Adiponectin/Acrp30 Antibody

Images

 
Western Blot: Adiponectin/Acrp30 Antibody [NB100-65810] - Western blot analysis of Adoponectin in 1. human liver 2. rat liver 3. HL60
Immunocytochemistry/ Immunofluorescence: Adiponectin/Acrp30 Antibody [NB100-65810] - Adiponectin antibody was tested in HeLa cells with Dylight 488 (green). Nuclei and alpha-tubulin were counterstained with DAPI (blue) ...read more
Immunohistochemistry-Paraffin: Adiponectin/Acrp30 Antibody [NB100-65810] - Co-localization of C1q and APN deposited in adipose tissue and blood vessels (x100). Positive staining of C1q (red) and APN (green) is shown ...read more
Flow (Intracellular): Adiponectin/Acrp30 Antibody [NB100-65810] - An intracellular stain was performed on Jurkat cells with Adiponectin/Acrp30 Antibody NB100-65810AF647 (blue) and a matched isotype control (orange). ...read more
Immunocytochemistry/ Immunofluorescence: Adiponectin/Acrp30 Antibody [NB100-65810] - Immunocytochemical staining of HL60 cells with Rabbit anti Human adiponectin.
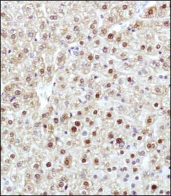
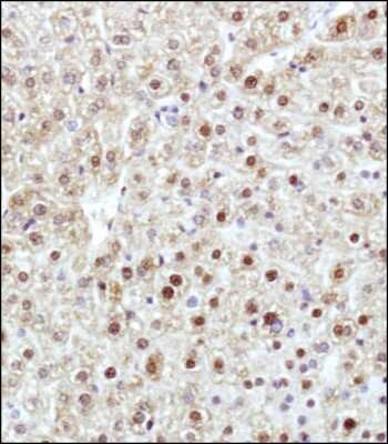
Immunohistochemistry-Paraffin: Adiponectin/Acrp30 Antibody [NB100-65810] - IHC analysis of Adiponectin in mouse liver showing nuclear and cytoplasmic staining.
Flow Cytometry: Adiponectin/Acrp30 Antibody [NB100-65810] - An intracellular stain was performed on Jurkat cells with Adiponectin antibody NB100-65810 (blue) and a matched isotype control NBP2-24893 (orange). Cells were ...read more
Flow Cytometry: Adiponectin/Acrp30 Antibody [NB100-65810] - An intracellular stain was performed on Raji cells with Adiponectin antibody NB100-65810 (blue) and a matched isotype control NBP2-24893 (orange). Cells were ...read more
Flow Cytometry: Adiponectin/Acrp30 Antibody [NB100-65810] - Analysis of Alexa Fluor 647 conjugate of NB100-65810. An intracellular stain was performed on Jurkat cells with Adiponectin antibody NB100-65810AF647 (blue) ...read more
Flow Cytometry: Adiponectin/Acrp30 Antibody [NB100-65810] - Analysis of Allophycocyanin conjugate of NB100-65810. An intracellular stain was performed on Jurkat cells with Adiponectin antibody NB100-65810APC (blue) and ...read more
Flow Cytometry: Adiponectin/Acrp30 Antibody [NB100-65810] - Analysis of Allophycocyanin conjugate of NB100-65810. An intracellular stain was performed on Raji cells with Adiponectin antibody NB100-65810APC (blue) and a ...read more

Product Details

Summary
Reactivity Hu, Mu, RtSpecies Glossary
Applications WB, Flow, Flow-IC, ICC/IF, IHC, IHC-P
Clonality
Polyclonal
Host
Rabbit
Conjugate
Unconjugated
Concentration
1.0 mg/ml

Order Details

Adiponectin/Acrp30 Antibody Summary

Immunogen
A synthetic peptide made to a C-terminal sequence of human Adiponectin (between amino acids 200-244) [UniProt Q15848]
Specificity
This recognises an epitope within the C-terminal region (CT) of the 244 amino acid protein Adiponectin.
Isotype
IgG
Clonality
Polyclonal
Host
Rabbit
Gene
ADIPOQ
Purity
Immunogen affinity purified
Innovator's Reward
Test in a species/application not listed above to receive a full credit towards a future purchase.

