CD11c Antibody (CL1831) - Azide and BSA Free

Images

 
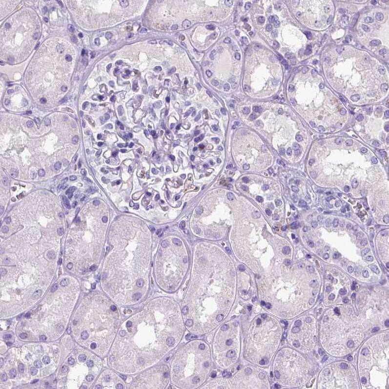
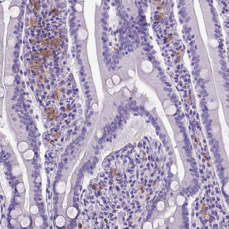
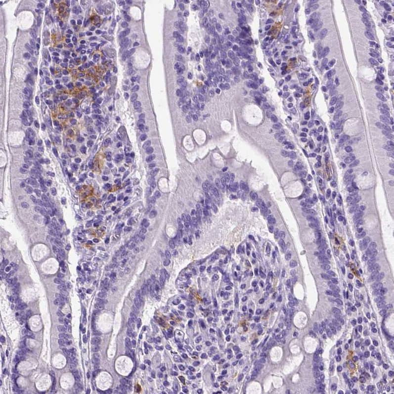
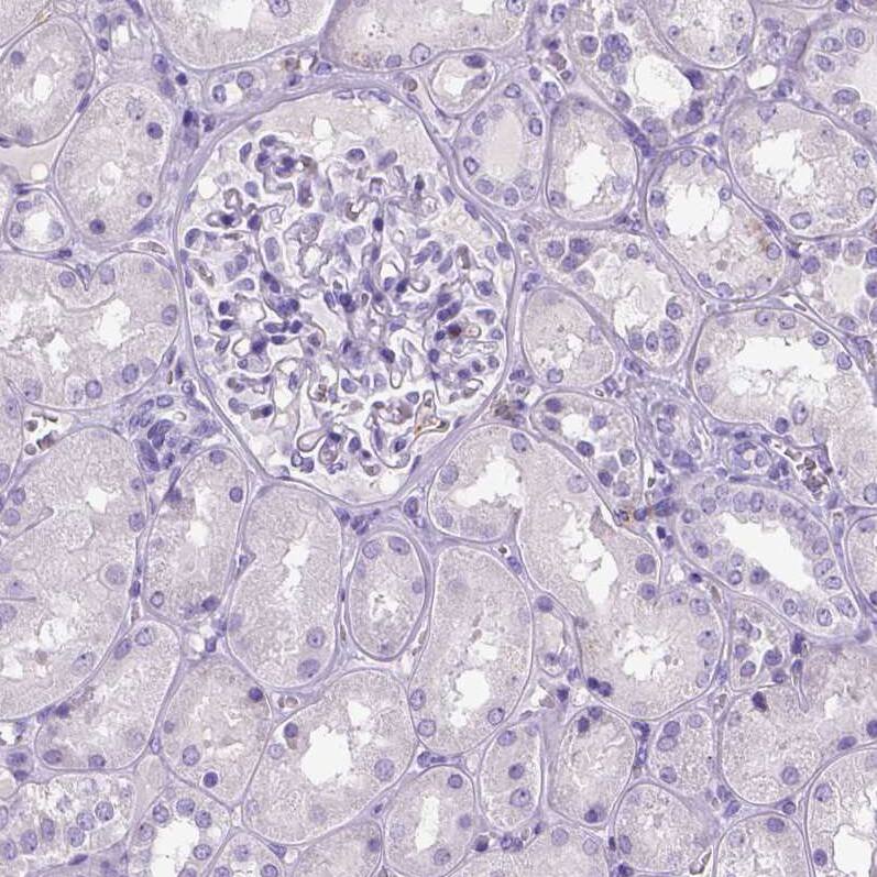
Orthogonal Strategies: Analysis in human tonsil and kidney tissues using NBP3-44020 antibody. Corresponding CD11c RNA-seq data are presented for the same tissues.
Staining of human kidney shows no positivity as expected.
Staining of human fallopian tube shows moderate membranous positivity in a subset of lymphoid cells.
Analysis in human cell line THP-1.
Staining of human tonsil shows strong membranous positivity in a subset of germinal and non-germinal center cells.
Staining of human small intestine shows moderate positivity in a subset of lymphoid cells.

