CD45RA Antibody (PTPRC/7019R) - Azide and BSA Free

Images

 
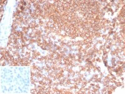
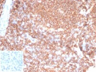
Immunohistochemistry-Paraffin: CD45RA Antibody (PTPRC/7019R) - Azide and BSA Free [NBP3-14161] - Formalin-fixed, paraffin-embedded human tonsil stained with CD45RA antibody (PTPRC/7019R). Inset: PBS instead of primary ...read more

Product Details

Summary
Reactivity HuSpecies Glossary
Applications IHC
Clone
PTPRC/7019R
Clonality
Monoclonal
Host
Rabbit
Conjugate
Unconjugated
Format
Azide and BSA Free
Concentration
1 mg/ml

Order Details

CD45RA Antibody (PTPRC/7019R) - Azide and BSA Free Summary

Description
1.0 mg/ml of antibody purified from Bioreactor Concentrate by Protein A/G. Prepared in 10mM PBS WITHOUT BSA & azide. Also available at 200 ug/ml WITH BSA & azide (NBP3-13758).

Antibody without azide - store at -20 to -80C. Antibody with azide - store at 2 to 8C. Non-hazardous.

Theoretical molecular weight: 180-220kDa
Additional Information
Recombinant Monoclonal Antibody
Immunogen
Recombinant full-length human CD45RA protein (Uniprot: P08575)
Localization
Cell surface, Cytoplasm
Marker
B-Cell Marker
Specificity
CD45R, also designated CD45 and PTPRC, has been identified as a transmembrane glycoprotein, broadly expressed among hematopoietic cells. Multiple isoforms of CD45R are distributed throughout the immune system according to cell type. These isoforms arise because of alternative splicing of exons 4, 5, and 6. The corresponding protein domains are characterized by the binding of monoclonal antibodies specific for CD45RA (exon 4), CD45RB (exon 5), CD45RC (exon 6) and CD45RO (exons 4 to 6 spliced out). The variation in these isoforms is localized to the extracellular domain of CD45R, while the intracellular domain is conserved. CD45R functions as a phosphor-tyrosine phosphatase. Antibody to CD45 is useful in differential diagnosis of lymphoid tumors from non-hematopoietic undifferentiated neoplasms.
Isotype
IgG Kappa
Clonality
Monoclonal
Host
Rabbit
Gene
PTPRC
Purity
Protein A or G purified
Innovator's Reward
Test in a species/application not listed above to receive a full credit towards a future purchase.

Applications/Dilutions

Dilutions
  • Immunohistochemistry-Paraffin 1-2 ug/ml
Application Notes
Immunohistochemistry (Formalin-fixed): 1-2ug/ml for 30 minutes at RT. Staining of formalin-fixed tissues requires heating tissue sections in 10mM Tris with 1mM EDTA, pH 9.0, for 45 min at 95C followed by cooling at RT for 20 minutes

Packaging, Storage & Formulations

Storage
Store at -20 to -80C. Avoid freeze-thaw cycles.
Buffer
10mM PBS
Preservative
No Preservative
Concentration
1 mg/ml
Purity
Protein A or G purified

Alternate Names for CD45RA Antibody (PTPRC/7019R) - Azide and BSA Free

  • B220
  • CD45 antigen
  • CD45R
  • CD45RA
  • EC 3.1.3.48
  • L-CA
  • LY5
  • protein tyrosine phosphatase, receptor type, C
  • receptor-type tyrosine-protein phosphatase C
  • T200 glycoprotein
  • T200 leukocyte common antigen
  • T200receptor type, c polypeptide

Background

The CD45 molecule is comprised of different glycoproteins ranging from 180-240 kD. Expression of CD45 is found on all hemopoietic cells. Detection of the different isoforms can distinguish between different cell forms i.e. naive T cells and memory T cells. CD45RA is an isoform of the CD45 complex and has restricted expression between different subtypes of lymphoid cells. The functional activity of each CD45 isotype also varies.

