BRIP1/FANCJ Antibody (GO11-3E6)

Images

 
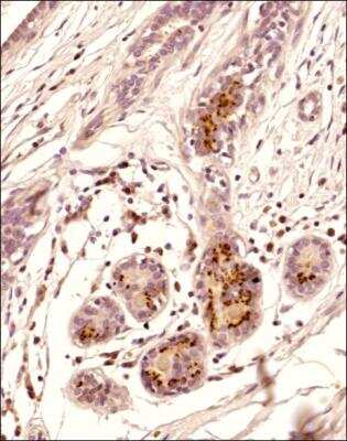
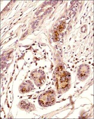
Immunohistochemistry-Paraffin: BRIP1/FANCJ Antibody (GO11-3E6) [NB100-350] - Analysis of a FFPE tissue section of the human breast cancer using 1:200 dilution of BRIP1/FANCJ antibody (NB100-350). The signal was ...read more

Product Details

Summary
Product Discontinued
View other related BRIP1/FANCJ Primary Antibodies

Order Details


    • Catalog Number
      NB100-350
    • Availability
      Product Discontinued

    Can't find what you are looking for? Use our Antibody Concierge Service & we will help you locate your antibody!

    Or feel free to contact us for alternative products.

BRIP1/FANCJ Antibody (GO11-3E6) Summary

Immunogen
Fusion protein corresponding to amino acids 647-1043 of human FANCJ. [Swiss-Prot# Q9BX63]
Localization
Nuclear
Isotype
IgG1 Kappa
Clonality
Monoclonal
Host
Mouse
Gene
BRIP1
Purity
Unpurified
Innovator's Reward
Test in a species/application not listed above to receive a full credit towards a future purchase.

Applications/Dilutions

Dilutions
  • Immunohistochemistry-Paraffin
  • Immunoprecipitation
  • Western Blot 1:500
Application Notes
The observed molecular weight of the protein may vary from the listed predicted molecular weight due to post translational modifications, post translation cleavages, relative charges, and other experimental factors.
Theoretical MW
130 kDa.
Disclaimer note: The observed molecular weight of the protein may vary from the listed predicted molecular weight due to post translational modifications, post translation cleavages, relative charges, and other experimental factors.
Control
HeLa Nuclear Cell Lysate
HeLa Whole Cell Lysate
Publications
Read Publication using
NB100-350 in the following applications:

  • IP
    1 publication
  • WB
    1 publication

Packaging, Storage & Formulations

Storage
Store at 4C short term. Aliquot and store at -20C long term. Avoid freeze-thaw cycles.
Buffer
Ascites
Preservative
0.1% Sodium Azide
Purity
Unpurified

Alternate Names for BRIP1/FANCJ Antibody (GO11-3E6)

  • ATP-dependent RNA helicase BRIP1
  • BACH1
  • BACH1BRCA1/BRCA2-associated helicase 1
  • BRCA1 interacting protein C-terminal helicase 1
  • BRCA1-associated C-terminal helicase 1
  • BRCA1-binding helicase-like protein BACH1
  • BRCA1-interacting protein 1
  • BRCA1-interacting protein C-terminal helicase 1
  • BRIP1
  • EC 3.6.1
  • EC 3.6.4.13
  • FACJ
  • FANCJ
  • FANCJFanconi anemia group J protein
  • FLJ90232
  • MGC126521
  • MGC126523
  • OF
  • Protein FACJ

Background

FANCJ (Fanconi anemia group J protein) was originally identified as a protein which binds BRCT domains of BRCA1 and was named BACH1 (BRCA1-Associated C-terminal Helicase1) or BRIP1 (BRCA1 Interacting Protein C-terminal Helicase1), and after its identification as a component of Fanconi anemia pathway, it was renamed as FANCJ. It is expressed ubiquitously with highest levels in testes and sub-cellularly, it localizes to the nucleus. FANCJ is a DNA-dependent ATPase with 5' to 3' DNA helicase activity which is essential for genetic and structural integrity of genome. FANCJ acts late in the Fanconi anemia pathway, after FANCD2 ubiquitination, and is implicated in repairing DNA double-strand breaks through homologous recombination in FANCJ-BRCA1 interactions dependent manner. Cell-cycle regulated phosphorylation of FANCJ is essential for BRCA1 interaction and 4Fe-4S iron-sulfur-binding is required for its helicase activity. The interaction of FANCJ with proteins including MutLalpha complex and BRCA1, suggests its importance in other pathways of DNA repair and in diseases such as colon and breast cancer. Defective FANCJ causes chromosome instability disorder Fanconi anemia complementation group J.

