YAP1 Antibody - BSA Free

Images

 
Immunocytochemistry/ Immunofluorescence: YAP1 Antibody - BSA Free [NB110-58358] - Caco-2 cells were fixed in 4% paraformaldehyde for 10 minutes and permeabilized in 0.5% Triton X-100 in PBS for 5 minutes. The cells were ...read more
Biological Strategies: Western Blot: YAP1 Antibody - BSA Free [NB110-58358] - LW6 attenuates the accumulation of cellular YAP1 and its nuclear location. After treating PANC-1 cells with LW6 for 12 hours, LW6 ...read more
Immunocytochemistry/ Immunofluorescence: YAP1 Antibody - BSA Free [NB110-58358] - YAP/TAZ signaling is not activated by loss of TRAF3. NT, NF2 KO1, and TRAF3 KO1 cells stained for YAP1 and DAPI. Image collected and ...read more
Immunohistochemistry-Paraffin: YAP1 Antibody - BSA Free [NB110-58358] - YAP1 was detected in immersion fixed paraffin-embedded sections of human placenta using Rabbit Anti-Human YAP1 polyclonal Antibody (Catalog # ...read more
Western Blot: YAP1 Antibody - BSA Free [NB110-58358] - Analysis in transfected HEK 293 cell lysate using YAP1 antibody. Observed molecular weight 75 kDa.
Western Blot: YAP1 Antibody - BSA Free [NB110-58358] - Consequences of ORP5 and ORP8 knockdown on downstream MAPK and PI3K/AKT signaling. Protein from MOH parental, single and double ORP knockdowns as well as cells ...read more
Western Blot: YAP1 Antibody - BSA Free [NB110-58358] - YAP1 Antibody [NB110-58358] - Actomyosin activity inhibits beta-catenin- and YAP-driven proliferation of confluent keratinocytes. Effects of cell density and ...read more
Simple Western: YAP1 Antibody - BSA Free [NB110-58358] - Simple Western lane view shows a specific band for YAP1 in 0.1 mg/ml of HeLa lysate. Observed molecular weight is 75 kDa. This experiment was performed under ...read more
Genetic Strategies: Western Blot: YAP1 Antibody - BSA Free [NB110-58358] - Western blot shows lysates of HeLa human cervical epithelial carcinoma parental cell line and YAP1 knockout (KO) HeLa cell line. PVDF ...read more
Genetic Strategies: Simple Western: YAP1 Antibody - BSA Free [NB110-58358] - Western lane view shows lysates of HeLa human cervical epithelial carcinoma parental cell line and YAP1 knockout (KO) HeLa cell line. A ...read more
Western Blot: YAP1 Antibody - BSA Free [NB110-58358] - Yap deficiency suppresses cell proliferation in vivo & in vitro. (A-F) The Ki67 positive ratio of lens epithelial cells decreased in Yap-deficient mice at different ...read more
