UNC45A Antibody - BSA Free

Images

 
Western Blot: UNC45A Antibody [NBP2-13506] - Lane 1: Marker [kDa] 250, 130, 95, 72, 55, 36, 28, 17, 10. Lane 2: Human cell line RT-4. Lane 3: Human cell line U-251MG sp
Immunocytochemistry/ Immunofluorescence: UNC45A Antibody [NBP2-13506] - Staining of human cell line HEK 293 shows positivity in cytoplasm and golgi apparatus.
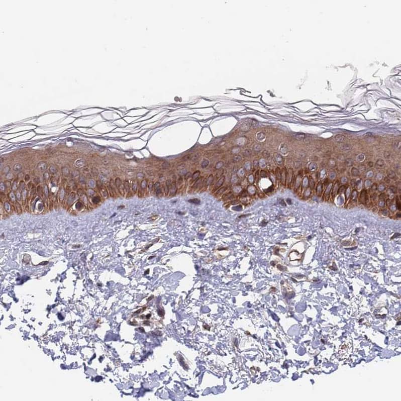
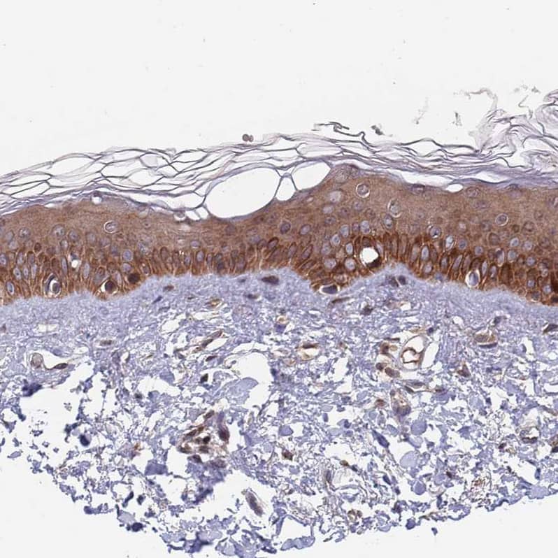
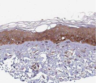
Immunohistochemistry-Paraffin: UNC45A Antibody [NBP2-13506] - Staining of human skin shows strong cytoplasmic positivity in squamous epithelial cells.
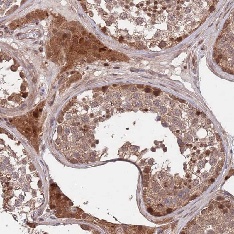
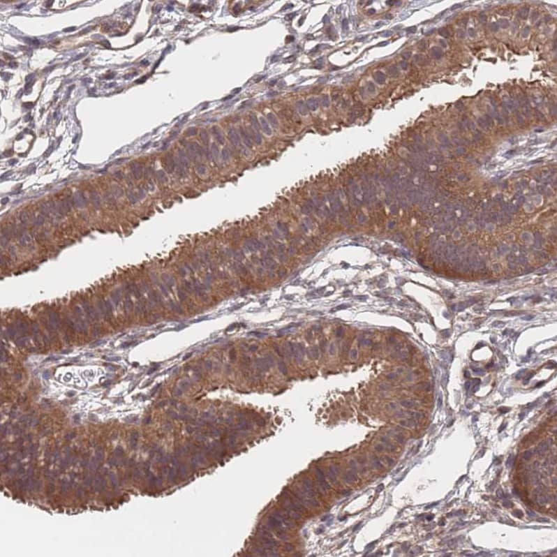
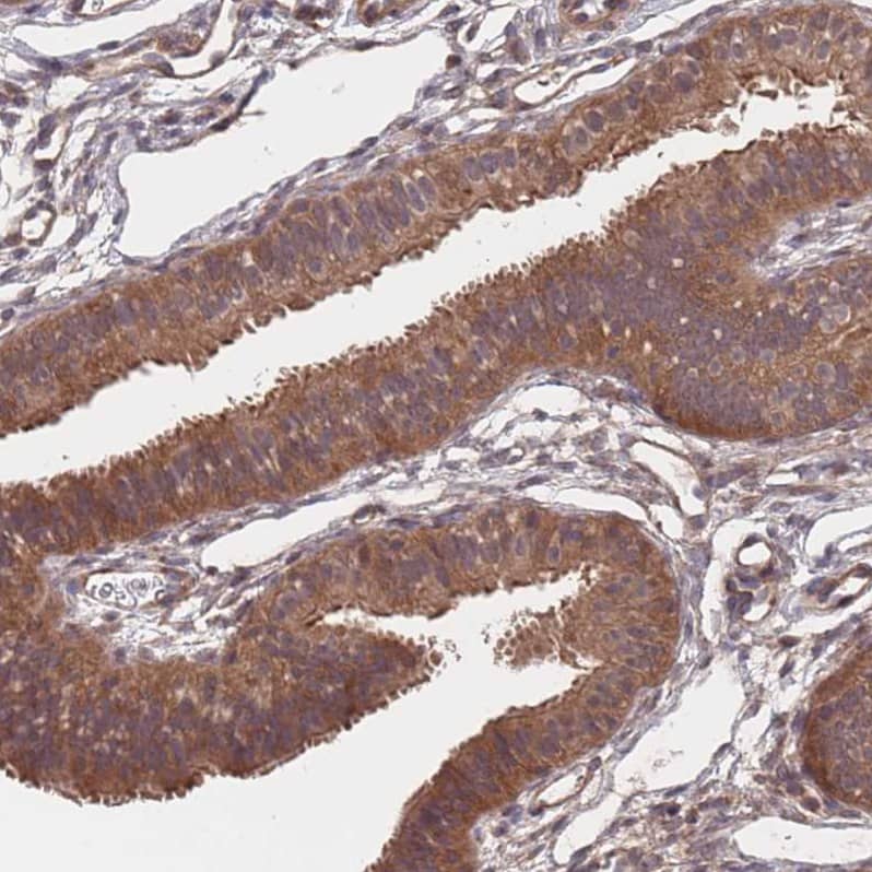
Immunohistochemistry-Paraffin: UNC45A Antibody [NBP2-13506] - Staining of human fallopian tube shows strong cytoplasmic positivity in glandular cells.
Staining of human Small intestine shows strong cytoplasmic positivity in glandular cells.
Lane 1: Marker [kDa] 250, 130, 95, 72, 55, 36, 28, 17, 10Lane 2: Human cell line RT-4Lane 3: Human cell line U-251MG sp
Staining of human Fallopian tube shows strong cytoplasmic positivity in glandular cells.
Staining of human Skin shows strong cytoplasmic positivity in squamous epithelial cells.
Staining of human Testis shows moderate nuclear and cytoplasmic positivity in cells in seminiferous ducts and Leydig cells.