Limitations

This product is for research use only and is not approved for use in humans or in clinical diagnosis. Primary Antibodies are guaranteed for 1 year from date of receipt.

Customers Who Viewed This Item Also Viewed...

NB100-404
Species: Hu
Applications: ChIP, ICC/IF, IHC,  IHC-P, IP, KD, KO, WB
MAB2476
Species: Hu
Applications: IHC, WB
NBP1-97507
Species: Bv, Ca, Hu, Mu, Rt
Applications: Flow, ICC/IF, IHC,  IHC-P, Simple Western, WB
NB100-60439
Species: Hu, Mu
Applications: IP, WB
NBP1-32822
Species: Al, Av, Hu, Mu, Pl, Rt, Ze
Applications: ChIP, Flow, ICC/IF, IHC,  IHC-P, IP, KD, Simple Western, WB
NB100-182
Species: Av, Ca, Hu, Ma, Mu, Pm, Rt, Ze
Applications: ChIP, ChIP, Flow, IB, ICC/IF, IHC,  IHC-P, IP, KD, KO, RNAi, Simple Western, WB
NB100-2564
Species: Hu
Applications: WB
NBP2-71688
Species: Ca, Hu, Mu, Rt
Applications: CyTOF-ready, Flow, ICC/IF, IHC,  IHC-P, IP, WB
NBP1-32105
Species: Hu, Mu, Rt
Applications: ICC/IF, IHC,  IHC-P, IP, KD, WB
NB100-309
Species: Hu, Pm, Mu, Rt
Applications: ChIP, ELISA, Flow, ICC/IF, IHC,  IHC-P, IP, KD, PAGE, Single-Cell Western, WB
NB100-214
Species: Hu, Mu
Applications: IP, WB
NBP2-24551
Species: Bv, Hu, Mu, Rt
Applications: IHC,  IHC-P, WB
NB100-79810
Species: Hu, Mu
Applications: ICC/IF, IP, WB
NBP2-01743
Species: Hu
Applications: Flow, ICC/IF, IHC,  IHC-P, WB
NBP1-82580
Species: Hu
Applications: IHC,  IHC-P, Simple Western, WB
NB100-148
Species: Ch, Hu, Mu, Rt
Applications: ChIP, ICC/IF, IHC, IHC-Fr,  IHC-P, IP, In vitro, KD, PLA, WB
NB200-103
Species: Hu, Mu, Rt, Xp(-), Ye
Applications: CyTOF-ready, ELISA, Flow-IC, Flow, ICC/IF, IHC, IHC-Fr,  IHC-P, IP, WB
NBP2-67381
Species: Hu, Mu, Rt
Applications: Flow, ICC/IF, IHC,  IHC-P, IP, KO, WB
NBP1-84758
Species: Hu
Applications: ICC/IF, IHC,  IHC-P, WB
NBP2-50418
Species: Hu
Applications: ICC/IF, IHC,  IHC-P, IP, KD, WB

Publications for BRIP1/FANCJ Antibody (NB100-350)(1)

We have publications tested in 1 confirmed species: Human.

We have publications tested in 2 applications: IP, WB.


Filter By Application
IP
(1)
WB
(1)
All Applications
Filter By Species
Human
(1)
All Species

Reviews for BRIP1/FANCJ Antibody (NB100-350) (0)

There are no reviews for BRIP1/FANCJ Antibody (NB100-350). By submitting a review you will receive an Amazon e-Gift Card or Novus Product Discount.
  • Review with no image -- $10/€7/£6/$10 CAD/¥70 Yuan/¥1110 Yen
  • Review with an image -- $25/€18/£15/$25 CAD/¥150 Yuan/¥2500 Yen

Product General Protocols

Find general support by application which include: protocols, troubleshooting, illustrated assays, videos and webinars.

Video Protocols

WB Video Protocol

FAQs for BRIP1/FANCJ Antibody (NB100-350). (Showing 1 - 1 of 1 FAQ).

  1. What is the sodium azide percentage for this product?
    • 0.1% sodium azide 

Contact Information

Product PDFs

Calculators

Concentration Calculator

The concentration calculator allows you to quickly calculate the volume, mass or concentration of your vial. Simply enter your mass, volume, or concentration values for your reagent and the calculator will determine the rest.

=
÷

Review this Product

Be the first to review our BRIP1/FANCJ Antibody (GO11-3E6) and receive a gift card or discount.

Bioinformatics

Gene Symbol BRIP1
Entrez
Uniprot