EpCAM/TROP1 Antibody (CL6313) - Azide and BSA Free

Images

 
Orthogonal Strategies: Analysis in human small intestine and tonsil tissues using NBP3-44423 antibody. Corresponding EpCAM/TROP1 RNA-seq data are presented for the same tissues.
Staining of human endometrium shows moderate to strong membranous positivity in glandular cells.
Analysis in human cell line CAPAN-2.
Staining of human tonsil shows no positivity in lymphoid cells as expected.
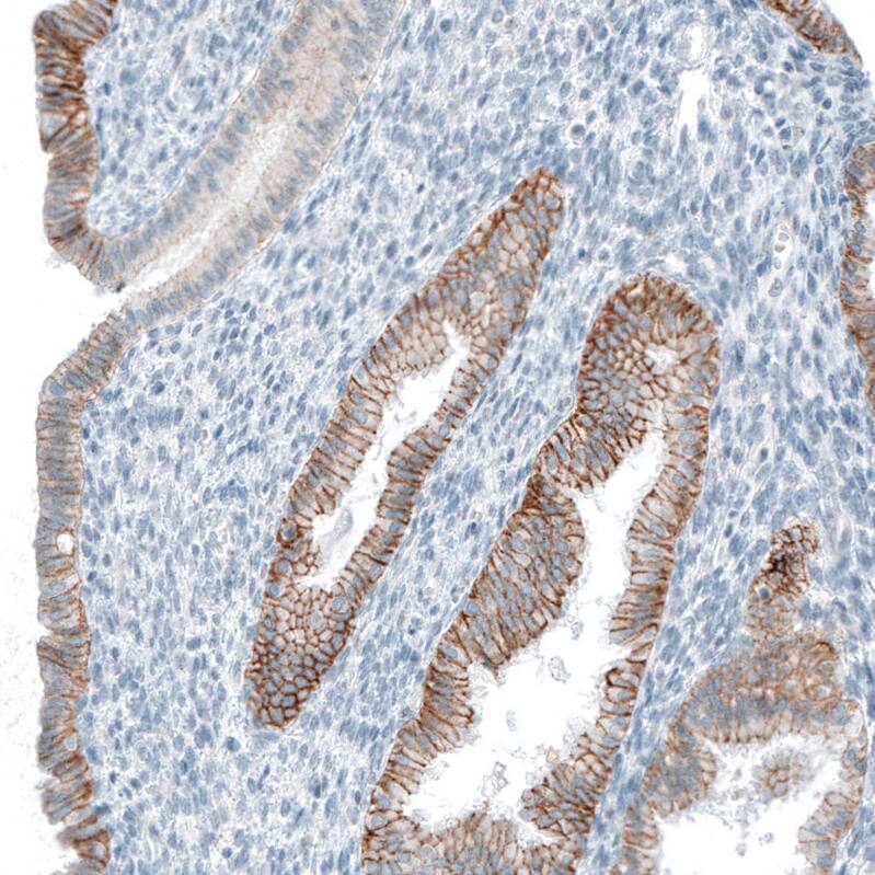
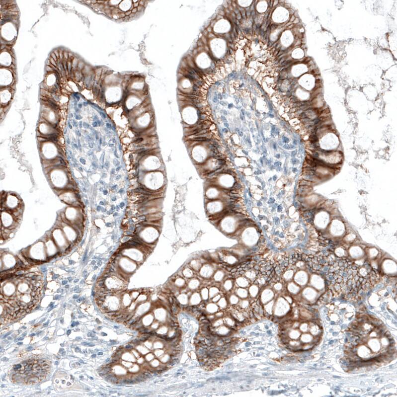
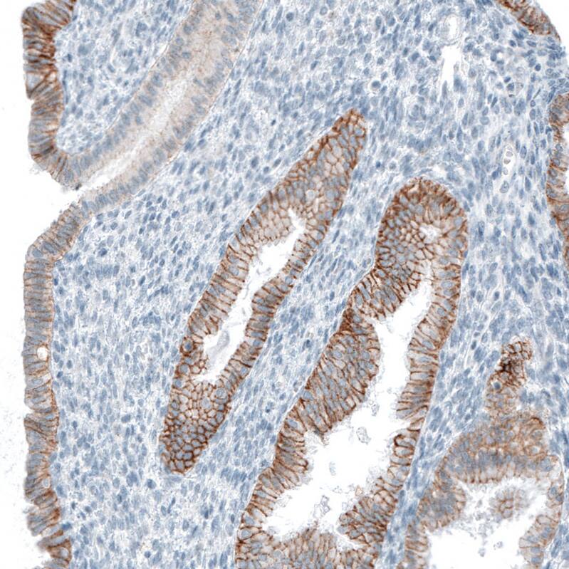
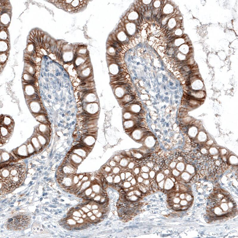
Staining of human small intestine shows strong membranous positivity in glandular cells.

