EGLN1/PHD2 Antibody - BSA Free

Images

 
Immunohistochemistry: EGLN1/PHD2 Antibody [NB100-2219] - IHC and Immunofluorescence of wounded tissue and normal unwounded skin. Representative images for immunofluorescent staining of PHD-2 on healed wounded skin and ...read more
Genetic Strategies: Western Blot: EGLN1/PHD2 Antibody [NB100-2219] - In vitro analysis of PHD-2 knockout and protein quantification.Western blot data for PHD-2 knockout in fibroblasts of heterozygous Col1 ...read more
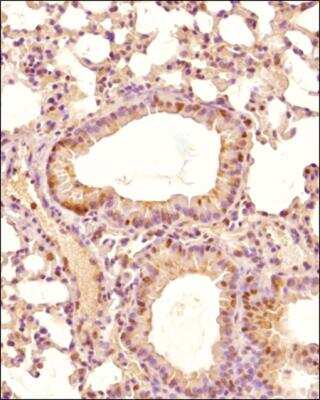
Immunohistochemistry-Paraffin: EGLN1/PHD2 Antibody [NB100-2219] - Analysis of an FFPE mouse lung section using 1:200 dilution of EGLN1/PHD2 antibody. The staining was developed using HRP conjugated anti-rabbit secondary ...read more
Western Blot: EGLN1/PHD2 Antibody [NB100-2219] - Detection of EGLN1/PHD2 in mouse kidney lysate. ECL exposure, 20 seconds.
Immunocytochemistry/ Immunofluorescence: EGLN1/PHD2 Antibody [NB100-2219] - EGLN1/PHD2 antibody at 1:500 in HeLa cells with DyLight 488 (green). Nuclei and alpha-tubulin were counterstained with DAPI (blue) and DyLight ...read more
Immunocytochemistry/ Immunofluorescence: EGLN1/PHD2 Antibody [NB100-2219] - Analysis of EGLN1/PHD2 in ARPE-19 cells using anti-PHD2 antibody. ICC/IF image submitted by a veriifed customer review.
Immunohistochemistry: EGLN1/PHD2 Antibody [NB100-2219] - Staining of renal tubular epithelium in mouse using NB100-2219 at 2.5 ug/mL.

Product Details

Summary
Reactivity Hu, Mu, RtSpecies Glossary
Applications WB, Simple Western, ICC/IF, IHC, IP, KO, Mycoplasma
Clonality
Polyclonal
Host
Rabbit
Conjugate
Unconjugated
Format
BSA Free
Concentration
1 mg/ml
Validated by:
     

Genetic Strategies

   

Order Details

EGLN1/PHD2 Antibody - BSA Free Summary

Description
Novus Biologicals Knockout (KO) Validated Rabbit EGLN1/PHD2 Antibody - BSA Free (NB100-2219) is a polyclonal antibody validated for use in IHC, WB, ICC/IF, Simple Western and IP. Anti-EGLN1/PHD2 Antibody: Cited in 46 publications. All Novus Biologicals antibodies are covered by our 100% guarantee.
Immunogen
This EGLN1/PHD2 antibody was developed against a synthetic peptide made to an internal portion of mouse PHD2/HIF Prolyl Hydroxylase 2 (between residues 300-400). [Uniprot: Q91YE3]
Isotype
IgG
Clonality
Polyclonal
Host
Rabbit
Gene
EGLN1
Purity
Immunogen affinity purified
Innovator's Reward
Test in a species/application not listed above to receive a full credit towards a future purchase.

Applications/Dilutions

Dilutions
  • Immunocytochemistry/ Immunofluorescence 1:50 - 1:500
  • Immunohistochemistry 2.5 - 5.0 ug/mL
  • Immunohistochemistry-Paraffin 2.5 - 5.0 ug/mL
  • Immunoprecipitation 1:10 - 1:500
  • Knockdown Validated
  • Knockout Validated reported in scientific literature (PMID 24695462)
  • Simple Western 1:200
  • Western Blot 2 ug/mL
Application Notes
In Western blot a band is seen ~43 kDa representing HIF Prolyl Hydroxylase 2. There is also a non-specific band of similar intensity at ~75 kDa.
Theoretical MW
43 kDa.
Disclaimer note: The observed molecular weight of the protein may vary from the listed predicted molecular weight due to post translational modifications, post translation cleavages, relative charges, and other experimental factors.
Control
Mouse Kidney Whole Tissue Lysate (Adult Whole Normal)
Control Peptide
EGLN1/PHD2 Protein (NB100-2219PEP)
Reviewed Applications
Read 3 Reviews rated 4.7
using
NB100-2219 in the following applications:

Publications
Read Publications using
NB100-2219 in the following applications:

