VAP-1/AOC3 Antibody - BSA Free

Images

 
Immunohistochemistry-Paraffin: VAP-1/AOC3 Antibody [NBP1-89671] - Equine endometrium. All vascular smooth muscle was positively stained. IHC-P image submitted by a verified customer review.
Orthogonal Strategies: Analysis in human lung and skeletal muscle tissues using NBP1-89671 antibody. Corresponding AOC3 RNA-seq data are presented for the same tissues.
Staining of human lung shows strong cytoplasmic positivity in pneumocytes.
Staining of human skeletal muscle shows no positivity in myocytes as expected.
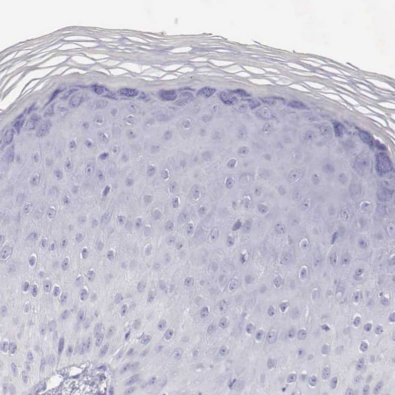
Staining of human skin shows no positivity in squamous epithelial cells as expected.
Staining of human prostate shows moderate membranous positivity in smooth muscle cells.
Analysis in human lung tissue.

Product Details

Summary
Reactivity Hu, EqSpecies Glossary
Applications WB, IHC
Clonality
Polyclonal
Host
Rabbit
Conjugate
Unconjugated
Format
BSA Free
Validated by:
       

Orthogonal Strategies

 

Order Details

VAP-1/AOC3 Antibody - BSA Free Summary

Description
Novus Biologicals Rabbit VAP-1/AOC3 Antibody - BSA Free (NBP1-89671) is a polyclonal antibody validated for use in IHC and WB. Anti-VAP-1/AOC3 Antibody: Cited in 2 publications. All Novus Biologicals antibodies are covered by our 100% guarantee.
Immunogen
This antibody was developed against Recombinant Protein corresponding to amino acids: DIDQMIFNRELPQASGLLHHCCFYKHRGRNLVTMTTAPRGLQSGDRATWFGLYYNISGAGFFLHHVGLELLVNHKALDPARWTIQKVFYQGRYYDSLAQLEAQFEAGLVNVVLI
Isotype
IgG
Clonality
Polyclonal
Host
Rabbit
Gene
AOC3
Purity
Immunogen affinity purified
Innovator's Reward
Test in a species/application not listed above to receive a full credit towards a future purchase.

Applications/Dilutions

Dilutions
  • Immunohistochemistry 1:50 - 1:200
  • Immunohistochemistry-Paraffin 1:50 - 1:200
  • Western Blot 0.04-0.4 ug/ml
Application Notes
For IHC-Paraffin, HIER pH 6 retrieval is recommended.
Control Peptide
VAP-1/AOC3 Protein (NBP1-89671PEP)
Reviewed Applications
Read 1 Review rated 5
using
NBP1-89671 in the following applications:

Publications
Read Publications using
NBP1-89671 in the following applications:

Reactivity Notes

Immunogen displays the following percentage of sequence identity for non-tested species: Mouse (84%), Rat (82%). Human reactivity reported in scientific literature (PMID: 25562318). Equine reactivity reported from a verified customer review.

Packaging, Storage & Formulations

Storage
Store at 4C short term. Aliquot and store at -20C long term. Avoid freeze-thaw cycles.
Buffer
PBS (pH 7.2) and 40% Glycerol
Preservative
0.02% Sodium Azide
Purity
Immunogen affinity purified

Alternate Names for VAP-1/AOC3 Antibody - BSA Free

  • amine oxidase, copper containing 3 (vascular adhesion protein 1)
  • AOC3
  • Copper amine oxidase
  • EC 1.4.3
  • HPAO
  • HPAOSSAO
  • Semicarbazide-sensitive amine oxidase
  • SSAO
  • VAP1
  • VAP-1
  • VAP1EC 1.4.3.21
  • VAP-1membrane primary amine oxidase
  • Vascular adhesion protein 1

Background

Copper amine oxidases catalyze the oxidative conversion of amines to aldehydes in the presence of copper and quinone cofactor. The product is a major protein on the adipocyte plasma membrane. It has adhesive properties and also has functional monoamine oxidase activity. A pseudogene for this gene has been described and is located approximately 9-kb downstream.

