Vinculin Antibody (JM42-43)

Images

 
Western Blot: Vinculin Antibody (JM42-43) [NBP2-75708] - Analysis of Vinculin on different lysates using anti-Vinculin antibody at 1/1,000 dilution.Positive control:Lane 1: HepG2 Lane 2: Human fetal skeletal muscleLane ...read more
Immunocytochemistry/ Immunofluorescence: Vinculin Antibody (JM42-43) [NBP2-75708] - Staining Vinculin in HUVEC cells (green). The nuclear counter stain is DAPI (blue). Cells were fixed in paraformaldehyde, permeabilised ...read more
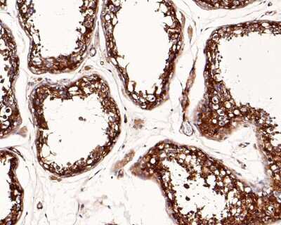
Immunohistochemistry-Paraffin: Vinculin Antibody (JM42-43) [NBP2-75708] - Analysis of paraffin-embedded human testis tissue with Rabbit anti-Vinculin antibody washed with ddH2O and PBS, and then probed with the primary ...read more
Immunocytochemistry/ Immunofluorescence: Vinculin Antibody (JM42-43) [NBP2-75708] - Staining Vinculin in A431 cells (green). The nuclear counter stain is DAPI (blue). Cells were fixed in paraformaldehyde, permeabilised ...read more
Immunocytochemistry/ Immunofluorescence: Vinculin Antibody (JM42-43) [NBP2-75708] - Staining Vinculin in A549 cells (green). The nuclear counter stain is DAPI (blue). Cells were fixed in paraformaldehyde, permeabilised ...read more

Product Details

Summary
Product Discontinued
View other related Vinculin Primary Antibodies

Order Details


    • Catalog Number
      NBP2-75708
    • Availability
      Product Discontinued

    Can't find what you are looking for? Use our Antibody Concierge Service & we will help you locate your antibody!

    Or feel free to contact us for alternative products.

Vinculin Antibody (JM42-43) Summary

Additional Information
Recombinant Monoclonal Antibody.
Immunogen
Synthetic peptide within human Vinculin aa 1000-1060. (SwissProt: P18206 Human; SwissProt: Q64727 Mouse; SwissProt: P85972 Rat)
Localization
Cell junction, Cell membrane, Cytoplasm, Cytoskeleton, Membrane.
Isotype
IgG
Clonality
Monoclonal
Host
Rabbit
Gene
VCL
Purity
Protein A purified
Innovator's Reward
Test in a species/application not listed above to receive a full credit towards a future purchase.

Applications/Dilutions

Dilutions
  • Immunocytochemistry/ Immunofluorescence 1:50-1:200
  • Immunohistochemistry-Paraffin
  • Immunoprecipitation
  • Western Blot 1:500-1:2000
Theoretical MW
124 kDa.
Disclaimer note: The observed molecular weight of the protein may vary from the listed predicted molecular weight due to post translational modifications, post translation cleavages, relative charges, and other experimental factors.

Packaging, Storage & Formulations

Storage
Store at 4C short term. Aliquot and store at -20C long term. Avoid freeze-thaw cycles.
Buffer
TBS (pH7.4), 0.05% BSA, 40% Glycerol
Preservative
0.05% Sodium Azide
Concentration
1 mg/ml
Purity
Protein A purified

Alternate Names for Vinculin Antibody (JM42-43)

  • CMD1W
  • CMH15
  • metavinculin
  • MVCL
  • VCL
  • Vinculin

Background

Vinculin is a cytoskeletal protein associated with cell-cell and cell-matrix junctions, where it is thought to function as one of several interacting proteins involved in anchoring F-actin to the membrane. Defects in VCL are the cause of cardiomyopathy dilated type 1W. Dilated cardiomyopathy is a disorder characterized by ventricular dilation and impaired systolic function, resulting in congestive heart failure and arrhythmia. Multiple alternatively spliced transcript variants have been found for this gene, but the biological validity of some variants has not been determined. (provided by RefSeq)

Limitations

This product is for research use only and is not approved for use in humans or in clinical diagnosis. Primary Antibodies are guaranteed for 1 year from date of receipt.

Customers Who Viewed This Item Also Viewed...

