Transthyretin/Prealbumin Antibody (CL0290) - Azide and BSA Free

Images

 
Lane 1: Marker [kDa]Lane 2: Human plasma
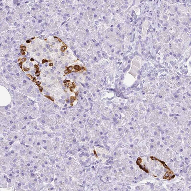
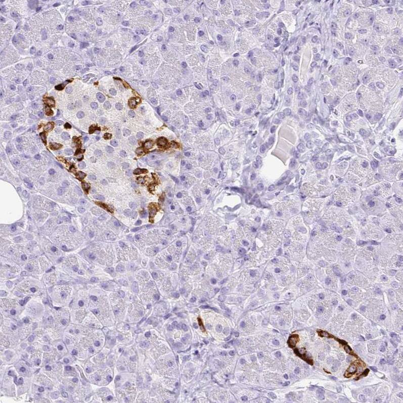
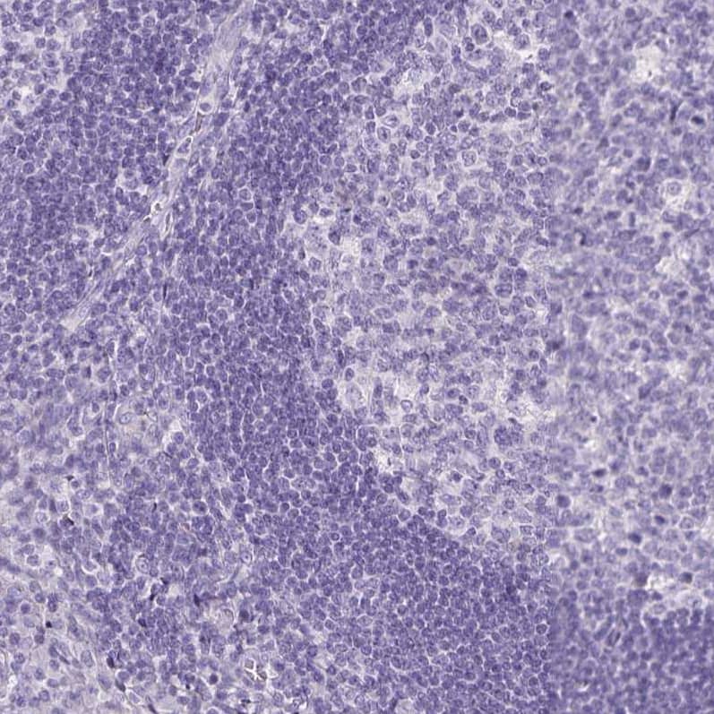
Orthogonal Strategies: Analysis in human pancreas and tonsil tissues using NBP3-43937 antibody. Corresponding Transthyretin/Prealbumin RNA-seq data are presented for the same tissues.
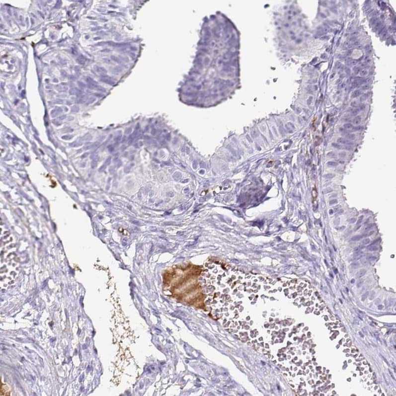
Staining of human fallopian tube shows moderate positivity in plasma in blood vessels.
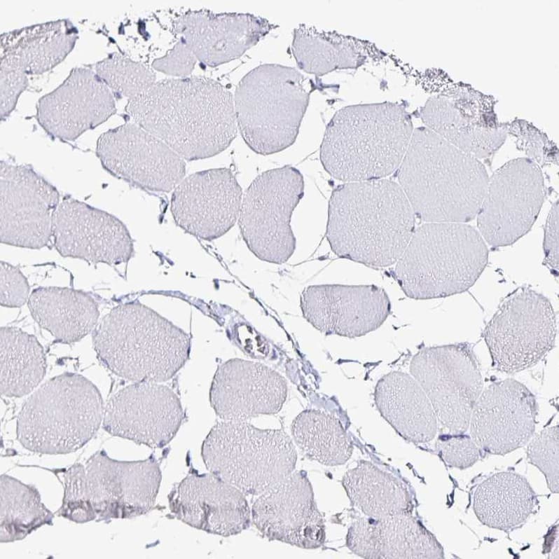
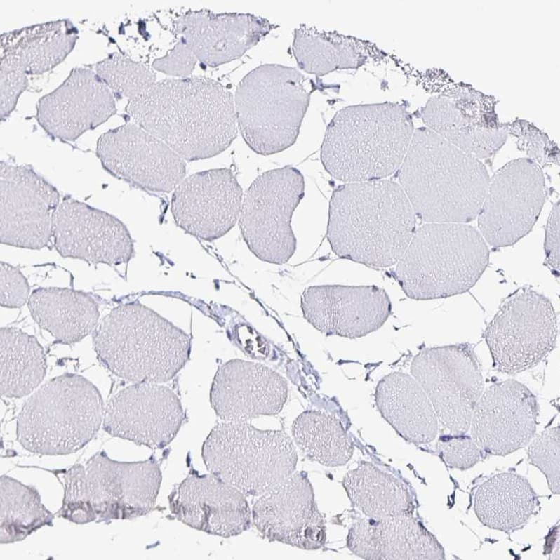
Staining of human skeletal muscle shows no positivity in myocytes as expected.
Staining of human pancreas shows strong cytoplasmic positivity in a subset of endocrine glandular cells.
Staining of human tonsil shows no positivity in lymphoid cells as expected.

