Androgen R/NR3C4 Antibody (CL9255) - Azide and BSA Free

Images

 
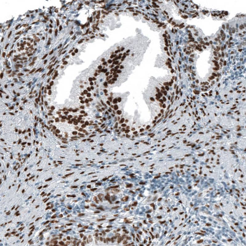
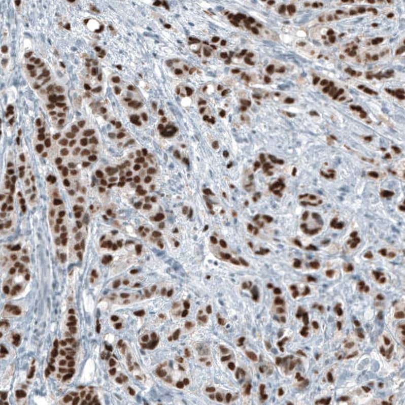
Staining of human breast cancer shows strong nuclear positivity in tumor cells.
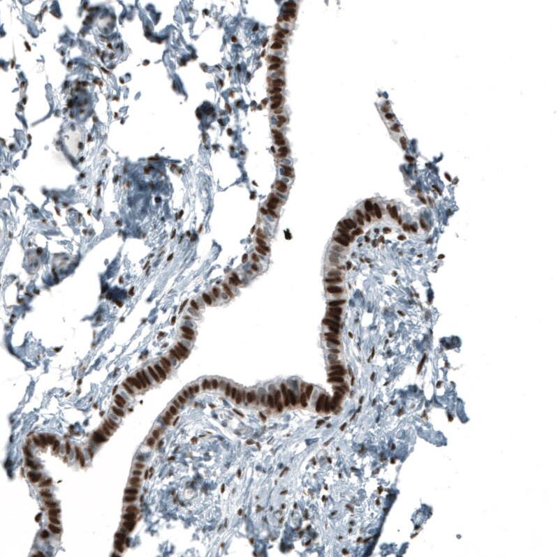
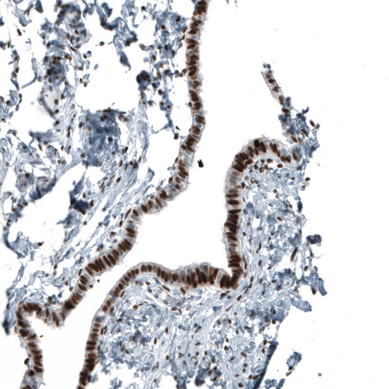
Orthogonal Strategies: Analysis in human fallopian tube and cerebral cortex tissues using NBP3-44204 antibody. Corresponding Androgen R/NR3C4 RNA-seq data are presented for the same tissues.
