Carbonic Anhydrase XII/CA12 Antibody (CL0280) - Azide and BSA Free

Images

 
Lane 1: Marker [kDa]Lane 2: Human RT-4 cell line
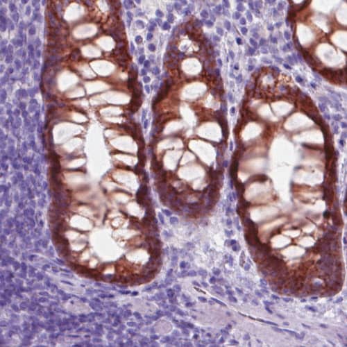
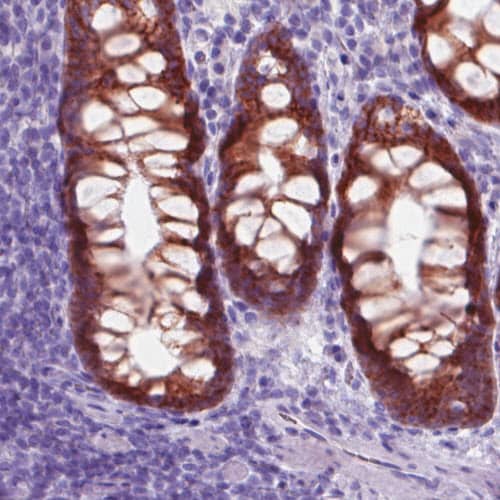
Staining of human colon shows strong cytoplasmic and membrane positivity in glandular cells.
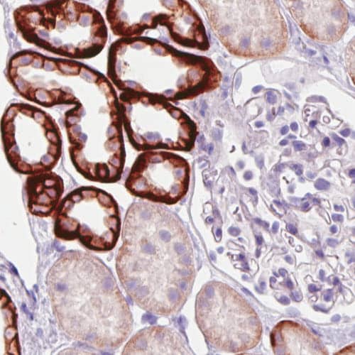
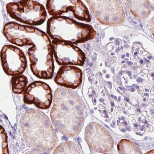
Staining of human kidney shows strong membranous and/or moderate cytoplasmic immunoreactivity in subsets of renal tubules, while glomeruli are negative.
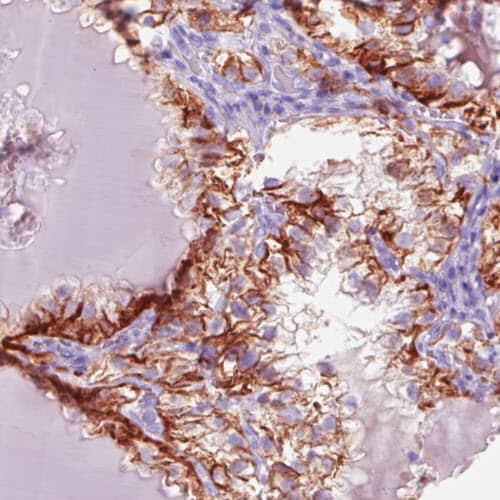
Staining of human kidney (renal cancer) shows moderate immunoreactivity in cancer cells.
Staining of human pancreas shows strong membranous and moderate cytoplasmic positivity in the exocrine cells.

Product Details

Summary
Reactivity HuSpecies Glossary
Applications WB, IHC
Clone
CL0280
Clonality
Monoclonal
Host
Mouse
Conjugate
Unconjugated
Format
Azide and BSA Free
Concentration
LYOPH

Order Details

Carbonic Anhydrase XII/CA12 Antibody (CL0280) - Azide and BSA Free Summary

Description
Novus Biologicals Mouse Carbonic Anhydrase XII/CA12 Antibody (CL0280) - Azide and BSA Free (NBP2-52902) is a monoclonal antibody validated for use in IHC and WB. All Novus Biologicals antibodies are covered by our 100% guarantee.
Immunogen
This antibody was generated using a recombinant protein sequence of O43570, with the exact immunogen sequence remaining proprietary.
Isotype
IgG1
Clonality
Monoclonal
Host
Mouse
Gene
CA12
Purity
Protein A purified
Innovator's Reward
Test in a species/application not listed above to receive a full credit towards a future purchase.

Applications/Dilutions

Dilutions
  • Immunohistochemistry-Paraffin 1:200 - 1:500
  • Western Blot 1 ug/ml
Application Notes
For IHC-Paraffin, HIER pH 6 retrieval is recommended.

Packaging, Storage & Formulations

Storage
Store at 4C short term. Aliquot and store at -20C long term. Avoid freeze-thaw cycles.
Buffer
Lyophilized from a 0.2 um filtered solution in PBS with Trehalose
Preservative
No Preservative
Concentration
LYOPH
Purity
Protein A purified
Reconstitution Instructions
Centrifuge the vial of lyophilized antibody at 12,000 x g for 20 seconds. Reconstitute by adding sterile, distilled water to achieve a final antibody concentration of 1mg/ml.