Product Details

Summary
Reactivity Hu, MuSpecies Glossary
Applications WB, IHC
Clone
CL1831
Clonality
Monoclonal
Host
Mouse
Conjugate
Unconjugated
Format
Azide and BSA Free
Concentration
LYOPH
Validated by:
       

Orthogonal Strategies

 

Order Details

CD11c Antibody (CL1831) - Azide and BSA Free Summary

Description
Novus Biologicals Mouse CD11c Antibody (CL1831) - Azide and BSA Free (NBP2-34491) is a monoclonal antibody validated for use in IHC and WB. All Novus Biologicals antibodies are covered by our 100% guarantee.
Immunogen
This antibody was generated using a recombinant protein sequence of P20702, with the exact immunogen sequence remaining proprietary.
Isotype
IgG1
Clonality
Monoclonal
Host
Mouse
Gene
ITGAX
Purity
Protein A purified
Innovator's Reward
Test in a species/application not listed above to receive a full credit towards a future purchase.

Applications/Dilutions

Dilutions
  • Immunohistochemistry-Paraffin 1:20 - 1:50
  • Western Blot 1 ug/ml
Application Notes
For IHC-Paraffin, HIER pH 6 retrieval is recommended.

Reactivity Notes

Mouse reactivity reported from a verified customer review.

Packaging, Storage & Formulations

Storage
Store at 4C short term. Aliquot and store at -20C long term. Avoid freeze-thaw cycles.
Buffer
Lyophilized from a 0.2 um filtered solution in PBS with Trehalose
Preservative
No Preservative
Concentration
LYOPH
Purity
Protein A purified
Reconstitution Instructions
Centrifuge the vial of lyophilized antibody at 12,000 x g for 20 seconds. Reconstitute by adding sterile, distilled water to achieve a final antibody concentration of 1mg/ml.

Alternate Names for CD11c Antibody (CL1831) - Azide and BSA Free

  • 95 alpha chain
  • 95
  • 95, alpha subunit
  • CD11 antigen-like family member C
  • CD11c antigen
  • CD11c
  • CD11Cleu M5, alpha subunit
  • Integrin alpha X
  • integrin alpha-X
  • integrin, alpha X (antigen CD11C (p150), alpha polypeptide)
  • integrin, alpha X (complement component 3 receptor 4 subunit)
  • ITGAX
  • Leu M5
  • Leukocyte adhesion glycoprotein p150
  • Leukocyte adhesion receptor p150
  • leukocyte surface antigen p150
  • myeloid membrane antigen, alpha subunit
  • p150 95 integrin alpha chain
  • p150,95 alpha
  • SLEB6

Background

CD11c encodes the integrin alpha X chain protein. CD11c is a type I transmembrane protein found at high levels on most human dendritic cells, but also on monocytes, macrophages, neutrophils, and some B cells that induces cellular activation and helps trigger neutrophil respiratory burst; expressed in hairy cell leukemias, acute nonlymphocytic leukemias, and some B-cell chronic lymphocytic leukemias.

Limitations

This product is for research use only and is not approved for use in humans or in clinical diagnosis. Primary Antibodies are guaranteed for 1 year from date of receipt.

Customers Who Viewed This Item Also Viewed...