Product Details

Summary
Reactivity HuSpecies Glossary
Applications WB, IHC
Clone
CL6313
Clonality
Monoclonal
Host
Mouse
Conjugate
Unconjugated
Format
Azide and BSA Free
Concentration
LYOPH
Validated by:
       

Orthogonal Strategies

 

Order Details

EpCAM/TROP1 Antibody (CL6313) - Azide and BSA Free Summary

Description
Novus Biologicals Mouse EpCAM/TROP1 Antibody (CL6313) - Azide and BSA Free (NBP2-76486) is a monoclonal antibody validated for use in IHC and WB. All Novus Biologicals antibodies are covered by our 100% guarantee.
Immunogen
This antibody was generated using a synthetic peptide of P16422, with the exact immunogen sequence remaining proprietary.
Isotype
IgG1
Clonality
Monoclonal
Host
Mouse
Gene
EPCAM
Purity
Protein A purified
Innovator's Reward
Test in a species/application not listed above to receive a full credit towards a future purchase.

Applications/Dilutions

Dilutions
  • Immunohistochemistry-Paraffin 1:50 - 1:200
  • Western Blot 1 ug/ml
Application Notes
For IHC-Paraffin, HIER pH 6 retrieval is recommended.

Packaging, Storage & Formulations

Storage
Store at 4C short term. Aliquot and store at -20C long term. Avoid freeze-thaw cycles.
Buffer
Lyophilized from a 0.2 um filtered solution in PBS with Trehalose
Preservative
No Preservative
Concentration
LYOPH
Purity
Protein A purified
Reconstitution Instructions
Centrifuge the vial of lyophilized antibody at 12,000 x g for 20 seconds. Reconstitute by adding sterile, distilled water to achieve a final antibody concentration of 1mg/ml.

Alternate Names for EpCAM/TROP1 Antibody (CL6313) - Azide and BSA Free

  • 17-1A
  • 323/A3
  • ACSTD1
  • antigen identified by monoclonal AUA1
  • CD326 antigen
  • CD326
  • Cell surface glycoprotein Trop-1
  • chromosome 4, surface marker (35kD glycoprotein)
  • DIAR5
  • EGP
  • EGP-2
  • EGP314
  • EGP40
  • EpCAM
  • epithelial cell adhesion molecule
  • Epithelial cell surface antigen
  • Epithelial glycoprotein 314
  • Epithelial glycoprotein
  • ESA
  • GA733-2
  • GA733-2EGP34
  • gp40
  • hEGP314
  • HNPCC8
  • KS 1/4 antigen
  • KS1/4
  • KSAHEA125
  • M1S2
  • M4S1
  • M4S1Ly74
  • Major gastrointestinal tumor-associated protein GA733-2
  • MIC18MH99
  • MOC31
  • TACST-1
  • TACSTD1
  • TROP1
  • TROP1CD326
  • Tumor-associated calcium signal transducer 1CO-17A

