VLDLR Antibody (VLDLR/1337) - Azide and BSA Free

Images

 
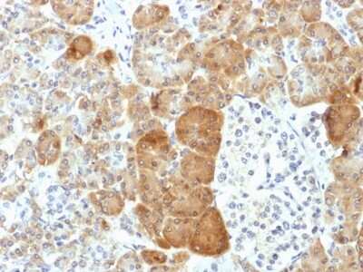
Immunohistochemistry-Paraffin: VLDL R Antibody (VLDLR/1337) [NBP2-54553] - Formalin-fixed, paraffin-embedded human Pancreas stained with VLDL-Receptor Monoclonal Antibody (VLDLR/1337).

Product Details

Summary
Reactivity Hu, RtSpecies Glossary
Applications IHC
Clone
VLDLR/1337
Clonality
Monoclonal
Host
Mouse
Conjugate
Unconjugated
Format
Azide and BSA Free
Concentration
1 mg/ml

Order Details

VLDLR Antibody (VLDLR/1337) - Azide and BSA Free Summary

Description
1.0 mg/ml of antibody purified from Bioreactor Concentrate by Protein A/G. Prepared in 10mM PBS WITHOUT BSA & azide. Also available at 200 ug/ml WITH BSA & azide (NBP2-53351).

Antibody with azide - store at 2 to 8C. Antibody without azide - store at -20 to -80C.
Immunogen
Recombinant human VLDLR fragment from c-terminal (Uniprot: P98155)
Localization
Cytoplasmic
Isotype
IgG1 Lambda
Clonality
Monoclonal
Host
Mouse
Gene
VLDLR
Purity
Protein A or G purified
Innovator's Reward
Test in a species/application not listed above to receive a full credit towards a future purchase.

Applications/Dilutions

Dilutions
  • Immunohistochemistry
  • Immunohistochemistry-Paraffin 1 - 2 ug/ml
Application Notes
Immunohistochemistry (Formalin-fixed): 1-2ug/ml for 30 minutes at RT. Staining of formalin-fixed tissues is enhanced by heating tissue sections in 10mM Tris with 1mM EDTA, pH 9.0 for 45 min at 95C followed by cooling at RT for 20 minutes.
Optimal dilution for a specific application should be determined.
Theoretical MW
152 kDa.
Disclaimer note: The observed molecular weight of the protein may vary from the listed predicted molecular weight due to post translational modifications, post translation cleavages, relative charges, and other experimental factors.

Packaging, Storage & Formulations

Storage
Store at -20 to -80C. Avoid freeze-thaw cycles.
Buffer
10 mM PBS
Preservative
No Preservative
Concentration
1 mg/ml
Purity
Protein A or G purified

Alternate Names for VLDLR Antibody (VLDLR/1337) - Azide and BSA Free

  • CARMQ1
  • CHRMQ1
  • FLJ35024
  • very low density lipoprotein receptor
  • very low-density lipoprotein receptor
  • VLDL R
  • VLDL receptor
  • VLDLR
  • VLDL-R
  • VLDLRCH

Background

VLDL (very low density lipoprotein) cholesterol is one of the three major types of cholesterol found in blood. VLDL receptor plays an essential role in triglyceride metabolism. It binds VLDL and transports it into cells by endocytosis. In order to be internalized, the receptor-ligand complexes must first cluster into clathrin coated pits. Binding to Reelin induces tyrosine phosphorylation of Dab1 and modulation of Tau phosphorylation.

Limitations

This product is for research use only and is not approved for use in humans or in clinical diagnosis. Primary Antibodies are guaranteed for 1 year from date of receipt.

Customers Who Viewed This Item Also Viewed...

AF2255
Species: Mu
Applications: Block, CyTOF-ready, Flow, IHC, WB
AF3820
Species: Mu
Applications: IHC, WB
NB100-2216
Species: Ch, Hu, Mu
Applications: ICC/IF, PAGE, WB
NB110-60531
Species: Hu, Mu, Rt(-)
Applications: CyTOF-ready, ELISA, Flow-IC, Flow, ICC/IF, IHC,  IHC-P, IP, WB
NBP2-16095
Species: Hu, Mu, Rt
Applications: ICC/IF, IHC,  IHC-P, WB
NBP2-30971
Species: Hu
Applications: ICC/IF, IHC,  IHC-P
AF7197
Species: Hu, Mu
Applications: ICC, IHC, WB
NB100-64808
Species: Hu
Applications: ELISA, Flow, ICC/IF, IHC, IHC-Fr, IP, WB
NBP1-82820
Species: Hu
Applications: ICC/IF, IHC,  IHC-P, Simple Western, WB
NBP2-79854
Species: Hu
Applications: CyTOF-ready, Flow, ICC/IF, IHC,  IHC-P, PA, WB
NBP3-14454
Species: Hu
Applications: IHC,  IHC-P
1310-SE
Species: Hu
Applications: EnzAct
NBP1-89334
Species: Hu, Mu, Rt
Applications: ICC/IF, IHC,  IHC-P, WB
NBP1-19773
Species: Hu, Mu, Rt
Applications: ELISA, ICC/IF, IHC, IHC-Fr,  IHC-P, WB
NBP1-88057
Species: Hu, Rt
Applications: ICC/IF, IHC,  IHC-P, WB
NBP2-34294
Species: Hu, Mu, Rt
Applications: Flow, IHC,  IHC-P
DVE00
Species: Hu
Applications: ELISA
NBP2-54553
Species: Hu, Rt
Applications: IHC

Publications for VLDLR Antibody (NBP2-54553) (0)

There are no publications for VLDLR Antibody (NBP2-54553).
By submitting your publication information earn gift cards and discounts for future purchases.

Reviews for VLDLR Antibody (NBP2-54553) (0)

There are no reviews for VLDLR Antibody (NBP2-54553). By submitting a review you will receive an Amazon e-Gift Card or Novus Product Discount.
  • Review with no image -- $10/€7/£6/$10 CAD/¥70 Yuan/¥1110 Yen
  • Review with an image -- $25/€18/£15/$25 CAD/¥150 Yuan/¥2500 Yen

Product General Protocols

Find general support by application which include: protocols, troubleshooting, illustrated assays, videos and webinars.

FAQs for VLDLR Antibody (NBP2-54553) (0)

There are no specific FAQs related to this product. Read our general customer & technical service FAQs.

Customers Who Bought This Also Bought

Contact Information

Product PDFs

Calculators

Concentration Calculator

The concentration calculator allows you to quickly calculate the volume, mass or concentration of your vial. Simply enter your mass, volume, or concentration values for your reagent and the calculator will determine the rest.

=
÷

Review this Product

Be the first to review our VLDLR Antibody (VLDLR/1337) - Azide and BSA Free and receive a gift card or discount.

Bioinformatics

Gene Symbol VLDLR