ZFP57 Antibody - BSA Free

Images

 
Western Blot: ZFP57 Antibody [NBP1-91550] - Jurkat cell lysate, Antibody Titration: 1.25ug/ml
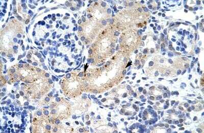
Immunohistochemistry-Paraffin: ZFP57 Antibody [NBP1-91550] - Human kidney Tissue, antibody concentration 4-8ug/ml. Cells with positive label: renal corpuscle cells (indicated with arrows) 400X magnification.

Product Details

Summary
Reactivity HuSpecies Glossary
Applications WB, IHC
Clonality
Polyclonal
Host
Rabbit
Conjugate
Unconjugated
Format
BSA Free
Concentration
1 mg/ml

Order Details

ZFP57 Antibody - BSA Free Summary

Description
The addition of 50% glycerol is optional for those storing this antibody at -20C and not aliquoting smaller units. However, please note that glycerol may interrupt some downstream antibody applications and should be added with caution.
Immunogen
Synthetic peptide directed towards the N terminal of human ZFP57. Peptide sequence MFEQLKPIEPRDCWREARVKKKPVTFEDVAVNFTQEEWDCLDASQRVLYQ. The peptide sequence for this immunogen was taken from within the described region.
Isotype
IgG
Clonality
Polyclonal
Host
Rabbit
Gene
ZFP57
Purity
Protein A purified
Innovator's Reward
Test in a species/application not listed above to receive a full credit towards a future purchase.

Applications/Dilutions

Dilutions
  • Immunohistochemistry 1:10-1:500
  • Immunohistochemistry-Paraffin 1:10-1:500
  • Western Blot 1.0 ug/ml
Publications
Read Publication using
NBP1-91550 in the following applications:

Packaging, Storage & Formulations

Storage
Store at 4C short term. Aliquot and store at -20C long term. Avoid freeze-thaw cycles.
Buffer
PBS, 2% Sucrose
Preservative
0.09% Sodium Azide
Concentration
1 mg/ml
Purity
Protein A purified

Alternate Names for ZFP57 Antibody - BSA Free

  • C6orf40
  • TNDM1
  • zfp-57
  • zinc finger protein 57 homolog (mouse)
  • zinc finger protein 698
  • ZNF698

Limitations

This product is for research use only and is not approved for use in humans or in clinical diagnosis. Primary Antibodies are guaranteed for 1 year from date of receipt.

Customers Who Viewed This Item Also Viewed...

NB100-2350
Species: Hu, Mu, Rt
Applications: ChIP, ICC/IF, IHC,  IHC-P, IP, WB
NBP2-01245
Species: Hu, Mu
Applications: Flow, ICC/IF, IHC,  IHC-P, WB
AF1759
Species: Hu, Mu
Applications: ChIP, ICC, IP, Simple Western, WB
NBP2-61838
Species: Hu
Applications: ELISA, Flow, ICC/IF, IHC,  IHC-P, WB
H00055422-B01P
Species: Hu
Applications: ICC/IF, WB
7734-LF
Species: Hu
Applications: BA
NB100-86989
Species: Hu, Mu
Applications: IHC,  IHC-P, IP, WB
NB100-77282
Species: Hu, Mu
Applications: ChIP, ICC/IF, IHC, IP, KO, WB
NBP1-83280
Species: Hu, Mu, Rt
Applications: IHC,  IHC-P, KD, WB
H00388112-B01P
Species: Hu
Applications: WB
NBP2-27098
Species: Hu, Pm
Applications: ICC/IF, IHC,  IHC-P, WB
292-G2
Species: Hu
Applications: BA
NBP2-20322
Species: Hu, Mu
Applications: ChIP, ICC/IF, IHC,  IHC-P, IP, PLA, WB
AF1997
Species: Hu
Applications: ChIP, ICC, IHC, Simple Western, WB
MAB1799
Species: Hu, Mu, Rt
Applications: ICC, IP, ICFlow, KO, WB
NBP3-46107
Species: Hu, Mu, Rt
Applications: ELISA, IHC, WB
H00003126-P01
Species: Hu
Applications: ELISA, AP, PA, WB
NBP1-33581
Species: Hu, Mu, Rt
Applications: ELISA, ICC/IF, IHC,  IHC-P, WB

Publications for ZFP57 Antibody (NBP1-91550)(1)

We have publications tested in 1 confirmed species: Human.

We have publications tested in 1 application: IHC-P.


Filter By Application
IHC-P
(1)
All Applications
Filter By Species
Human
(1)
All Species

Reviews for ZFP57 Antibody (NBP1-91550) (0)

There are no reviews for ZFP57 Antibody (NBP1-91550). By submitting a review you will receive an Amazon e-Gift Card or Novus Product Discount.
  • Review with no image -- $10/€7/£6/$10 CAD/¥70 Yuan/¥1110 Yen
  • Review with an image -- $25/€18/£15/$25 CAD/¥150 Yuan/¥2500 Yen

Product General Protocols

Find general support by application which include: protocols, troubleshooting, illustrated assays, videos and webinars.

Video Protocols

WB Video Protocol

FAQs for ZFP57 Antibody (NBP1-91550) (0)

There are no specific FAQs related to this product. Read our general customer & technical service FAQs.

Customers Who Bought This Also Bought

Contact Information

Product PDFs

Calculators

Concentration Calculator

The concentration calculator allows you to quickly calculate the volume, mass or concentration of your vial. Simply enter your mass, volume, or concentration values for your reagent and the calculator will determine the rest.

=
÷

Review this Product

Be the first to review our ZFP57 Antibody - BSA Free and receive a gift card or discount.

Bioinformatics

Gene Symbol ZFP57
Uniprot