Vimentin Antibody (V9) - BSA Free

Images

 
Immunocytochemistry/ Immunofluorescence: Vimentin Antibody (V9) [NBP1-97670] - The effect of N-BLR knockdown on invasion by specific siRNAs. E-cadherin, vimentin, and ZEB1 were identified in vitro by immunofluorescence ...read more
Immunohistochemistry-Frozen: Vimentin Antibody (V9) [NBP1-97670] - Strong specific staining of connective tissue cells in a frozen tissue section of human colon. No reactivity in epithelial cells.
Flow Cytometry: Vimentin Antibody (V9) [NBP1-97670] - An intracellular stain was performed on Jurkat cells with Vimentin antibody (V9) NBP1-97670PE (blue) and a matched isotype control NBP2-27287PE (orange). Cells were ...read more
Immunocytochemistry/ Immunofluorescence: Vimentin Antibody (V9) [NBP1-97670] - Strong specific staining of glomeruli and connetive tissue in human kidney with in a 1:200 dilution. No reactivity in epithelial cells.
Immunocytochemistry/ Immunofluorescence: Vimentin Antibody (V9) [NBP1-97670] - Strong specific staining of connective tissue cells in swine colon with in a 1:200 dilution. No reactivity in epithelial cells.
Flow Cytometry: Vimentin Antibody (V9) [NBP1-97670] - Analysis of PE conjugate of NBP1-97670. An intracellular stain was performed on THP-1 cells with Vimentin antibody (V9) NBP1-97670PE (blue) and a matched isotype ...read more
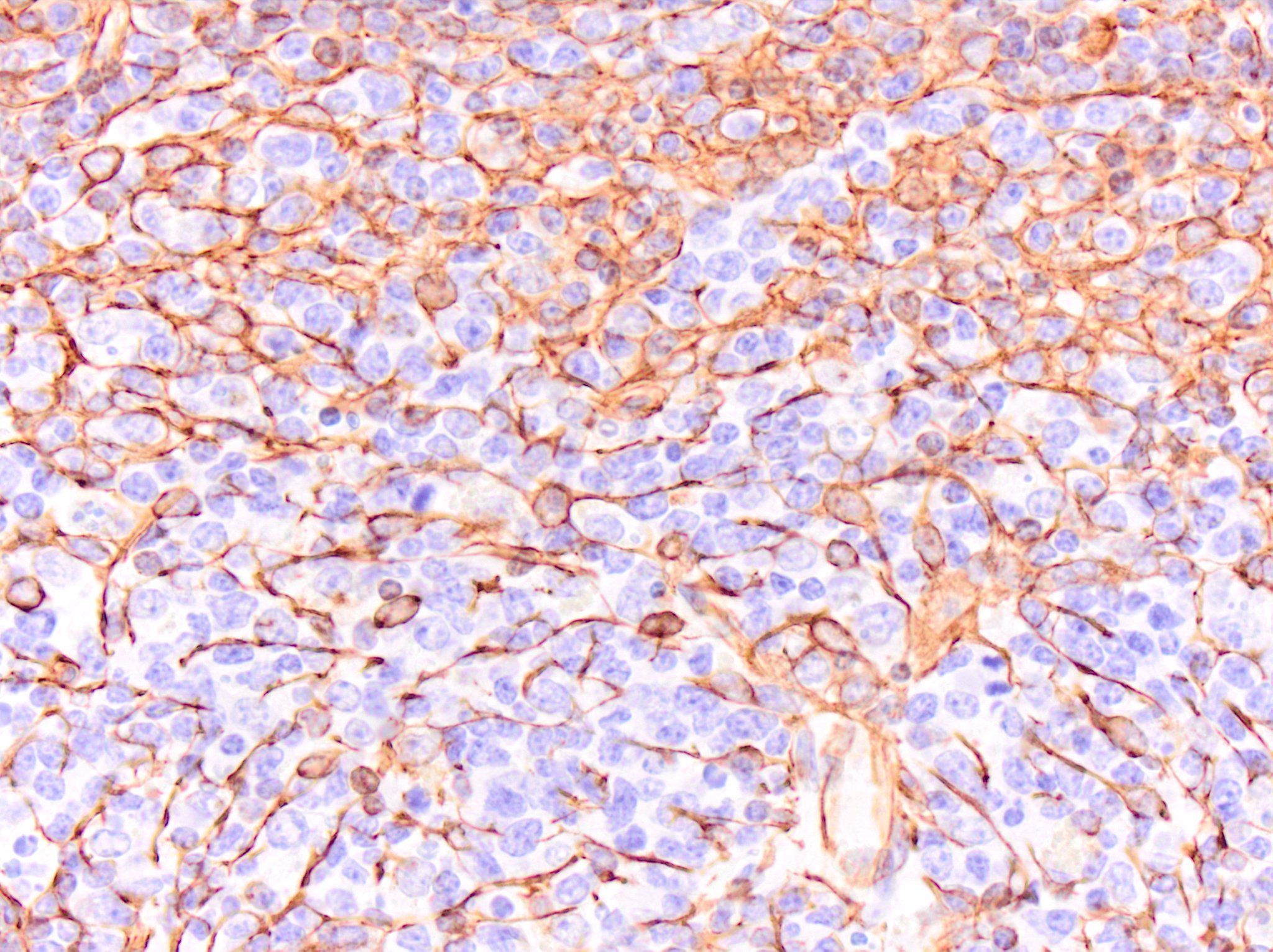
Immunohistochemistry-Paraffin: Vimentin Antibody (V9) [NBP1-97670] - Vimentin immunoreactivity in human tonsil. NBP1-97670 was diluted to 0.5ug/mL and was left on sections for 30m at room temperature. Secondary antibody ...read more
Immunohistochemistry-Paraffin: Vimentin Antibody (V9) [NBP1-97670] - Vimentin immunoreactivity in horse intestine. NBP1-97670 was used at a concentration of 0.5ug/mL and was left on slides for 30m at room temperature. ...read more
Immunohistochemistry-Paraffin: Vimentin Antibody (V9) [NBP1-97670] - Vimentin immunoreactivity in feline intestine. NBP1-97670 was used at a concentration of 0.5ug/mL. Secondary antibody was Horse Anti-Mouse HRP ...read more
Immunohistochemistry-Paraffin: Vimentin Antibody (V9) [NBP1-97670] - Vimentin immunoreactivity in canine intestine. NBP1-97670 was used at a concentration of 0.5ug/mL and was left on tissue sections for 30m at room ...read more
Immunohistochemistry-Paraffin: Mouse Monoclonal Vimentin Antibody (V9) [NBP1-97670] - Vimentin was stained in human FFPE tonsil tissue. HIER antigen retrieval at pH 9 for 20min was performed. Concentration used: 1:100. ...read more
Vimentin immunoreactivity in an FFPE section of cow lymph node. NBP1-97670 was diluted to 0.5ug/mL and was left on tissue sections for 30min at room temperature. Image from a verified customer review.

