UCH-L1/PGP9.5 Antibody (rUCHL1/8133) - Azide and BSA Free

Images

 
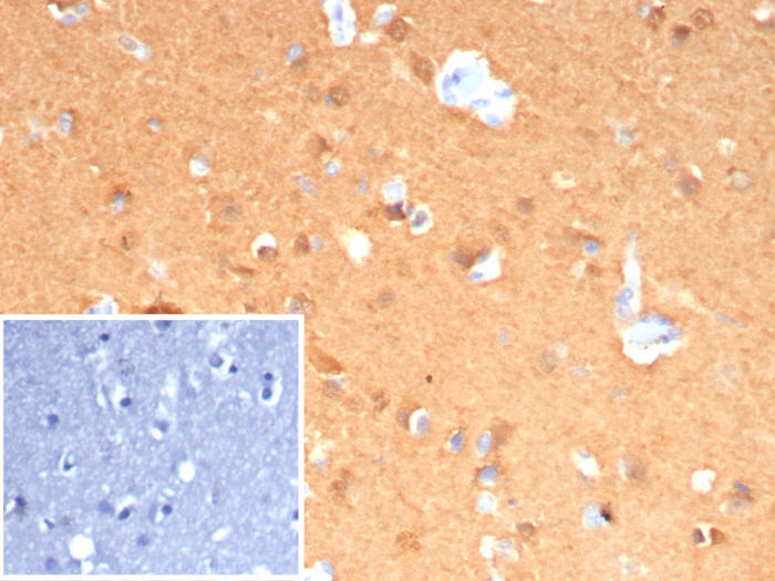
Formalin-fixed, paraffin-embedded human cerebellum stained with UCH-L1/PGP9.5 antibody (rUCHL1/8133). Inset: PBS instead of primary antibody; secondary only negative control.
Western Blot Analysis of human brain tissue lysate using UCH-L1/PGP9.5 Antibody (rUCHL1/8133) - Azide and BSA Free.

Product Details

Summary
Reactivity HuSpecies Glossary
Applications WB, Flow, ICC/IF, IHC
Clone
rUCHL1/8133
Clonality
Monoclonal
Host
Mouse
Conjugate
Unconjugated
Format
Azide and BSA Free
Concentration
1 mg/ml

Order Details

UCH-L1/PGP9.5 Antibody (rUCHL1/8133) - Azide and BSA Free Summary

Description
Positive Controls: Cerebellum

Antibody with azide - store at 2 to 8C. Antibody without azide - store at -20 to -80C. Non-hazardous. No MSDS required.
Additional Information
Recombinant Monoclonal Antibody
Immunogen
Recombinant full-length human UCH-L1/PGP9.5 protein
Localization
Cytoplasm. Endoplasmic reticulum membrane.
Isotype
IgG2a Kappa
Clonality
Monoclonal
Host
Mouse
Gene
UCHL1
Purity
Protein A or G purified
Innovator's Reward
Test in a species/application not listed above to receive a full credit towards a future purchase.

Applications/Dilutions

Dilutions
  • Flow Cytometry 1-2 ug/million cells
  • Immunocytochemistry/ Immunofluorescence 1-2 ug/ml
  • Immunohistochemistry-Paraffin 1-2 ug/ml
  • Western Blot 1-2 ug/ml
Application Notes
Immunohistochemistry (Formalin-fixed): 1-2ug/ml for 30 minutes. at RT. Staining of formalin-fixed tissues requires heating tissue sections in 10mM Tris with 1mM EDTA, pH 9.0, for 45 min at 95C followed by cooling at RT for 20 minutes.

Optimal dilution for a specific application should be determined.

Reactivity Notes

Shows a broad species reactivity

Packaging, Storage & Formulations

Storage
Store at -20 to -70C. Avoid freeze-thaw cycles.
Buffer
10mM PBS
Preservative
No Preservative
Concentration
1 mg/ml
Purity
Protein A or G purified

Alternate Names for UCH-L1/PGP9.5 Antibody (rUCHL1/8133) - Azide and BSA Free

  • EC 3.4.19.12
  • EC 6.-
  • Neuron cytoplasmic protein 9.5
  • PARK5
  • PGP 9.5
  • PGP9.5
  • PGP9.5Uch-L1
  • PGP95
  • ubiquitin carboxyl-terminal esterase L1 (ubiquitin thiolesterase)
  • ubiquitin carboxyl-terminal hydrolase isozyme L1
  • ubiquitin C-terminal hydrolase
  • Ubiquitin thioesterase L1
  • UCHL1
  • UCH-L1

Background

Ubiquitin carboxyl-terminal hydrolase isozyme L1 (UCHL1) is a soluble cytoplasmic protein found in neurons and in cells of the diffuse neuroendocrine system, and their respective tumors. Therefore, UCH-L1 has been widely used as a peripheral nerve fiber marker. UCHL-1 functions as a tissue-specific ubiquitin carboxyl terminal hydrolase isoenzyme involved in the processing of both ubiquitin precursors and ubiquitinated proteins.

