CXCL13/BLC/BCA-1 Antibody (CL10543) - Azide and BSA Free

Images

 
Orthogonal Strategies: Analysis in human tonsil and skeletal muscle tissues using NBP3-44241 antibody. Corresponding CXCL13/BLC/BCA-1 RNA-seq data are presented for the same tissues.
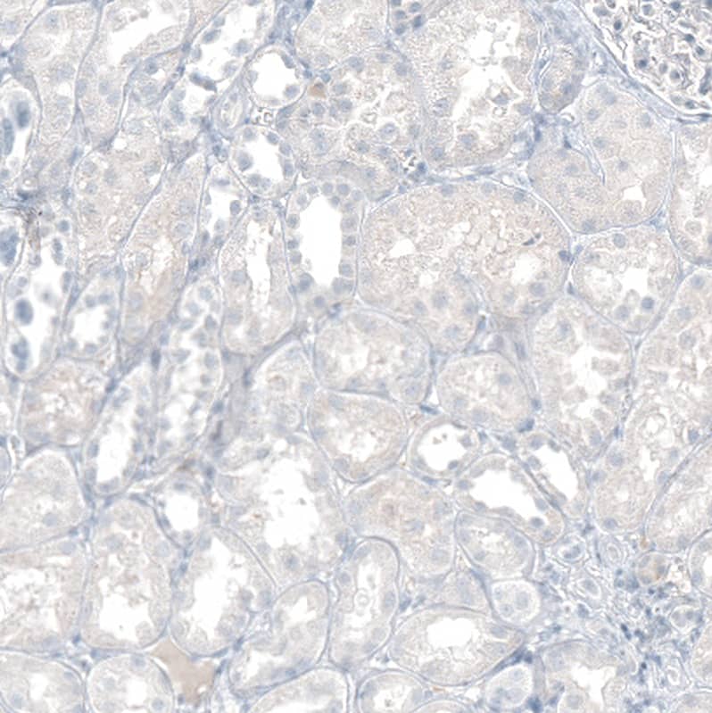
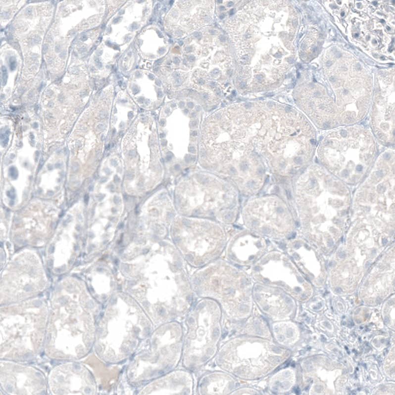
Staining of human kidney shows no positivity in cells in tubules as expected.
Staining of human cerebral cortex shows no positivity in neurons as expected.
Staining of human skeletal muscle shows no positivity in myocytes as expected.
Staining of human tonsil shows moderate positivity in secretion in germinal center.

Product Details

Summary
Reactivity HuSpecies Glossary
Applications IHC
Clone
CL10543
Clonality
Monoclonal
Host
Mouse
Conjugate
Unconjugated
Format
Azide and BSA Free
Concentration
LYOPH
Validated by:
       

Orthogonal Strategies

 

Order Details

CXCL13/BLC/BCA-1 Antibody (CL10543) - Azide and BSA Free Summary

Description
Novus Biologicals Mouse CXCL13/BLC/BCA-1 Antibody (CL10543) - Azide and BSA Free (NBP3-07988) is a monoclonal antibody validated for use in IHC. All Novus Biologicals antibodies are covered by our 100% guarantee.
Immunogen
This antibody was generated using a synthetic peptide of O43927, with the exact immunogen sequence remaining proprietary.
Isotype
IgG1
Clonality
Monoclonal
Host
Mouse
Gene
CXCL13
Purity
Protein A purified
Innovator's Reward
Test in a species/application not listed above to receive a full credit towards a future purchase.

Applications/Dilutions

Dilutions
  • Immunohistochemistry 1:200 - 1:500
  • Immunohistochemistry-Paraffin 1:200 - 1:500
Application Notes
For IHC-Paraffin, HIER pH 6 retrieval is recommended.

Packaging, Storage & Formulations

Storage
Store at 4C short term. Aliquot and store at -20C long term. Avoid freeze-thaw cycles.
Buffer
Lyophilized from a 0.2 um filtered solution in PBS with Trehalose
Preservative
No Preservative
Concentration
LYOPH
Purity
Protein A purified
Reconstitution Instructions
Centrifuge the vial of lyophilized antibody at 12,000 x g for 20 seconds. Reconstitute by adding sterile, distilled water to achieve a final antibody concentration of 1mg/ml.

