ER alpha/NR3A1 Antibody (CL1196) - Azide and BSA Free

Images

 
Lane 1: Marker [kDa]Lane 2: Human cell line MCF-7Lane 3: Human cell line SK-BR-3
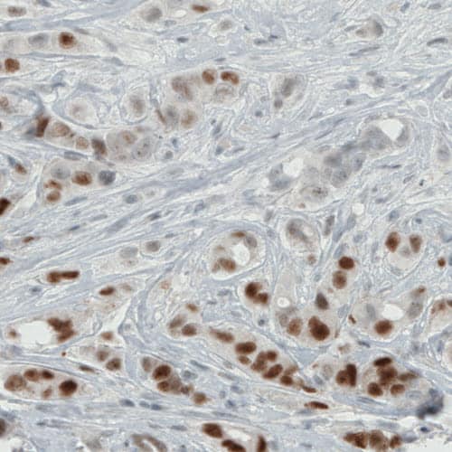
Staining of human breast cancer shows moderate to strong nuclear positivity in a subset of tumor cells.
Staining of human fallopian tube shows strong immunoreactivity in epithelial cells.
Staining of human endometrium shows strong nuclear immunoreactivity in glandular cells.
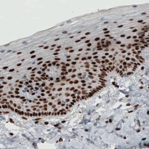
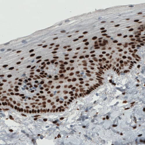
Staining of human cervix shows strong nuclear positivity in epithelial cells.
Genetic Strategies: Analysis in MCF-7 cells transfected with control siRNA, target specific siRNA probe #1 and #2, using Anti-ER alpha/NR3A1 antibody. Remaining relative intensity is presented. Loading control: ...read more
Staining of human testis shows absence of immunoreactivity (negative control).
Staining of MCF7 cells using the Anti-ER alpha/NR3A1 monoclonal antibody) .

Product Details

Summary
Reactivity HuSpecies Glossary
Applications WB, ICC/IF, IHC
Clone
CL1196
Clonality
Monoclonal
Host
Mouse
Conjugate
Unconjugated
Format
Azide and BSA Free
Concentration
LYOPH
Validated by:
     

Genetic Strategies

   

Order Details

ER alpha/NR3A1 Antibody (CL1196) - Azide and BSA Free Summary

Description
Novus Biologicals Mouse ER alpha/NR3A1 Antibody (CL1196) - Azide and BSA Free (NBP2-34478) is a monoclonal antibody validated for use in IHC, WB and ICC/IF. All Novus Biologicals antibodies are covered by our 100% guarantee.
Immunogen
This antibody was generated using a recombinant protein sequence of P03372, with the exact immunogen sequence remaining proprietary.
Isotype
IgG1
Clonality
Monoclonal
Host
Mouse
Gene
ESR1
Purity
Protein A purified
Innovator's Reward
Test in a species/application not listed above to receive a full credit towards a future purchase.

Applications/Dilutions

Dilutions
  • Immunocytochemistry/ Immunofluorescence 2-10 ug/ml
  • Immunohistochemistry-Paraffin 1:1000 - 1:2500
  • Western Blot 1 ug/ml
Application Notes
For IHC-Paraffin, HIER pH 6 retrieval is recommended. For Immunocytochemistry/ Immunofluorescence/IF, PFA/Triton X-100 is recommended for fixation/permeabilization.

Packaging, Storage & Formulations

Storage
Store at 4C short term. Aliquot and store at -20C long term. Avoid freeze-thaw cycles.
Buffer
Lyophilized from a 0.2 um filtered solution in PBS with Trehalose
Preservative
No Preservative
Concentration
LYOPH
Purity
Protein A purified
Reconstitution Instructions
Centrifuge the vial of lyophilized antibody at 12,000 x g for 20 seconds. Reconstitute by adding sterile, distilled water to achieve a final antibody concentration of 1mg/ml.