Staining of human Fallopian tube shows strong nuclear positivity in glandular cells.
Staining of human cerebral cortex shows no positivity in neurons as expected.
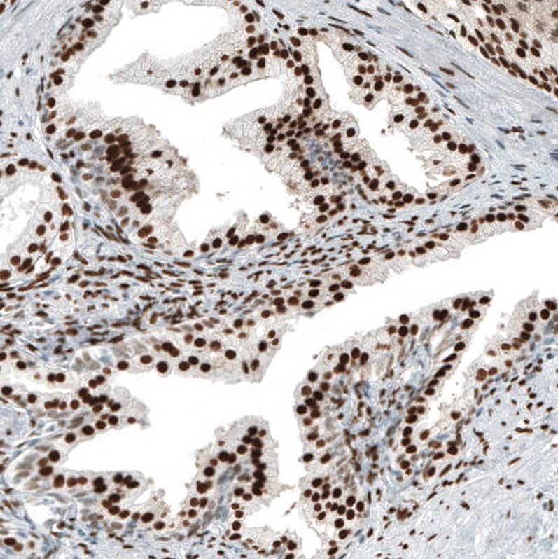
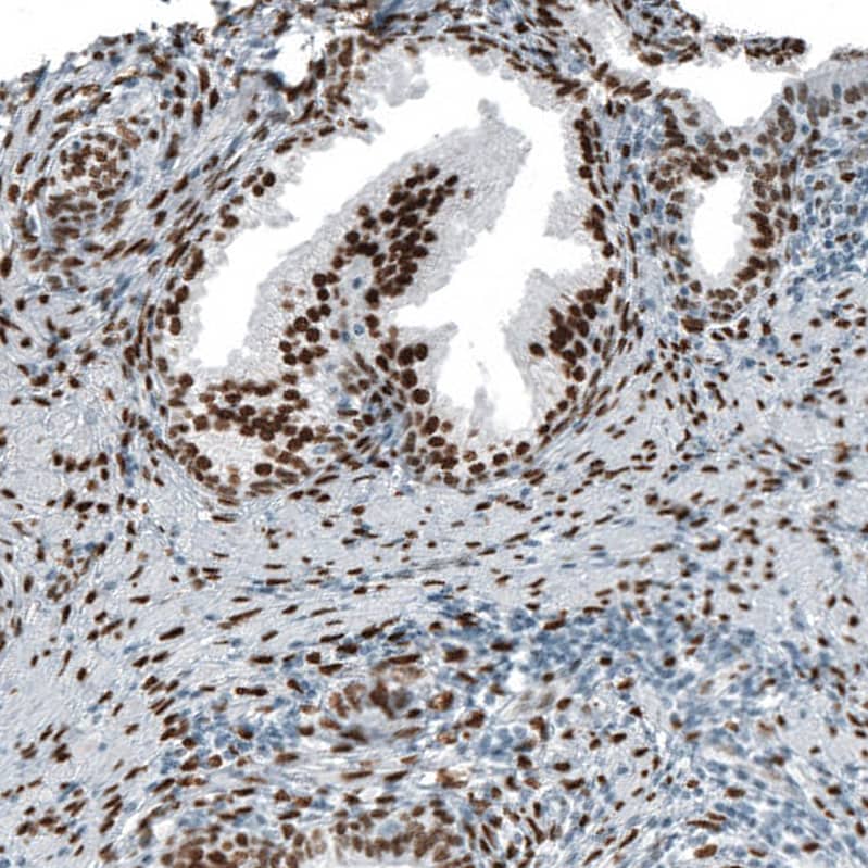
Staining of human prostate shows strong nuclear positivity in glandular cells.
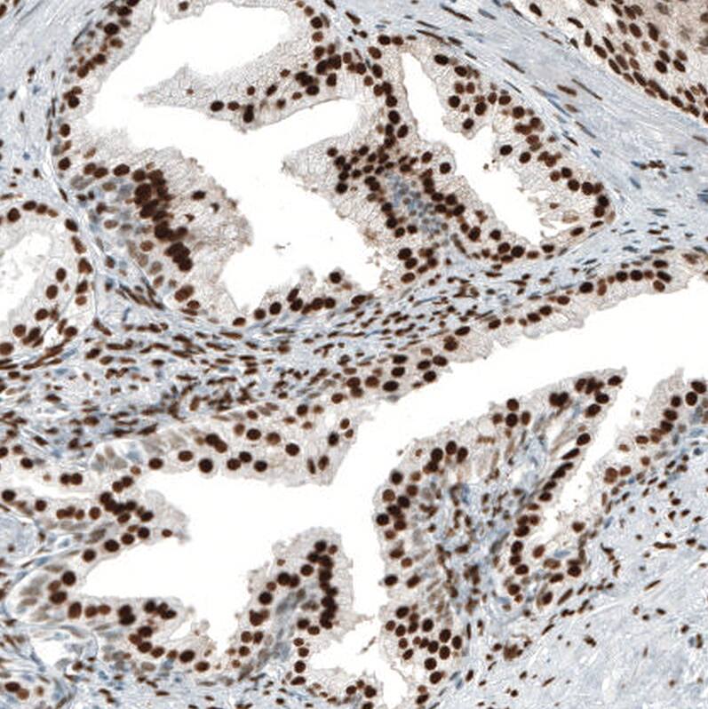
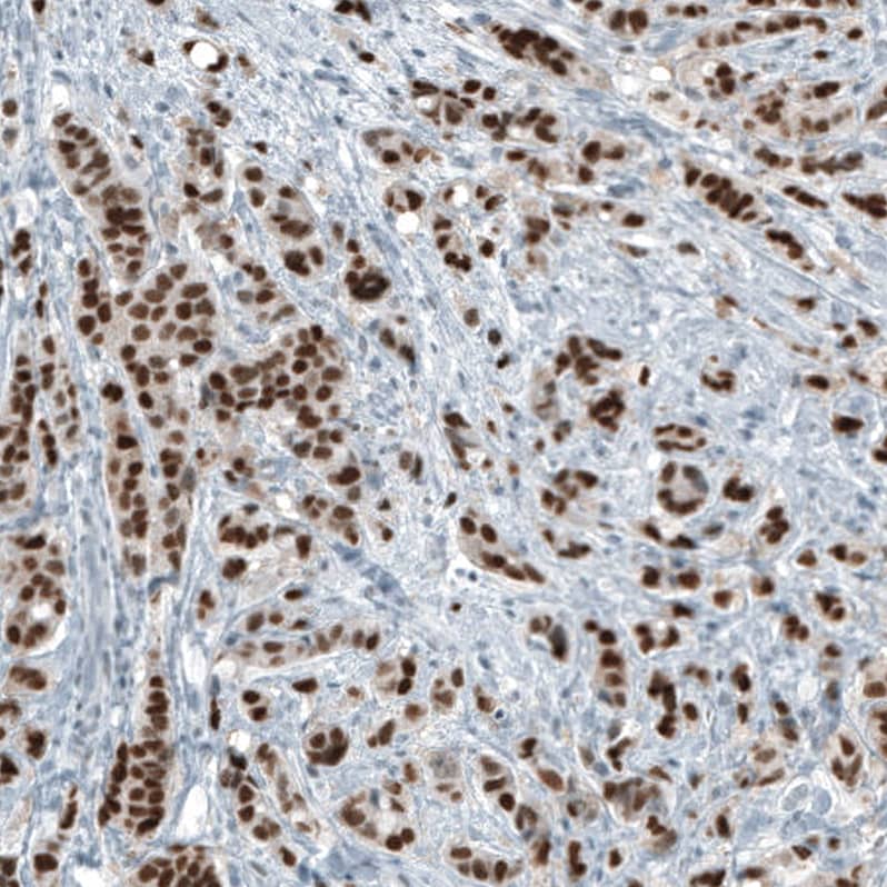
Staining of human prostate cancer shows strong nuclear positivity in tumor cells.
Analysis in human cell line RH-30.