Applications/Dilutions

Dilutions
  • Western Blot 1-2 ug/ml
  • Flow Cytometry 1:10-1:1000
  • Immunocytochemistry/Immunofluorescence 1:10-1:500
  • Immunohistochemistry 1:10-1:500
  • Immunohistochemistry-Paraffin 10 ug/ml
  • Flow (Intracellular)
Application Notes
The theoretical molecular weight of Adiponectin is 27, however this protein is highly glycosylated.
Control
Adiponectin/Acrp30 Overexpression Lysate
Adiponectin/Acrp30 Antibody
Publications
Read Publications using
NB100-65810 in the following applications:

Packaging, Storage & Formulations

Storage
Store at 4C short term. Aliquot and store at -20C long term. Avoid freeze-thaw cycles.
Buffer
PBS
Preservative
0.02% Sodium Azide
Concentration
1.0 mg/ml
Purity
Immunogen affinity purified

Alternate Names for Adiponectin/Acrp30 Antibody

  • ACDC
  • Acrp30
  • ACRP30ADPN
  • adipocyte, C1Q and collagen domain containing
  • Adiponectin
  • adiponectin, C1Q and collagen domain containing
  • AdipoQ
  • ADIPQTL1
  • ApM1
  • apM-1
  • APM1APM-1
  • C1q and collagen domain-containing protein
  • GBP28
  • GBP28apM1
  • Gelatin-binding protein

Background

Adiponectin, also known as 30 kDa adipocyte complement-related protein, adipocyte complement-related 30 kDa protein (ACRP30), adipocyte C1q and collagen domain-containing protein, adipose most abundant gene transcript 1 protein (apM-1), gelatin-binding protein, and ADIPOQ, is an important adipokine involved in the control of fat metabolism and insulin sensitivity. Unlike most other adipokines, Adiponectin is secreted exclusively by differentiating adipocytes at reduced levels during obesity. The amount of adiponectin in serum is inversely correlated with body mass index (BMI) of the individual, and has an anti-inflammatory action, playing an important role in type II diabetes (insulin sensitivity) and atherosclerosis. Defects to the adiponectin gene have been known to cause adiponectin deficiency and non-insulin dependent diabetes mellitus (NIDDM).

Limitations

This product is for research use only and is not approved for use in humans or in clinical diagnosis. Primary Antibodies are guaranteed for 1 year from date of receipt.

Customers Who Viewed This Item Also Viewed...

NBP2-34260
Species: Hu, Mu, Po, Bv, Rb
Applications: WB, Flow, ICC/IF, IHC, IHC-Fr, IHC-P
NBP2-22106
Species: Hu, Mu, Rt
Applications: WB, IHC, IHC-P, IP
NBP2-67631
Species: Hu, Mu, Rt, Ze
Applications: WB, Flow, ICC/IF, IHC, IHC-P
AF5739
Species: Hu, Mu, Rt
Applications: WB
NBP1-28641
Species: Hu, Mu, Rt, Pm
Applications: WB, IHC, IHC-P
NBP2-23795
Species: Hu, Rt
Applications: WB
NBP1-19773
Species: Hu, Mu, Rt
Applications: WB, ELISA, ICC/IF, IHC, IHC-Fr, IHC-P
NBP2-22127
Species: Hu, Mu, Rt, Pm
Applications: WB, Simple Western, ELISA, Flow, ICC/IF, IHC, IHC-P
AF2850
Species: Hu, Mu, Rt
Applications: WB, Simple Western, IHC, ICC
H00005564-M02
Species: Hu, Mu
Applications: WB, ELISA, ICC/IF
NB300-537
Species: Hu, Mu, Rt, Bv, Rb
Applications: WB, ChIP, Flow, GS, ICC/IF, IHC, IHC-P, IP
NBP2-34294
Species: Hu, Mu, Rt
Applications: WB, Flow, IHC, IHC-P

Publications for Adiponectin/Acrp30 Antibody (NB100-65810)(7)

We have publications tested in 2 confirmed species: Human, Mouse.

We have publications tested in 2 applications: ICC/IF, IHC-P.


Filter By Application
ICC/IF
(1)
IHC-P
(4)
All Applications
Filter By Species
Human
(3)
Mouse
(1)
All Species
Showing Publications 1 - 7 of 7.
Publications using NB100-65810 Applications Species
Cho J, Teshigawara R, Kameda M et al. Nucleus-localized adiponectin is survival gate keeper through miR-214-mediated AIFM2 regulation Genes Cells Nov 25 2018 [PMID: 30474186] (ICC/IF, Mouse) ICC/IF Mouse
Waragai M, Adame A, Trinh I et al. Possible Involvement of Adiponectin, the Anti-Diabetes Molecule, in the Pathogenesis of Alzheimer's Disease. J. Alzheimers Dis. 2016 Apr 08 [PMID: 27079710] (IHC-P, Human) IHC-P Human
Hong ES, Lim C, Choi HY et al. The amount of C1q-adiponectin complex is higher in the serum and the complex localizes to perivascular areas of fat tissues and the intimal-medial layer of blood vessels of coronary artery disease patients. Cardiovasc Diabetol. 2015 May 14 [PMID: 25956582] (IHC-P, Human)

