CD163 Antibody (CL10658) - Azide and BSA Free

Images

 
Orthogonal Strategies: Analysis in human cerebral cortex and skeletal muscle tissues using NBP3-44148 antibody. Corresponding CD163 RNA-seq data are presented for the same tissues.
Staining of human cerebellum shows moderate cytoplasmic positivity in microglia.
Staining of human cerebral cortex shows strong cytoplasmic positivity in perivascular macrophages as well as moderate positivity in microglia.
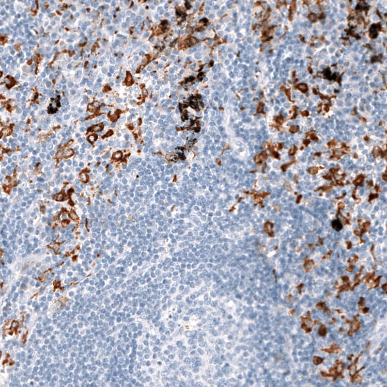
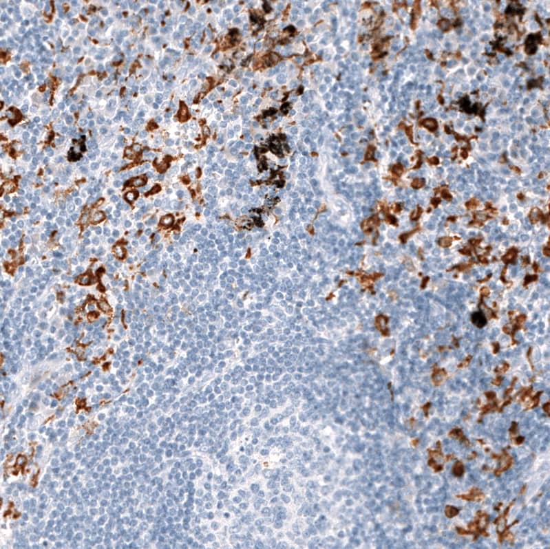
Staining of human lymph node shows strong cytoplasmic positivity in non-germinal center cells.
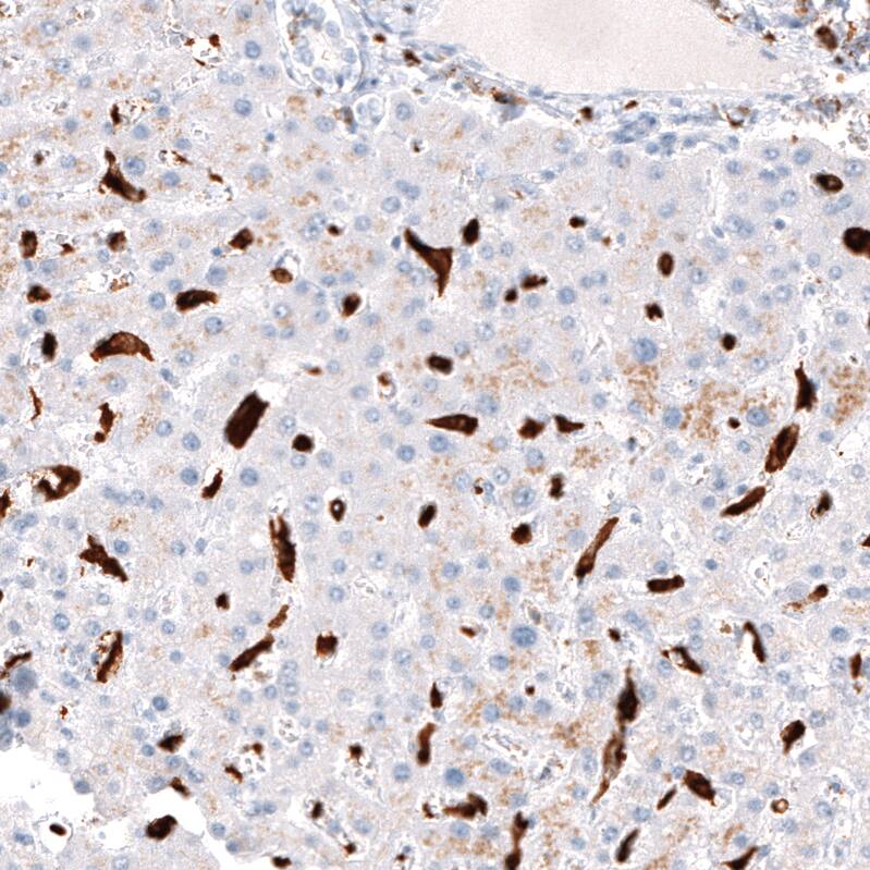
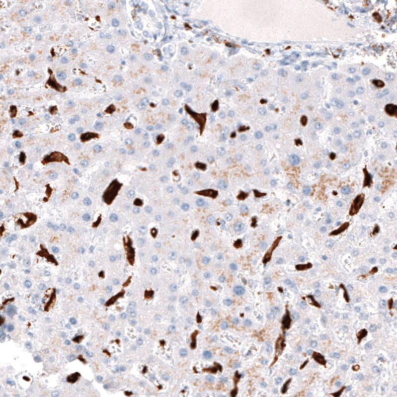
Staining of human liver shows strong cytoplasmic positivity in Kupffer cells.
Staining of human skeletal muscle shows no positivity in myocytes as expected.