Limitations

This product is for research use only and is not approved for use in humans or in clinical diagnosis. Primary Antibodies are guaranteed for 1 year from date of receipt.

Customers Who Viewed This Item Also Viewed...

7268-CT
Species: Hu
Applications: BA
NBP2-79843
Species: Hu
Applications: CyTOF-ready, ELISA, Flow, ICC/IF, IHC,  IHC-P, PA, WB
NB100-524
Species: Hu, Mu
Applications: Flow-IC, Flow, ICC/IF, IHC, IHC-Fr,  IHC-P, IP, WB
NBP1-19371
Species: Ca, Hu, Mu, Po, Rb, Rt
Applications: Dual ISH-IHC, Flow, ICC/IF, IHC, IHC-Fr,  IHC-P, Simple Western, WB
NB600-1441
Species: Ca, Hu, Mu, Po
Applications: Flow, ICC/IF, IHC, IHC-Fr,  IHC-P, KD
AF4117
Species: Rt
Applications: IHC, WB
NBP1-49045
Species: Mu, Rt
Applications: Cell Depl, CyTOF-ready, Flow, ICC/IF, IHC, IHC-Fr,  IHC-P, IP, InhibTFunc
202-IL
Species: Hu
Applications: BA
6507-IL/CF
Species: Hu
Applications: BA
NBP2-54591
Species: Hu
Applications: CyTOF-ready, Flow, ICC/IF, IHC,  IHC-P, PA
NBP2-67309
Species: Hu, Rt
Applications: Flow, ICC/IF, IHC,  IHC-P, IP, WB
NB110-89474
Species: Bv, Ce, ChHa, Hu, Pm, Mu, Rt, RM
Applications: Dual ISH-IHC, Flow-CS, Flow, ICC/IF, IHC, IHC-Fr,  IHC-P, ISH, Simple Western, Single-Cell Western, WB
BBA10
Species: Hu
Applications: CyTOF-ready, Flow, IHC, IP, KO, Simple Western, WB
M6000B
Species: Mu
Applications: ELISA
NBP2-25196
Species: Hu, Mu
Applications: CyTOF-ready, Flow, ICC/IF, In vitro, WB
485-MI
Species: Mu
Applications: BA
DC140
Species: Hu
Applications: ELISA
NBP2-93743
Species: Hu, Mu, Rt
Applications: ICC/IF, WB
MAB17781
Species: Hu
Applications: Block, CyTOF-ready, Flow, ICC, IP, KO

Publications for CD45RA Antibody (NBP3-14161) (0)

There are no publications for CD45RA Antibody (NBP3-14161).
By submitting your publication information earn gift cards and discounts for future purchases.

Reviews for CD45RA Antibody (NBP3-14161) (0)

There are no reviews for CD45RA Antibody (NBP3-14161). By submitting a review you will receive an Amazon e-Gift Card or Novus Product Discount.
  • Review with no image -- $10/€7/£6/$10 CAD/¥70 Yuan/¥1110 Yen
  • Review with an image -- $25/€18/£15/$25 CAD/¥150 Yuan/¥2500 Yen

Product General Protocols

Find general support by application which include: protocols, troubleshooting, illustrated assays, videos and webinars.

FAQs for CD45RA Antibody (NBP3-14161) (0)

There are no specific FAQs related to this product. Read our general customer & technical service FAQs.

Customers Who Bought This Also Bought

Contact Information

Product PDFs

Calculators

Concentration Calculator

The concentration calculator allows you to quickly calculate the volume, mass or concentration of your vial. Simply enter your mass, volume, or concentration values for your reagent and the calculator will determine the rest.

=
÷

Review this Product

Be the first to review our CD45RA Antibody (PTPRC/7019R) - Azide and BSA Free and receive a gift card or discount.

Bioinformatics

Gene Symbol PTPRC