Western Blot: YAP1 Antibody - BSA Free [NB110-58358] - Synergistic effect of LW6 & metformin on YAP1. 80 µM LW6, 20 mM metformin (Met) & the combinational treatment metformin plus LW6 increased phosphorylation of YPA1 ...read more
Western Blot: YAP1 Antibody - BSA Free [NB110-58358] - Consequences of ORP5 & ORP8 knockdown on downstream MAPK & PI3K/AKT signaling.Protein from BxPC-3, PANC-1, MiaPaCa-2, & MOH parental, single & double ORP knockdowns ...read more
Western Blot: YAP1 Antibody - BSA Free [NB110-58358] - Ajuba depletion induces beta -catenin translocation & Cyclin D1 expression in HCC cell lines. a Immunoblotting with specific antibodies against Ajuba, E-cadherin, ...read more
Immunocytochemistry/ Immunofluorescence: YAP1 Antibody - BSA Free [NB110-58358] - YAP & TAZ expression at high density & during chondrogenic differentiation of human synovial MSCs. (A) YAP & pYAP expression in human ...read more
Immunocytochemistry/ Immunofluorescence: YAP1 Antibody - BSA Free [NB110-58358] - Expression of spcCre is associated with loss of YAP in SOX9+ distal airways.(A–D) Immunostaining of lung sections collected from ...read more
Immunocytochemistry/ Immunofluorescence: YAP1 Antibody - BSA Free [NB110-58358] - The expression patterns of Yap & GFAP-Cre recombinase in postnatal mouse eyes. (A) Schematic of a transverse section of mouse eye. (B-C) ...read more
Immunocytochemistry/ Immunofluorescence: YAP1 Antibody - BSA Free [NB110-58358] - YAP & phospho-YAP are detected in both the proximal & distal airways during lung development.(A–H) Immunostaining of lung sections ...read more
Immunocytochemistry/ Immunofluorescence: YAP1 Antibody - BSA Free [NB110-58358] - Expression of Nkx2.1Cre is associated with loss of YAP in the upper lobes.(A–D) Immunostaining of lung sections collected from Yapf/f; ...read more
Immunocytochemistry/ Immunofluorescence: YAP1 Antibody - BSA Free [NB110-58358] - Active nuclear YAP is distributed throughout the mouse lung epithelium during development.(A–P) Immunostaining of lung sections ...read more
Immunocytochemistry/ Immunofluorescence: YAP1 Antibody - BSA Free [NB110-58358] - The expression patterns of Yap & GFAP-Cre recombinase in postnatal mouse eyes. (A) Schematic of a transverse section of mouse eye. (B-C) ...read more
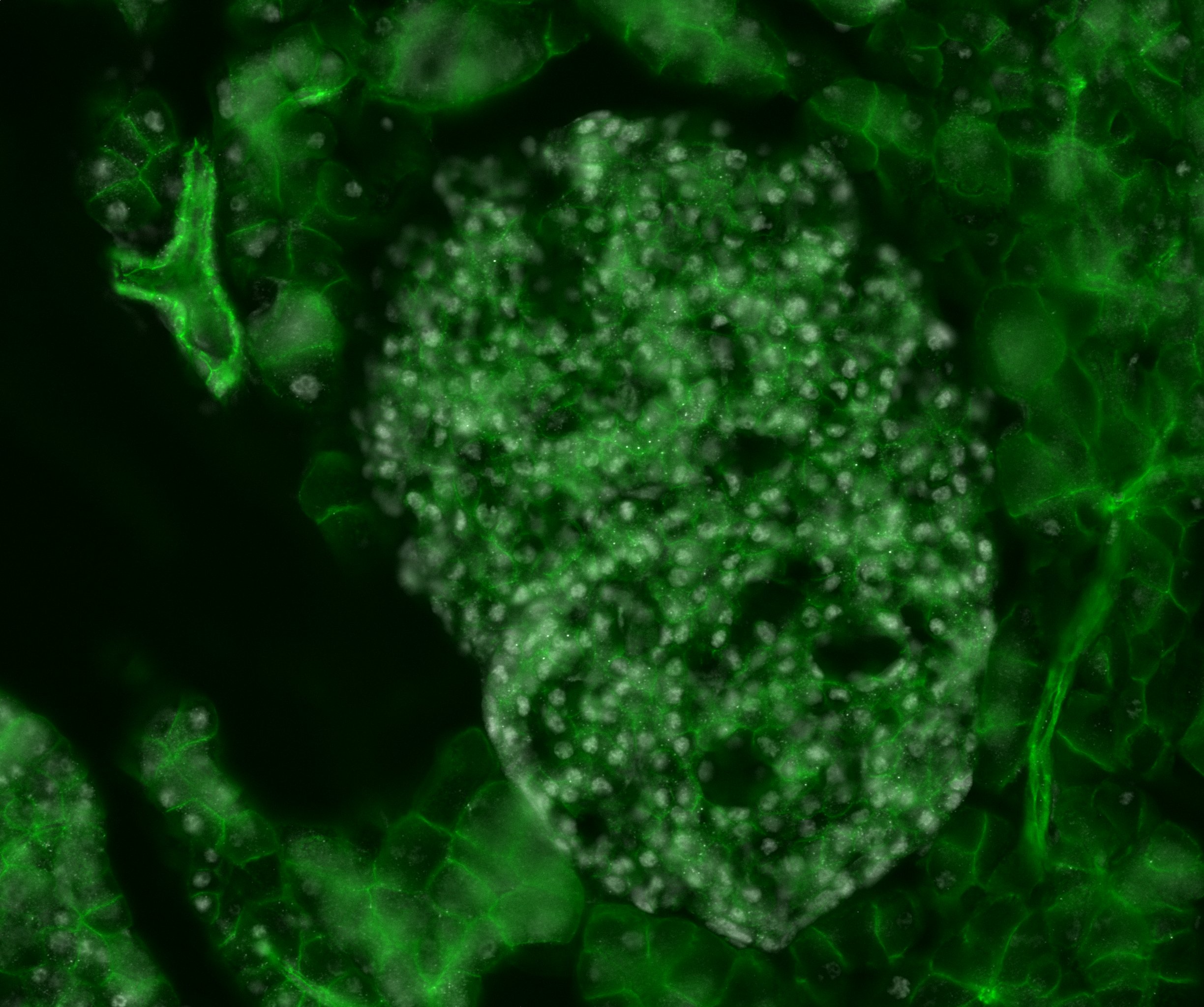
Murine pancreas cryosections stained with Yap1 (white) and CD324 (green). Image from a verified customer review.

