EPC2 Antibody - BSA Free

Images

 
Immunocytochemistry/ Immunofluorescence: EPC2 Antibody [NBP1-90523] - Staining of human cell line A-431 shows localization to nuclear speckles.
Staining of human endometrium shows strong cytoplasmic positivity in glandular cells.
Staining of human cerebellum shows moderate cytoplasmic positivity in Purkinje cells.
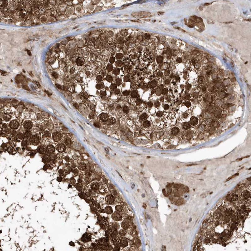
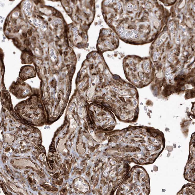
Staining of human placenta shows strong cytoplasmic positivity in trophoblastic cells.
Staining of human testis shows strong cytoplasmic and nuclear positivity in cells in seminiferous ducts.

Product Details

Summary
Reactivity Hu, MuSpecies Glossary
Applications ICC/IF, IHC
Clonality
Polyclonal
Host
Rabbit
Conjugate
Unconjugated
Format
BSA Free

Order Details

View Available Formulations
Catalog# & Formulation Size Price

EPC2 Antibody - BSA Free Summary

Description
Novus Biologicals Rabbit EPC2 Antibody - BSA Free (NBP1-90523) is a polyclonal antibody validated for use in IHC and ICC/IF. All Novus Biologicals antibodies are covered by our 100% guarantee.
Immunogen
This antibody was developed against Recombinant Protein corresponding to amino acids: YATPATLHNGNHHKVQECKTKHPHHLSLKEEASDVVRQKKKYPKKPKAEALITSQQPTPETLPVINKSDIKQYDFHSSDEDEFPQVLS
Predicted Species
Mouse (94%). Backed by our 100% Guarantee.
Isotype
IgG
Clonality
Polyclonal
Host
Rabbit
Gene
EPC2
Purity
Affinity purified
Innovator's Reward
Test in a species/application not listed above to receive a full credit towards a future purchase.

Applications/Dilutions

Dilutions
  • Immunocytochemistry/ Immunofluorescence 0.25-2 ug/ml
  • Immunohistochemistry 1:50 - 1:200
  • Immunohistochemistry-Paraffin 1:50 - 1:200
Application Notes
For IHC-Paraffin, HIER pH 6 retrieval is recommended. ICC/IF Fixation Permeabilization: Use PFA/Triton X-100.
Control Peptide
EPC2 Protein (NBP1-90523PEP)

Reactivity Notes

Immunogen displays the following percentage of sequence identity for non-tested species: Rat (89%)

Packaging, Storage & Formulations

Storage
Store at 4C short term. Aliquot and store at -20C long term. Avoid freeze-thaw cycles.
Buffer
PBS (pH 7.2) and 40% Glycerol
Preservative
0.02% Sodium Azide
Purity
Affinity purified

Alternate Names for EPC2 Antibody - BSA Free

  • DKFZp566F2124
  • enhancer of polycomb homolog 2 (Drosophila)

Limitations

This product is for research use only and is not approved for use in humans or in clinical diagnosis. Primary Antibodies are guaranteed for 1 year from date of receipt.

Customers Who Viewed This Item Also Viewed...

H00055777-M01
Species: Hu
Applications: ELISA, ICC/IF, S-ELISA, WB
AF972
Species: Hu
Applications: ELISA, IHC, KO, Simple Western, WB
NBP2-24787
Species: Ca, Hu, Mu
Applications: DB, Flow-CS, Flow-IC, Flow, ICC/IF, IHC, IHC-Fr,  IHC-P, IP, WB
NB100-56722
Species: Ca, Hu, Mu, Rb, Rt
Applications: B/N, DB, ELISA, Flow-CS, Flow, Func, ICC/IF, IP, In vitro, WB
NBP2-24875
Species: Ca, Hu, Mu
Applications: BA, B/N, Flow-IC, Flow, ICC/IF, IHC,  IHC-P, WB
MAB208
Species: Hu
Applications: CyTOF-ready, ELISA(Cap), ELISA(Det), ELISA(Sta), ICC, ICFlow, Neut, Simple Western, WB
AF231
Species: Hu
Applications: CyTOF-ready, Dual ISH-IHC, ELISA(Cap), ELISA(Det), ELISA(Sta), Flow, ICC, IHC, IP, Simple Western, WB
NB100-317
Species: Hu, Mu, Rt
Applications: ChIP, ChIP, Flow, ICC/IF, IHC,  IHC-P, IP, WB
NB100-56104
Species: Ca, Hu, Mu, Rt
Applications: IHC, IHC-Fr,  IHC-P, IP, WB
NBP2-62651
Species: Hu
Applications: IHC,  IHC-P, WB
NB600-302
Species: Bv, Dr, Hu, Mu
Applications: ChIP, ELISA, Flow-IC, Flow, IB, ICC/IF, IHC, IHC-Fr,  IHC-P, IP, PLA, S-ELISA, Simple Western, WB
NBP2-27335
Species: Hu, Mu, Rt(-)
Applications: CyTOF-ready, Flow, ICC/IF, WB
AF3025
Species: Hu
Applications: ELISA, ICC, WB
NB100-2176
Species: Hu, Mu, Rt
Applications: ChIP, ICC/IF, IHC,  IHC-P, IP, WB
NBP2-38289
Species: Hu
Applications: ICC/IF, IHC,  IHC-P, WB
NB100-807
Species: Hu
Applications: ICC/IF, PEP-ELISA, WB
7754-BH/CF
Species: Hu
Applications: BA
NB100-798
Species: Hu, Mu
Applications: PEP-ELISA, WB

Publications for EPC2 Antibody (NBP1-90523) (0)

There are no publications for EPC2 Antibody (NBP1-90523).
By submitting your publication information earn gift cards and discounts for future purchases.

Reviews for EPC2 Antibody (NBP1-90523) (0)

There are no reviews for EPC2 Antibody (NBP1-90523). By submitting a review you will receive an Amazon e-Gift Card or Novus Product Discount.
  • Review with no image -- $10/€7/£6/$10 CAD/¥70 Yuan/¥1110 Yen
  • Review with an image -- $25/€18/£15/$25 CAD/¥150 Yuan/¥2500 Yen

Product General Protocols

Find general support by application which include: protocols, troubleshooting, illustrated assays, videos and webinars.

Video Protocols

ICC/IF Video Protocol

FAQs for EPC2 Antibody (NBP1-90523) (0)

There are no specific FAQs related to this product. Read our general customer & technical service FAQs.

Customers Who Bought This Also Bought

Contact Information

Product PDFs

Calculators

Concentration Calculator

The concentration calculator allows you to quickly calculate the volume, mass or concentration of your vial. Simply enter your mass, volume, or concentration values for your reagent and the calculator will determine the rest.

=
÷

Review this Product

Be the first to review our EPC2 Antibody - BSA Free and receive a gift card or discount.

Bioinformatics

Gene Symbol EPC2