Acyloxyacyl Hydrolase Antibody - BSA Free

Images

 
Western Blot: Acyloxyacyl Hydrolase Antibody [NBP2-33892] - Lane 1: Marker [kDa] 230, 130, 95, 72, 56, 36, 28, 17, 11. Lane 2: Human cell line RT-4. Lane 3: Human cell line U-251MG sp. Lane 4: Human plasma (IgG/HSA ...read more
Immunohistochemistry-Paraffin: Acyloxyacyl Hydrolase Antibody [NBP2-33892] - Staining of human duodenum shows strong cytoplasmic positivity in goblet cells.
Immunohistochemistry: Acyloxyacyl Hydrolase Antibody [NBP2-33892] - Staining of human duodenum shows strong positivity in Goblet cells.
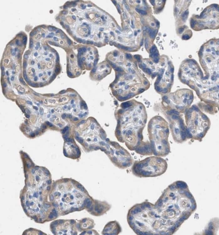
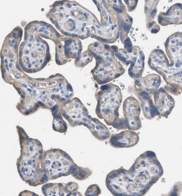
Staining of human placenta shows weak cytoplasmic positivity in trophoblastic cells.
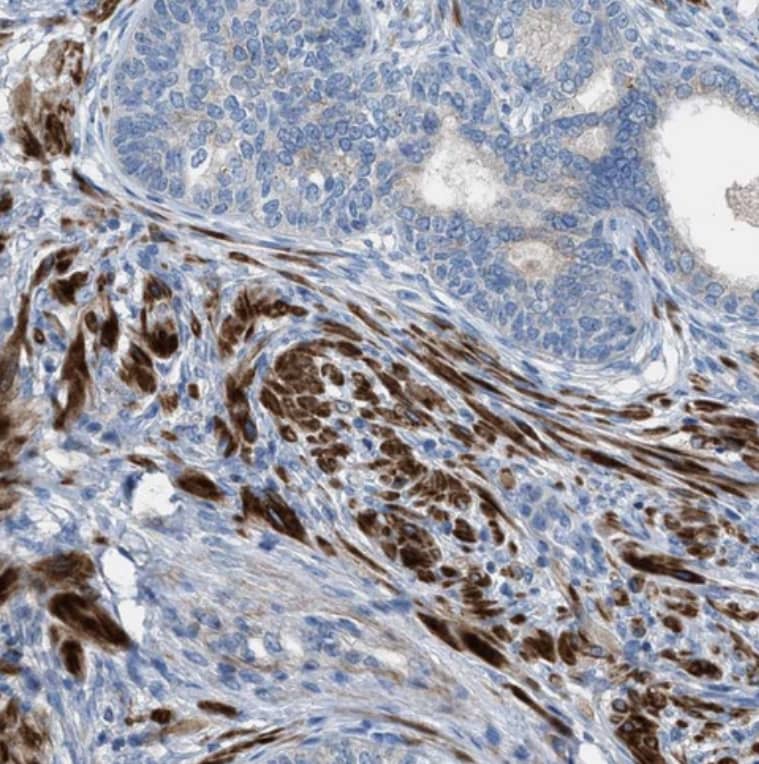
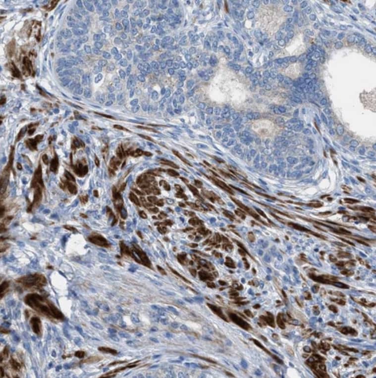
Staining of human prostate shows strong cytoplasmic positivity in smooth muscle cells.

Product Details

Summary
Reactivity HuSpecies Glossary
Applications WB, IHC
Clonality
Polyclonal
Host
Rabbit
Conjugate
Unconjugated
Format
BSA Free

Order Details

View Available Formulations
Catalog# & Formulation Size Price

Acyloxyacyl Hydrolase Antibody - BSA Free Summary

Description
Novus Biologicals Rabbit Acyloxyacyl Hydrolase Antibody - BSA Free (NBP2-33892) is a polyclonal antibody validated for use in IHC and WB. All Novus Biologicals antibodies are covered by our 100% guarantee.
Immunogen
This antibody was developed against a recombinant protein corresponding to amino acids: QLYSFLNCLQVSPCHGWMSSNKTLRTLTSERAEQLSNTLKKIAASEKFTNFNLFYMDFAFHEIIQEWQKRGGQPWQLIEPVDGFHPNEVALLLLADHFWKKVQLQWPQILGKENPFNP
Isotype
IgG
Clonality
Polyclonal
Host
Rabbit
Gene
AOAH
Purity
Immunogen affinity purified
Innovator's Reward
Test in a species/application not listed above to receive a full credit towards a future purchase.

