ACSL5 Antibody (CL0275) - Azide and BSA Free

Images

 
Orthogonal Strategies: Analysis in human duodenum and tonsil tissues using NBP3-44076 antibody. Corresponding ACSL5 RNA-seq data are presented for the same tissues.
Lane 1: Marker [kDa]Lane 2: Negative control (vector only transfected HEK293T lysate) Lane 3: ACSL5 Over-expression Lysate (Co-expressed with a C-terminal myc-DDK tag (~3.1 kDa) in mammalian HEK293T cells)
Staining of human endometrium shows strong membranous and cytoplasmic positivity in glandular cells.
Staining of human colon shows strong membranous positivity in glandular cells.
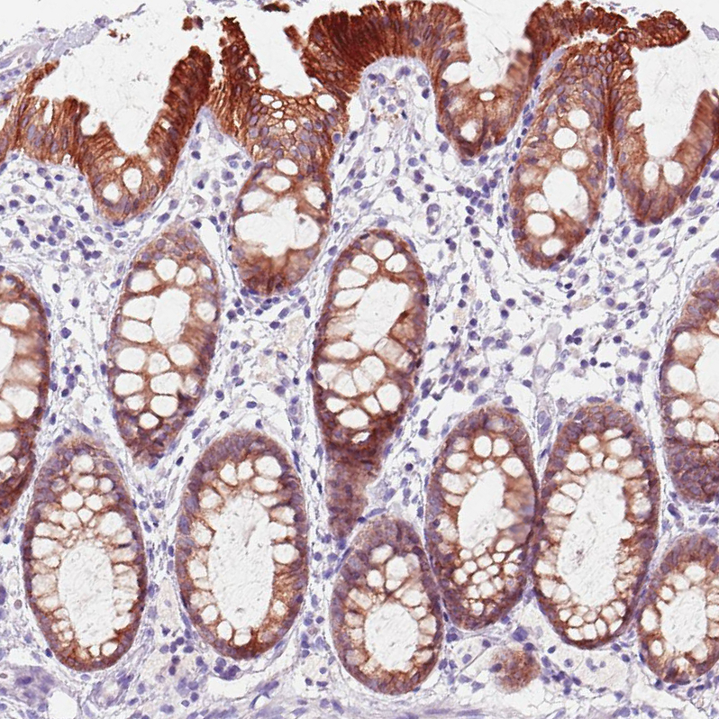
Staining of human duodenum shows strong membranous and cytoplasmic positivity in glandular cells.
Staining of human tonsil shows no positivity in non-germinal center cells as expected.

Product Details

Summary
Reactivity HuSpecies Glossary
Applications WB, IHC
Clone
CL0275
Clonality
Monoclonal
Host
Mouse
Conjugate
Unconjugated
Format
Azide and BSA Free
Concentration
LYOPH
Validated by:
       

Orthogonal Strategies

 

Order Details

ACSL5 Antibody (CL0275) - Azide and BSA Free Summary

Description
Novus Biologicals Mouse ACSL5 Antibody (CL0275) - Azide and BSA Free (NBP2-52899) is a monoclonal antibody validated for use in IHC and WB. All Novus Biologicals antibodies are covered by our 100% guarantee.
Immunogen
This antibody was generated using a recombinant protein sequence of Q9ULC5, with the exact immunogen sequence remaining proprietary.
Isotype
IgG1
Clonality
Monoclonal
Host
Mouse
Gene
ACSL5
Purity
Protein A purified
Innovator's Reward
Test in a species/application not listed above to receive a full credit towards a future purchase.

Applications/Dilutions

Dilutions
  • Immunohistochemistry-Paraffin 1:50 - 1:200
  • Western Blot 1 ug/ml
Application Notes
For IHC-Paraffin, HIER pH 6 retrieval is recommended.

Packaging, Storage & Formulations

Storage
Store at 4C short term. Aliquot and store at -20C long term. Avoid freeze-thaw cycles.
Buffer
Lyophilized from a 0.2 um filtered solution in PBS with Trehalose
Preservative
No Preservative
Concentration
LYOPH
Purity
Protein A purified
Reconstitution Instructions
Centrifuge the vial of lyophilized antibody at 12,000 x g for 20 seconds. Reconstitute by adding sterile, distilled water to achieve a final antibody concentration of 1mg/ml.