Product Details

Summary
Reactivity Hu, Rt, Bv, Ca, Ch, Eq, Fe, ShSpecies Glossary
Applications WB, Flow, ICC/IF, IHC, CyTOF-ready
Clone
V9
Clonality
Monoclonal
Host
Mouse
Conjugate
Unconjugated
Format
BSA Free
Concentration
1 mg/ml

Order Details

Vimentin Antibody (V9) - BSA Free Summary

Description
The antibody is shipped at ambient temperature and may be stored at 4C. For prolonged storage prepare appropriate aliquots and store at or below -20C. Prior to use, an aliquot is thawed slowly in the dark at ambient temperature, spun down again and used to prepare working dilutions by adding sterile phosphate buffered saline (PBS, pH 7.2). Repeated thawing and freezing should be avoided. Working dilutions should be stored at 4C, not refrozen, and preferably used the same day. If a slight precipitation occurs upon storage, this should be removed by centrifugation. It will not affect the performance or the concentration of the product.
Immunogen
This antibody is a mouse monoclonal IgG1 antibody derived by fusion of PAI Mouse myeloma cells with spleen cells from a BALB/c Mouse immunized with vimentin isolated from porcine lens.
Marker
Mesenchymal Cells Marker
Specificity
This antibody reacts exclusively with vimentin, which is expressed in mesenchymal cells and mesenchymal derived tumors e.g. lymphoma, sarcoma and melanoma.
Isotype
IgG1
Clonality
Monoclonal
Host
Mouse
Gene
VIM
Purity
Protein A or G purified
Innovator's Reward
Test in a species/application not listed above to receive a full credit towards a future purchase.