Product Details

Summary
Reactivity HuSpecies Glossary
Applications IHC
Clone
CL10658
Clonality
Monoclonal
Host
Mouse
Conjugate
Unconjugated
Format
Azide and BSA Free
Concentration
LYOPH
Validated by:
       

Orthogonal Strategies

 

Order Details

CD163 Antibody (CL10658) - Azide and BSA Free Summary

Description
Novus Biologicals Mouse CD163 Antibody (CL10658) - Azide and BSA Free (NBP3-21179) is a monoclonal antibody validated for use in IHC. All Novus Biologicals antibodies are covered by our 100% guarantee.
Immunogen
This antibody was generated using a recombinant protein sequence of Q86VB7, with the exact immunogen sequence remaining proprietary.
Isotype
IgG1
Clonality
Monoclonal
Host
Mouse
Gene
CD163
Purity
Protein A purified
Innovator's Reward
Test in a species/application not listed above to receive a full credit towards a future purchase.

Applications/Dilutions

Dilutions
  • Immunohistochemistry-Paraffin 1:50 - 1:200
Application Notes
For IHC-Paraffin, HIER pH 6 retrieval is recommended.

Packaging, Storage & Formulations

Storage
Store at 4C short term. Aliquot and store at -20C long term. Avoid freeze-thaw cycles.
Buffer
Lyophilized from a 0.2 um filtered solution in PBS with Trehalose
Preservative
No Preservative
Concentration
LYOPH
Purity
Protein A purified
Reconstitution Instructions
Centrifuge the vial of lyophilized antibody at 12,000 x g for 20 seconds. Reconstitute by adding sterile, distilled water to achieve a final antibody concentration of 1mg/ml.

Alternate Names for CD163 Antibody (CL10658) - Azide and BSA Free

  • CD_antigen: CD163
  • CD163 molecule
  • CD163
  • GHI/61
  • HbSR
  • Hemoglobin scavenger receptor
  • M130
  • macrophage-associated antigen
  • MM130
  • RM3/1
  • SCARI1
  • scavenger receptor cysteine-rich type 1 protein M130
  • sCD163
  • Soluble CD163

Background

CD163 (Cluster of Differentiation 163), also known by several other names including M130, p155, RM3/1, Ki-M8, Ber-MAC3, SM4, and GHI/61, is a type I transmembrane glycoprotein that is a member of the scavenger receptor cysteine-rich (SRCR) super family class B (1-3). CD163 is expressed specifically on the monocyte/macrophage lineage and has a theoretical molecular weight of 130-160 kDa in reducing conditions and 110 kDa in non-reducing conditions (2 - 6). CD163 is synthesized as 1076 amino acid (aa) protein consisting of a large extracellular domain (ECD) with nine SRCR domains, proline-serine-threonine rich (PST) linker domain, a transmembrane segment, and a cytoplasmic tail which has varying lengths depending on the isoform due to alternative splicing, with the short 49 aa form being the most common (1-3, 6).

One of the primary functions of CD163 is uptake of haptoglobin-hemoglobin (Hp-Hb) complexes from the liver, spleen, and bone marrow, ultimately triggering an anti-inflammatory response (3, 5, 7). CD163 also functions as an erythroblast adhesion receptor and promotes cell maturation and survival (3, 5, 7). Furthermore, CD163 functions in immune sensing of bacteria and as a receptor for tumor necrosis factor (TNF)-like weak inducer of apoptosis (TWEAK) (3, 5, 7). As mentioned above, CD163 is expressed on cells in the monocyte/macrophage lineage and, in general, anti-inflammatory signals including glucocorticoids, interleukin (IL)-6, and IL-10 stimulate CD163 synthesis and expression while, conversely, pro-inflammatory signals such as interferon-gamma (INF-gamma), TNF-alpha, and lipopolysaccharide (LPS) downregulate CD163 (3, 5). In addition to membrane-bound form of CD163, the protein can be cleaved by metalloproteinases (MMP) and induced by LPS or phorbol myristate acetate (PMA) to release a soluble form (sCD163) into the plasma (7). Increased levels of sCD163 in the plasma and an increased number of CD163-expressing macrophages at the site of inflammation are associated with a variety of pathologies (3, 5-7). CD163/sCD163 is often increased and a suitable clinical marker for inflammatory diseases including rheumatoid arthritis (RA), Gaucher disease, chronic kidney disease, diabetes, and Crohn's disease (3, 5-7).

Alternative names for CD163 includes GHI/61, HbSR, Hemoglobin scavenger receptor, M130, macrophage-associated antigen, MM130, RM3/1, SCARI1, scavenger receptor cysteine-rich type 1 protein M130, sCD163, and soluble CD163.