Alternate Names for CXCL13/BLC/BCA-1 Antibody (CL10543) - Azide and BSA Free

  • ANGIE
  • ANGIE2
  • B cell-attracting chemokine 1
  • B lymphocyte chemoattractant
  • BCA1
  • BCA-1
  • BCA1B-cell chemoattractant
  • BCA-1CXC chemokine BLC
  • B-cell-homing chemokine (ligand for Burkitt's lymphoma receptor-1)
  • BLC
  • BLCSmall-inducible cytokine B13
  • BLR1L
  • B-lymphocyte chemoattractant
  • chemokine (C-X-C motif) ligand 13 (B-cell chemoattractant)
  • chemokine (C-X-C motif) ligand 13
  • C-X-C motif chemokine 13
  • CXCL13
  • SCYB13
  • SCYB13B-cell-attracting chemokine 1
  • small inducible cytokine B subfamily (Cys-X-Cys motif), member 13 (B-cellchemoattractant)

Background

Plasmid: pCMV-CXCL13 Full length; Host Cell: 293T

Limitations

This product is for research use only and is not approved for use in humans or in clinical diagnosis. Primary Antibodies are guaranteed for 1 year from date of receipt.

Customers Who Viewed This Item Also Viewed...

MAB190
Species: Hu
Applications: CyTOF-reported, Flow, ICC, IHC, Neut
366-6C
Species: Hu
Applications: BA
350-NS
Species: Fe, Hu, RM
Applications: BA, BA
361-MI
Species: Hu
Applications: BA
211-TBB/CF
Species: Hu
Applications: BA
DIP100
Species: Hu
Applications: ELISA
7268-CT
Species: Hu
Applications: BA
NBP1-19371
Species: Ca, Hu, Mu, Po, Rb, Rt
Applications: Dual ISH-IHC, Flow, ICC/IF, IHC, IHC-Fr,  IHC-P, Simple Western, WB
MAB172
Species: Hu
Applications: CyTOF-ready, Flow, IHC, Neut
MAB197
Species: Hu
Applications: CyTOF-reported, Dual ISH-IHC, Flow, ICC, IHC, Neut
DY417
Species: Mu
Applications: ELISA
NBP2-54591
Species: Hu
Applications: CyTOF-ready, Flow, ICC/IF, IHC,  IHC-P, PA
NB100-524
Species: Hu, Mu
Applications: Flow-IC, Flow, ICC/IF, IHC, IHC-Fr,  IHC-P, IP, WB
DRN00B
Species: Hu
Applications: ELISA
DCP00
Species: Hu
Applications: ELISA
M6000B
Species: Mu
Applications: ELISA
7954-GM/CF
Species: Hu
Applications: BA
NBP2-79843
Species: Hu
Applications: CyTOF-ready, ELISA, Flow, ICC/IF, IHC,  IHC-P, PA, WB
NBP3-44241
Species: Hu
Applications: IHC

Publications for CXCL13/BLC/BCA-1 Antibody (NBP3-44241) (0)

There are no publications for CXCL13/BLC/BCA-1 Antibody (NBP3-44241).
By submitting your publication information earn gift cards and discounts for future purchases.

Reviews for CXCL13/BLC/BCA-1 Antibody (NBP3-44241) (0)

There are no reviews for CXCL13/BLC/BCA-1 Antibody (NBP3-44241). By submitting a review you will receive an Amazon e-Gift Card or Novus Product Discount.
  • Review with no image -- $10/€7/£6/$10 CAD/¥70 Yuan/¥1110 Yen
  • Review with an image -- $25/€18/£15/$25 CAD/¥150 Yuan/¥2500 Yen

Product General Protocols

Find general support by application which include: protocols, troubleshooting, illustrated assays, videos and webinars.

FAQs for CXCL13/BLC/BCA-1 Antibody (NBP3-44241) (0)

There are no specific FAQs related to this product. Read our general customer & technical service FAQs.

Customers Who Bought This Also Bought

Contact Information

Product PDFs

Calculators

Concentration Calculator

The concentration calculator allows you to quickly calculate the volume, mass or concentration of your vial. Simply enter your mass, volume, or concentration values for your reagent and the calculator will determine the rest.

=
÷

Review this Product

Be the first to review our CXCL13/BLC/BCA-1 Antibody (CL10543) - Azide and BSA Free and receive a gift card or discount.

Bioinformatics

Gene Symbol CXCL13