TNF-alpha Antibody (SPM543) - Azide and BSA Free

Images

 
Immunocytochemistry/ Immunofluorescence: TNF-alpha Antibody (SPM543) - Azide and BSA Free [NBP2-34419] - Immunofluorescence staining of HepG2 cells using TNF-alpha Mouse Monoclonal Antibody (SPM543) followed by goat ...read more
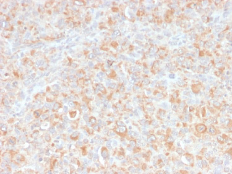
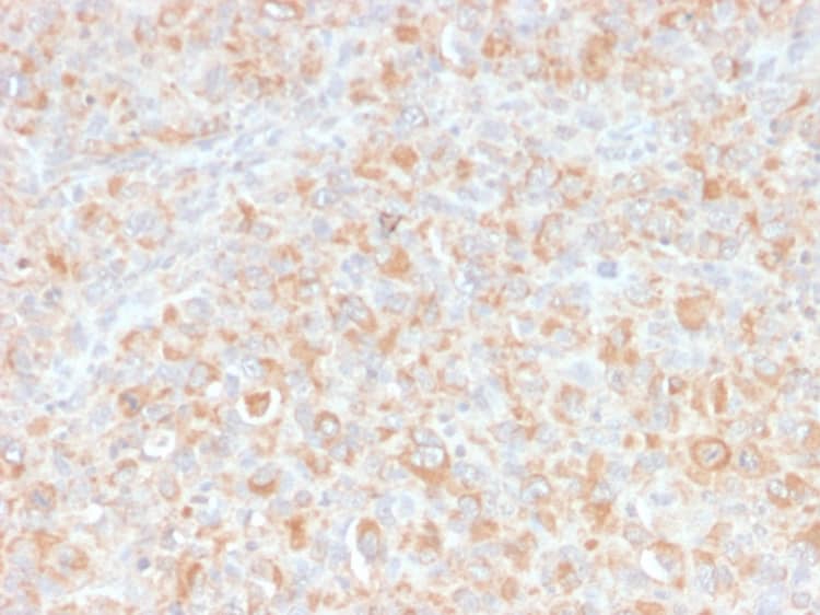
Formalin-fixed, paraffin-embedded human histiocytoma stained with TNF-alpha Antibody (SPM543) - Azide and BSA Free.

Product Details

Summary
Reactivity Hu, Mu, Rt, Ca, Fe, Rb, ZeSpecies Glossary
Applications Flow, ICC/IF, IHC, CyTOF-ready
Clone
SPM543
Clonality
Monoclonal
Host
Mouse
Conjugate
Unconjugated
Format
Azide and BSA Free
Concentration
1.0 mg/ml

Order Details

View Available Formulations
Catalog# & Formulation Size Price

TNF-alpha Antibody (SPM543) - Azide and BSA Free Summary

Description
1.0 mg/ml of antibody purified from Bioreactor Concentrate. Prepared in 10mM PBS WITHOUT BSA & azide. Also available at 200 ug/ml WITH BSA & azide (NBP2-34372).

Antibody with azide - store at 2 to 8C. Antibody without azide - store at -20 to -80C.
Immunogen
A hexadecapeptide corresponding to aa115-130 of human TNF-alpha (Uniprot: P01375)
Localization
Cytoplasmic and extracellular (secreted)
Isotype
IgM Kappa
Clonality
Monoclonal
Host
Mouse
Gene
TNF
Purity
Protein L or PEG purified
Innovator's Reward
Test in a species/application not listed above to receive a full credit towards a future purchase.

Applications/Dilutions

Dilutions
  • CyTOF-ready
  • Flow (Intracellular)
  • Flow Cytometry 0.5-1ug/million cells
  • Immunocytochemistry/ Immunofluorescence 1-2ug/ml
  • Immunohistochemistry
  • Immunohistochemistry-Paraffin 1-2ug/ml
Application Notes
Immunohistochemistry (Formalin-fixed): 1-2ug/ml for 30 min at RT. Staining of formalin-fixed tissues requires heating tissue sections in 10mM Tris Buffer with 1mM EDTA, pH 9.0, for 45 min at 95C followed by cooling at RT for 20 minutes.
Optimal dilution for a specific application should be determined.
Theoretical MW
17 kDa.
Disclaimer note: The observed molecular weight of the protein may vary from the listed predicted molecular weight due to post translational modifications, post translation cleavages, relative charges, and other experimental factors.
Publications
Read Publication using NBP2-34419.