Packaging, Storage & Formulations

Storage
Store at 4C. Do not freeze.
Buffer
PBS
Preservative
0.02% Sodium Azide
Concentration
1 mg/ml
Purity
Immunogen affinity purified

Alternate Names for EGLN1/PHD2 Antibody - BSA Free

  • C1orf12
  • EC 1.14.11.29
  • EC:1.14.11.291
  • ECYT3
  • egl nine homolog 1
  • egl nine-like protein 1
  • EGLN1
  • HALAH
  • HIF prolyl hydroxylase 2
  • HIFPH2
  • HIF-PH2
  • HIF-prolyl hydroxylase 2
  • HPH2
  • HPH-2
  • Hypoxia-inducible factor prolyl hydroxylase 2
  • PHD2
  • PNAS-118
  • PNAS-137
  • Prolyl hydroxylase domain-containing protein 2
  • SM20
  • SM-20
  • zinc finger MYND domain-containing protein 6
  • ZMYND6

Background

PHD2 (Prolyl Hydroxylase Domain-containing protein 2) belongs to the Prolyl-4-hydroxylase domain (PHD) family of proteins and is encoded by the Egl-9 Family Hypoxia Inducible Factor 1 (EGLN1) gene (1). Human EGLN1/PHD2 is a ubiquitously expressed enzyme that is 426 amino acids (aa) long with a theoretical molecular weight of ~46 kDa. Structurally PHD2 contains a nuclear export signal (NES, aa 6-20), an N-terminal MYND zinc finger domain (aa 21-58), and a C-terminal catalytic domain (aa 291-392) (2, 3). Functionally, PHD2 serves as an oxygen sensor and is responsible for post-translational modification of Hypoxia-inducible factor alpha (HIF-1alpha), a component of a transcriptional complex involved in oxygen homeostasis (1-3). During normoxia, PHD2 is responsible for oxygen-dependent hydroxylation of HIF-1alpha proline residue 402, 564, or both (3). The hydroxylation event promotes the binding of von Hippel-Lindau protein (VHL) and targets HIF1-alpha for ubiquitination and degradation (4, 5).

EGLN1/PHD2 has been implicated in several critical processes including erythropoiesis, angiogenesis, and metabolism as well as various pathologies such as cancer (2, 5, 6). Studies in mice have found that somatic deletion of PHD2 resulted in higher vascular endothelial growth factor A (VEGF-A) levels, increased blood vessel formation, and more erythropoietin (EPO), leading to severe polycythemia or erythrocytosis (high red blood cell (RBC) volume) (6). Another study revealed that specific point mutations in EGLN1/PHD2 led to elevated EPO and RBC mass associated with hemorrhages and strokes (6). Accordingly, given the known role of PHD2 in inhibition of EPO production, PHD2 inhibitors are being studied as a potential therapeutic for anemia (6). Additionally, dysregulation in EGLN1, and specifically the PHD2-VHL-HIF-1alpha pathway, has been associated with the development of pheochromocytomas (PCC) and sympathetic paragangliomas (PGL), which are rare neuroendocrine tumors (2). Besides pathological features, EGLN1/PHD2 may also be important for high altitude adaptation as two coding sequence variants in PHD2 are prevalent in the Tibetan population but is very rare in people at lower altitudes (2).

Alternate names for EGLN1/PHD2 include HIF Prolyl Hydroxylase 2, PH2, Prolyl hydroxylase domain containing protein 2, HIF2PH2, HIF-Prolyl hydroxylase 2, egl nine homolog 1, and C1orf12.

References

1. Amorim-Pires, D., Peixoto, J., & Lima, J. (2016). Hypoxia Pathway Mutations in Pheochromocytomas and Paragangliomas. Cytogenetic and genome research. https://doi.org/10.1159/000457479

2. Gardie, B., Percy, M. J., Hoogewijs, D., Chowdhury, R., Bento, C., Arsenault, P. R., Richard, S., Almeida, H., Ewing, J., Lambert, F., McMullin, M. F., Schofield, C. J., & Lee, F. S. (2014). The role of PHD2 mutations in the pathogenesis of erythrocytosis. Hypoxia (Auckland, N.Z.). https://doi.org/10.2147/HP.S54455

3. Minervini, G., Quaglia, F., & Tosatto, S. C. (2015). Insights into the proline hydroxylase (PHD) family, molecular evolution and its impact on human health. Biochimie. https://doi.org/10.1016/j.biochi.2015.07.009

4. Semenza G. L. (2007). Hypoxia-inducible factor 1 (HIF-1) pathway. Science's STKE : signal transduction knowledge environment. https://doi.org/10.1126/stke.4072007cm8

5. Chan, D. A., & Giaccia, A. J. (2010). PHD2 in tumour angiogenesis. British journal of cancer. https://doi.org/10.1038/sj.bjc.6605682

6. Meneses, A. M., & Wielockx, B. (2016). PHD2: from hypoxia regulation to disease progression. Hypoxia (Auckland, N.Z.). https://doi.org/10.2147/HP.S53576

Limitations

This product is for research use only and is not approved for use in humans or in clinical diagnosis. Primary Antibodies are guaranteed for 1 year from date of receipt.