Limitations

This product is for research use only and is not approved for use in humans or in clinical diagnosis. Primary Antibodies are guaranteed for 1 year from date of receipt.

Customers Who Viewed This Item Also Viewed...

NBP2-38868
Species: Hu
Applications: ICC/IF, IHC,  IHC-P, WB
NBP1-87493
Species: Hu, Mu, Rt
Applications: IHC,  IHC-P, WB
MAB1417
Species: Bv, Hu, Mu
Applications: ICC, IHC
NB100-2527
Species: Hu, Mu, Po, Rt
Applications: ICC/IF, IHC,  IHC-P, KD, Simple Western, WB
NBP1-81838
Species: Hu, Mu
Applications: IHC,  IHC-P, WB
AF3398
Species: Hu, Mu, Rt
Applications: ICC, KO, Simple Western, WB
AF796
Species: Mu
Applications: AdBlk, IHC, WB
NBP1-49533
Species: Hu, Mu, Pl, Rt
Applications: Flow-IC, Flow, ICC/IF, IHC,  IHC-P, KD, WB
6056-MC
Species: Hu
Applications: BA
BBA16
Species: Hu
Applications: ELISA(Cap), ELISA(Det), ELISA(Sta), Flow, ICC, IHC, IP, WB
NB100-2076
Species: Bv, Fe, Hu, Rb
Applications: ICC/IF, IHC, IHC-Fr,  IHC-P, WB
137-PS
Species: Hu
Applications: BA
H00000314-Q01
Species: Hu
Applications: ELISA, AP, PA, WB
AF3628
Species: Hu, Mu, Rt
Applications: CyTOF-ready, Flow, ICC, IHC, Simple Western, WB
AF1513
Species: Mu
Applications: CyTOF-ready, Flow, IHC, IP, Simple Western, WB
NBP2-94035
Species: Hu, Mu, Rt
Applications: ChIP, ELISA, ICC/IF, IHC,  IHC-P, WB
NB110-41083
Species: Hu
Applications: ChIP, ELISA, ICC/IF, WB

Publications for VAP-1/AOC3 Antibody (NBP1-89671)(2)

We have publications tested in 1 confirmed species: Human.

We have publications tested in 1 application: IF/IHC.


Filter By Application
IF/IHC
(1)
All Applications
Filter By Species
Human
(1)
All Species

Review for VAP-1/AOC3 Antibody (NBP1-89671) (1) 51

Average Rating: 5
(Based on 1 review)
We have 1 review tested in 1 species: Equine.

Reviews using NBP1-89671:
Filter by Applications
 IHC-P
(1)
All Applications
Filter by Species
Equine
(1)
All Species
Images Ratings Applications Species Date Details
Immunohistochemistry-Paraffin VAP-1/AOC3 NBP1-89671
Enlarge
5
reviewed by:
Verified Customer
 IHC-P Equine 02/20/2020
View

Summary

ApplicationImmunohistochemistry-Paraffin
Sample TestedEndometrium
SpeciesEquine
LotC117560

Product General Protocols

Find general support by application which include: protocols, troubleshooting, illustrated assays, videos and webinars.

Video Protocols

WB Video Protocol

FAQs for VAP-1/AOC3 Antibody (NBP1-89671) (0)

There are no specific FAQs related to this product. Read our general customer & technical service FAQs.

Secondary Antibodies

 

Isotype Controls

Additional VAP-1/AOC3 Products

Research Areas for VAP-1/AOC3 Antibody (NBP1-89671)

Find related products by research area.

Blogs on VAP-1/AOC3

There are no specific blogs for VAP-1/AOC3, but you can read our latest blog posts.

Customers Who Bought This Also Bought

Contact Information

Product PDFs

Calculators

Concentration Calculator

The concentration calculator allows you to quickly calculate the volume, mass or concentration of your vial. Simply enter your mass, volume, or concentration values for your reagent and the calculator will determine the rest.

=
÷

Recent Reviews

5
5
1
4
0
3
0
2
0
1
0

Verified Customer
02/20/2020
Application:  IHC-P
Species: Equine

Bioinformatics

Gene Symbol AOC3