Product Details

Summary
Reactivity Hu, Mu, Rt, Ca, ZeSpecies Glossary
Applications WB, Simple Western, ICC/IF, IHC, IP, WB, ChIP, KD, KO
Clonality
Polyclonal
Host
Rabbit
Conjugate
Unconjugated
Format
BSA Free
Concentration
1.0 mg/ml

YAP1 Antibody - BSA Free Summary

Description
Novus Biologicals Knockout (KO) Validated Rabbit YAP1 Antibody - BSA Free (NB110-58358) is a polyclonal antibody validated for use in IHC, WB, ICC/IF, Simple Western, IP and ChIP. Anti-YAP1 Antibody: Cited in 90 publications. All Novus Biologicals antibodies are covered by our 100% guarantee.
Immunogen
This YAP1 Antibody was developed against a partial recombinant human YAP1 protein expressed in bacteria. [Uniprot: P46937]
Localization
Nuclear
Specificity
Expected reactivity based on immunogen homology: Isoform 4 (100%), Isoform 6 (100%)
Isotype
IgG
Clonality
Polyclonal
Host
Rabbit
Gene
YAP1
Purity
Immunogen affinity purified
Innovator's Reward
Test in a species/application not listed above to receive a full credit towards a future purchase.

Applications/Dilutions

Dilutions
  • Chromatin Immunoprecipitation (ChIP)
  • Immunoblotting reported in scientific literature (PMID 28406163)
  • Immunocytochemistry/ Immunofluorescence
  • Immunohistochemistry 1:50-1:200
  • Immunohistochemistry-Frozen reported in scientific literature (PMID 28581498)
  • Immunohistochemistry-Paraffin 1:50-1:200
  • Immunoprecipitation 2-10 ug
  • Knockdown Validated reported in scientific literature (PMID 28406163)
  • Knockout Validated
  • Simple Western 1:12.5
  • Western Blot 1:1000
Application Notes
In Simple Western only 10 - 15 uL of the recommended dilution is used per data point.
See Simple Western Antibody Database for Simple Western validation: Tested in HeLa lysate 0.1 mg/mL, separated by Size, antibody dilution of 1:12.5, apparent MW was 74 kDa. Separated by Size-Wes, Sally Sue/Peggy Sue.
Theoretical MW
48 kDa.
Disclaimer note: The observed molecular weight of the protein may vary from the listed predicted molecular weight due to post translational modifications, post translation cleavages, relative charges, and other experimental factors.
Control
293 Whole Cell Lysate
Human Kidney Whole Tissue Lysate (Adult Whole Normal)
Human Brain Whole Tissue Lysate (Adult Whole Normal)
Reviewed Applications
Read 3 Reviews rated 4
using
NB110-58358 in the following applications:

Publications
Read Publications using
NB110-58358 in the following applications:

Reactivity Notes

Use in Human reported in scientific literature (PMID:33737385). Use in Zebrafish reported in scientific literature (PMID:28350986).

Packaging, Storage & Formulations

Storage
Aliquot and store at -20C or -80C. Avoid freeze-thaw cycles.
Buffer
PBS
Preservative
0.02% Sodium Azide
Concentration
1.0 mg/ml
Purity
Immunogen affinity purified

Alternate Names for YAP1 Antibody - BSA Free

  • 65 kDa Yes-associated protein
  • COB1
  • Protein Yorkie Homolog
  • Transcriptional Coactivator YAP1
  • YAP
  • YAP1
  • YAP1-2gamma
  • YAP2
  • YAP2L
  • YAP65
  • YAP65yes-associated protein 2
  • Yes Associated Protein
  • Yes-associated protein 1
  • Yes-associated protein 1, 65kDa
  • yes-associated protein beta
  • yes-associated protein delta
  • Yes-Associated Protein YAP65 Homolog
  • Yes-Associated Protein
  • YKI
  • Yorkie Homolog

