Bcl-2 Antibody (CL7935) - Azide and BSA Free

Images

 
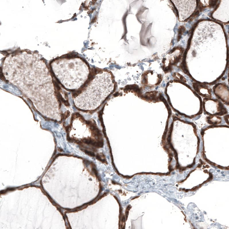
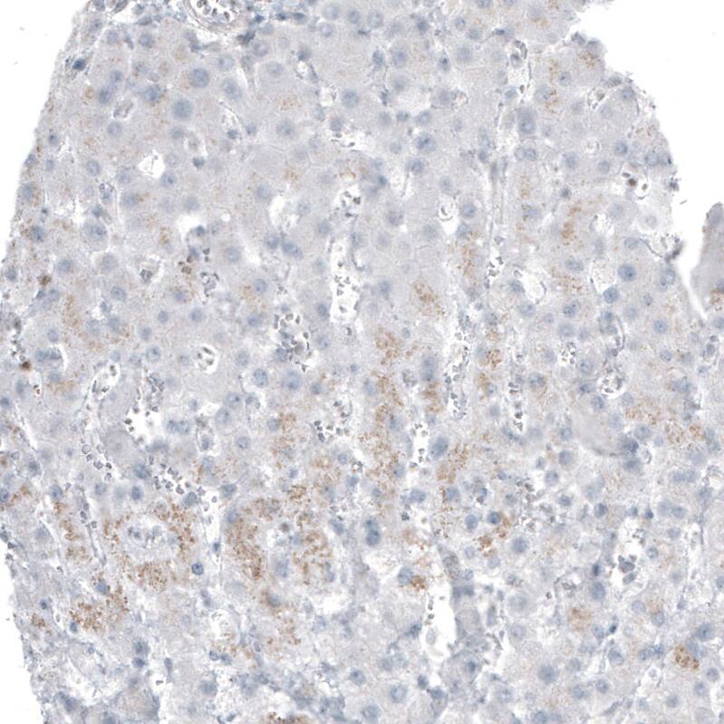
Orthogonal Strategies: Analysis in human thyroid gland and liver tissues using NBP3-44218 antibody. Corresponding Bcl-2 RNA-seq data are presented for the same tissues.
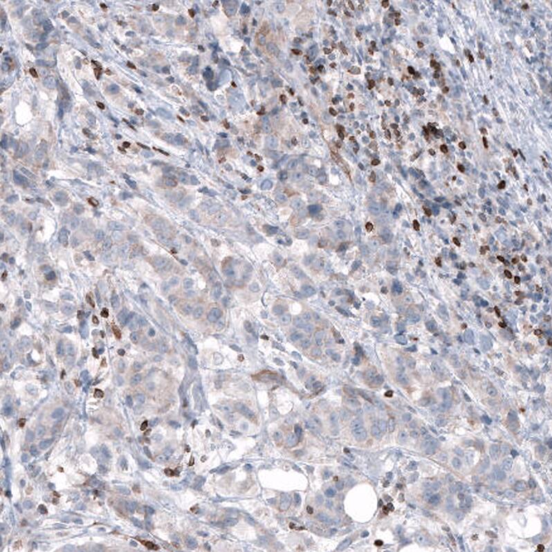
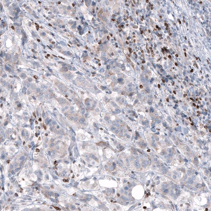
Staining of human breast cancer shows moderate positivity.
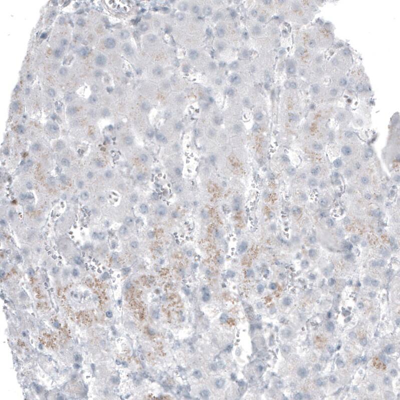
Staining of human liver shows negative to no positivity in hepatocytes as expected.
Staining of human rectum shows strong cytoplasmic positivity in lymphoid cells.
Staining of human lymph node shows strong cytoplasmic positivity in non-germinal center cells.
Staining of human placenta shows strong cytoplasmic positivity in trophoblastic cells.
Analysis in human cell line HDLM-2.
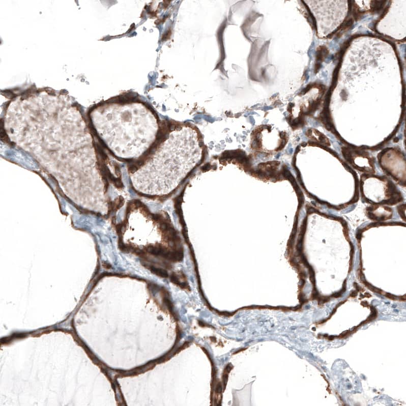
Staining of human thyroid gland shows strong positivity in cytoplasm granular in glandular cells.

