CCR11 Antibody

Images

 
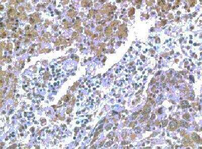
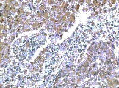
Immunohistochemistry-Paraffin: CCR11 Antibody [NB100-705] - Immunohistochemistry with antibody to human CCR11 on paraffin section of human lung.
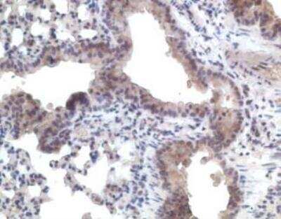
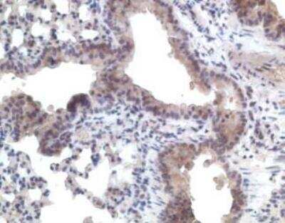
Immunohistochemistry-Paraffin: CCR11 Antibody [NB100-705] - paraffin section mouse lung

Product Details

Summary
Product Discontinued
View other related CCR11 Primary Antibodies

Order Details


    • Catalog Number
      NB100-705
    • Availability
      Product Discontinued

    Can't find what you are looking for? Use our Antibody Concierge Service & we will help you locate your antibody!

    Or feel free to contact us for alternative products.

CCR11 Antibody Summary

Immunogen
Synthetic peptide: EQNQSTDYYYEENEMNGTYDYSQYELIC, corresponding to amino acids 4-31 of Human CCR11.
Specificity
Peptide sequence is < 50 % identical to other human chemokine receptors in this region.
Isotype
IgG
Clonality
Polyclonal
Host
Goat
Gene
ACKR4
Purity
Immunogen affinity purified
Innovator's Reward
Test in a species/application not listed above to receive a full credit towards a future purchase.

Applications/Dilutions

Dilutions
  • ELISA 1:37500
  • Immunohistochemistry 1:125
  • Immunohistochemistry-Paraffin 1:125
  • Western Blot 1:500
Control
Human Small Intestine Whole Tissue Lysate (Adult Whole Normal)
Human Heart Whole Tissue Lysate (Adult Whole Normal)

Packaging, Storage & Formulations

Storage
Store at -20C. Avoid freeze-thaw cycles.
Buffer
10mM KHPO4, 0.14M NaCl and 1.0 mg/ml BSA
Preservative
0.1% Sodium Azide
Concentration
1.0 mg/ml
Purity
Immunogen affinity purified

Alternate Names for CCR11 Antibody

  • ACKR4
  • CC chemokine receptor-like 1
  • C-C CKR-11
  • CCBP2CCX CKR
  • CC-CKR-11
  • CCR11
  • CCR11CCR10
  • CCRL1
  • CCX-CKR
  • chemokine (C-C motif) receptor-like 1
  • orphan seven-transmembrane receptor, chemokine related
  • PPR1
  • PPR1cc motif, receptor-like protein 1
  • VSHK1
  • VSHK1CKR-11

Background

Receptors for the C-C chemokine family include CCR-1, CCR-2A, CCR-3, CCR-4, CCR-5 and the Duffy blood group antigen. The C-C receptors are important in the function of T cell chemotaxis and migration of phagocytic cells to sites of inflammation. CCR11 in particular is expressed in the heart, lung, and small intestine. It binds members of the monocyte chemoattractant family including MCP-1, MCP-2, and MCP-4.

Limitations

This product is for research use only and is not approved for use in humans or in clinical diagnosis. Primary Antibodies are guaranteed for 1 year from date of receipt.

Customers Who Viewed This Item Also Viewed...

DCC270
Species: Hu
Applications: ELISA
MAB533
Species: Mu
Applications: Neut, WB
MAB197
Species: Hu
Applications: CyTOF-reported, Dual ISH-IHC, Flow, ICC, IHC, Neut
MAB1567
Species: Hu
Applications: CyTOF-reported, Flow
NBP1-86564
Species: Hu
Applications: ICC/IF, IHC,  IHC-P
MAB179
Species: Hu
Applications: CyTOF-ready, Flow, ICC, IHC
481-TK
Species: Mu
Applications: BA
MAB5519
Species: Mu
Applications: CyTOF-ready, Flow, ICC
MAB172
Species: Hu
Applications: CyTOF-ready, Flow, IHC, Neut
NBP1-77146
Species: Hu, Mu, Rt
Applications: ELISA, ICC/IF, IHC,  IHC-P, WB
MAB155
Species: Hu
Applications: CyTOF-ready, Flow, IHC, Neut
MAB195
Species: Hu
Applications: CyTOF-ready, Flow, IHC
361-MI
Species: Hu
Applications: BA
MAB160
Species: Hu
Applications: CyTOF-ready, Flow, IHC, Neut
MAB145
Species: Hu
Applications: CyTOF-ready, Flow
MAB150
Species: Hu
Applications: CyTOF-ready, Flow, IHC
AF457
Species: Mu
Applications: CyTOF-ready, IHC, ICFlow, Neut, WB
MAB182
Species: Hu
Applications: CyTOF-ready, Flow, ICC, Neut
NB100-705
Species: Hu, Mu
Applications: WB, ELISA, IHC

Publications for CCR11 Antibody (NB100-705) (0)

There are no publications for CCR11 Antibody (NB100-705).
By submitting your publication information earn gift cards and discounts for future purchases.

Reviews for CCR11 Antibody (NB100-705) (0)

There are no reviews for CCR11 Antibody (NB100-705). By submitting a review you will receive an Amazon e-Gift Card or Novus Product Discount.
  • Review with no image -- $10/€7/£6/$10 CAD/¥70 Yuan/¥1110 Yen
  • Review with an image -- $25/€18/£15/$25 CAD/¥150 Yuan/¥2500 Yen

Product General Protocols

Find general support by application which include: protocols, troubleshooting, illustrated assays, videos and webinars.

Video Protocols

WB Video Protocol

FAQs for CCR11 Antibody (NB100-705) (0)

There are no specific FAQs related to this product. Read our general customer & technical service FAQs.

Contact Information

Product PDFs

Calculators

Concentration Calculator

The concentration calculator allows you to quickly calculate the volume, mass or concentration of your vial. Simply enter your mass, volume, or concentration values for your reagent and the calculator will determine the rest.

=
÷

Review this Product

Be the first to review our CCR11 Antibody and receive a gift card or discount.

Bioinformatics

Gene Symbol ACKR4
Entrez