Details:
Adiponectin/Acrp30 antibody was used for IHC-P analysis of adipose/fat tissues (subcutaneous, visceral, and pericardial areas) and internal mammary artery sections from healthy controls and patients with coronary artery disease. The IHC-P assay implicated 4% paraformaldehyde fixation, ON 4C incubation of primary antibody and signal detection using Alexa Fluor 488 goat anti-rabbit IgG secondary antibody. Adiponectin/Acrp30 (APN) was found to be co-localized with complement component C1q along the perivascular areas of fat tissues and intimal–medial layer of the blood vessel (Figure 2).
IHC-P Human
Canhoroz M, Kanat O, Saraydaroglu O et al. Clinical significance of adiponectin expression in colon cancer patients. J Cancer Res Ther 2014 Jul 15 [PMID: 25022390] (IHC-P, Human)

Details:
Adiponectin antibody used for IHC-P on human colon cancer patients. Primary diluted at 1:100 and incubated for 1 hour followed by detection with biolynated link reagent-DAB detection. Staining images not shown but see the full text for detailed IHC-P protocol.
IHC-P Human
Trayhurn, P Wood, IS. Signalling role of adipose tissue: adipokines and inflammation in obesity. Biochem Soc Trans 33: 1078-1081. 2005 [PMID: 16246049]
Lihn, AS et al. Adiponectin: action, regulation and association to insulin sensitivity. Obes Rev 6: 13-21. 2005 [PMID: 15655035]
Wong, GW et al. A family of Acrp30/adiponectin structural functional paralogs. P.N.A.S. 101: 10302-10307. P.N.A.S. 101: 10302-10307. 2004 [PMID: 15231994] (IHC-P) IHC-P

Reviews for Adiponectin/Acrp30 Antibody (NB100-65810) (0)

There are no reviews for Adiponectin/Acrp30 Antibody (NB100-65810). By submitting a review you will receive an Amazon e-Gift Card or Novus Product Discount.
  • Review with no image -- $10/€7/£6/$10 CAD/Â¥70 Yuan/Â¥1110 Yen
  • Review with an image -- $25/€18/£15/$25 CAD/Â¥150 Yuan/Â¥2500 Yen

Product General Protocols

Video Protocols

WB Video Protocol
ICC/IF Video Protocol

FAQs for Adiponectin/Acrp30 Antibody (NB100-65810) (0)

There are no specific FAQs related to this product. Read our general customer & technical service FAQs.

Control Lysate(s)

Secondary Antibodies

 

Isotype Controls

Other Available Formats

Alexa Fluor 350 NB100-65810AF350
Alexa Fluor 405 NB100-65810AF405
Alexa Fluor 488 NB100-65810AF488
Alexa Fluor 532 NB100-65810AF532
Alexa Fluor 594 NB100-65810AF594
Alexa Fluor 647 NB100-65810AF647
Alexa Fluor 700 NB100-65810AF700
Alexa Fluor 750 NB100-65810AF750
Allophycocyanin NB100-65810APC
Biotin NB100-65810B
DyLight 350 NB100-65810UV
DyLight 405 NB100-65810V
DyLight 488 NB100-65810G
DyLight 550 NB100-65810R
DyLight 594 NB100-65810DL594
DyLight 650 NB100-65810C
DyLight 680 NB100-65810FR
DyLight 755 NB100-65810IR
FITC NB100-65810F
HRP NB100-65810H
Janelia Fluor 549 NB100-65810JF549
Janelia Fluor 646 NB100-65810JF646
PE NB100-65810PE
PerCP NB100-65810PCP

Additional Adiponectin/Acrp30 Products

Bioinformatics Tool for Adiponectin/Acrp30 Antibody (NB100-65810)

Discover related pathways, diseases and genes to Adiponectin/Acrp30 Antibody (NB100-65810). Need help? Read the Bioinformatics Tool Guide for instructions on using this tool.
Visit Tool

Diseases for Adiponectin/Acrp30 Antibody (NB100-65810)

Discover more about diseases related to Adiponectin/Acrp30 Antibody (NB100-65810).
 

Pathways for Adiponectin/Acrp30 Antibody (NB100-65810)

View related products by pathway.

PTMs for Adiponectin/Acrp30 Antibody (NB100-65810)

Learn more about PTMs related to Adiponectin/Acrp30 Antibody (NB100-65810).
 

Research Areas for Adiponectin/Acrp30 Antibody (NB100-65810)

Find related products by research area.

Blogs on Adiponectin/Acrp30

There are no specific blogs for Adiponectin/Acrp30, but you can read our latest blog posts.
Coronavirus Brochure

Customers Who Bought This Also Bought

Contact Information

Learn the difference between western blot and simple western

Product PDFs

Calculators

Concentration Calculator

The concentration calculator allows you to quickly calculate the volume, mass or concentration of your vial. Simply enter your mass, volume, or concentration values for your reagent and the calculator will determine the rest.

=
÷

Review this Product

Be the first to review our Adiponectin/Acrp30 Antibody and receive a gift card or discount.

Bioinformatics

Gene Symbol ADIPOQ
Entrez
Uniprot
COVID-19 update