NBP2-67327
Species: Hu, Mu, Rt
Applications: Flow, ICC/IF, IHC,  IHC-P, IP, WB
AF4259
Species: Hu, Mu, Rt
Applications: ICC, Simple Western, WB
NBP1-91258
Species: Bv, Ca, Eq, Fe, Hu, Mu, Po, Rt
Applications: ICC/IF, IHC, IHC-Fr,  IHC-P, Simple Western, WB
NB300-223
Species: Bv, Ca, Ch, Eq, Hu, Mu, Po, Rt
Applications: ICC/IF, IHC, IHC-Fr,  IHC-P, WB
AF3844
Species: Hu, Mu
Applications: IHC
AF2685
Species: Hu
Applications: IHC, Simple Western, WB
MAB17781
Species: Hu
Applications: Block, CyTOF-ready, Flow, ICC, IP, KO
NBP3-47384
Species: Hu, Mu, Rt
Applications: ELISA, IHC, WB
MAB4470
Species: All-Multi
Applications: Flow, ICC, IHC, WB
NBP1-89953
Species: Hu, Mu
Applications: ICC/IF, IHC,  IHC-P
AF748
Species: Hu, Mu
Applications: CyTOF-ready, Dual ISH-IHC, Flow, ICC, IHC, Simple Western, WB
NBP2-55090
Species: Hu
Applications: IHC,  IHC-P
NBP2-00555
Species: Hu, Mu, Rt
Applications: Flow, ICC/IF, IHC,  IHC-P, WB
AF887
Species: Hu, Mu, Rt
Applications: CyTOF-ready, IHC, ICFlow, Simple Western, WB
NBP2-15723
Species: Hu, Mu, Rt
Applications: ICC/IF, IHC,  IHC-P, IP, WB
AF1329
Species: Hu, Mu, Rt
Applications: ChIP, CyTOF-ready, ICC, IHC, ICFlow, Simple Western, WB
H00007791-M01
Species: Hu
Applications: ELISA, ICC/IF, IP, KD, WB
NBP1-58359
Species: Hu
Applications: IHC,  IHC-P, WB
NBP2-25160
Species: Bv, Ca, Eq, Hu, Mu, Po, Rt
Applications: ICC/IF, IHC, WB
AF1230
Species: Hu, Mu, Rt
Applications: IHC, KO, WB

Publications for Vinculin Antibody (NBP2-75708) (0)

There are no publications for Vinculin Antibody (NBP2-75708).
By submitting your publication information earn gift cards and discounts for future purchases.

Reviews for Vinculin Antibody (NBP2-75708) (0)

There are no reviews for Vinculin Antibody (NBP2-75708). By submitting a review you will receive an Amazon e-Gift Card or Novus Product Discount.
  • Review with no image -- $10/€7/£6/$10 CAD/¥70 Yuan/¥1110 Yen
  • Review with an image -- $25/€18/£15/$25 CAD/¥150 Yuan/¥2500 Yen

Product General Protocols

Find general support by application which include: protocols, troubleshooting, illustrated assays, videos and webinars.

Video Protocols

WB Video Protocol
ICC/IF Video Protocol

FAQs for Vinculin Antibody (NBP2-75708). (Showing 1 - 1 of 1 FAQ).

  1. Do you have any 100 coda or bigger controls?
    • I can recommend a couple of high weight antibodies that are conserved in most samples. Please verify the presence of the protein before using as a loading control. PARP1 or PARP is approximately 113kDa, and you may view the products we offer to PARP using this link. Vinculin is approximately 116kDa, and you may view the products we offer to Vinculin using this link.

Secondary Antibodies

 

Isotype Controls

Additional Vinculin Products

Research Areas for Vinculin Antibody (NBP2-75708)

Find related products by research area.

Blogs on Vinculin

There are no specific blogs for Vinculin, but you can read our latest blog posts.

Contact Information

Product PDFs

Calculators

Concentration Calculator

The concentration calculator allows you to quickly calculate the volume, mass or concentration of your vial. Simply enter your mass, volume, or concentration values for your reagent and the calculator will determine the rest.

=
÷

Review this Product

Be the first to review our Vinculin Antibody (JM42-43) and receive a gift card or discount.

Bioinformatics

Gene Symbol VCL