Wnt-7a Antibody

Images

 
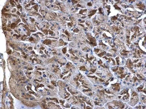
Immunohistochemistry-Paraffin: Wnt-7a Antibody [NBP2-20913] - Mouse stomach. WNT7A antibody dilution: 1:500. Antigen Retrieval: Trilogy™ (EDTA based, pH 8.0) buffer, 15min.
Western Blot: Wnt-7a Antibody [NBP2-20913] - Non-transfected (-) and transfected (+) 293T whole cell extracts (30 ug) were separated by 10% SDS-PAGE, and the membrane was blotted with WNT7A antibody (NBP2-20913) diluted ...read more
WNT7A antibody detects WNT7A protein at secreted on mouse pancreas by immunohistochemical analysis. Sample: Paraffin-embedded mouse pancreas. WNT7A antibody (NBP2-20913) dilution: 1:500. Antigen Retrieval: Trilogy(TM) ...read more

Product Details

Summary
Reactivity Hu, Mu, Rt, Bv, Ch, RMSpecies Glossary
Applications WB, IHC
Clonality
Polyclonal
Host
Rabbit
Conjugate
Unconjugated

Order Details

Wnt-7a Antibody Summary

Description
Novus Biologicals Rabbit Wnt-7a Antibody (NBP2-20913) is a polyclonal antibody validated for use in IHC and WB. All Novus Biologicals antibodies are covered by our 100% guarantee.
Immunogen
Recombinant protein encompassing a sequence within the center region of human Wnt-7a. The exact sequence is proprietary.
Localization
Secreted; extracellular space; extracellular matrix
Predicted Species
Rat (100%), Chicken (96%), Bovine (100%), Rhesus Macaque (100%). Backed by our 100% Guarantee.
Isotype
IgG
Clonality
Polyclonal
Host
Rabbit
Gene
WNT7A
Purity
Antigen Affinity-purified
Innovator's Reward
Test in a species/application not listed above to receive a full credit towards a future purchase.

Applications/Dilutions

Dilutions
  • Immunohistochemistry 1:100-1:1000
  • Immunohistochemistry-Paraffin 1:100-1:1000
  • Western Blot 1:1000-1:10000
Theoretical MW
39 kDa.
Disclaimer note: The observed molecular weight of the protein may vary from the listed predicted molecular weight due to post translational modifications, post translation cleavages, relative charges, and other experimental factors.
Publications
Read Publication using NBP2-20913.

Packaging, Storage & Formulations

Storage
Aliquot and store at -20C or -80C. Avoid freeze-thaw cycles.
Buffer
PBS, 1% BSA, 20% Glycerol
Preservative
0.025% Proclin 300
Purity
Antigen Affinity-purified

Alternate Names for Wnt-7a Antibody

  • protein Wnt-7a
  • proto-oncogene Wnt7a protein
  • wingless-type MMTV integration site family, member 7A
  • Wnt7a
  • Wnt-7a

Background

This gene is a member of the WNT gene family, which consists of structurally related genes that encode secreted signaling proteins. These proteins have been implicated in oncogenesis and in several developmental processes, including regulation of cell fate and patterning during embryogenesis. This gene is involved in the development of the anterior-posterior axis in the female reproductive tract, and also plays a critical role in uterine smooth muscle pattering and maintenance of adult uterine function. Mutations in this gene are associated with Fuhrmann and Al-Awadi/Raas-Rothschild/Schinzel phocomelia syndromes. [provided by RefSeq]

Limitations

This product is for research use only and is not approved for use in humans or in clinical diagnosis. Primary Antibodies are guaranteed for 1 year from date of receipt.

Customers Who Viewed This Item Also Viewed...

645-WN
Species: Hu, Mu
Applications: BA
AF475
Species: Mu
Applications: IHC, WB
AF1329
Species: Hu, Mu, Rt
Applications: ChIP, CyTOF-ready, ICC, IHC, ICFlow, Simple Western, WB
423-F8
Species: Hu, Mu
Applications: BA
NBP2-20913
Species: Hu, Mu
Applications: IHC,  IHC-P, WB
NBP2-46367
Species: Hu, Mu, Rt
Applications: IHC,  IHC-P, WB
AF3460
Species: Hu
Applications: IHC
5036-WN
Species: Hu
Applications: BA, BA
355-BM
Species: Hu, Mu, Rt
Applications: BA
6179-WN
Species: Hu
Applications: BA
H00002019-M04
Species: Hu, Mu
Applications: ELISA, IHC,  IHC-P, IP, WB
235-F4
Species: Hu
Applications: BA
AF3464
Species: Hu
Applications: IHC, WB
5439-DK
Species: Hu
Applications: BA
NBP1-51575
Species: Hu, Mu
Applications: ELISA, Flow, ICC/IF, IHC,  IHC-P, WB
AF4109
Species: Hu
Applications: IHC, WB
AF1617
Species: Hu
Applications: WB
AF3900
Species: Hu, Mu
Applications: ICC, WB
NBP2-20913
Species: Hu, Mu, Rt, Bv, Ch, RM
Applications: WB, IHC

Publications for Wnt-7a Antibody (NBP2-20913)(1)

We have publications tested in 1 application: IF/IHC.


Filter By Application
IF/IHC
(1)
All Applications
Filter By Species
All Species
Showing Publication 1 - 1 of 1.
Publication using NBP2-20913 Applications Species
Wellenstein MD Distinct p53 hotspot mutations differentially regulate immunotherapy response in breast cancer through activation of autophagy Thesis 2022-01-01 (IF/IHC) IF/IHC

Reviews for Wnt-7a Antibody (NBP2-20913) (0)

There are no reviews for Wnt-7a Antibody (NBP2-20913). By submitting a review you will receive an Amazon e-Gift Card or Novus Product Discount.
  • Review with no image -- $10/€7/£6/$10 CAD/¥70 Yuan/¥1110 Yen
  • Review with an image -- $25/€18/£15/$25 CAD/¥150 Yuan/¥2500 Yen

Product General Protocols

Find general support by application which include: protocols, troubleshooting, illustrated assays, videos and webinars.

Video Protocols

WB Video Protocol

FAQs for Wnt-7a Antibody (NBP2-20913) (0)

There are no specific FAQs related to this product. Read our general customer & technical service FAQs.

Secondary Antibodies

 

Isotype Controls

Additional Wnt-7a Products

Research Areas for Wnt-7a Antibody (NBP2-20913)

Find related products by research area.

Blogs on Wnt-7a

There are no specific blogs for Wnt-7a, but you can read our latest blog posts.

Customers Who Bought This Also Bought

Contact Information

Product PDFs

Calculators

Concentration Calculator

The concentration calculator allows you to quickly calculate the volume, mass or concentration of your vial. Simply enter your mass, volume, or concentration values for your reagent and the calculator will determine the rest.

=
÷

Review this Product

Be the first to review our Wnt-7a Antibody and receive a gift card or discount.

Bioinformatics

Gene Symbol WNT7A