Alternate Names for Carbonic Anhydrase XII/CA12 Antibody (CL0280) - Azide and BSA Free

  • CA12
  • Carbonate dehydratase XII
  • carbonic anhydrase 12
  • Carbonic Anhydrase XII
  • carbonic anhydrase XIICAXII
  • carbonic dehydratase
  • CA-XII
  • EC 4.2.1.1
  • FLJ20151
  • HsT18816
  • Tumor antigen HOM-RCC-3.1.3

Background

Carbonic anhydrases (CAs) are a large family of zinc metalloenzymes that catalyze the reversible hydration of carbon dioxide. They participate in a variety of biological processes, including respiration, calcification, acid-base balance, bone resorption, and the formation of aqueous humor, cerebrospinal fluid, saliva, and gastric acid. This gene product is a type I membrane protein that is highly expressed in normal tissues, such as kidney, colon and pancreas, and has been found to be overexpressed in 10% of clear cell renal carcinomas. Two transcript variants encoding different isoforms have been identified for this gene.

Limitations

This product is for research use only and is not approved for use in humans or in clinical diagnosis. Primary Antibodies are guaranteed for 1 year from date of receipt.

Customers Who Viewed This Item Also Viewed...

NB100-417
Species: Hu, Mu, Pl, Rt
Applications: ChIP, Dual ISH-IHC, ELISA, Flow, GS, IB, ICC/IF, IHC, IHC-Fr,  IHC-P, IP, MiAr, PLA, Simple Western, WB
NB600-919
Species: Hu, Mu
Applications: ELISA, IHC, IHC-Fr,  IHC-P, Simple Western, WB
NBP1-86606
Species: Hu
Applications: IHC,  IHC-P, WB
NB100-105
Species: Bv, Ca, Fe, Ma, Hu, Pm, Mu, Po, Pm, Rb, Rt, Sh, Xp
Applications: ChIP, ChIP, ELISA, Flow, GS, IA, IB, ICC/IF, IHC-FrFl, IHC, IHC-Fr,  IHC-P, IP, In vitro, KD, KO, LA, PLA, Simple Western, TCS, WB
MAB2186
Species: Hu
Applications: IHC, IP, WB
NBP1-90813
Species: Hu
Applications: IHC,  IHC-P, WB
NBP2-45411
Species: Hu, Mu, Rt
Applications: IHC,  IHC-P, WB
1310-SE
Species: Hu
Applications: EnzAct
NB200-103
Species: Hu, Mu, Rt, Xp(-), Ye
Applications: CyTOF-ready, ELISA, Flow-IC, Flow, ICC/IF, IHC, IHC-Fr,  IHC-P, IP, WB
NB600-507
Species: Hu, Mu, Rt
Applications: IHC,  IHC-P, KD, PEP-ELISA, WB
DVE00
Species: Hu
Applications: ELISA
AF5415
Species: Hu
Applications: ICC, IHC, Simple Western, WB
AF2345
Species: Mu
Applications: IP, WB
AF960
Species: Hu
Applications: CyTOF-ready, Flow, ICC, IHC, Simple Western, WB
NB100-524
Species: Hu, Mu
Applications: Flow-IC, Flow, ICC/IF, IHC, IHC-Fr,  IHC-P, IP, WB
NB300-560
Species: Av, Bv, Ma, Hu, Mu, Pm, Rt
Applications: IF, IHC, IHC-Fr,  IHC-P, WB
NBP2-45269
Species: Hu
Applications: Flow, ICC/IF, IHC,  IHC-P, WB
NB300-223
Species: Bv, Ca, Ch, Eq, Hu, Mu, Po, Rt
Applications: ICC/IF, IHC, IHC-Fr,  IHC-P, WB
NBP3-44059
Species: Hu
Applications: WB, IHC

Publications for Carbonic Anhydrase XII/CA12 Antibody (NBP3-44059) (0)

There are no publications for Carbonic Anhydrase XII/CA12 Antibody (NBP3-44059).
By submitting your publication information earn gift cards and discounts for future purchases.

Reviews for Carbonic Anhydrase XII/CA12 Antibody (NBP3-44059) (0)

There are no reviews for Carbonic Anhydrase XII/CA12 Antibody (NBP3-44059). By submitting a review you will receive an Amazon e-Gift Card or Novus Product Discount.
  • Review with no image -- $10/€7/£6/$10 CAD/¥70 Yuan/¥1110 Yen
  • Review with an image -- $25/€18/£15/$25 CAD/¥150 Yuan/¥2500 Yen

Product General Protocols

Find general support by application which include: protocols, troubleshooting, illustrated assays, videos and webinars.

Video Protocols

WB Video Protocol

FAQs for Carbonic Anhydrase XII/CA12 Antibody (NBP3-44059) (0)

There are no specific FAQs related to this product. Read our general customer & technical service FAQs.

Secondary Antibodies

 

Isotype Controls

Additional Carbonic Anhydrase XII/CA12 Products

Research Areas for Carbonic Anhydrase XII/CA12 Antibody (NBP3-44059)

Find related products by research area.

Blogs on Carbonic Anhydrase XII/CA12

There are no specific blogs for Carbonic Anhydrase XII/CA12, but you can read our latest blog posts.

Customers Who Bought This Also Bought

Contact Information

Product PDFs

Calculators

Concentration Calculator

The concentration calculator allows you to quickly calculate the volume, mass or concentration of your vial. Simply enter your mass, volume, or concentration values for your reagent and the calculator will determine the rest.

=
÷

Review this Product

Be the first to review our Carbonic Anhydrase XII/CA12 Antibody (CL0280) - Azide and BSA Free and receive a gift card or discount.

Bioinformatics

Gene Symbol CA12