Product Details

Summary
Reactivity HuSpecies Glossary
Applications WB, IHC
Clone
CL0290
Clonality
Monoclonal
Host
Mouse
Conjugate
Unconjugated
Format
Azide and BSA Free
Concentration
LYOPH
Validated by:
       

Orthogonal Strategies

 

Order Details

Transthyretin/Prealbumin Antibody (CL0290) - Azide and BSA Free Summary

Description
Novus Biologicals Mouse Transthyretin/Prealbumin Antibody (CL0290) - Azide and BSA Free (NBP2-52905) is a monoclonal antibody validated for use in IHC and WB. All Novus Biologicals antibodies are covered by our 100% guarantee.
Immunogen
This antibody was generated using a recombinant protein sequence of P02766, with the exact immunogen sequence remaining proprietary.
Isotype
IgG1
Clonality
Monoclonal
Host
Mouse
Gene
TTR
Purity
Protein A purified
Innovator's Reward
Test in a species/application not listed above to receive a full credit towards a future purchase.

Applications/Dilutions

Dilutions
  • Immunohistochemistry-Paraffin 1:20000 - 1:50000
  • Western Blot 1 ug/ml
Application Notes
For IHC-Paraffin, HIER pH 6 retrieval is recommended.

Packaging, Storage & Formulations

Storage
Store at 4C short term. Aliquot and store at -20C long term. Avoid freeze-thaw cycles.
Buffer
Lyophilized from a 0.2 um filtered solution in PBS with Trehalose
Preservative
No Preservative
Concentration
LYOPH
Purity
Protein A purified
Reconstitution Instructions
Centrifuge the vial of lyophilized antibody at 12,000 x g for 20 seconds. Reconstitute by adding sterile, distilled water to achieve a final antibody concentration of 1mg/ml.

Alternate Names for Transthyretin/Prealbumin Antibody (CL0290) - Azide and BSA Free

  • ATTR
  • HsT2651
  • PALB
  • PALBTBPA
  • Prealbumin
  • prealbumin, amyloidosis type I
  • TBPA
  • thyroxine-binding prealbumin
  • Transthyretin
  • TTR

Background

Prealbumin is a serum protein usually occurring at 200-400mg/L serum. Prealbumin migrates faster than albumin in acidic starch gels and include alpha 1 antitrypsin, thyroxine binding prealbumin, and orosomucoid, an alpha 1 acid glycoprotein. The functions of prealbumin are to transport thyroxine, a task it shares with thyroxine binding globulin, retinol binding protein and vitamin A. Polymorphism of prealbumin is known in the mouse and pig.

