USP21 Antibody

Images

 
Western Blot: USP21 Antibody [NBP2-75701] - Analysis of USP21 on mouse thymus tissue lysate using anti-USP21 antibody at 1/200 dilution.
Immunocytochemistry/ Immunofluorescence: USP21 Antibody [NBP2-75701] - Staining USP21 in SH-SY-5Y cells (green). The nuclear counter stain is DAPI (blue). Cells were fixed in paraformaldehyde, permeabilised with 0.25% ...read more
Immunohistochemistry-Paraffin: USP21 Antibody [NBP2-75701] - Analysis of paraffin-embedded human fetal skeletal muscle tissue using anti-USP21 antibody. Counter stained with hematoxylin.
Flow Cytometry: USP21 Antibody [NBP2-75701] - Analysis of SH-SY-5Y cells with USP21 antibody at 1/100 dilution (red) compared with an unlabelled control (cells without incubation with primary antibody; black). Alexa ...read more
Immunocytochemistry/ Immunofluorescence: USP21 Antibody [NBP2-75701] - Staining USP21 in PC-3M cells (green). The nuclear counter stain is DAPI (blue). Cells were fixed in paraformaldehyde, permeabilised with 0.25% ...read more
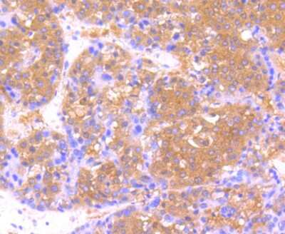
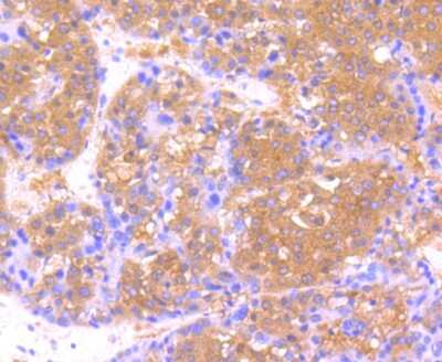
Immunohistochemistry-Paraffin: USP21 Antibody [NBP2-75701] - Analysis of paraffin-embedded human liver cancer tissue using anti-USP21 antibody. Counter stained with hematoxylin.
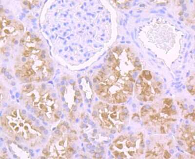
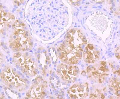
Immunohistochemistry-Paraffin: USP21 Antibody [NBP2-75701] - Analysis of paraffin-embedded human kidney tissue using anti-USP21 antibody. Counter stained with hematoxylin.

Product Details

Summary
Product Discontinued
View other related USP21 Primary Antibodies

Order Details


    • Catalog Number
      NBP2-75701
    • Availability
      Product Discontinued

    Can't find what you are looking for? Use our Antibody Concierge Service & we will help you locate your antibody!

    Or feel free to contact us for alternative products.

USP21 Antibody Summary

Immunogen
Synthetic peptide within Human USP21 aa 1-50 / 565. (SwissProt: Q9UK80 Human; SwissProt: Q9QZL6 Mouse; SwissProt: B2GUX4 Rat)
Localization
Cytoplasm. Nucleus.
Isotype
IgG
Clonality
Polyclonal
Host
Rabbit
Gene
USP21
Purity
Immunogen affinity purified
Innovator's Reward
Test in a species/application not listed above to receive a full credit towards a future purchase.

Applications/Dilutions

Dilutions
  • Flow Cytometry 1:50-1:100
  • Immunocytochemistry/ Immunofluorescence 1:500-1:2000
  • Immunohistochemistry
  • Immunohistochemistry-Paraffin 1:50-1:200
  • Western Blot 1:500
Theoretical MW
63 kDa.
Disclaimer note: The observed molecular weight of the protein may vary from the listed predicted molecular weight due to post translational modifications, post translation cleavages, relative charges, and other experimental factors.