Alternate Names for ACSL5 Antibody (CL0275) - Azide and BSA Free

  • ACS2
  • ACS5FACL5 for fatty acid coenzyme A ligase 5
  • acyl-CoA synthetase long-chain family member 5
  • EC 6.2.1
  • EC 6.2.1.3
  • FACL5fatty acid coenzyme A ligase 5
  • fatty-acid-Coenzyme A ligase, long-chain 5
  • LACS 5
  • Long-chain acyl-CoA synthetase 5
  • long-chain fatty acid coenzyme A ligase 5
  • long-chain-fatty-acid--CoA ligase 5

Background

Long-chain-fatty-acid--CoA ligase 5, or ACSL5, is an isozyme of the long-chain fatty-acid-coenzyme A ligase family. These proteins play an important role in both synthesis of cellular lipids and degradation via beta-oxidation. Like other isozymes of this family, ALCS5 converts free long-chain fatty acids into fatty acyl-CoA esters. Specifically, ACSL5 may activate fatty acids from exogenous sources for the synthesis of triacylglycerol destined for intracellular storage.

This isozyme is highly expressed in uterus and spleen, and in trace amounts are found in normal brain. It also has significantly increased expression in malignant gliomas, where the protein functions in mediating fatty acid-induced glioma cell growth. Therefore, ALCS5 is thought to have a key role in the survival of glioma cells and may be a potential target for novel cancer treatments. Three transcript variants encoding two different isoforms have been found for this gene.

Limitations

This product is for research use only and is not approved for use in humans or in clinical diagnosis. Primary Antibodies are guaranteed for 1 year from date of receipt.

Customers Who Viewed This Item Also Viewed...

NBP1-90276
Species: Hu, Mu
Applications: ICC/IF, IHC,  IHC-P, WB
NBP1-89270
Species: Hu
Applications: ICC/IF, IHC,  IHC-P, WB
NBP1-90260
Species: Hu, Mu, Rt
Applications: ICC/IF, IHC,  IHC-P, WB
NBP1-92089
Species: Hu
Applications: IHC,  IHC-P, WB
NBP2-16401
Species: Hu, Mu, Rt
Applications: ICC/IF, IHC,  IHC-P, IP, WB
NBP2-15252
Species: Hu, Mu, Rt
Applications: ICC/IF, IHC,  IHC-P, Simple Western, WB
NBP2-15253
Species: Mu, Rt
Applications: WB
NBP1-90265
Species: Hu
Applications: IHC,  IHC-P, WB
NBP2-37364
Species: Hu, Mu
Applications: CyTOF-ready, ELISA, Flow-IC, Flow, ICC/IF, IHC,  IHC-P, KD, WB
MAB6898
Species: Hu, Mu
Applications: WB
NBP2-22106
Species: Hu, Mu, Rt
Applications: IHC,  IHC-P, IP, WB
NB300-537
Species: Bv, Hu, Mu, Rb, Rt
Applications: ChIP, Flow, GS, ICC/IF, IHC,  IHC-P, IP, KD, Simple Western, WB
MAB1417
Species: Bv, Hu, Mu
Applications: ICC, IHC
NB400-114
Species: Ch, Fe, Ha, Hu, Mu, Pl, Po, Pm, Rt
Applications: ICC/IF, IHC,  IHC-P, IP, KD, WB
H00001130-Q01
Species: Hu
Applications: ELISA, AP, PA, WB
MAB3304
Species: Hu
Applications: CyTOF-ready, ICC, ICFlow
NBP1-89290
Species: Hu, Mu, Rt
Applications: ICC/IF, IHC,  IHC-P, WB
NBP1-90299
Species: Hu
Applications: ICC/IF, IHC, IHC-Fr,  IHC-P, WB

Publications for ACSL5 Antibody (NBP3-44076) (0)

There are no publications for ACSL5 Antibody (NBP3-44076).
By submitting your publication information earn gift cards and discounts for future purchases.

Reviews for ACSL5 Antibody (NBP3-44076) (0)

There are no reviews for ACSL5 Antibody (NBP3-44076). By submitting a review you will receive an Amazon e-Gift Card or Novus Product Discount.
  • Review with no image -- $10/€7/£6/$10 CAD/¥70 Yuan/¥1110 Yen
  • Review with an image -- $25/€18/£15/$25 CAD/¥150 Yuan/¥2500 Yen

Product General Protocols

Find general support by application which include: protocols, troubleshooting, illustrated assays, videos and webinars.

Video Protocols

WB Video Protocol

FAQs for ACSL5 Antibody (NBP3-44076) (0)

There are no specific FAQs related to this product. Read our general customer & technical service FAQs.

Secondary Antibodies

 

Isotype Controls

Additional ACSL5 Products

Research Areas for ACSL5 Antibody (NBP3-44076)

Find related products by research area.

Blogs on ACSL5

There are no specific blogs for ACSL5, but you can read our latest blog posts.

Customers Who Bought This Also Bought

Contact Information

Product PDFs

Calculators

Concentration Calculator

The concentration calculator allows you to quickly calculate the volume, mass or concentration of your vial. Simply enter your mass, volume, or concentration values for your reagent and the calculator will determine the rest.

=
÷

Review this Product

Be the first to review our ACSL5 Antibody (CL0275) - Azide and BSA Free and receive a gift card or discount.

Bioinformatics

Gene Symbol ACSL5