Background

Epithelial cell adhesion molecule (EpCAM), also known as TROP1 and CD326, is a type I transmembrane glycoprotein that plays a role in a number of cellular processes including adhesion, signaling, maintaining stemness, proliferation, migration, and invasion (1,2). The human EpCAM protein is 314 amino acids (aa) in length with a theoretical molecular weight (MW) of ~35 kDa (1,3,4). The EpCAM protein includes a signal peptide, an extracellular N-terminal domain, a thyroglobulin type-1 domain, a carboxyl-terminal domain, a single-pass transmembrane domain, and an intracellular domain (1,3). The protein is highly conserved and has approximately 81% aa sequence identity between human and mouse (5). Trophoblast cell-surface antigen 2 (TROP2) also shares ~67% aa sequence similarity with EpCAM (1,5). While both EpCAM and TROP2 are cell surface markers expressed in the epithelium, their expression levels typically do not correlate (5). EpCAM is expressed in normal epithelial tissue and elevated expression is observed in many epithelial carcinomas (1-3) Patient tumor samples with increased EpCAM expression have been associated with poor prognosis (1). Given EpCAM's elevated expression in tumors, it has become a potential target for cancer therapy approaches, including monoclonal antibody treatment and anti-EpCAM trispecific antibodies (1,5).

EpCAM functions as an intracellular signaling molecule and contributes to regulation of epithelial-to-mesenchymal (EMT) transition (4,5). EpCAM is cleaved during the process of regulated intramembrane proteolysis (RIP) (4,5). Initial cleavage occurs at the membrane via a disintegrin and metalloprotease 17 (ADAM17) which releases EpCAM's extracellular domain (EpEx) (4,5). A secondary cleavage is mediated by presenilin 2 (PSEN2) which releases EpCAM's cytoplasmic trail (EpICD) (4,5). EpICD translocates to the nucleus where it associates with beta-catenin, FHL-2, and LEF-1 and induces transcription of genes related to EMT and tumor growth (4,5). EpCAM has also been shown to regulate structure and functionality of the apical junction complex of cells through direct interaction with claudin-7 and association with E-cadherin (2,5). Loss of EpCAM disrupts adherins junction and tight junction structure and function (2).

References

1. Mohtar MA, Syafruddin SE, Nasir SN, Low TY. Revisiting the Roles of Pro-Metastatic EpCAM in Cancer. Biomolecules. 2020; 10(2):255. https://doi.org/10.3390/biom10020255

2. Huang L, Yang Y, Yang F, et al. Functions of EpCAM in physiological processes and diseases (Review). Int J Mol Med. 2018; 42(4):1771-1785. https://doi.org/10.3892/ijmm.2018.3764

3. Brown TC, Sankpal NV, Gillanders WE. Functional Implications of the Dynamic Regulation of EpCAM during Epithelial-to-Mesenchymal Transition. Biomolecules. 2021; 11(7):956. https://doi.org/10.3390/biom11070956

4. Uniprot (P16422)

5. Schnell U, Cirulli V, Giepmans BN. EpCAM: structure and function in health and disease. Biochim Biophys Acta. 2013; 1828(8):1989-2001. https://doi.org/10.1016/j.bbamem.2013.04.018

Limitations

This product is for research use only and is not approved for use in humans or in clinical diagnosis. Primary Antibodies are guaranteed for 1 year from date of receipt.

Customers Who Viewed This Item Also Viewed...