Packaging, Storage & Formulations

Storage
Store at 4C short term. Aliquot and store at -20C long term. Avoid freeze-thaw cycles.
Buffer
PBS (pH7.4), 0.2% BSA, 50% Glycerol
Preservative
0.05% Sodium Azide
Concentration
1 mg/ml
Purity
Immunogen affinity purified

Alternate Names for USP21 Antibody

  • Deubiquitinating enzyme 21
  • EC 3.1.2.15
  • EC 3.4.19.12
  • ESTM28
  • MGC3394
  • ubiquitin carboxyl-terminal hydrolase 21
  • ubiquitin specific peptidase 21
  • ubiquitin specific protease 21
  • ubiquitin thioesterase 21
  • Ubiquitin thiolesterase 21
  • ubiquitin-specific processing protease 21
  • ubiquitin-specific protease 16
  • Ubiquitin-specific-processing protease 21
  • USP16
  • USP21
  • USP23
  • USP23NEDD8-specific protease
  • W53272

Background

USP21 encodes a member of the C19 peptidase family, also known as family 2 of ubiquitin carboxy-terminal hydrolases. The encoded protein cleaves ubiquitin from ubiquitinated proteins for recycling in intracellular protein degradation. The encoded protein is also able to release NEDD8, a ubiquitin-like protein, from NEDD8-conjugated proteins. This gene has been referred to as USP16 and USP23 but is now known as USP21. Alternatively spliced transcript variants have been described.

Limitations

This product is for research use only and is not approved for use in humans or in clinical diagnosis. Primary Antibodies are guaranteed for 1 year from date of receipt.

Customers Who Viewed This Item Also Viewed...

NBP1-86037
Species: Hu
Applications: ICC/IF, IHC,  IHC-P, WB
AF7760
Species: Hu, Mu, Rt
Applications: WB
UL-812
Species: Hu, Mu, Rt
Applications: EnzAct
NB100-56346
Species: Hu, Mu, Sh
Applications: ELISA, Flow, IHC,  IHC-P, WB
NBP1-91705
Species: Hu, Mu, Rt
Applications: ICC/IF, IHC,  IHC-P, WB
NBP1-77077
Species: Hu, Mu, Rt
Applications: ELISA, ICC/IF, IHC,  IHC-P, KD, WB
NBP2-14835
Species: Hu, Mu
Applications: ICC/IF, IHC,  IHC-P, WB
NBP3-16092
Species: Hu, Mu, Rt
Applications: ELISA, ICC/IF, IHC,  IHC-P, WB
NBP2-21037
Species: Hu
Applications: IHC,  IHC-P, WB
NBP2-31361
Species: Hu
Applications: IHC,  IHC-P, WB
NBP1-81988
Species: Hu
Applications: IHC,  IHC-P
H00056672-B01P
Species: Hu
Applications: ICC/IF, WB
NB100-56343
Species: Hu, Mu
Applications: ChIP, ChIP, ICC/IF, IP, Simple Western, WB
NB600-607
Species: Hu, Rt
Applications: ELISA, IHC,  IHC-P, WB
NBP2-02648
Species: Ca, Hu, Pm, Mu, Rt
Applications: IHC,  IHC-P, WB
H00143384-P01
Species: Hu
Applications: ELISA, AP, PA, PAGE, WB
NBP1-51641
Species: Hu, Mu, Pm, Rb, Rt
Applications: ELISA, Flow-IC, Flow, ICC/IF, IHC-FrFl, IHC,  IHC-P, WB
AF5588
Species: Hu, Mu
Applications: IHC, WB
NBP2-75701
Species: Hu, Mu, Rt
Applications: WB, Flow, ICC/IF, IHC

Publications for USP21 Antibody (NBP2-75701) (0)

There are no publications for USP21 Antibody (NBP2-75701).
By submitting your publication information earn gift cards and discounts for future purchases.

Reviews for USP21 Antibody (NBP2-75701) (0)

There are no reviews for USP21 Antibody (NBP2-75701). By submitting a review you will receive an Amazon e-Gift Card or Novus Product Discount.
  • Review with no image -- $10/€7/£6/$10 CAD/¥70 Yuan/¥1110 Yen
  • Review with an image -- $25/€18/£15/$25 CAD/¥150 Yuan/¥2500 Yen

Product General Protocols

Find general support by application which include: protocols, troubleshooting, illustrated assays, videos and webinars.

Video Protocols

WB Video Protocol
ICC/IF Video Protocol

FAQs for USP21 Antibody (NBP2-75701) (0)

There are no specific FAQs related to this product. Read our general customer & technical service FAQs.

Secondary Antibodies

 

Isotype Controls

Additional USP21 Products

Research Areas for USP21 Antibody (NBP2-75701)

Find related products by research area.

Blogs on USP21

There are no specific blogs for USP21, but you can read our latest blog posts.

Contact Information

Product PDFs

Calculators

Concentration Calculator

The concentration calculator allows you to quickly calculate the volume, mass or concentration of your vial. Simply enter your mass, volume, or concentration values for your reagent and the calculator will determine the rest.

=
÷

Review this Product

Be the first to review our USP21 Antibody and receive a gift card or discount.

Bioinformatics

Gene Symbol USP21