Customers Who Viewed This Item Also Viewed...

NB100-105
Species: Bv, Ca, Fe, Ma, Hu, Pm, Mu, Po, Pm, Rb, Rt, Sh, Xp
Applications: ChIP, ChIP, ELISA, Flow, GS, IA, IB, ICC/IF, IHC-FrFl, IHC, IHC-Fr,  IHC-P, IP, In vitro, KD, KO, LA, PLA, Simple Western, TCS, WB
NB100-139
Species: Hu, Mu, Rt
Applications: ChIP, EM, ICC/IF, IHC,  IHC-P, IP, KD, MS, WB
AF6394
Species: Hu
Applications: IP, WB
NBP2-45411
Species: Hu, Mu, Rt
Applications: IHC,  IHC-P, WB
NB100-122
Species: Fi, Ha, Hu, Mu, Pm, Rb, Rt, Re, Sh
Applications: ChIP, Dual ISH-IHC, ELISA, Flow, GS, IB, ICC/IF, IHC, IHC-Fr,  IHC-P, IP, In vitro, KD, KO, PAGE, Simple Western, WB
DVE00
Species: Hu
Applications: ELISA
MEP00B
Species: Mu
Applications: ELISA
NBP3-03807
Species: Hu, Mu, Rt
Applications: ICC/IF, IP, WB
NB100-428
Species: Hu, Mu, Rt
Applications: EM, ICC/IF, IHC, IHC-Fr,  IHC-P, IP, KD, KO, WB
NB120-19347
Species: Bv, Hu, Mu, Po, Rt
Applications: ELISA, ICC/IF, IHC, IHC-Fr,  IHC-P, WB
NB100-124
Species: Bv, Ma, Hu, Mu, Pm, Rt, Sh
Applications: ChIP, CHIP-SEQ, GS, IB, ICC/IF, IHC,  IHC-P, IP, WB
NBP3-07388
Species: Hu
Applications: Flow, ICC/IF, IHC,  IHC-P
DTM100
Species: Hu
Applications: ELISA
NB100-417
Species: Hu, Mu, Pl, Rt
Applications: ChIP, Dual ISH-IHC, ELISA, Flow, GS, IB, ICC/IF, IHC, IHC-Fr,  IHC-P, IP, MiAr, PLA, Simple Western, WB
NBP1-89150
Species: Hu
Applications: IHC,  IHC-P, WB
NBP2-21037
Species: Hu
Applications: IHC,  IHC-P, WB
H00011026-M01
Species: Hu
Applications: ELISA, WB
NBP1-31302
Species: Hu, Mu, Rt
Applications: ICC/IF, IHC,  IHC-P, KO, WB

Publications for EGLN1/PHD2 Antibody (NB100-2219)(47)

We have publications tested in 3 confirmed species: Human, Mouse, Rat.

We have publications tested in 7 applications: IF/IHC, IHC-P, IP, KO, Simple Western, WB, Western Blot.