Product Details

Summary
Reactivity HuSpecies Glossary
Applications WB, IHC
Clone
CL7935
Clonality
Monoclonal
Host
Mouse
Conjugate
Unconjugated
Format
Azide and BSA Free
Concentration
LYOPH
Validated by:
       

Orthogonal Strategies

 

Order Details

Bcl-2 Antibody (CL7935) - Azide and BSA Free Summary

Description
Novus Biologicals Mouse Bcl-2 Antibody (CL7935) - Azide and BSA Free (NBP2-88910) is a monoclonal antibody validated for use in IHC and WB. All Novus Biologicals antibodies are covered by our 100% guarantee.
Immunogen
This antibody was generated using a synthetic peptide of P10415, with the exact immunogen sequence remaining proprietary.
Isotype
IgG2a
Clonality
Monoclonal
Host
Mouse
Gene
BCL2
Purity
Protein A purified
Innovator's Reward
Test in a species/application not listed above to receive a full credit towards a future purchase.

Applications/Dilutions

Dilutions
  • Immunohistochemistry-Paraffin 1:500 - 1:1000
  • Western Blot 1 ug/ml
Application Notes
For IHC-Paraffin, HIER pH 6 retrieval is recommended.

Packaging, Storage & Formulations

Storage
Store at 4C short term. Aliquot and store at -20C long term. Avoid freeze-thaw cycles.
Buffer
Lyophilized from a 0.2 um filtered solution in PBS with Trehalose
Preservative
No Preservative
Concentration
LYOPH
Purity
Protein A purified
Reconstitution Instructions
Centrifuge the vial of lyophilized antibody at 12,000 x g for 20 seconds. Reconstitute by adding sterile, distilled water to achieve a final antibody concentration of 1mg/ml.

Alternate Names for Bcl-2 Antibody (CL7935) - Azide and BSA Free

  • apoptosis regulator Bcl-2
  • B-cell CLL/lymphoma 2
  • Bcl2
  • Bcl-2

Background

The Bcl-2 family of proteins regulate apoptosis by controlling mitochondrial permeability and release of cytochrome c. Bcl-2 is an anti-apoptotic protein that resides in the outer mitochondrial wall and inhibits release of cytochrome c (1). Over-expression of Bcl-2 has been shown to promote cell survival by suppressing apoptosis. It has been documented that bcl-2 becomes deregulated in tumor cells as a result of translocation into the immunoglobulin heavy-chain locus and is therefore activated in B cell malignancies (2). It has also been shown that post-translational modification of Bcl-2, phosphorylation at serine 70, may be required to render its full and/or enhanced anti-apoptotic effect (3, 4).

Limitations

This product is for research use only and is not approved for use in humans or in clinical diagnosis. Primary Antibodies are guaranteed for 1 year from date of receipt.

Customers Who Viewed This Item Also Viewed...

AF820
Species: Hu, Mu
Applications: ICC, IHC, KO, Simple Western, WB
NB100-56104
Species: Ca, Hu, Mu, Rt
Applications: IHC, IHC-Fr,  IHC-P, IP, WB
NB200-103
Species: Hu, Mu, Rt, Xp(-), Ye
Applications: CyTOF-ready, ELISA, Flow-IC, Flow, ICC/IF, IHC, IHC-Fr,  IHC-P, IP, WB
NBP2-29463
Species: Pm, Hu, Pm, Mu
Applications: Flow, ICC/IF, IHC,  IHC-P, WB
NB100-56503
Species: Dr, Hu, Mu, Rb, Rt
Applications: Flow-CS, Flow-IC, Flow, IB, ICC/IF, IHC,  IHC-P, Simple Western, WB
NB120-13550
Species: Hu, Mu, Rt
Applications: ICC/IF, IHC,  IHC-P, WB
NB100-56118
Species: Ca, Ma, Hu, Mu, Rt
Applications: Flow-IC, ICC/IF, IHC, IHC-Fr,  IHC-P, IP, WB
NBP2-27335
Species: Hu, Mu, Rt(-)
Applications: CyTOF-ready, Flow, ICC/IF, WB
AF887
Species: Hu, Mu, Rt
Applications: CyTOF-ready, IHC, ICFlow, Simple Western, WB
NB600-302
Species: Bv, Dr, Hu, Mu
Applications: ChIP, ELISA, Flow-IC, Flow, IB, ICC/IF, IHC, IHC-Fr,  IHC-P, IP, PLA, S-ELISA, Simple Western, WB
NB100-56116
Species: Ma, Hu, Mu, Rt
Applications: Flow, ICC/IF, IHC, IHC-Fr,  IHC-P, IP, Simple Western, WB
H00027065-M01
Species: Hu, Rt
Applications: ELISA, ICC/IF, S-ELISA, WB
NBP2-46085
Species: Hu
Applications: IHC,  IHC-P, WB
AF1230
Species: Hu, Mu, Rt
Applications: IHC, KO, WB
AF816
Species: Hu
Applications: ICC, IHC, WB
NB500-106
Species: Ch, Dr, Fi, Hu, Mar, Mu, Po, Pm, Rb, Rt, Ye, Ze
Applications: ChIP, ChIP, ELISA, Flow, ICC/IF, IHC-FrFl, IHC, IHC-Fr,  IHC-P, IP, Simple Western, WB
NBP2-32840
Species: Hu, Pm, Mu, Rt
Applications: Flow, ICC/IF, IHC,  IHC-P, WB
NBP3-44218
Species: Hu
Applications: WB, IHC

Publications for Bcl-2 Antibody (NBP3-44218) (0)

There are no publications for Bcl-2 Antibody (NBP3-44218).
By submitting your publication information earn gift cards and discounts for future purchases.