Product Details

Summary
Reactivity HuSpecies Glossary
Applications WB, ICC/IF, IHC
Clonality
Polyclonal
Host
Rabbit
Conjugate
Unconjugated
Format
BSA Free

Order Details

View Available Formulations
Catalog# & Formulation Size Price

UNC45A Antibody - BSA Free Summary

Description
Novus Biologicals Rabbit UNC45A Antibody - BSA Free (NBP2-13506) is a polyclonal antibody validated for use in IHC, WB and ICC/IF. All Novus Biologicals antibodies are covered by our 100% guarantee.
Immunogen
This antibody was developed against a recombinant protein corresponding to the amino acids: QELQHRGAVVVLNMVEASREIASTLMESEMMEILSVLAKGDHSPVTRAAAACLDKAVEYGLIQPNQDG
Isotype
IgG
Clonality
Polyclonal
Host
Rabbit
Gene
UNC45A
Purity
Affinity purified
Innovator's Reward
Test in a species/application not listed above to receive a full credit towards a future purchase.

Applications/Dilutions

Dilutions
  • Immunocytochemistry/ Immunofluorescence 0.25-2 ug/ml
  • Immunohistochemistry 1:500 - 1:1000
  • Immunohistochemistry-Paraffin 1:500 - 1:1000
  • Western Blot 0.04-0.4 ug/ml
Application Notes
For IHC-Paraffin, HIER pH 6 retrieval is recommended. ICC/IF, Fixation Permeabilization: Use PFA/Triton X-100.
Control Peptide
UNC45A Protein (NBP2-13506PEP)

Reactivity Notes

Immunogen displays the following percentage of sequence identity for non-tested species: Mouse (82%), Rat (84%)

Packaging, Storage & Formulations

Storage
Store at 4C short term. Aliquot and store at -20C long term. Avoid freeze-thaw cycles.
Buffer
PBS (pH 7.2) and 40% Glycerol
Preservative
0.02% Sodium Azide
Purity
Affinity purified

Alternate Names for UNC45A Antibody - BSA Free

  • FLJ10043
  • GCUNC45
  • GC-UNC45
  • GCUNC-45
  • general cell UNC45
  • protein unc-45 homolog A
  • SMAP-1IRO039700
  • SMAP1UNC-45A
  • smooth muscle cell associated protein-1
  • Smooth muscle cell-associated protein 1
  • unc-45 homolog A (C. elegans)
  • Unc-45A

