CD34 Antibody (CL14579) - Azide and BSA Free

Images

 
Orthogonal Strategies: Analysis in human placenta and liver tissues using NBP3-43916 antibody. Corresponding CD34 RNA-seq data are presented for the same tissues.
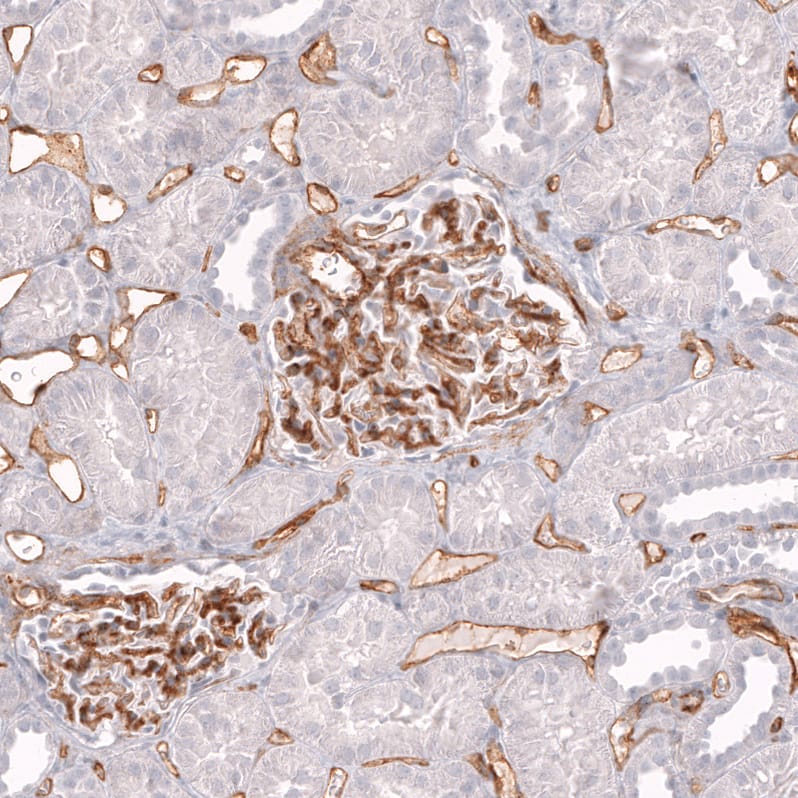
Staining of human kidney shows strong membranous positivity in endothelial cells.
Staining of human liver shows no positivity in hepatocytes as expected.
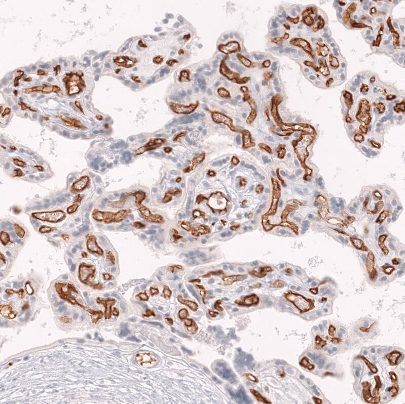
Staining of human placenta shows strong membranous positivity in endothelial cells.
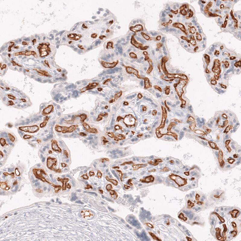
Staining of human pancreas shows moderate membranous positivity in endothelial cells.

Product Details

Summary
Reactivity HuSpecies Glossary
Applications IHC
Clone
CL14579
Clonality
Monoclonal
Host
Mouse
Conjugate
Unconjugated
Format
Azide and BSA Free
Concentration
LYOPH
Validated by:
       

Orthogonal Strategies

 

Order Details

CD34 Antibody (CL14579) - Azide and BSA Free Summary

Description
Novus Biologicals Mouse CD34 Antibody (CL14579) - Azide and BSA Free (NBP3-26871) is a monoclonal antibody validated for use in IHC. All Novus Biologicals antibodies are covered by our 100% guarantee.
Immunogen
This antibody was generated using a recombinant protein sequence of P28906, with the exact immunogen sequence remaining proprietary.
Isotype
IgG1
Clonality
Monoclonal
Host
Mouse
Gene
CD34
Purity
Protein A purified
Innovator's Reward
Test in a species/application not listed above to receive a full credit towards a future purchase.

Applications/Dilutions

Dilutions
  • Immunohistochemistry-Paraffin 1:200 - 1:500
Application Notes
For IHC-Paraffin, HIER pH 6 retrieval is recommended.

Packaging, Storage & Formulations

Storage
Store at 4C short term. Aliquot and store at -20C long term. Avoid freeze-thaw cycles.
Buffer
Lyophilized from a 0.2 um filtered solution in PBS with Trehalose
Preservative
No Preservative
Concentration
LYOPH
Purity
Protein A purified
Reconstitution Instructions
Centrifuge the vial of lyophilized antibody at 12,000 x g for 20 seconds. Reconstitute by adding sterile, distilled water to achieve a final antibody concentration of 1mg/ml.