Product Details

Summary
Reactivity HuSpecies Glossary
Applications WB, IHC
Clone
CL9255
Clonality
Monoclonal
Host
Mouse
Conjugate
Unconjugated
Format
Azide and BSA Free
Concentration
LYOPH
Validated by:
       

Orthogonal Strategies

 

Order Details

Androgen R/NR3C4 Antibody (CL9255) - Azide and BSA Free Summary

Description
Novus Biologicals Mouse Androgen R/NR3C4 Antibody (CL9255) - Azide and BSA Free (NBP2-88922) is a monoclonal antibody validated for use in IHC and WB. All Novus Biologicals antibodies are covered by our 100% guarantee.
Immunogen
This antibody was generated using a synthetic peptide of P10275, with the exact immunogen sequence remaining proprietary.
Isotype
IgG1
Clonality
Monoclonal
Host
Mouse
Gene
AR
Purity
Protein A purified
Innovator's Reward
Test in a species/application not listed above to receive a full credit towards a future purchase.

Applications/Dilutions

Dilutions
  • Immunohistochemistry-Paraffin 1:1000 - 1:2500
  • Western Blot 1 ug/ml
Application Notes
For IHC-Paraffin, HIER pH 6 retrieval is recommended.

Packaging, Storage & Formulations

Storage
Store at 4C short term. Aliquot and store at -20C long term. Avoid freeze-thaw cycles.
Buffer
Lyophilized from a 0.2 um filtered solution in PBS with Trehalose
Preservative
No Preservative
Concentration
LYOPH
Purity
Protein A purified
Reconstitution Instructions
Centrifuge the vial of lyophilized antibody at 12,000 x g for 20 seconds. Reconstitute by adding sterile, distilled water to achieve a final antibody concentration of 1mg/ml.

Alternate Names for Androgen R/NR3C4 Antibody (CL9255) - Azide and BSA Free

  • AIS
  • Androgen R
  • androgen receptor
  • AndrogenR
  • AR
  • DHTR
  • DHTRTFM
  • Dihydrotestosterone receptorHYSP1
  • HUMARA
  • NR3C4
  • NR3C4KD
  • Nuclear receptor subfamily 3 group C member 4
  • SBMA
  • SMAX1
  • SMAX1SBMA
  • spinal and bulbar muscular atrophy

Background

Androgens have a broad range of effects on the appearance and maintenance of male secondary sexual characteristics. Like other members of the steroid superfamily, the androgen receptor (AR) consists of an amino terminal modulating domain, a central DNA binding domain, a hinge region and a carboxy terminal ligand binding domain. The androgen receptor (AR) is a 110 kDa androgen-dependent transcription factor that is a member of the steroid/nuclear receptor gene superfamily. The AR signaling pathway plays a key role in development and function of male reproductive organs, including the prostate and epididymis. AR also plays a role in nonreproductive organs, such as muscle, hair follicles, and brain. Abnormalities in the AR signaling pathway have been linked to a number of diseases, including prostate cancer, Kennedy's disease and male infertility. The PI3K/Akt signaling pathway plays an important role in regulating AR activity through phosphorylation of AR at Ser213/210 and Ser791/790. Growth factors or cytokines may induce phosphorylation of AR through the PI3K/Akt pathway. Activation of the PI3K/AKt pathway is thought to have a survival role in prostate cancer by protecting cells from apoptosis.