Background

The transcriptional coactivator Yes-associated protein (YAP), also known as Yes-associated protein 1 (YAP1), Yes-Associated Protein YAP65 Homolog, Protein Yorkie Homolog and YAP65 has a theoretical molecular weight of 65 kDa. The YAP1 gene encodes the human ortholog of chicken YAP protein which binds to the SH3 domain of the Yes proto-oncogene product. YAP1 shares homology with the WW domain of transcriptional co-activator with PDZ-binding motif (TAZ), which functions as a transcriptional co-activator by binding to the PPXY motif present in transcription factors and is likely involved in protein-protein interaction. YAP has been identified as a core regulatory mechanism that blocks mammalian glial cell proliferation and cellular reprogramming following damage (1).

YAP plays a role in the development and progression of multiple cancers as a transcriptional regulator of the Hippo signaling pathway. YAP1 encodes a nuclear effector of the Hippo signaling pathway which is involved in development, growth, repair, and homeostasis to play a pivotal role in controlling cell growth and organ size and has emerged as a key player in tumor suppression (2,3). Deregulation of the Hippo pathway causes tumor formation and malignancy, with YAP being a key oncogenic driver in liver carcinogenesis (2) and may function as a potential target for cancer treatment (3).

References

1. Rueda, E. M., Hall, B. M., Hill, M. C., Swinton, P. G., Tong, X., Martin, J. F., & Poche, R. A. (2019). The Hippo Pathway Blocks Mammalian Retinal Muller Glial Cell Reprogramming. Cell Rep, 27(6), 1637-1649.e1636. doi:10.1016/j.celrep.2019.04.047

2. Liu, A. M., Xu, M. Z., Chen, J., Poon, R. T., & Luk, J. M. (2010). Targeting YAP and Hippo signaling pathway in liver cancer. Expert Opin Ther Targets, 14(8), 855-868. doi:10.1517/14728222.2010.499361

3.Ye, S., & Eisinger-Mathason, T. S. (2016). Targeting the Hippo pathway: Clinical implications and therapeutics. Pharmacol Res, 103, 270-278. doi:10.1016/j.phrs.2015.11.025

Limitations

This product is for research use only and is not approved for use in humans or in clinical diagnosis. Primary Antibodies are guaranteed for 1 year from date of receipt.

Customers Who Viewed This Item Also Viewed...

MAB7940
Species: Hu
Applications: IHC, WB
NB110-58359
Species: Hu, Mu, Rt
Applications: ChIP, ChIP, ICC/IF, IHC,  IHC-P, IP, PLA, Simple Western, WB
NBP1-81763
Species: Hu
Applications: IHC,  IHC-P, WB
NB200-197
Species: Hu, Mu
Applications: IP, WB
H00060485-M02
Species: Hu, Mu, Ye
Applications: ELISA, ICC/IF, IHC,  IHC-P, IP, WB
MAB8930
Species: Hu
Applications: ICC, Simple Western, WB
NBP1-48017
Species: Ca, Hu, Pm, Mu, Rt
Applications: IHC,  IHC-P, WB
NBP1-87757
Species: Hu, Mu, Rt
Applications: ICC/IF, IHC,  IHC-P, IP, KD, WB
NBP1-82865
Species: Hu, Mu, Rt
Applications: ICC/IF, IHC,  IHC-P, KD, WB
NBP2-24737
Species: Hu, Mu, Rt
Applications: ChIP, CyTOF-ready, Flow-IC, Flow, ICC/IF, IHC, IHC-Fr,  IHC-P, IP, Simple Western, WB
NBP1-84161
Species: Hu
Applications: IHC,  IHC-P
NBP2-94035
Species: Hu, Mu, Rt
Applications: ChIP, ELISA, ICC/IF, IHC,  IHC-P, WB
NBP3-03473
Species: Hu, Mu, Rt
Applications: ICC/IF, IHC,  IHC-P, KO, WB
AF231
Species: Hu
Applications: CyTOF-ready, Dual ISH-IHC, ELISA(Cap), ELISA(Det), ELISA(Sta), Flow, ICC, IHC, IP, Simple Western, WB
NBP3-46037
Species: Hu, Mu
Applications: ELISA, ICC/IF, IHC, , WB
AF3254
Species: Hu, Mu, Rt
Applications: WB
NBP2-50037
Species: Hu, Mu, Rt
Applications: ICC/IF, IHC, KO, WB
NB200-103
Species: Hu, Mu, Rt, Xp(-), Ye
Applications: CyTOF-ready, ELISA, Flow-IC, Flow, ICC/IF, IHC, IHC-Fr,  IHC-P, IP, WB

Publications for YAP1 Antibody (NB110-58358)(93)

We have publications tested in 5 confirmed species: Human, Mouse, Rat, Canine, Zebrafish.

