BCMA/TNFRSF17 Antibody (CD269/8125R) - Azide and BSA Free

Images

 
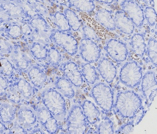
Formalin-fixed, paraffin-embedded human stomach, corpus stained with BCMA/TNFRSF17 antibody (CD269/8125R). HIER: Tris/EDTA, pH9.0, 45min. Secondary: HRP-polymer, 30min. DAB, 5min.
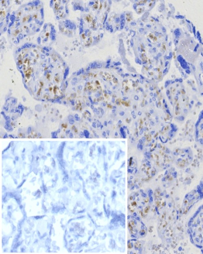
Formalin-fixed, paraffin-embedded human placenta stained with BCMA/TNFRSF17 antibody (CD269/8125R). Inset: PBS instead of primary antibody; secondary only negative control.

Product Details

Summary
Reactivity HuSpecies Glossary
Applications ELISA, IHC
Clone
CD269/8125R
Clonality
Monoclonal
Host
Rabbit
Conjugate
Unconjugated
Format
Azide and BSA Free
Concentration
1 mg/ml

Order Details

BCMA/TNFRSF17 Antibody (CD269/8125R) - Azide and BSA Free Summary

Description
Positive Controls: NAMALWA cells. Tonsil or gastric carcinoma (IHC).

Antibody with azide - store at 2 to 8C. Antibody without azide - store at -20 to -80C. Non-hazardous. No MSDS required.
Additional Information
Recombinant Monoclonal Antibody
Immunogen
Recombinant human BCMA/TNFRSF17 protein fragment (around aa 1-184) (exact sequence is proprietary)
Localization
Cell surface.
Isotype
IgG Kappa
Clonality
Monoclonal
Host
Rabbit
Gene
TNFRSF17
Purity
Protein A or G purified
Innovator's Reward
Test in a species/application not listed above to receive a full credit towards a future purchase.

Applications/Dilutions

Dilutions
  • ELISA
  • Immunohistochemistry-Paraffin 1-2 ug/ml
Application Notes
ELISA: For coating, order antibody without BSA

Immunohistochemistry (Formalin-fixed): 1-2ug/ml for 30 minutes. at RT. Staining of formalin-fixed tissues requires heating tissue sections in 10mM Tris with 1mM EDTA, pH 9.0, for 45 min at 95C followed by cooling at RT for 20 minutes.

Optimal dilution for a specific application should be determined.

Packaging, Storage & Formulations

Storage
Store at -20 to -70C. Avoid freeze-thaw cycles.
Buffer
10mM PBS
Preservative
No Preservative
Concentration
1 mg/ml
Purity
Protein A or G purified

Alternate Names for BCMA/TNFRSF17 Antibody (CD269/8125R) - Azide and BSA Free

  • B cell maturation antigen
  • B-cell maturation protein
  • BCMA
  • BCMAtumor necrosis factor receptor superfamily member 17
  • BCMB-cell maturation factor
  • CD269 antigen
  • CD269
  • TNFRSF13A
  • TNFRSF17
  • tumor necrosis factor receptor superfamily, member 17

Background

B cell maturation antigen (BCMA), also known as tumor necrosis factor receptor superfamily member 17 (TNFRSF17), is a type III transmembrane glycoprotein that plays a role in B cell maturation and differentiation into plasma cells and is a therapeutic target for treatment of multiple myeloma (MM) (1,2). BMCA is synthesized as a protein of 184 amino acids (aa) in length with a theoretical molecular weight of 20.2 kDa consisting of an extracellular N-terminus containing 6 cysteine residues, a transmembrane domain, and an intracellular tumor necrosis factor (TRAF) binding domain (1). BCMA is functionally similar to two other TNFR superfamily members, B cell activation factor receptor (BAFF-R) and transmembrane activator and calcium modulator and cyclophilin ligand interactor (TACI) (1,2). BCMA is primarily expressed on plasmablasts, plasma cells, and late-stage B cells (1,2).

BCMA has two agonistic ligands: BAFF and a proliferation-inducing ligand (APRIL) (1,2). APRIL has higher affinity for BCMA than BAFF and the binding is mediated by CD138/syndeclin-1 (2,3). Activation of BCMA promotes the growth and survival of plasma cells, or MM cells in disease, through several signaling pathways such as NFkappaB, MEK/ERK, AKT, JNK, and p38 (1,2). In MM cells the BCMA activation and downstream signaling cascade functions to upregulate antiapoptotic proteins including Bcl-2, Bcl-xL, and Mcl-1 and protect the cells against therapeutic agents like dexamethasone (2,3).

Given its specific expression on plasma cells but not memory B cells, naive B cells, or hematopoietic stem cells, BCMA has garnered much interest as a therapeutic target for the treatment of MM (1-4). Current BCMA-targeted immunotherapy strategies include antibody-drug conjugates (ADC), chimeric antigen receptor (CAR) T cells, bispecific T cell engager (BiTE), and bispecific/trispecific antibodies (1-4). CAR T cell therapy in particular has demonstrated promising clinical results (2,4). Still, more research needs to be done to improve the efficacy and risk of relapse following CAR T cell therapy and may also include targeting additional antigens in combination with BCMA or utilizing pharmacological agents to increase antigen density (4).