Applications/Dilutions

Dilutions
  • Immunohistochemistry 1:50 - 1:200
  • Immunohistochemistry-Paraffin 1:50 - 1:200
  • Western Blot 0.04-0.4 ug/ml
Application Notes
For IHC-Paraffin, HIER pH 6 retrieval is recommended.
Control Peptide
Acyloxyacyl Hydrolase Protein (NBP2-33892PEP)

Reactivity Notes

Immunogen displays the following percentage of sequence identity for non-tested species: Mouse (80%)

Packaging, Storage & Formulations

Storage
Store at 4C short term. Aliquot and store at -20C long term. Avoid freeze-thaw cycles.
Buffer
PBS (pH 7.2) and 40% Glycerol
Preservative
0.02% Sodium Azide
Purity
Immunogen affinity purified

Alternate Names for Acyloxyacyl Hydrolase Antibody - BSA Free

  • acyloxyacyl hydrolase (neutrophil)
  • acyloxyacyl hydrolase
  • EC 3.1.1.77

Background

Acyloxyacyl Hydrolase, also known as AOAH, contains a 65 kDa and a 62 kDa isoform, and is involved in the detoxification of bacterial lipopolysaccharides by eliminating fatty acyl chains from the molecule. Current research is being conducted on Acyloxyacl Hydrolase and its relation to the common cold, hepatitis, gastric cancer, osteochondrosis, asthma, and mastitis. The protein is linked to inflammatory responses and lipid metabolic process where it interacts with IGHG1.

Limitations

This product is for research use only and is not approved for use in humans or in clinical diagnosis. Primary Antibodies are guaranteed for 1 year from date of receipt.

Customers Who Viewed This Item Also Viewed...

NB100-56566
Species: Bv, Hu, Ma, Mu, Po, Rt
Applications: B/N, ChIP, CyTOF-ready, DB, Dual ISH-IHC, ELISA(Cap), ELISA, Flow-CS, Flow-IC, Flow, ICC/IF, IHC, IHC-Fr,  IHC-P, In vitro, KD, KO, PAGE, Simple Western, WB
1787-MD
Species: Hu
Applications: Bind
NBP2-93743
Species: Hu, Mu, Rt
Applications: ICC/IF, WB
DC140
Species: Hu
Applications: ELISA
DY870-05
Species: Hu
Applications: ELISA
DY417
Species: Mu
Applications: ELISA
NB100-524
Species: Hu, Mu
Applications: Flow-IC, Flow, ICC/IF, IHC, IHC-Fr,  IHC-P, IP, WB
7268-CT
Species: Hu
Applications: BA
7468-BP
Species: Hu
Applications: BA
NBP2-15843
Species: Hu, Mu, Rt
Applications: ICC/IF, IHC,  IHC-P, KO, WB
AF3464
Species: Hu
Applications: IHC, WB
NBP2-79843
Species: Hu
Applications: CyTOF-ready, ELISA, Flow, ICC/IF, IHC,  IHC-P, PA, WB
NBP1-46535
Species: Hu, Mu, Rb, Rt, Xp
Applications: ICC/IF, IHC-FrFl, IHC, IHC-Fr,  IHC-P, WB
NBP2-79854
Species: Hu
Applications: CyTOF-ready, Flow, ICC/IF, IHC,  IHC-P, PA, WB
NBP1-84915
Species: Hu
Applications: IHC,  IHC-P, WB
NBP1-76864
Species: Hu
Applications: ELISA, ICC/IF, IHC,  IHC-P, WB
AF3564
Species: Hu, Mu, Rt
Applications: ICC, IHC, IP, WB
NBP1-52105
Species: Hu, Rt
Applications: Flow, IHC,  IHC-P, PEP-ELISA, WB
DPI00
Species: Hu
Applications: ELISA

Publications for Acyloxyacyl Hydrolase Antibody (NBP2-33892) (0)

There are no publications for Acyloxyacyl Hydrolase Antibody (NBP2-33892).
By submitting your publication information earn gift cards and discounts for future purchases.

Reviews for Acyloxyacyl Hydrolase Antibody (NBP2-33892) (0)

There are no reviews for Acyloxyacyl Hydrolase Antibody (NBP2-33892). By submitting a review you will receive an Amazon e-Gift Card or Novus Product Discount.
  • Review with no image -- $10/€7/£6/$10 CAD/¥70 Yuan/¥1110 Yen
  • Review with an image -- $25/€18/£15/$25 CAD/¥150 Yuan/¥2500 Yen

Product General Protocols

Find general support by application which include: protocols, troubleshooting, illustrated assays, videos and webinars.

Video Protocols

WB Video Protocol

FAQs for Acyloxyacyl Hydrolase Antibody (NBP2-33892) (0)

There are no specific FAQs related to this product. Read our general customer & technical service FAQs.

Secondary Antibodies

 

Isotype Controls

Additional Acyloxyacyl Hydrolase Products

Research Areas for Acyloxyacyl Hydrolase Antibody (NBP2-33892)

Find related products by research area.

Blogs on Acyloxyacyl Hydrolase

There are no specific blogs for Acyloxyacyl Hydrolase, but you can read our latest blog posts.

Customers Who Bought This Also Bought

Contact Information

Product PDFs

Calculators

Concentration Calculator

The concentration calculator allows you to quickly calculate the volume, mass or concentration of your vial. Simply enter your mass, volume, or concentration values for your reagent and the calculator will determine the rest.

=
÷

Review this Product

Be the first to review our Acyloxyacyl Hydrolase Antibody - BSA Free and receive a gift card or discount.

Bioinformatics

Gene Symbol AOAH
Uniprot