We have publications tested in 14 applications: Chemotaxis, Chromatin Immunoprecipitation, ICC/IF, IF/IHC, IHC, IHC-F, IHC-P, IP, Immunocytochemistry/ Immunofluorescence, Immunohistochemistry, Immunohistochemistry-Frozen, KD, WB, Western Blot.


Filter By Application
Chemotaxis
(13)
Chromatin Immunoprecipitation
(1)
ICC/IF
(11)
IF/IHC
(7)
IHC
(1)
IHC-F
(3)
IHC-P
(12)
IP
(6)
Immunocytochemistry/ Immunofluorescence
(1)
Immunohistochemistry
(1)
Immunohistochemistry-Frozen
(1)
KD
(5)
WB
(30)
Western Blot
(11)
All Applications
Filter By Species
Human
(39)
Mouse
(30)
Rat
(1)
Canine
(1)
Zebrafish
(1)
All Species
Showing Publications 1 - 10 of 93. Show All 93 Publications.
Publications using NB110-58358 Applications Species
Sousa SC, Aroso M, Bessa R, Veríssimo E et Al. Stretch triggers microtubule stabilization and MARCKS-dependent membrane incorporation in the shaft of embryonic axons Curr Biol 2024-09-12 [PMID: 39265571]
Garg R, Williamson M., et Al. The metastasis-promoting P1597L mutation in PlexinB1 enhances Ras activity BMC Cancer 2024-08-14 [PMID: 39138404]
Enokido T, Horie M, Yoshino S et al. Distinct microRNA signature and suppression of ZFP36L1 define ASCL1-positive lung adenocarcinoma Molecular cancer research : MCR 2023-10-06 [PMID: 37801008]
Sakabe M, Thompson M, Chen N et al. Inhibition of b 1-AR/G alpha s signaling promotes cardiomyocyte proliferation in juvenile mice through activation of RhoA-YAP axis eLife 2022-12-08 [PMID: 36479975] (WB, Mouse)

Details:
Dilution used in WB
WB Mouse
Grundl M Biochemical characterization of the MMB-Hippo crosstalk and its physiological relevance for heart development Thesis 2021-01-01
Ninon Very, Clémence Boulet, Céline Gheeraert, Alexandre Berthier, Manuel Johanns, Mohamed Bou Saleh, Loïc Guille, Fabrice Bray, Jean-Marc Strub, Marie Bobowski-Gerard, Francesco P. Zummo, Emmanuelle Vallez, Olivier Molendi-Coste, Eloise Woitrain, Sarah Cianférani, David Montaigne, Line Carolle Ntandja-Wandji, Laurent Dubuquoy, Julie Dubois-Chevalier, Bart Staels, Philippe Lefebvre, Jérôme Eeckhoute O -GlcNAcylation controls pro-fibrotic transcriptional regulatory signaling in myofibroblasts Cell Death & Disease 2024-06-03 [PMID: 38830870]
Karatsai O, Lehka L, Wojton D et al. Unconventional myosin VI in the heart: Involvement in cardiac dysfunction progressing with age Biochimica et biophysica acta. Molecular basis of disease 2023-05-09 [PMID: 37169038] (WB, Mouse) WB Mouse
Macfarlane E, Cavanagh L, Fong-Yee C et al. Deletion of the Chondrocyte Glucocorticoid Receptor Attenuates Cartilage Degradation through Suppression of Early Synovial Activation in Murine Posttraumatic Osteoarthritis Osteoarthritis and cartilage 2023-04-25 [PMID: 37105394]
Meliambro K, Yang Y, de Cos M et al. KIBRA upregulation increases susceptibility to glomerular injury and correlates with kidney function decline JCI insight 2023-02-28 [PMID: 36853804] (Immunohistochemistry-Frozen, Immunocytochemistry/ Immunofluorescence, Human, Mouse) Immunohistochemistry-Frozen, Immunocytochemistry/ Immunofluorescence Human, Mouse
Banerjee P, Kumaravel S, Roy S et al. Conjugated Bile Acids Promote Lymphangiogenesis by Modulation of the Reactive Oxygen Species-p90RSK-Vascular Endothelial Growth Factor Receptor 3 Pathway Cells 2023-02-06 [PMID: 36831193] (ICC/IF, IHC, Human) ICC/IF, IHC Human
Show All 93 Publications.