References

1. Yu, B., Jiang, T., & Liu, D. (2020). BCMA-targeted immunotherapy for multiple myeloma. Journal of hematology & oncology, 13(1), 125. https://doi.org/10.1186/s13045-020-00962-7

2. Cho, S. F., Anderson, K. C., & Tai, Y. T. (2018). Targeting B Cell Maturation Antigen (BCMA) in Multiple Myeloma: Potential Uses of BCMA-Based Immunotherapy. Frontiers in immunology, 9, 1821. https://doi.org/10.3389/fimmu.2018.01821

3. Dalla Palma, B., Marchica, V., Catarozzo, M. T., Giuliani, N., & Accardi, F. (2020). Monoclonal and Bispecific Anti-BCMA Antibodies in Multiple Myeloma. Journal of clinical medicine, 9(9), 3022. https://doi.org/10.3390/jcm9093022

4. Mikkilineni, L., & Kochenderfer, J. N. (2021). CAR T cell therapies for patients with multiple myeloma. Nature reviews. Clinical oncology, 18(2), 71-84. https://doi.org/10.1038/s41571-020-0427-6

Limitations

This product is for research use only and is not approved for use in humans or in clinical diagnosis. Primary Antibodies are guaranteed for 1 year from date of receipt.

Customers Who Viewed This Item Also Viewed...

NB100-56516
Species: Hu, Mu
Applications: IHC,  IHC-P, WB
DBLYS0B
Species: Hu
Applications: ELISA
AF1162
Species: Hu
Applications: CyTOF-ready, Flow, IHC, Neut, WB
DY884B
Species: Hu
Applications: ELISA
NBP1-30993
Species: Ha, Hu, Mu, Rt
Applications: ICC/IF, IHC,  IHC-P, KD, WB
NBP1-30032
Species: Bv, Ca, Fe, Hu, Mu, Xp
Applications: ICC/IF, IHC, IHC-Fr, KO, WB
M6000B
Species: Mu
Applications: ELISA
MAB1455
Species: Hu
Applications: CyTOF-ready, Dual ISH-IHC, ICC, IHC, ICFlow, Simple Western, WB
MAB1417
Species: Bv, Hu, Mu
Applications: ICC, IHC
NB100-56583
Species: Hu, Rb, Rt
Applications: Flow, IHC,  IHC-P, KO, Simple Western, WB
AF632
Species: Hu
Applications: AgAct, Simple Western, WB
DCDL40
Species: Hu
Applications: ELISA
7268-CT
Species: Hu
Applications: BA
DY417
Species: Mu
Applications: ELISA
AF887
Species: Hu, Mu, Rt
Applications: CyTOF-ready, IHC, ICFlow, Simple Western, WB
NB100-1199
Species: Hu, Mu, Po, Rt
Applications: ICC/IF, IHC,  IHC-P, KD, PEP-ELISA, WB
NBP2-01801
Species: Hu, Mu, Rt
Applications: Flow, ICC/IF, IHC,  IHC-P, WB
NBP1-47977
Species: Hu, Mu, Rt
Applications: Flow, ICC/IF, IHC,  IHC-P, WB
NBP3-20823
Species: Hu
Applications: ELISA, IHC

Publications for BCMA/TNFRSF17 Antibody (NBP3-20823) (0)

There are no publications for BCMA/TNFRSF17 Antibody (NBP3-20823).
By submitting your publication information earn gift cards and discounts for future purchases.

Reviews for BCMA/TNFRSF17 Antibody (NBP3-20823) (0)

There are no reviews for BCMA/TNFRSF17 Antibody (NBP3-20823). By submitting a review you will receive an Amazon e-Gift Card or Novus Product Discount.
  • Review with no image -- $10/€7/£6/$10 CAD/¥70 Yuan/¥1110 Yen
  • Review with an image -- $25/€18/£15/$25 CAD/¥150 Yuan/¥2500 Yen

Product General Protocols

Find general support by application which include: protocols, troubleshooting, illustrated assays, videos and webinars.

FAQs for BCMA/TNFRSF17 Antibody (NBP3-20823) (0)

There are no specific FAQs related to this product. Read our general customer & technical service FAQs.

Customers Who Bought This Also Bought

Contact Information

Product PDFs

Calculators

Concentration Calculator

The concentration calculator allows you to quickly calculate the volume, mass or concentration of your vial. Simply enter your mass, volume, or concentration values for your reagent and the calculator will determine the rest.

=
÷

Review this Product

Be the first to review our BCMA/TNFRSF17 Antibody (CD269/8125R) - Azide and BSA Free and receive a gift card or discount.

Bioinformatics

Gene Symbol TNFRSF17