Alternate Names for ER alpha/NR3A1 Antibody (CL1196) - Azide and BSA Free

  • ER alpha
  • ER
  • Era
  • ER-alpha
  • ESR1
  • ESRESRA
  • Estradiol receptor
  • estrogen receptor 1
  • estrogen receptor alpha delta 3*4,56,7*/819-2 isoform
  • estrogen receptor alpha delta 4 +49 isoform
  • estrogen receptor alpha delta 4*5,6,7*/654 isoform
  • estrogen receptor alpha
  • estrogen receptor
  • NR3A1
  • NR3A1DKFZp686N23123
  • Nuclear receptor subfamily 3 group A member 1

Background

Estrogen receptor alpha (ER alpha) is a nuclear protein and member of the steroid hormone receptor family. ER alpha possesses both DNA binding and ligand binding domains, and exerts a significant role in activating the transcription of certain genes (1). Ligand-dependent dimerization and phosphorylation on serines, 104, 106, and 118 function to regulate the transcriptional activation of ER alpha (2). The phosphorylation of the human estrogen receptor (ER) serine residue at position 118 is required for full activity of the ER activation function 1 (AF-1) (3).

Limitations

This product is for research use only and is not approved for use in humans or in clinical diagnosis. Primary Antibodies are guaranteed for 1 year from date of receipt.

Customers Who Viewed This Item Also Viewed...

AF5415
Species: Hu
Applications: ICC, IHC, Simple Western, WB
DY1707
Species: Hu
Applications: ELISA
NB200-305
Species: Hu, Pm, Mu
Applications: ChIP, DB, Flow, ICC/IF, IHC, IHC-Fr,  IHC-P, IP, Simple Western, WB
1129-ER
Species: Hu
Applications: BA
H00005555-P01
Species: Hu
Applications: ELISA, AP, PA, PAGE, WB
NBP2-47602
Species: Hu
Applications: ICC/IF, IHC,  IHC-P
AF5739
Species: Hu, Mu, Rt
Applications: WB
NBP1-89522
Species: Hu, Mu, Rt
Applications: ICC/IF, IHC,  IHC-P, WB
NB100-56603
Species: Ca, Hu, Mu, Pm, Rt
Applications: IHC,  IHC-P, WB
AF231
Species: Hu
Applications: CyTOF-ready, Dual ISH-IHC, ELISA(Cap), ELISA(Det), ELISA(Sta), Flow, ICC, IHC, IP, Simple Western, WB
NB100-1596
Species: Hu, Mu, Pm, Rb, Rt
Applications: ICC/IF, IHC,  IHC-P, Simple Western, WB
NB200-103
Species: Hu, Mu, Rt, Xp(-), Ye
Applications: CyTOF-ready, ELISA, Flow-IC, Flow, ICC/IF, IHC, IHC-Fr,  IHC-P, IP, WB
M6000B
Species: Mu
Applications: ELISA
AF262
Species: Hu
Applications: ICC, IHC, Neut, WB
NBP1-89146
Species: Hu
Applications: ICC/IF, IHC,  IHC-P
NBP2-38530
Species: Hu
Applications: ICC/IF, IHC,  IHC-P, WB
236-EG
Species: Hu
Applications: BA

Publications for ER alpha/NR3A1 Antibody (NBP3-43926) (0)

There are no publications for ER alpha/NR3A1 Antibody (NBP3-43926).
By submitting your publication information earn gift cards and discounts for future purchases.

Reviews for ER alpha/NR3A1 Antibody (NBP3-43926) (0)

There are no reviews for ER alpha/NR3A1 Antibody (NBP3-43926). By submitting a review you will receive an Amazon e-Gift Card or Novus Product Discount.
  • Review with no image -- $10/€7/£6/$10 CAD/¥70 Yuan/¥1110 Yen
  • Review with an image -- $25/€18/£15/$25 CAD/¥150 Yuan/¥2500 Yen

Product General Protocols

Find general support by application which include: protocols, troubleshooting, illustrated assays, videos and webinars.

Video Protocols

WB Video Protocol
ICC/IF Video Protocol

FAQs for ER alpha/NR3A1 Antibody (NBP3-43926) (0)

There are no specific FAQs related to this product. Read our general customer & technical service FAQs.

Customers Who Bought This Also Bought

Contact Information

Product PDFs

Calculators

Concentration Calculator

The concentration calculator allows you to quickly calculate the volume, mass or concentration of your vial. Simply enter your mass, volume, or concentration values for your reagent and the calculator will determine the rest.

=
÷

Review this Product

Be the first to review our ER alpha/NR3A1 Antibody (CL1196) - Azide and BSA Free and receive a gift card or discount.

Bioinformatics

Gene Symbol ESR1