Reviews for YAP1 Antibody (NB110-58358) (3) 43

Average Rating: 4
(Based on 3 reviews)
We have 3 reviews tested in 2 species: Human, Zebrafish.

Reviews using NB110-58358:
Filter by Applications
WB
(2)
All Applications
Filter by Species
Human
(1)
Zebrafish
(1)
All Species
Images Ratings Applications Species Date Details
 YAP1 NB110-58358
Enlarge
5
reviewed by:
Mitchell Bijnen
10/16/2025
View

Summary

LotD190499
Western Blot YAP1 NB110-58358
Enlarge
3
reviewed by:
Verified Customer
WB Human 02/04/2019
View

Summary

ApplicationWestern Blot
Sample TestedHuman prostate cancer cell line (PC3)
SpeciesHuman
Lot-
Western Blot YAP1 NB110-58358
Enlarge
4
reviewed by:
Verified Customer
WB Zebrafish 01/24/2018
View

Summary

ApplicationWestern Blot
Sample TestedProtein Lysate
SpeciesZebrafish
Lotna

Comments

CommentsLysate prepared with RIPA buffer. Reducing agent was used. 70 deg C for 10 min. Ran on 4-12% bis tris gel at 200v for 40 min.Primary antibody was used at a dilution of 1:1000 and incubated overnight at 4C. Secondary antibody was RDyde 800 CW Goat anti-Rabbit IgG diluted 1:5000 incubated overnight at 4C. Detection method was Licor Odyssey detection.

Product General Protocols

Video Protocols

WB Video Protocol
ICC/IF Video Protocol

FAQs for YAP1 Antibody (NB110-58358). (Showing 1 - 2 of 2 FAQs).

  1. I am trying to find a good antibody for YAP1 to use in a ChIP. The one that has been published and seems to work in ChIP was produced by Marius Sudol's lab. Is the YAP antibody NB110-58358 the one Marius Sudol sent you or did you produce it using his antigen?
    • You are correct. This antibody is from Sudol's lab, and yes it was produced directly by him.
  2. Our customer purchased NB110-58358 for IHC-P. The sample would be mouse skin. Now they face the problem of choosing which protocol of antigen retrieval is the best one to work with NB110-58358, since there are several listed on //www.novusbio.com/support/support-by-application/antigen-retrieval/protocol.html. Would you please help suggest?
    • To answer your customer's question, we do not have any protocol specific to NB110-58358 but as a general guideline we usually recommend using Citrate buffer (10mM Citric Acid, 0.05% Tween 20, pH 6.0) for antigen retrieving. 20 minutes incubation is usually sufficient in our experience.

Control Lysate(s)

Secondary Antibodies

 

Isotype Controls

Additional YAP1 Products

Array NB110-58358

Research Areas for YAP1 Antibody (NB110-58358)

Find related products by research area.

Blogs on YAP1.


  Read full blog post.

YAP1 - a transcription co-activator and the downstream target of Hippo pathway
YAP1 (Yes-associated protein 1) is a  transcriptional co-activator which acts as a major effector of Hippo signaling pathway that regulates organ size/ tissue homeostasis and cell proliferation, and is an established oncogene (1).  Hippo sig...  Read full blog post.

Customers Who Bought This Also Bought

Contact Information

Product PDFs

Calculators

Concentration Calculator

The concentration calculator allows you to quickly calculate the volume, mass or concentration of your vial. Simply enter your mass, volume, or concentration values for your reagent and the calculator will determine the rest.

=
÷

Recent Reviews

4
5
1
4
1
3
1
2
0
1
0

Mitchell Bijnen
10/16/2025
Application:
Species:

Verified Customer
02/04/2019
Application: WB
Species: Human

Verified Customer
01/24/2018
Application: WB
Species: Zebrafish

Bioinformatics

Gene Symbol YAP1