MEP00B
Species: Mu
Applications: ELISA
BBA10
Species: Hu
Applications: CyTOF-ready, Flow, IHC, IP, KO, Simple Western, WB
AF748
Species: Hu, Mu
Applications: CyTOF-ready, Dual ISH-IHC, Flow, ICC, IHC, Simple Western, WB
NB100-687
Species: Hu, Mu, Rt
Applications: Flow, ICC/IF, IHC,  IHC-P, Simple Western, WB
1129-ER
Species: Hu
Applications: BA
MAB1455
Species: Hu
Applications: CyTOF-ready, Dual ISH-IHC, ICC, IHC, ICFlow, Simple Western, WB
AF5247
Species: Hu
Applications: IHC, WB
NB120-22711
Species: Hu, Mu
Applications: ELISA, Flow, ICC/IF, IHC, IHC-Fr,  IHC-P
NB120-16518
Species: Hu, Mu, Po, Rt
Applications: ChIP, ELISA, Flow, ICC/IF, IHC, IHC-Fr,  IHC-P, WB
202-IL
Species: Hu
Applications: BA
7268-CT
Species: Hu
Applications: BA
AF231
Species: Hu
Applications: CyTOF-ready, Dual ISH-IHC, ELISA(Cap), ELISA(Det), ELISA(Sta), Flow, ICC, IHC, IP, Simple Western, WB
NB100-524
Species: Hu, Mu
Applications: Flow-IC, Flow, ICC/IF, IHC, IHC-Fr,  IHC-P, IP, WB
NBP2-79843
Species: Hu
Applications: CyTOF-ready, ELISA, Flow, ICC/IF, IHC,  IHC-P, PA, WB
NB600-1441
Species: Ca, Hu, Mu, Po
Applications: Flow, ICC/IF, IHC, IHC-Fr,  IHC-P, KD
DTM100
Species: Hu
Applications: ELISA
NBP3-07388
Species: Hu
Applications: Flow, ICC/IF, IHC,  IHC-P
AF114
Species: Mu
Applications: CyTOF-ready, Flow, ICC, IHC, WB

Publications for EpCAM/TROP1 Antibody (NBP3-44423) (0)

There are no publications for EpCAM/TROP1 Antibody (NBP3-44423).
By submitting your publication information earn gift cards and discounts for future purchases.

Reviews for EpCAM/TROP1 Antibody (NBP3-44423) (0)

There are no reviews for EpCAM/TROP1 Antibody (NBP3-44423). By submitting a review you will receive an Amazon e-Gift Card or Novus Product Discount.
  • Review with no image -- $10/€7/£6/$10 CAD/¥70 Yuan/¥1110 Yen
  • Review with an image -- $25/€18/£15/$25 CAD/¥150 Yuan/¥2500 Yen

Product General Protocols

Find general support by application which include: protocols, troubleshooting, illustrated assays, videos and webinars.

Video Protocols

WB Video Protocol

FAQs for EpCAM/TROP1 Antibody (NBP3-44423). (Showing 1 - 1 of 1 FAQ).

  1. I'm looking for EpCAM antibody for rat. Do you have any antibody which can use FACS?
    • We unfortunately do not have any EpCAM antibodies validated in FACS for detection of the rat protein. I am sorry for any inconvenience. I do have three products to EpCAM that can detect the rat protein. These products have been validated to detect the native rat protein, so they may work for FACS however they have not yet been tested in that particular application. If you would like to try them in your experiment you would qualify for our Innovator's Reward Program. This program was designed to help scientists with the cost of their antibodies in return for valuable information. If you decide to test an antibody in a previously untested species or application we will issue you a credit for the purchase price of the antibody in exchange for a review of your experiment using our product.

Secondary Antibodies

 

Isotype Controls

Additional EpCAM/TROP1 Products

Research Areas for EpCAM/TROP1 Antibody (NBP3-44423)

Find related products by research area.

Blogs on EpCAM/TROP1.

Stemness is responsible for onset and metastasis of colorectal cancer
By Jamshed Arslan, Pharm. D., PhD. Colorectal cancer stem cells are a rare subpopulation of colorectal cancer cells that can self-renew and initiate and sustain tumor growth when transplanted into an animal host.1,2 C...  Read full blog post.

Customers Who Bought This Also Bought

Contact Information

Product PDFs

Calculators

Concentration Calculator

The concentration calculator allows you to quickly calculate the volume, mass or concentration of your vial. Simply enter your mass, volume, or concentration values for your reagent and the calculator will determine the rest.

=
÷

Review this Product

Be the first to review our EpCAM/TROP1 Antibody (CL6313) - Azide and BSA Free and receive a gift card or discount.

Bioinformatics

Gene Symbol EPCAM