Alternate Names for CD34 Antibody (CL14579) - Azide and BSA Free

  • CD34 antigenhematopoietic progenitor cell antigen CD34
  • CD34 molecule
  • CD34
  • HPCA1

Background

CD34, also known as Cluster of Differentiation 34, is a transmembrane phosphoglycoprotein that is primarily known for being a surface marker for hematopoietic stem cells (HSCs) and progenitor cells (1,2). The CD34 protein consists of a heavily glycosylated extracellular domain, a single-pass transmembrane helix, and a cytoplasmic tail with PDZ binding motifs (1,3). Human CD34 has two protein isoforms consisting of 385 amino acids (aa) for the canonical isoform and 328 aa for isoform 2 (3,4). The canonical CD34 isoform has calculated theoretical molecular weight of 40 kDa and an observed molecular weight of ~115 kDa (1,3,4). L-Selectin (CD62L) is the most common ligand for CD34, but it has also been shown to bind CrkL (1,3).

CD34 has commonly been used as a marker for the diagnosis and classification of various diseases and pathologies including leukemia and solitary fibrous tumor (SFT) (2,5). In terms of immunohistochemistry and histopathology, CD34 has been the most common marker for SFT and is expressed in ~79% of cases (5). In addition to its use as a cell marker, CD34-postive (CD34+) hematopoietic stem cells have been used therapeutically in patients following radiation or chemotherapy due to their regenerative potential (6). There are several clinical trials showing promising results for CD34+ cell therapy for cardiovascular diseases including heart failure, ischemia, dilated cardiomyopathy, acute myocardial infarction, and angina (6). Besides hematopoietic lineages, CD34 is also expressed in non-hematopoietic cells including mesenchymal stem cells, endothelial cells and progenitors, fibrocytes, muscle satellite cells, and some cancer stem cells (1,3). While the clinical and cell therapy applications of CD34 as a cell marker is well documented, the function of CD34 is less understood but has been implicated in many cellular processes such as adhesion, proliferation, signal transduction, differentiation, and progenitor phenotype maintenance (1,3).

References

1. Sidney, L. E., Branch, M. J., Dunphy, S. E., Dua, H. S., & Hopkinson, A. (2014). Concise review: evidence for CD34 as a common marker for diverse progenitors. Stem cells (Dayton, Ohio), 32(6), 1380-1389. https://doi.org/10.1002/stem.1661

2. Krause, D. S., Fackler, M. J., Civin, C. I., & May, W. S. (1996). CD34: structure, biology, and clinical utility. Blood, 87(1), 1-13

3. Kapoor, S., Shenoy, S. P., & Bose, B. (2020). CD34 cells in somatic, regenerative and cancer stem cells: Developmental biology, cell therapy, and omics big data perspective. Journal of cellular biochemistry, 121(5-6), 3058-3069. https://doi.org/10.1002/jcb.29571

4. Uniprot (P28906)

5. Davanzo, B., Emerson, R. E., Lisy, M., Koniaris, L. G., & Kays, J. K. (2018). Solitary fibrous tumor. Translational gastroenterology and hepatology, 3, 94. https://doi.org/10.21037/tgh.2018.11.02

6. Prasad, M., Corban, M. T., Henry, T. D., Dietz, A. B., Lerman, L. O., & Lerman, A. (2020). Promise of autologous CD34+ stem/progenitor cell therapy for treatment of cardiovascular disease. Cardiovascular research, 116(8), 1424-1433. https://doi.org/10.1093/cvr/cvaa027

Limitations

This product is for research use only and is not approved for use in humans or in clinical diagnosis. Primary Antibodies are guaranteed for 1 year from date of receipt.

Customers Who Viewed This Item Also Viewed...

7268-CT
Species: Hu
Applications: BA
NBP2-79843
Species: Hu
Applications: CyTOF-ready, ELISA, Flow, ICC/IF, IHC,  IHC-P, PA, WB
NB100-524
Species: Hu, Mu
Applications: Flow-IC, Flow, ICC/IF, IHC, IHC-Fr,  IHC-P, IP, WB
DVE00
Species: Hu
Applications: ELISA
255-SC
Species: Hu
Applications: BA
AF1356
Species: Hu, Mu
Applications: CyTOF-ready, Dual ISH-IHC, Flow, IHC, Simple Western, WB
AF114
Species: Mu
Applications: CyTOF-ready, Flow, ICC, IHC, WB
AF3628
Species: Hu, Mu, Rt
Applications: CyTOF-ready, Flow, ICC, IHC, Simple Western, WB
MAB414
Species: Mu
Applications: ELISA(Cap), ELISA(Det), ELISA(Sta), Neut, WB
203-IL
Species: Hu
Applications: BA
NB110-41083
Species: Hu
Applications: ELISA, WB
MAB414
Species: Mu
Applications: ELISA(Cap), ELISA(Det), ELISA(Sta), Neut, WB
M6000B
Species: Mu
Applications: ELISA
NB300-223
Species: Bv, Ca, Ch, Eq, Hu, Mu, Po, Rt
Applications: ICC/IF, IHC, IHC-Fr,  IHC-P, WB
NBP2-25265
Species: Hu, Mu
Applications: ICC/IF, IHC, IHC-Fr,  IHC-P, Simple Western, WB
288-TPN/CF
Species: Hu
Applications: BA
NBP2-22377
Species: Hu
Applications: IHC,  IHC-P, WB
AF3844
Species: Hu, Mu
Applications: IHC
7954-GM/CF
Species: Hu
Applications: BA

