
Mouse
Conjugate
Unconjugated
Format
Azide and BSA Free
Concentration
1 mg/ml

Order Details

Factor XIIIa Antibody (SPM180) - Azide and BSA Free Summary

Description
1.0 mg/ml of antibody purified from Bioreactor Concentrate by Protein A/G. Prepared in 10mM PBS WITHOUT BSA & azide. Also available at 200 ug/ml WITH BSA & azide (NBP2-53238).

Antibody with azide - store at 2 to 8C. Antibody without azide - store at -20 to -80C.
Immunogen
Recombinant fragment of human Factor XIIIa protein (aa46-181) (exact sequence is proprietary) (Uniprot: P00488)
Localization
Cytoplasmic and Secreted
Specificity
It recognizes a protein of 83kDa, which is identified as Factor XIIIa. It has been identified in platelets, megakaryocytes, and fibroblast-like mesenchymal or histiocytic cells in the placenta, uterus, and prostate, monocytes and macrophages and dermal dendritic cells. Anti-factor XIIIa has been found to be useful in differentiating between dermatofibroma (almost all cases are positive), dermatofibrosarcoma protuberans (-/+) and desmoplastic malignant melanoma (-). Anti-factor XIIIa positivity is also seen in capillary hemagioblastoma, hemangioendothelioma, hemangiopericytoma, xanthogranuloma, xanthoma, hepatocellular carcinoma, glomus tumor, and meningioma.
Isotype
IgG2b Kappa
Clonality
Monoclonal
Host
Mouse
Gene
F13A1
Purity
Protein A or G purified
Innovator's Reward
Test in a species/application not listed above to receive a full credit towards a future purchase.

Applications/Dilutions

Dilutions
  • CyTOF-ready
  • ELISA 2 - 4 ug/ml
  • Flow Cytometry 0.5 - 1 ug/million cells
  • Immunocytochemistry/ Immunofluorescence 0.5 - 1 ug/ml
  • Immunohistochemistry
  • Immunohistochemistry-Frozen
  • Immunohistochemistry-Paraffin 1 - 2 ug/ml
  • Western Blot 0.5 - 1.0 ug/ml
Application Notes
ELISA: Use Ab at 2-4ug/ml for coating. Order Ab without BSA.
Immunohistochemistry (Formalin-fixed): 1-2ug/ml for 30 min at RT. Staining of formalin-fixed tissues requires heating tissue sections in 10mM Tris with 1mM EDTA, pH 9.0, for 45 min at 95C followed by cooling at RT for 20 minutes.
Optimal dilution for a specific application should be determined.
Theoretical MW
83 kDa.
Disclaimer note: The observed molecular weight of the protein may vary from the listed predicted molecular weight due to post translational modifications, post translation cleavages, relative charges, and other experimental factors.

Packaging, Storage & Formulations

Storage
Store at -20 to -80C. Avoid freeze-thaw cycles.
Buffer
10 mM PBS
Preservative
No Preservative
Concentration
1 mg/ml
Purity
Protein A or G purified

Alternate Names for Factor XIIIa Antibody (SPM180) - Azide and BSA Free

  • bA525O21.1 (coagulation factor XIII, A1 polypeptide)
  • coagulation factor XIII A chain
  • coagulation factor XIII, A1 polypeptide
  • Coagulation factor XIIIa
  • EC 2.3.2.13
  • F13A
  • F13A1
  • F13Acoagulation factor XIII, A polypeptide
  • factor XIIIa
  • fibrin stabilizing factor, A subunit
  • fibrinoligase
  • FSF, A Subunit
  • Protein-glutamine gamma-glutamyltransferase A chain
  • TGase
  • Transglutaminase A chain
  • transglutaminase. plasma

Background

Factor XIII is a beta globulin found in plasma and is composed of two subunits. Coagulation factor XIII is the last zymogen to become activated in the blood coagulation cascade. Factor XIII A is the catalytic subunit and is a dimmer of molecular weight 160kDa. The B subunits do not have enzymatic activity and may serve as a plasma carrier molecules. Platelet factor XIII is comprised only of 2 A subunits, which are identical to those of plasma origin. Upon activation by the cleavage of the activation peptide by thrombin and in the presence of calcium ion, the plasma factor XIII dissociates its B subunits and yields the same active enzyme, factor XIII A, as platelet factor XIII. This enzyme acts as a transglutaminase to catalyze the formation of gamma-glutamyl-epsilon-lysine crosslinking between fibrin molecules, thus stabilizing the fibrin clot. It also crosslinks alpha-2-plasmin inhibitor, or fibronectin, to the alpha chains of fibrin. Factor XIII deficiency is classified into two categories: type I deficiency, characterized by the lack of both the A and B subunits; and type II deficiency, characterized by the lack of the A subunit alone. These defects can result in a lifelong bleeding tendency, defective wound healing, and habitual abortion. Factor XIII A is a dermal dendrocyte marker and shows variable reaction with these types of tumors. It can be used for histiocytic phenotyping and has been reported to mark capillary hemangiomas and tumors of the central nervous system.