UCH L1 is down-regulated in brains from Parkinson disease and Alzheimer disease patients, and certian site specific mutations in the UCHL1 gene can either increase or decrese the risk of Parkinson's and/or Alzheimer's neurodegenerative diseases.

Human UCHL 1 and the closely related UCHL3 protein have one of the most complicated knot structures ever discovered, with five knot crossings. This knot structure is expected to help the protein resist degradation in the proteasome.

Limitations

This product is for research use only and is not approved for use in humans or in clinical diagnosis. Primary Antibodies are guaranteed for 1 year from date of receipt.

Customers Who Viewed This Item Also Viewed...

NBP1-86037
Species: Hu
Applications: ICC/IF, IHC,  IHC-P, WB
NB120-14817
Species: Hu, Rt
Applications: ICC/IF, IHC, S-ELISA, WB
NBP1-46535
Species: Hu, Mu, Rb, Rt, Xp
Applications: ICC/IF, IHC-FrFl, IHC, IHC-Fr,  IHC-P, WB
MAB4375
Species: Hu, Mu, Rt
Applications: IHC
NBP2-46349
Species: Hu
Applications: IHC,  IHC-P, WB
AF1052
Species: Hu
Applications: CyTOF-ready, Flow, IHC, Simple Western, WB
NBP2-15365
Species: Hu, Mu, Rt
Applications: ICC/IF, IHC, IHC-Fr,  IHC-P, S-ELISA, WB
NB300-109
Species: Ch, Dr, Hu, I, Ma, Mu, Rt
Applications: Dual ISH-IHC, ICC/IF, IHC-FrFl, IHC-WhMt, IHC, IHC-Fr,  IHC-P, KO, Simple Western, WB
NB110-58870
Species: Hu, Mu, Rt
Applications: ICC/IF, IHC, KD, Simple Western, WB
AF114
Species: Mu
Applications: CyTOF-ready, Flow, ICC, IHC, WB
MAB4077
Species: Hu
Applications: IHC, WB
NBP1-88582
Species: Hu
Applications: ICC/IF, IHC,  IHC-P, WB
NBP1-87102
Species: Hu, Mu, Rt
Applications: ICC/IF, IHC,  IHC-P, WB
NB300-141
Species: Bv, Ch, Eq, Gp, Hu, Mu, Po, Rb, Rt
Applications: ICC/IF, IHC, IHC-Fr,  IHC-P, Simple Western, WB
NB300-223
Species: Bv, Ca, Ch, Eq, Hu, Mu, Po, Rt
Applications: ICC/IF, IHC, IHC-Fr,  IHC-P, WB
DBD00
Species: Hu
Applications: ELISA
NBP1-87103
Species: Hu, Mu
Applications: IHC,  IHC-P, WB
NB300-653
Species: Ch, Fe, Hu, Pm, Mu, Rt
Applications: ELISA, ICC/IF, IHC, IHC-Fr,  IHC-P, IP, WB
NB300-270
Species: Ch, Hu, Mu, Rt
Applications: Flow, ICC/IF, IHC,  IHC-P, IP, In vitro, Simple Western, WB
NBP3-21025
Species: Hu
Applications: WB, Flow, ICC/IF, IHC

Publications for UCH-L1/PGP9.5 Antibody (NBP3-21025) (0)

There are no publications for UCH-L1/PGP9.5 Antibody (NBP3-21025).
By submitting your publication information earn gift cards and discounts for future purchases.

Reviews for UCH-L1/PGP9.5 Antibody (NBP3-21025) (0)

There are no reviews for UCH-L1/PGP9.5 Antibody (NBP3-21025). By submitting a review you will receive an Amazon e-Gift Card or Novus Product Discount.
  • Review with no image -- $10/€7/£6/$10 CAD/¥70 Yuan/¥1110 Yen
  • Review with an image -- $25/€18/£15/$25 CAD/¥150 Yuan/¥2500 Yen

Product General Protocols

Find general support by application which include: protocols, troubleshooting, illustrated assays, videos and webinars.

Video Protocols

WB Video Protocol
ICC/IF Video Protocol

FAQs for UCH-L1/PGP9.5 Antibody (NBP3-21025) (0)

There are no specific FAQs related to this product. Read our general customer & technical service FAQs.

Customers Who Bought This Also Bought

Contact Information

Product PDFs

Calculators

Concentration Calculator

The concentration calculator allows you to quickly calculate the volume, mass or concentration of your vial. Simply enter your mass, volume, or concentration values for your reagent and the calculator will determine the rest.

=
÷

Review this Product

Be the first to review our UCH-L1/PGP9.5 Antibody (rUCHL1/8133) - Azide and BSA Free and receive a gift card or discount.

Bioinformatics

Gene Symbol UCHL1