References

1. Law, S. K., Micklem, K. J., Shaw, J. M., Zhang, X. P., Dong, Y., Willis, A. C., & Mason, D. Y. (1993). A new macrophage differentiation antigen which is a member of the scavenger receptor superfamily. European journal of immunology. https://doi.org/10.1002/eji.1830230940

2. Onofre, G., Kolackova, M., Jankovicova, K., & Krejsek, J. (2009). Scavenger receptor CD163 and its biological functions. Acta medica (Hradec Kralove).

3. Van Gorp, H., Delputte, P. L., & Nauwynck, H. J. (2010). Scavenger receptor CD163, a Jack-of-all-trades and potential target for cell-directed therapy. Molecular immunology. https://doi.org/10.1016/j.molimm.2010.02.008

4. Sulahian, T. H., Hogger, P., Wahner, A. E., Wardwell, K., Goulding, N. J., Sorg, C., Droste, A., Stehling, M., Wallace, P. K., Morganelli, P. M., & Guyre, P. M. (2000). Human monocytes express CD163, which is upregulated by IL-10 and identical to p155. Cytokine. https://doi.org/10.1006/cyto.2000.0720

5. Etzerodt, A., & Moestrup, S. K. (2013). CD163 and inflammation: biological, diagnostic, and therapeutic aspects. Antioxidants & redox signaling. https://doi.org/10.1089/ars.2012.4834

6. Skytthe, M. K., Graversen, J. H., & Moestrup, S. K. (2020). Targeting of CD163+ Macrophages in Inflammatory and Malignant Diseases. International journal of molecular sciences, 21(15), 5497. https://doi.org/10.3390/ijms21155497

7. Moller H. J. (2012). Soluble CD163. Scandinavian journal of clinical and laboratory investigation. https://doi.org/10.3109/00365513.2011.626868

Limitations

This product is for research use only and is not approved for use in humans or in clinical diagnosis. Primary Antibodies are guaranteed for 1 year from date of receipt.

Customers Who Viewed This Item Also Viewed...

NB100-524
Species: Hu, Mu
Applications: Flow-IC, Flow, ICC/IF, IHC, IHC-Fr,  IHC-P, IP, WB
NBP2-79843
Species: Hu
Applications: CyTOF-ready, ELISA, Flow, ICC/IF, IHC,  IHC-P, PA, WB
7268-CT
Species: Hu
Applications: BA
NB100-683
Species: Hu, Mu, Rt
Applications: Dual ISH-IHC, EM, Flow, ICC/IF, IHC, IHC-Fr,  IHC-P, IP, WB
DY417
Species: Mu
Applications: ELISA
NBP2-93743
Species: Hu, Mu, Rt
Applications: ICC/IF, WB
DC140
Species: Hu
Applications: ELISA
DHAPG0
Species: Hu
Applications: ELISA
M6000B
Species: Mu
Applications: ELISA
AF114
Species: Mu
Applications: CyTOF-ready, Flow, ICC, IHC, WB
6507-IL/CF
Species: Hu
Applications: BA
NB600-1441
Species: Ca, Hu, Mu, Po
Applications: Flow, ICC/IF, IHC, IHC-Fr,  IHC-P, KD
NBP1-19371
Species: Ca, Hu, Mu, Po, Rb, Rt
Applications: Dual ISH-IHC, Flow, ICC/IF, IHC, IHC-Fr,  IHC-P, Simple Western, WB
NBP1-49045
Species: Mu, Rt
Applications: Cell Depl, CyTOF-ready, Flow, ICC/IF, IHC, IHC-Fr,  IHC-P, IP, InhibTFunc
DY1707
Species: Hu
Applications: ELISA
DCP00
Species: Hu
Applications: ELISA
AF2535
Species: Mu
Applications: CyTOF-ready, Flow, IHC, WB

Publications for CD163 Antibody (NBP3-44148) (0)

There are no publications for CD163 Antibody (NBP3-44148).
By submitting your publication information earn gift cards and discounts for future purchases.

Reviews for CD163 Antibody (NBP3-44148) (0)

There are no reviews for CD163 Antibody (NBP3-44148). By submitting a review you will receive an Amazon e-Gift Card or Novus Product Discount.
  • Review with no image -- $10/€7/£6/$10 CAD/¥70 Yuan/¥1110 Yen
  • Review with an image -- $25/€18/£15/$25 CAD/¥150 Yuan/¥2500 Yen

Product General Protocols

Find general support by application which include: protocols, troubleshooting, illustrated assays, videos and webinars.

FAQs for CD163 Antibody (NBP3-44148) (0)

There are no specific FAQs related to this product. Read our general customer & technical service FAQs.

Customers Who Bought This Also Bought

Contact Information

Product PDFs

Calculators

Concentration Calculator

The concentration calculator allows you to quickly calculate the volume, mass or concentration of your vial. Simply enter your mass, volume, or concentration values for your reagent and the calculator will determine the rest.

=
÷

Review this Product

Be the first to review our CD163 Antibody (CL10658) - Azide and BSA Free and receive a gift card or discount.

Bioinformatics

Gene Symbol CD163