Applications/Dilutions

Dilutions
  • CyTOF-ready
  • Flow Cytometry 1:25-1:200
  • Immunocytochemistry/ Immunofluorescence 1:10-1:500
  • Immunohistochemistry 1:10-1:500
  • Immunohistochemistry-Frozen 1:25-1:200
  • Immunohistochemistry-Paraffin 1:25-1:200
  • Western Blot 1:100-1:1000
Application Notes
For staining paraffin-embedded tissues pretreatment by boiling tissue sections for 10 minutes in 10 mM citrate buffer (pH 6.0) is required. Optimal antibody dilution should be determined by titration; recommended range is 1:25 - 1:200 for flow cytometry, and for immunohistochemistry with avidin-biotinylated Horseradish peroxidase complex (ABC) as detection reagent, and 1:100 - 1:1000 for immunoblotting applications.

This antibody is CyTOF ready..
Theoretical MW
53.6 kDa.
Disclaimer note: The observed molecular weight of the protein may vary from the listed predicted molecular weight due to post translational modifications, post translation cleavages, relative charges, and other experimental factors.
Reviewed Applications
Read 5 Reviews rated 5
using
NBP1-97670 in the following applications:

Publications
Read Publications using
NBP1-97670 in the following applications:

Reactivity Notes

Reacts with Potoroo. Canine reactivity reported in scientific literature (PMID: 24664167). Feline, Bovine, and Equine reactivity reported from a verified customer review.

Packaging, Storage & Formulations

Storage
Store at 4C short term. Aliquot and store at -20C long term. Avoid freeze-thaw cycles.
Buffer
PBS, pH 7.2
Preservative
0.09% Sodium Azide
Concentration
1 mg/ml
Purity
Protein A or G purified

Alternate Names for Vimentin Antibody (V9) - BSA Free

  • epididymis secretory sperm binding protein
  • FLJ36605
  • VIM
  • Vimentin

Background

Vimentin is a type III intermediate filament (IF) protein, encoded by the VIM gene, that plays an essential role in cytoskeletal function and is largely expressed by mesenchymal cell such as endothelial cells, fibroblasts, and immune cells (1). Human vimentin monomer protein is 466 amino acids (aa) in length with a theoretical molecular weight of ~54 kDa (2). Vimentin protein contains a central rod domain composed of four alpha-helices which is flanked by an N-terminal head domain and C-terminal tail domain (1,3). Vimentin monomers dimerize to form more complex structures resulting in the assembly of eight tetramers, referred to as unit-length filaments, which then assemble into full-length intermediate filaments that are 10-12 nm wide (1,3,4).

Activated macrophages have been shown to secrete phosphorylated vimentin which can be stimulated by a variety of pathophysiological factors including oxidized low-density lipoproteins and TNF-alpha or inhibited by IL-10 (1). The vimentin protein is often expressed at the cell surface playing a role in cell-cell interactions, tissue damage and repair, immune response, and pathogen recognition (1). Vimentin functions in many cytoskeletal processes including cell migration, which is highlighted by its upregulation during epithelial-to-mesenchymal transition (EMT) (4,5). Vimentin is a commonly used marker for EMT and is expressed by many tumor types (5). For example, high metastasis of oral squamous cell carcinomas also showed high vimentin positive expression in immunohistochemical staining analysis (5). A number of vimentin targeting compounds are in cancer-related clinical trials, however, given the multifunctional role of vimentin, the effect of inhibition on non-malignant cells needs to be thoroughly examined (5).

References

1. Ramos, I., Stamatakis, K., Oeste, C. L., & Perez-Sala, D. (2020). Vimentin as a Multifaceted Player and Potential Therapeutic Target in Viral Infections. International Journal of Molecular Sciences. https://doi.org/10.3390/ijms21134675

2. Uniprot (P08670)

3. Morrow, C. S., & Moore, D. L. (2020). Vimentin's side gig: Regulating cellular proteostasis in mammalian systems. Cytoskeleton (Hoboken, N.J.). https://doi.org/10.1002/cm.21645

4. van Bodegraven, E. J., & Etienne-Manneville, S. (2020). Intermediate filaments against actomyosin: the david and goliath of cell migration. Current Opinion in Cell Biology. https://doi.org/10.1016/j.ceb.2020.05.006

5. Strouhalova, K., Prechova, M., Gandalovicova, A., Brabek, J., Gregor, M., & Rosel, D. (2020). Vimentin Intermediate Filaments as Potential Target for Cancer Treatment. Cancers. https://doi.org/10.3390/cancers12010184

Limitations

This product is for research use only and is not approved for use in humans or in clinical diagnosis. Primary Antibodies are guaranteed for 1 year from date of receipt.

Customers Who Viewed This Item Also Viewed...