Limitations

This product is for research use only and is not approved for use in humans or in clinical diagnosis. Primary Antibodies are guaranteed for 1 year from date of receipt.

Customers Who Viewed This Item Also Viewed...

MAB1455
Species: Hu
Applications: CyTOF-ready, Dual ISH-IHC, ICC, IHC, ICFlow, Simple Western, WB
DRB400
Species: Hu
Applications: ELISA
NBP1-88502
Species: Hu
Applications: IHC,  IHC-P
AF3715
Species: Hu
Applications: Dual ISH-IHC, IHC, IP, KO, Simple Western, WB
NBP2-16669
Species: Hu, Mu, Rt
Applications: ICC/IF, IHC,  IHC-P, WB
NBP1-80851
Species: Hu, Mu, Rt
Applications: IHC,  IHC-P, WB
NBP1-88000
Species: Hu, Mu, Rt
Applications: ICC/IF, IHC,  IHC-P, KD, WB
NBP2-37322
Species: Hu
Applications: CyTOF-ready, ELISA, Flow, ICC/IF, IHC,  IHC-P, WB
7954-GM/CF
Species: Hu
Applications: BA
NBP2-42388
Species: Hu
Applications: ICC/IF, IHC,  IHC-P, KD, WB
2914-HT
Species: Hu
Applications: BA
DY1707
Species: Hu
Applications: ELISA
NBP2-92630
Species: Hu, Mu, Rt
Applications: ELISA, ICC/IF, IHC,  IHC-P, WB
NBP2-13075
Species: Ba, Hu, Pm, Mu, Rt
Applications: DB, ELISA, IB, ICC/IF, IHC-FrFl, IHC, IHC-Fr,  IHC-P, IP, WB
NBP2-52979
Species: Hu, Mu
Applications: Flow, ICC/IF, IHC,  IHC-P, WB
DHAPG0
Species: Hu
Applications: ELISA
NBP3-15868
Species: Hu, Mu, Rt
Applications: ELISA, ICC/IF, IHC,  IHC-P, WB
AF5739
Species: Hu, Mu, Rt
Applications: WB
MAB1417
Species: Bv, Hu, Mu
Applications: ICC, IHC
NBP3-43937
Species: Hu
Applications: WB, IHC

Publications for Transthyretin/Prealbumin Antibody (NBP3-43937) (0)

There are no publications for Transthyretin/Prealbumin Antibody (NBP3-43937).
By submitting your publication information earn gift cards and discounts for future purchases.

Reviews for Transthyretin/Prealbumin Antibody (NBP3-43937) (0)

There are no reviews for Transthyretin/Prealbumin Antibody (NBP3-43937). By submitting a review you will receive an Amazon e-Gift Card or Novus Product Discount.
  • Review with no image -- $10/€7/£6/$10 CAD/¥70 Yuan/¥1110 Yen
  • Review with an image -- $25/€18/£15/$25 CAD/¥150 Yuan/¥2500 Yen

Product General Protocols

Find general support by application which include: protocols, troubleshooting, illustrated assays, videos and webinars.

Video Protocols

WB Video Protocol

FAQs for Transthyretin/Prealbumin Antibody (NBP3-43937) (0)

There are no specific FAQs related to this product. Read our general customer & technical service FAQs.

Secondary Antibodies

 

Isotype Controls

Additional Transthyretin/Prealbumin Products

Research Areas for Transthyretin/Prealbumin Antibody (NBP3-43937)

Find related products by research area.

Blogs on Transthyretin/Prealbumin

There are no specific blogs for Transthyretin/Prealbumin, but you can read our latest blog posts.

Customers Who Bought This Also Bought

Contact Information

Product PDFs

Calculators

Concentration Calculator

The concentration calculator allows you to quickly calculate the volume, mass or concentration of your vial. Simply enter your mass, volume, or concentration values for your reagent and the calculator will determine the rest.

=
÷

Review this Product

Be the first to review our Transthyretin/Prealbumin Antibody (CL0290) - Azide and BSA Free and receive a gift card or discount.

Bioinformatics

Gene Symbol TTR