Background

UNC45A plays a role in cell proliferation and myoblast fusion, binds progesterone receptor (PGR; MIM 607311) and HSP90 (HSPCA; MIM 140571), and acts as a regulator of the progesterone receptor chaperoning pathway (Price et al., 2002 [PubMed 12356907]; Chadli et al., 2006 [PubMed 16478993]).[supplied by OMIM]

Limitations

This product is for research use only and is not approved for use in humans or in clinical diagnosis. Primary Antibodies are guaranteed for 1 year from date of receipt.

Customers Who Viewed This Item Also Viewed...

AF5415
Species: Hu
Applications: ICC, IHC, Simple Western, WB
H00146862-B01P
Species: Hu, Rb
Applications: ICC/IF, IHC, IHC-Fr,  IHC-P, WB
NB100-79781
Species: Hu
Applications: IHC,  IHC-P, IP, WB
NBP2-41263
Species: Hu, Mu, Rt
Applications: ELISA, ICC/IF, IHC,  IHC-P, WB
MAB5140
Species: Hu
Applications: IHC
NB120-2928
Species: Hu, Mu, Pm, Rb, Rt, Sh
Applications: ICC/IF, IHC,  IHC-P, IP, WB
NBP1-80737
Species: Hu, Mu, Rt
Applications: IHC,  IHC-P, WB
NB110-96874
Species: Ca, Ha, Hu, Mu, Rt
Applications: ICC/IF, IHC,  IHC-P, IP, WB
MAB4470
Species: All-Multi
Applications: Flow, ICC, IHC, WB
NB200-106
Species: Mu, Rt
Applications: ELISA, ICC/IF, IHC, IHC-Fr,  IHC-P, WB
NBP1-49643
Species: Bv, Hu, Pm
Applications: Flow-IC, Flow, IB, ICC/IF, IHC,  IHC-P, KO, WB
2914-HT
Species: Hu
Applications: BA
NBP1-42827
Species: Ch, Fi, Hu, Pm, Mu, Rt, Re, Xp
Applications: ICC/IF, IHC, IHC-Fr, WB
NBP1-82801
Species: Hu
Applications: IHC,  IHC-P
NB300-576
Species: Ch, Gp, Hu, Mu, Pm, Rb, Rt, Xp
Applications: Flow, ICC/IF, IHC,  IHC-P, IP, WB
NB110-61640
Species: Ca, Ch, Fi, Ha, Hu, Mu, Rb, Rt
Applications: ELISA, ICC/IF, IHC, IP, MiAr, WB
NBP1-58986
Species: Hu
Applications: IHC,  IHC-P, WB
NBP2-45516
Species: Hu, Mu, Rt
Applications: ICC/IF, IHC,  IHC-P, WB
NBP1-83693
Species: Hu
Applications: ICC/IF, IHC,  IHC-P, WB
NBP2-67471
Species: Hu, Mu, Rt
Applications: ICC/IF, IHC,  IHC-P, WB

Publications for UNC45A Antibody (NBP2-13506) (0)

There are no publications for UNC45A Antibody (NBP2-13506).
By submitting your publication information earn gift cards and discounts for future purchases.

Reviews for UNC45A Antibody (NBP2-13506) (0)

There are no reviews for UNC45A Antibody (NBP2-13506). By submitting a review you will receive an Amazon e-Gift Card or Novus Product Discount.
  • Review with no image -- $10/€7/£6/$10 CAD/¥70 Yuan/¥1110 Yen
  • Review with an image -- $25/€18/£15/$25 CAD/¥150 Yuan/¥2500 Yen

Product General Protocols

Find general support by application which include: protocols, troubleshooting, illustrated assays, videos and webinars.

Video Protocols

WB Video Protocol
ICC/IF Video Protocol

FAQs for UNC45A Antibody (NBP2-13506) (0)

There are no specific FAQs related to this product. Read our general customer & technical service FAQs.

Customers Who Bought This Also Bought

Contact Information

Product PDFs

Calculators

Concentration Calculator

The concentration calculator allows you to quickly calculate the volume, mass or concentration of your vial. Simply enter your mass, volume, or concentration values for your reagent and the calculator will determine the rest.

=
÷

Review this Product

Be the first to review our UNC45A Antibody - BSA Free and receive a gift card or discount.

Bioinformatics

Gene Symbol UNC45A