AF3844
Species: Hu, Mu
Applications: IHC
NB300-141
Species: Bv, Ch, Eq, Gp, Hu, Mu, Po, Rb, Rt
Applications: ICC/IF, IHC, IHC-Fr,  IHC-P, Simple Western, WB
NB120-22711
Species: Hu, Mu
Applications: ELISA, Flow, ICC/IF, IHC, IHC-Fr,  IHC-P
AF4117
Species: Rt
Applications: IHC, WB
NB110-58870
Species: Hu, Mu, Rt
Applications: ICC/IF, IHC, KD, Simple Western, WB
AF748
Species: Hu, Mu
Applications: CyTOF-ready, Dual ISH-IHC, Flow, ICC, IHC, Simple Western, WB
NBP1-84854
Species: Hu, Mu, Rt
Applications: ICC/IF, IHC,  IHC-P, KD, WB
NBP1-87102
Species: Hu, Mu, Rt
Applications: ICC/IF, IHC,  IHC-P, WB
NBP1-87103
Species: Hu, Mu
Applications: IHC,  IHC-P, WB
NBP1-91258
Species: Bv, Ca, Eq, Fe, Hu, Mu, Po, Rt
Applications: ICC/IF, IHC, IHC-Fr,  IHC-P, Simple Western, WB
NBP1-83976
Species: Hu
Applications: ICC/IF, IHC,  IHC-P
NB100-807
Species: Hu
Applications: ICC/IF, PEP-ELISA, WB
AF1356
Species: Hu, Mu
Applications: CyTOF-ready, Dual ISH-IHC, Flow, IHC, Simple Western, WB
NB300-653
Species: Ch, Fe, Hu, Pm, Mu, Rt
Applications: ELISA, ICC/IF, IHC, IHC-Fr,  IHC-P, IP, WB
NB200-103
Species: Hu, Mu, Rt, Xp(-), Ye
Applications: CyTOF-ready, ELISA, Flow-IC, Flow, ICC/IF, IHC, IHC-Fr,  IHC-P, IP, WB
NBP2-79843
Species: Hu
Applications: CyTOF-ready, ELISA, Flow, ICC/IF, IHC,  IHC-P, PA, WB
NB100-524
Species: Hu, Mu
Applications: Flow-IC, Flow, ICC/IF, IHC, IHC-Fr,  IHC-P, IP, WB
NBP1-97670
Species: Hu, Rt, Bv, Ca, Ch, Eq, Fe, Sh
Applications: WB, Flow, ICC/IF, IHC, CyTOF-ready

Publications for Vimentin Antibody (NBP1-97670)(5)

Reviews for Vimentin Antibody (NBP1-97670) (5) 55

Average Rating: 5
(Based on 5 reviews)
We have 5 reviews tested in 5 species: Human, Canine, Cow, Equine, Feline.

Reviews using NBP1-97670:
Filter by Applications
 IHC-P
(5)
All Applications
Filter by Species
Human
(1)
Canine
(1)
Cow
(1)
Equine
(1)
Feline
(1)
All Species
Images Ratings Applications Species Date Details
Immunohistochemistry-Paraffin Vimentin NBP1-97670
Enlarge
5
reviewed by:
Verified Customer
 IHC-P Cow 06/30/2025
View

Summary

ApplicationImmunohistochemistry-Paraffin
Sample TestedLymph Node
SpeciesCow
Lot18495

Comments

Comments***Bio-Techne Response: This review reflects a new species or application tested on a primary antibody.***
Immunohistochemistry-Paraffin Vimentin NBP1-97670
Enlarge
5
reviewed by:
Verified Customer
 IHC-P Human 06/05/2023
View

Summary

ApplicationImmunohistochemistry-Paraffin
Sample TestedTonsil
SpeciesHuman
Lot18495
Immunohistochemistry-Paraffin Vimentin NBP1-97670
Enlarge
5
reviewed by:
Verified Customer
 IHC-P Equine 06/05/2023
View

Summary

ApplicationImmunohistochemistry-Paraffin
Sample TestedIntestine
SpeciesEquine
Lot18495

Comments

Comments***Bio-Techne Response: This review was submitted through the legacy Novus Innovators Program, reflecting a new species or application tested on a primary antibody.***
Immunohistochemistry-Paraffin Vimentin NBP1-97670
Enlarge
5
reviewed by:
Verified Customer
 IHC-P Feline 06/05/2023
View

Summary

ApplicationImmunohistochemistry-Paraffin
Sample TestedIntestine
SpeciesFeline
Lot18495

