alpha 2u-Globulin Antibody (129736) [Biotin]

Images

 
a2u-Globulin was detected in perfusion fixed frozen sections of rat liver using Mouse Anti-Rat a2u-Globulin Biotinylated Monoclonal Antibody (Catalog # BAM586) at 25 µg/mL overnight at 4 °C. Tissue was stained using ...read more
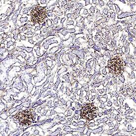
alpha 2u‑Globulin was detected in immersion fixed paraffin-embedded sections of rat kidney using Mouse Anti-Rat alpha 2u‑Globulin Biotinylated Monoclonal Antibody (Catalog # BAM586) at ...read more

Product Details

Summary
Reactivity RtSpecies Glossary
Applications WB, IHC
Clone
129736
Clonality
Monoclonal
Host
Mouse
Conjugate
Biotin
Concentration
LYOPH

Order Details

alpha 2u-Globulin Antibody (129736) [Biotin] Summary

Immunogen
Rat urine-derived alpha 2u-Globulin
Specificity
Detects rat alpha 2u-Globulin in direct ELISAs and Western blots.
Source
N/A
Isotype
IgG1
Clonality
Monoclonal
Host
Mouse
Purity Statement
Protein A or G purified from hybridoma culture supernatant
Innovator's Reward
Test in a species/application not listed above to receive a full credit towards a future purchase.

Applications/Dilutions

Dilutions
  • Immunohistochemistry 8-25 ug/mL
  • Western Blot 1 ug/mL
Readout System
Publications
Read Publication using BAM586.

Packaging, Storage & Formulations

Storage
Use a manual defrost freezer and avoid repeated freeze-thaw cycles.
  • 12 months from date of receipt, -20 to -70 °C as supplied.
  • 1 month, 2 to 8 °C under sterile conditions after reconstitution.
  • 6 months, -20 to -70 °C under sterile conditions after reconstitution.
Buffer
Lyophilized from a 0.2 μm filtered solution in PBS with BSA as a carrier protein.
Preservative
No Preservative
Concentration
LYOPH
Reconstitution Instructions
Reconstitute at 0.5 mg/mL in sterile PBS.

Notes

This product is produced by and ships from R&D Systems, Inc., a Bio-Techne brand.

Alternate Names for alpha 2u-Globulin Antibody (129736) [Biotin]

  • alpha 2u-Globulin
  • AUG
  • Mup
  • PGCL1

Background

alpha 2u-Globulin, also known as PGCL1, is a member of the Lipocalin family that show 87-98% amino acid sequence identity. alpha 2u-Globulin is the major urinary protein excreted by adult male rat. It is expressed at highest levels in male liver and coagulate glands.

Limitations

This product is for research use only and is not approved for use in humans or in clinical diagnosis. Primary Antibodies are guaranteed for 1 year from date of receipt.

Customers Who Viewed This Item Also Viewed...

MAB1455
Species: Hu
Applications: CyTOF-ready, Dual ISH-IHC, ICC, IHC, ICFlow, Simple Western, WB
AF1067
Species: Hu, Mu, Rt
Applications: ELISA, IHC, Neut, WB
MAB6560
Species: Mu
Applications: ICC
NBP1-90927
Species: Hu
Applications: IHC,  IHC-P, WB
NBP1-86616
Species: Hu
Applications: IHC,  IHC-P, WB
291-G1
Species: Hu
Applications: BA
AF1067
Species: Hu, Mu, Rt
Applications: ELISA, IHC, Neut, WB
NBP2-58917
Species: Hu
Applications: IHC,  IHC-P, WB
AF3398
Species: Hu, Mu, Rt
Applications: ICC, KO, Simple Western, WB
NBP2-50037
Species: Hu, Mu, Rt
Applications: ICC/IF, IHC, KO, WB
NB200-540
Species: Ec, Mu
Applications: CyTOF-ready, Flow-IC, Flow, IA, ICC/IF, IHC, IHC-Fr,  IHC-P, IP
NBP1-32870
Species: Ch, Hu
Applications: IHC,  IHC-P, IP, KD, WB
MAB1368
Species: Hu, Mu
Applications: CyTOF-ready, ICC, ICFlow, KO, Simple Western, WB
NBP2-67471
Species: Hu, Mu, Rt
Applications: ICC/IF, IHC,  IHC-P, WB
MAB1417
Species: Bv, Hu, Mu
Applications: ICC, IHC
NBP2-94007
Species: Hu, Mu
Applications: ICC/IF, WB
292-G2
Species: Hu
Applications: BA
BAM586
Species: Rt
Applications: WB, IHC

Publications for alpha 2u-Globulin Antibody (BAM586)(1)

Reviews for alpha 2u-Globulin Antibody (BAM586) (0)

There are no reviews for alpha 2u-Globulin Antibody (BAM586). By submitting a review you will receive an Amazon e-Gift Card or Novus Product Discount.
  • Review with no image -- $10/€7/£6/$10 CAD/¥70 Yuan/¥1110 Yen
  • Review with an image -- $25/€18/£15/$25 CAD/¥150 Yuan/¥2500 Yen

Product General Protocols

Find general support by application which include: protocols, troubleshooting, illustrated assays, videos and webinars.

Video Protocols

WB Video Protocol

FAQs for alpha 2u-Globulin Antibody (BAM586) (0)

There are no specific FAQs related to this product. Read our general customer & technical service FAQs.

Secondary Antibodies

 

Isotype Controls

Additional alpha 2u-Globulin Products

Blogs on alpha 2u-Globulin

There are no specific blogs for alpha 2u-Globulin, but you can read our latest blog posts.

Customers Who Bought This Also Bought

Contact Information

Product PDFs

Calculators

Concentration Calculator

The concentration calculator allows you to quickly calculate the volume, mass or concentration of your vial. Simply enter your mass, volume, or concentration values for your reagent and the calculator will determine the rest.

=
÷

Review this Product

Be the first to review our alpha 2u-Globulin Antibody (129736) [Biotin] and receive a gift card or discount.