Filter By Application
IF/IHC
(1)
IHC-P
(2)
IP
(2)
KO
(1)
Simple Western
(2)
WB
(21)
Western Blot
(1)
All Applications
Filter By Species
Human
(7)
Mouse
(17)
Rat
(5)
All Species
Showing Publications 1 - 10 of 47. Show All 47 Publications.
Publications using NB100-2219 Applications Species
Haag D. Rolle der Siah-Ubiquitinligasen in der Entstehung der pulmonalen Hypertonie und daraus resultierenden rechtsventrikularen Hypertrophie. Einleitung. 2014-01-01 (WB, Mouse) WB Mouse
Sekine H, Takeda H, Takeda N et Al. PNPO-PLP axis senses prolonged hypoxia in macrophages by regulating lysosomal activity Nat Metab 2024-05-31 [PMID: 38822028]
Zhang, Y;Pan, YD;Zheng, WY;Li, HY;Zhu, MZ;Ou Yang, WJ;Qian, Y;Turecki, G;Mechawar, N;Zhu, XH; Enhancing HIF-1?-P2X2 signaling in dorsal raphe serotonergic neurons promotes psychological resilience Redox biology 2023-12-21 [PMID: 38150991] (Simple Western) Simple Western
Pan YD, Zhang Y, Zheng WY et al. Intermittent Hypobaric Hypoxia Ameliorates Autistic-Like Phenotypes in Mice. The Journal of neuroscience : the official journal of the Society for Neuroscience 2024-02-16 [PMID: 38124211] (Simple Western) Simple Western
Noonan ML, Ni P, Solis E et al. Osteocyte Egln1/Phd2 links oxygen sensing and biomineralization via FGF23 Bone Research 2023-01-18 [PMID: 36650133]
Sun L, Wu C, Ming J et al. EGLN1 induces tumorigenesis and radioresistance in nasopharyngeal carcinoma by promoting ubiquitination of p53 in a hydroxylase-dependent manner Journal of Cancer 2022-04-08 [PMID: 35517429] (IHC-P, Human) IHC-P Human
Meng X, Lin Z, Cao S et al. Estrogen-mediated downregulation of HIF-1 alpha signaling in B lymphocytes influences postmenopausal bone loss Bone research 2022-02-17 [PMID: 35177582]
Elamaa H, Kaakinen M, NAtynki M et al. PHD2 deletion in endothelial or arterial smooth muscle cells reveals vascular cell type-specific responses in pulmonary hypertension and fibrosis Angiogenesis 2022-01-08 [PMID: 34997404] (WB, Mouse) WB Mouse
ROning T, Magga J, Laitakari A et al. Activation of the hypoxia response pathway protects against age-induced cardiac hypertrophy Journal of molecular and cellular cardiology 2021-12-14 [PMID: 34919895] (WB, Mouse) WB Mouse
Ju S, Lim L, Wi K et al. LRP5 Regulates HIF-1 alpha Stability via Interaction with PHD2 in Ischemic Myocardium International Journal of Molecular Sciences 2021-06-19 [PMID: 34205318] (IP, Rat) IP Rat
Show All 47 Publications.

Reviews for EGLN1/PHD2 Antibody (NB100-2219) (3) 4.73

Average Rating: 4.7
(Based on 3 reviews)
We have 3 reviews tested in 2 species: Human, Mouse.

Reviews using NB100-2219:
Filter by Applications
WB
(2)
IF
(1)
All Applications
Filter by Species
Human
(1)
Mouse
(2)
All Species
Images Ratings Applications Species Date Details
Western Blot EGLN1/PHD2 NB100-2219
Enlarge
4
reviewed by:
Verified Customer
WB Mouse 02/16/2017
View

Summary

ApplicationWestern Blot
Sample Testedmurine bone marrow derived macrophages
SpeciesMouse
Immunofluorescence EGLN1/PHD2 NB100-2219
Enlarge
5
reviewed by:
Helder Andre
IF Human 05/14/2015
View

Summary

ApplicationImmunofluorescence
Sample TestedARPE-19 cells
SpeciesHuman
  5
reviewed by:
Verified Customer
WB Mouse 01/18/2012
View

Summary

ApplicationWestern Blot
Sample Testednuclear extract (brain), Sample Amount: 20ug
SpeciesMouse

Product General Protocols

View specific protocols for EGLN1/PHD2 Antibody (NB100-2219): Find general support by application which include: protocols, troubleshooting, illustrated assays, videos and webinars.

Video Protocols

WB Video Protocol
ICC/IF Video Protocol

FAQs for EGLN1/PHD2 Antibody (NB100-2219). (Showing 1 - 2 of 2 FAQs).

  1. I would like to use this antibody but it has not been validated in my species of interest. Is there any way I can find out if it will work?
    • We offer risk-free testing of all of our primary antibodies. Please check out our Innovator's Reward Program and test this EGLN1-PHD2 antibody in any unvalidated species or application, without the financial risk of failure.
  2. How do I choose secondary antibodies to label the same cells when I have two primary antibodies from the same host?
    • Use isotype-specific secondary antibodies if the primary antibodies are of different isotypes. You can also make direct conjugates of the primary antibodies by use of antibody labeling kits, dyes, or custom conjugations (please contact Technical Support for custom orders).

Control Lysate(s)

Secondary Antibodies

 

Isotype Controls

Additional EGLN1/PHD2 Products

Research Areas for EGLN1/PHD2 Antibody (NB100-2219)

Find related products by research area.

Blogs on EGLN1/PHD2

There are no specific blogs for EGLN1/PHD2, but you can read our latest blog posts.

Customers Who Bought This Also Bought

Contact Information

Product PDFs

Calculators

Concentration Calculator

The concentration calculator allows you to quickly calculate the volume, mass or concentration of your vial. Simply enter your mass, volume, or concentration values for your reagent and the calculator will determine the rest.

=
÷

Recent Reviews

4.7
5
2
4
1
3
0
2
0
1
0

Verified Customer
02/16/2017
Application: WB
Species: Mouse

Helder Andre
05/14/2015
Application: IF
Species: Human

 
Verified Customer
01/18/2012
Application: WB
Species: Mouse

Bioinformatics

Gene Symbol EGLN1