Comments

Comments***Bio-Techne Response: This review was submitted through the legacy Novus Innovators Program, reflecting a new species or application tested on a primary antibody.*** Requires heat-induced epitope retrieval. I used Target Retrieval Solution heated to 95 degrees Celsius using a vegetable steamer. Slides were left in pre-heated solution for 20m.
Immunohistochemistry-Paraffin Vimentin NBP1-97670
Enlarge
5
reviewed by:
Verified Customer
 IHC-P Canine 06/05/2023
View

Summary

ApplicationImmunohistochemistry-Paraffin
Sample TestedIntestine
SpeciesCanine
Lot18495

Product General Protocols

Video Protocols

WB Video Protocol
ICC/IF Video Protocol

FAQs for Vimentin Antibody (NBP1-97670) (0)

There are no specific FAQs related to this product. Read our general customer & technical service FAQs.

Secondary Antibodies

 

Isotype Controls

Additional Vimentin Products

Research Areas for Vimentin Antibody (NBP1-97670)

Find related products by research area.

Blogs on Vimentin. Showing 1-10 of 14 blog posts - Show all blog posts.

Taking Biomarker Discovery From 2D to 3D: Increased Biological Activity of EVs Isolated From 3D Prostate Cancer Cultures
Jamshed Arslan, Pharm D, PhD Tissues within the human body are made of a three-dimensional (3D) arrangement of cells working together to perform vital functions. The commonly used 2D monolayer cultures have limited ...  Read full blog post.


  Read full blog post.

Antibody treatment can generate microglia-like cells from bone marrow
By Jennifer Sokolowski, MD, PhD.Microglia play important roles in the brain in both homeostatic and pathological conditions, acting to clear debris and dying cells. There is evidence to suggest that microglial dys...  Read full blog post.

Stemness is responsible for onset and metastasis of colorectal cancer
By Jamshed Arslan, Pharm. D., PhD. Colorectal cancer stem cells are a rare subpopulation of colorectal cancer cells that can self-renew and initiate and sustain tumor growth when transplanted into an animal host.1,2 C...  Read full blog post.

The use of Beta Actin (AC-15) as a loading control across multiple species
Actin is a fundamental component of the cytoskeleton, where it has the ability to create and break down actin filament formation in response to various cell needs.  Actin has six highly conserved isoforms, however beta and gamma actin are the two...  Read full blog post.

The use of actin as a loading control in research on fruiting-body development and vegetative growth in Sordaria macrospora research
Sordaria macrospora is a filamentous fungus that serves as very useful system for scientific research due to a short life cycle and easy manipulation.  Just like any other model organism, it is important to have an effective loading control to va...  Read full blog post.

Alpha-smooth muscle actin and the modulation of endothelial and epithelial cell biology
Actin is essential for a wide range of cell functions, ranging from cell division and chromatin remodeling to vesicle trafficking and maintenance of cellular structure. In fact, mislocalization of actin to cell junctions during development leads t...  Read full blog post.

Epithelial-Mesenchymal Transition (EMT) Markers
Epithelial-Mesenchymal Transition (EMT) is the trans-differentiation of stationary epithelial cells into motile mesenchymal cells. During EMT, epithelial cells lose their junctions and apical-basal polarity, reorganize their cytoskeleton, undergo a...  Read full blog post.

CD63: is it pro-metastatic or anti-metastatic?
CD63 is a type II membrane protein belonging to tetraspanin superfamily and it play key roles in the activation of several cellular signaling cascades along with acting as TIMP1 receptor. It is expressed by activated platelets, monocytes,...  Read full blog post.

Vimentin: Regulating EMT and Cancer
Vimentin, a member of the intermediate filament (IF) family, is a protein responsible for maintaining cellular integrity and reducing damage caused by stress. The vimentin protein is ubiquitously expressed in normal mesenchymal cells, and recent resea...  Read full blog post.

Showing 1-10 of 14 blog posts - Show all blog posts.

Customers Who Bought This Also Bought

Contact Information

Product PDFs

Calculators

Concentration Calculator

The concentration calculator allows you to quickly calculate the volume, mass or concentration of your vial. Simply enter your mass, volume, or concentration values for your reagent and the calculator will determine the rest.

=
÷

Recent Reviews

5
5
5
4
0
3
0
2
0
1
0

Verified Customer
06/30/2025
Application:  IHC-P
Species: Cow

Verified Customer
06/05/2023
Application:  IHC-P
Species: Human

Verified Customer
06/05/2023
Application:  IHC-P
Species: Equine

Bioinformatics

Gene Symbol VIM