Publications for CD34 Antibody (NBP3-43916) (0)

There are no publications for CD34 Antibody (NBP3-43916).
By submitting your publication information earn gift cards and discounts for future purchases.

Reviews for CD34 Antibody (NBP3-43916) (0)

There are no reviews for CD34 Antibody (NBP3-43916). By submitting a review you will receive an Amazon e-Gift Card or Novus Product Discount.
  • Review with no image -- $10/€7/£6/$10 CAD/¥70 Yuan/¥1110 Yen
  • Review with an image -- $25/€18/£15/$25 CAD/¥150 Yuan/¥2500 Yen

Product General Protocols

Find general support by application which include: protocols, troubleshooting, illustrated assays, videos and webinars.

FAQs for CD34 Antibody (NBP3-43916). (Showing 1 - 1 of 1 FAQ).

  1. I wonder if you have a CD105 or CD34 antibody suitable for IHC that is specific for human and do not bind mouse?
    • We do not have any anti-human CD34 or CD105 antibodies that are confirmed to NOT detect the mouse protein. When we have tested an antibody and confirmed that it will not react with mouse samples, we will add Mu(-) to the datasheet, and unfortunately all of our CD105 and CD34 antibodies will either detect the mouse protein, or they have not been used in mouse samples before.

Secondary Antibodies

 

Isotype Controls

Additional CD34 Products

Research Areas for CD34 Antibody (NBP3-43916)

Find related products by research area.

Blogs on CD34.

Understanding ‘Y’ in Breast Cancer: Crucial Role of DNA/RNA-binding Protein YB-1 in the Development, Pre-Invasive, and Metastatic Phases
Jamshed Arslan, Pharm D, PhD In the United States, 1 in 8 women will be diagnosed with breast cancer in her lifetime.1 Despite the prevalence, cancer genesis is a mystery. The heterogeneity of cancers makes it diff...  Read full blog post.

The application of CD31/Pecam-1 (MEC 7.46) in breast cancer research
CD31/PECAM-1, or platelet endothelial cell adhesion molecule 1, is a 130-kDa glycoprotein expressed on vascular and hematopoietic cells.  Depending on the cell type, CD31/PECAM-1 expression can be largely localized to cell junctions, playing a rol...  Read full blog post.

CD68 (Cluster of differentiation 68, GP110, LAMP4, SCARD1)
CD68 belongs to a growing family of hematopoietic mucin-like molecules known as lysosomal/endosomal-associated membrane glycoproteins (LAMPs). Other LAMP family members included leukosialin, stem cell antigen CD34, and GlyCAM-1. CD68 encodes a 110-kD ...  Read full blog post.

CD34 (Cluster of differentiation 34, hematopoietic progenitor cell antigen)
CD34 is a cell-surface glycoprotein type 1 transmembrane protein that belongs to the sialomucin family. CD34 comprises of an intracellular cytoplasmic domain with consensus sites for serine, threonine, tyrosine and active protein kinase C (PKC). Becau...  Read full blog post.

CD34 Serves as an Important Marker in Disease Research
CD34 is a membrane protein that aids cells in cell-cell adhesion. Although little is known about its function, CD34 is an important marker for hematopoietic stem cells (HSCs), muscle satellite cells, and endothelial c...  Read full blog post.

CD34 Serves as an Important Marker in Disease Research
CD34 is a cell surface glycoprotein that aids cells in cell-cell adhesion. It is expressed on endothelial cells where it is known to bind L-selectin and may aid in migration of T-cells. Moreover, it is expressed on hematopoietic stem cells (HSC), musc...  Read full blog post.

Customers Who Bought This Also Bought

Contact Information

Product PDFs

Calculators

Concentration Calculator

The concentration calculator allows you to quickly calculate the volume, mass or concentration of your vial. Simply enter your mass, volume, or concentration values for your reagent and the calculator will determine the rest.

=
÷

Review this Product

Be the first to review our CD34 Antibody (CL14579) - Azide and BSA Free and receive a gift card or discount.

Bioinformatics

Gene Symbol CD34