Reviews for Bcl-2 Antibody (NBP3-44218) (0)

There are no reviews for Bcl-2 Antibody (NBP3-44218). By submitting a review you will receive an Amazon e-Gift Card or Novus Product Discount.
  • Review with no image -- $10/€7/£6/$10 CAD/¥70 Yuan/¥1110 Yen
  • Review with an image -- $25/€18/£15/$25 CAD/¥150 Yuan/¥2500 Yen

Product General Protocols

Find general support by application which include: protocols, troubleshooting, illustrated assays, videos and webinars.

Video Protocols

WB Video Protocol

FAQs for Bcl-2 Antibody (NBP3-44218) (0)

There are no specific FAQs related to this product. Read our general customer & technical service FAQs.

Secondary Antibodies

 

Isotype Controls

Additional Bcl-2 Products

Research Areas for Bcl-2 Antibody (NBP3-44218)

Find related products by research area.

Blogs on Bcl-2. Showing 1-10 of 11 blog posts - Show all blog posts.


  Read full blog post.

Losing memory: Toxicity from mutant APP and amyloid beta explain the hippocampal neuronal damage in Alzheimer's disease
 By Jamshed Arslan Pharm.D.  Alzheimer's disease (AD) is an irreversible brain disorder that destroys memory and thinking skills. The telltale signs of AD brains are extracellular deposits of amy...  Read full blog post.

Autophagy independent roles of the core ATG proteins
By Christina Towers, PhD. Autophagy and ATG ProteinsAutophagy is a nutrient recycling process that cells use to fuel metabolism, particularly in response to nutrient deprivation.  It is critical for removal of dam...  Read full blog post.

Key Targets in Apoptosis, Necroptosis, and Autophagy
Cell death/recycling pathways such as apoptosis, necroptosis, and autophagy are an integral part of the growth, development, homeostasis as well as the pathophysiology in the life of living organisms. These signaling pathways are highly regulated and ...  Read full blog post.

Altered expression of BCL2 in cancer
Similar to other cell processes, the balance between cell survival and cell death is an important equilibrium that when altered expression of genes can lead to a variety of disease.  For example, too little cell death can promote cell overgrowth a...  Read full blog post.

MAPK8/JNK1 - A multifunctional kinase and drug target for cancer therapeutics
The c-Jun N-terminal kinase (JNK) family is a group of regulatory kinases with important functions in cell morphogenesis, inflammation, differentiation, and cell death (1). Aberrant activation of JNK family proteins in cancers has led to interest i...  Read full blog post.

p53 - Investigating an important tumor suppressor
p53 is a tumor suppressor that has a central role in regulating cell cycle arrest, DNA repair, and apoptosis. p53 is widely studied for its role in cancer and is mutated or altered in more than half of all cancers (1). This widespread role in tumor...  Read full blog post.

Bcl-2 - an antiapoptotic protein with an important role in cancer cell survival
B-cell lymphoma 2 (Bcl-2) protein is an oncogene that normally acts as an apoptotic inhibitor and localizes to the mitochondrial membrane where it prevents the release of cytochrome c. The Bcl-2 protein family consists of over 20 proteins each co...  Read full blog post.

Beclin 1 - A Key Regulator of Autophagosome Formation
The Beclin 1 protein is a central regulator of autophagy in mammalian cells. Autophagy is an essential process used to maintain cellular homeostasis by degrading and recycling cellular components such as damaged or worn out organelles and macromole...  Read full blog post.

BNIP3 - a regulator of mitochondrial autophagy and cell death
Bcl-2 nineteen-kilodalton interacting protein 3 (BNIP3) is a pro-apoptotic BH3-only protein. BNIP3 localizes to the mitochondrial membrane where it plays a key role in mitochondrial autophagy and cell death pathways. Similar to other Bcl-2 family m...  Read full blog post.

Showing 1-10 of 11 blog posts - Show all blog posts.

Customers Who Bought This Also Bought

Contact Information

Product PDFs

Calculators

Concentration Calculator

The concentration calculator allows you to quickly calculate the volume, mass or concentration of your vial. Simply enter your mass, volume, or concentration values for your reagent and the calculator will determine the rest.

=
÷

Review this Product

Be the first to review our Bcl-2 Antibody (CL7935) - Azide and BSA Free and receive a gift card or discount.

Bioinformatics

Gene Symbol BCL2