Limitations

This product is for research use only and is not approved for use in humans or in clinical diagnosis. Primary Antibodies are guaranteed for 1 year from date of receipt.

Customers Who Viewed This Item Also Viewed...

DKK300
Species: Hu
Applications: ELISA
AF5415
Species: Hu
Applications: ICC, IHC, Simple Western, WB
NB300-560
Species: Av, Bv, Ma, Hu, Mu, Pm, Rt
Applications: IF, IHC, IHC-Fr,  IHC-P, WB
AF4036
Species: Hu
Applications: Simple Western, WB
H00005324-M02
Species: Hu, Mu
Applications: ELISA, IHC,  IHC-P, WB
NBP3-48658
Species: Ca, Fe, Hu, Mu, Rt, Ze
Applications: ICC/IF, IHC,  IHC-P, WB
NBP1-32920
Species: Hu, Mu
Applications: ICC/IF, IHC,  IHC-P, KD, WB
H00005555-P01
Species: Hu
Applications: ELISA, AP, PA, PAGE, WB
NBP2-47602
Species: Hu
Applications: ICC/IF, IHC,  IHC-P
NB300-731
Species: Gp, Hu, Mu, Rb, Rt, Sh, Ye
Applications: B/N, ChIP, Flow, GS, ICC/IF, IHC,  IHC-P, IP, WB
AF231
Species: Hu
Applications: CyTOF-ready, Dual ISH-IHC, ELISA(Cap), ELISA(Det), ELISA(Sta), Flow, ICC, IHC, IP, Simple Western, WB
NB100-1596
Species: Hu, Mu, Pm, Rb, Rt
Applications: ICC/IF, IHC,  IHC-P, Simple Western, WB
NB200-305
Species: Hu, Pm, Mu
Applications: ChIP, DB, Flow, ICC/IF, IHC, IHC-Fr,  IHC-P, IP, Simple Western, WB
236-EG
Species: Hu
Applications: BA
AF887
Species: Hu, Mu, Rt
Applications: CyTOF-ready, IHC, ICFlow, Simple Western, WB
NBP1-89146
Species: Hu
Applications: ICC/IF, IHC,  IHC-P
NBP2-02164
Species: Hu, Mu, Rt
Applications: Flow, ICC/IF, IHC,  IHC-P, WB
H00000126-D01P
Species: Hu, Mu
Applications: WB
NBP3-35880
Species: Hu, Mu, Rt
Applications: ELISA, ICC/IF, WB
NBP1-90233
Species: Hu
Applications: IHC,  IHC-P, WB

Publications for Androgen R/NR3C4 Antibody (NBP3-44204) (0)

There are no publications for Androgen R/NR3C4 Antibody (NBP3-44204).
By submitting your publication information earn gift cards and discounts for future purchases.

Reviews for Androgen R/NR3C4 Antibody (NBP3-44204) (0)

There are no reviews for Androgen R/NR3C4 Antibody (NBP3-44204). By submitting a review you will receive an Amazon e-Gift Card or Novus Product Discount.
  • Review with no image -- $10/€7/£6/$10 CAD/¥70 Yuan/¥1110 Yen
  • Review with an image -- $25/€18/£15/$25 CAD/¥150 Yuan/¥2500 Yen

Product General Protocols

Find general support by application which include: protocols, troubleshooting, illustrated assays, videos and webinars.

Video Protocols

WB Video Protocol

FAQs for Androgen R/NR3C4 Antibody (NBP3-44204) (0)

There are no specific FAQs related to this product. Read our general customer & technical service FAQs.

Secondary Antibodies

 

Isotype Controls

Additional Androgen R/NR3C4 Products

Research Areas for Androgen R/NR3C4 Antibody (NBP3-44204)

Find related products by research area.

Blogs on Androgen R/NR3C4

There are no specific blogs for Androgen R/NR3C4, but you can read our latest blog posts.

Customers Who Bought This Also Bought

Contact Information

Product PDFs

Calculators

Concentration Calculator

The concentration calculator allows you to quickly calculate the volume, mass or concentration of your vial. Simply enter your mass, volume, or concentration values for your reagent and the calculator will determine the rest.

=
÷

Review this Product

Be the first to review our Androgen R/NR3C4 Antibody (CL9255) - Azide and BSA Free and receive a gift card or discount.

Bioinformatics

Gene Symbol AR