NB110-89474
Species: Bv, Ce, ChHa, Hu, Pm, Mu, Rt, RM
Applications: Dual ISH-IHC, Flow-CS, Flow, ICC/IF, IHC, IHC-Fr,  IHC-P, ISH, Simple Western, Single-Cell Western, WB
NBP1-72042
Species: Hu, Mu, Rt
Applications: ICC/IF, IHC,  IHC-P, PEP-ELISA, WB
7268-CT
Species: Hu
Applications: BA
NB100-524
Species: Hu, Mu
Applications: Flow-IC, Flow, ICC/IF, IHC, IHC-Fr,  IHC-P, IP, WB
NBP2-79843
Species: Hu
Applications: CyTOF-ready, ELISA, Flow, ICC/IF, IHC,  IHC-P, PA, WB
AF1730
Species: Hu
Applications: AdBlk, CyTOF-ready, Flow, ICC
NBP1-19371
Species: Ca, Hu, Mu, Po, Rb, Rt
Applications: Dual ISH-IHC, Flow, ICC/IF, IHC, IHC-Fr,  IHC-P, Simple Western, WB
NBP2-25208
Species: Hu, Mu, Rt
Applications: Flow, ICC/IF, IHC, IHC-Fr,  IHC-P, KO, Simple Western, WB
MAB3595
Species: Hu
Applications: CyTOF-ready, Flow, Simple Western, WB
AF629
Species: Hu
Applications: CyTOF-ready, Flow, InhibCellGro, WB
MAB140
Species: Hu
Applications: CyTOF-ready, Dual ISH-IHC, ELISA(Cap), ELISA(Det), ELISA(Sta), Flow, IHC, Neut
6507-IL/CF
Species: Hu
Applications: BA
NBP1-49045
Species: Mu, Rt
Applications: Cell Depl, CyTOF-ready, Flow, ICC/IF, IHC, IHC-Fr,  IHC-P, IP, InhibTFunc
DY417
Species: Mu
Applications: ELISA
AF114
Species: Mu
Applications: CyTOF-ready, Flow, ICC, IHC, WB
AF632
Species: Hu
Applications: AgAct, Simple Western, WB
DC140
Species: Hu
Applications: ELISA
NBP2-93743
Species: Hu, Mu, Rt
Applications: ICC/IF, WB
AF796
Species: Mu
Applications: AdBlk, IHC, WB

Publications for CD11c Antibody (NBP3-44020) (0)

There are no publications for CD11c Antibody (NBP3-44020).
By submitting your publication information earn gift cards and discounts for future purchases.

Reviews for CD11c Antibody (NBP3-44020) (0)

There are no reviews for CD11c Antibody (NBP3-44020). By submitting a review you will receive an Amazon e-Gift Card or Novus Product Discount.
  • Review with no image -- $10/€7/£6/$10 CAD/¥70 Yuan/¥1110 Yen
  • Review with an image -- $25/€18/£15/$25 CAD/¥150 Yuan/¥2500 Yen

Product General Protocols

Find general support by application which include: protocols, troubleshooting, illustrated assays, videos and webinars.

Video Protocols

WB Video Protocol

FAQs for CD11c Antibody (NBP3-44020) (0)

There are no specific FAQs related to this product. Read our general customer & technical service FAQs.

Secondary Antibodies

 

Isotype Controls

Additional CD11c Products

Research Areas for CD11c Antibody (NBP3-44020)

Find related products by research area.

Blogs on CD11c.


  Read full blog post.

CD11b: Marker for a New Type of B Cell that Participates in Cell-Mediated Immunity
Think B lymphocytes just produce antibodies? Think again! Although, of course, B cells are vital for the humoral immune response, many studies in recent years have begun to uncover antibody-independent actions of B cells: regulating T cells and thus a...  Read full blog post.

Adhesion Receptor Molecule CD11b/c is the Point of Entry for many Infectious Diseases
Pathogenic microorganisms utilize a variety of cell surface receptors to gain entry into host cells and to bypass the natural defense mechanisms. One of the most prominent receptors used in this fashion is the leukocyte adhesion receptor CD11b/c. This...  Read full blog post.

CD11b/CD18 and Neutrophil-Epithelial Interactions as Targets for Anti-Inflammatory Therapies
The beta-2 integrins, a family of four cell surface transmembrane glycoproteins expressed only on leukocytes, include CD11a/CD18, CD11b/CD18, CD11c/CD18, and CD11d/CD18. They consist of a common beta subunit (CD18) and homologous alpha subunits (CD11a...  Read full blog post.

Customers Who Bought This Also Bought

Contact Information

Product PDFs

Calculators

Concentration Calculator

The concentration calculator allows you to quickly calculate the volume, mass or concentration of your vial. Simply enter your mass, volume, or concentration values for your reagent and the calculator will determine the rest.

=
÷

Review this Product

Be the first to review our CD11c Antibody (CL1831) - Azide and BSA Free and receive a gift card or discount.

Bioinformatics

Gene Symbol ITGAX