Limitations

This product is for research use only and is not approved for use in humans or in clinical diagnosis. Primary Antibodies are guaranteed for 1 year from date of receipt.

Customers Who Viewed This Item Also Viewed...

AF4117
Species: Rt
Applications: IHC, WB
AF4376
Species: Hu, Mu, Rt
Applications: IP, KO, Simple Western, WB
NB100-683
Species: Hu, Mu, Rt
Applications: Dual ISH-IHC, EM, Flow, ICC/IF, IHC, IHC-Fr,  IHC-P, IP, WB
NB300-223
Species: Bv, Ca, Ch, Eq, Hu, Mu, Po, Rt
Applications: ICC/IF, IHC, IHC-Fr,  IHC-P, WB
NBP1-91258
Species: Bv, Ca, Eq, Fe, Hu, Mu, Po, Rt
Applications: ICC/IF, IHC, IHC-Fr,  IHC-P, Simple Western, WB
NB100-524
Species: Hu, Mu
Applications: Flow-IC, Flow, ICC/IF, IHC, IHC-Fr,  IHC-P, IP, WB
7268-CT
Species: Hu
Applications: BA
NBP2-79843
Species: Hu
Applications: CyTOF-ready, ELISA, Flow, ICC/IF, IHC,  IHC-P, PA, WB
AF3844
Species: Hu, Mu
Applications: IHC
NB600-930
Species: Hu, Rt
Applications: ELISA, WB
NBP1-87102
Species: Hu, Mu, Rt
Applications: ICC/IF, IHC,  IHC-P, WB
NBP1-87103
Species: Hu, Mu
Applications: IHC,  IHC-P, WB
NB120-22711
Species: Hu, Mu
Applications: ELISA, Flow, ICC/IF, IHC, IHC-Fr,  IHC-P
NB600-586
Species: Ca, Fe, Hu, Mu
Applications: Dual ISH-IHC, ICC/IF, IHC, IHC-Fr,  IHC-P
NBP1-81838
Species: Hu, Mu
Applications: IHC,  IHC-P, WB
AF3628
Species: Hu, Mu, Rt
Applications: CyTOF-ready, Flow, ICC, IHC, Simple Western, WB
NBP1-84854
Species: Hu, Mu, Rt
Applications: ICC/IF, IHC,  IHC-P, KD, WB
NB100-91761
Species: Hu, Mu, Rt
Applications: ELISA, ICC/IF, IHC,  IHC-P, WB
DTPA00
Species: Hu
Applications: ELISA

Publications for Factor XIIIa Antibody (NBP2-54480) (0)

There are no publications for Factor XIIIa Antibody (NBP2-54480).
By submitting your publication information earn gift cards and discounts for future purchases.

Reviews for Factor XIIIa Antibody (NBP2-54480) (0)

There are no reviews for Factor XIIIa Antibody (NBP2-54480). By submitting a review you will receive an Amazon e-Gift Card or Novus Product Discount.
  • Review with no image -- $10/€7/£6/$10 CAD/¥70 Yuan/¥1110 Yen
  • Review with an image -- $25/€18/£15/$25 CAD/¥150 Yuan/¥2500 Yen

Product General Protocols

Video Protocols

WB Video Protocol
ICC/IF Video Protocol

FAQs for Factor XIIIa Antibody (NBP2-54480) (0)

There are no specific FAQs related to this product. Read our general customer & technical service FAQs.

Secondary Antibodies

 

Isotype Controls

Additional Factor XIIIa Products

Research Areas for Factor XIIIa Antibody (NBP2-54480)

Find related products by research area.

Blogs on Factor XIIIa

There are no specific blogs for Factor XIIIa, but you can read our latest blog posts.

Customers Who Bought This Also Bought

Contact Information

Product PDFs

Calculators

Concentration Calculator

The concentration calculator allows you to quickly calculate the volume, mass or concentration of your vial. Simply enter your mass, volume, or concentration values for your reagent and the calculator will determine the rest.

=
÷

Review this Product

Be the first to review our Factor XIIIa Antibody (SPM180) - Azide and BSA Free and receive a gift card or discount.

Bioinformatics

Gene Symbol F13A1