Packaging, Storage & Formulations

Storage
Store at -20 to -80C. Avoid freeze-thaw cycles.
Buffer
10 mM PBS
Preservative
No Preservative
Concentration
1.0 mg/ml
Purity
Protein L or PEG purified

Alternate Names for TNF-alpha Antibody (SPM543) - Azide and BSA Free

  • APC1 protein
  • Cachectin
  • Cachetin
  • DIF
  • TNF
  • TNF, monocyte-derived
  • TNFA
  • TNF-A
  • TNFalpha
  • TNF-alpha
  • TNF-alphacachectin
  • TNFATNF, macrophage-derived
  • TNFG1F
  • TNFSF1A
  • TNFSF2
  • TNFSF2TNF superfamily, member 2
  • tumor necrosis factor (TNF superfamily, member 2)
  • tumor necrosis factor alpha
  • Tumor necrosis factor ligand superfamily member 2
  • tumor necrosis factor
  • tumor necrosis factor-alpha

Background

Tumor necrosis factor (TNF)-alpha is a pro-inflammatory cytokine belonging to the TNF superfamily that is secreted by monocytes/macrophages, T cell, and natural killer (NK), among others (1). TNF-alpha is synthesized as a 233 amino acid (aa) transmembrane protein (mTNF-alpha) with a theoretical molecular weight (MW) of 26 kDa (1,2) that forms a homotrimer. mTNF-alpha is cleaved by TNF-alpha converting enzyme (TACE) and released in its 157 aa, 17 kDa soluble form (sTNF-alpha) (1-5). Both mTNF-alpha and sTNF-alpha are capable of binding type 1 TNF receptors (TNFR1), whereas mTNF-alpha predominately binds to TNFR2 (1,2). TNF-alpha binding to its receptors causes receptor recruitment of adaptor proteins, formation of signaling complexes, and downstream signaling cascades (e.g. MAPK, NF-kappaB, and Caspase-8), leading to distinct cellular responses such as survival, proliferation, inflammation, necroptosis, and apoptosis (1-5).

TNF-alpha is critical for normal immune response; however, dysregulation of TNF-alpha production can result in various pathologies (2,4,5). Excessive production of pro-inflammatory cytokines including interleukin 1 (IL-1), IL-6, and TNF-alpha has been implicated in an array of autoimmune diseases like rheumatoid arthritis (RA), inflammatory bowel disease (IBD), and psoriasis (2,4,5). Anti-TNF monoclonal antibodies, including Infliximab, and soluble TNFR have been approved for the treatment of autoimmune and TNF-mediated diseases (5). Additionally, data suggests that TNF inhibitors can be beneficial for treating patients experiencing immune-related adverse events associated with immune checkpoint inhibitor cancer treatment (6).

References

1. Holbrook J, Lara-Reyna S, Jarosz-Griffiths H, McDermott M. Tumour necrosis factor signalling in health and disease. F1000Res. 2019;8:F1000 Faculty Rev-111. https://doi.org/10.12688/f1000research.17023.1

2. Jang DI, Lee AH, Shin HY, et al. The Role of Tumor Necrosis Factor Alpha (TNF-alpha) in Autoimmune Disease and Current TNF-alpha Inhibitors in Therapeutics. Int J Mol Sci. 2021;22(5):2719. https://doi.org/10.3390/ijms22052719

3. Horiuchi T, Mitoma H, Harashima S, Tsukamoto H, Shimoda T. Transmembrane TNF-alpha: structure, function and interaction with anti-TNF agents. Rheumatology (Oxford). 2010;49(7):1215-1228. https://doi.org/10.1093/rheumatology/keq031

4. Webster JD, Vucic D. The Balance of TNF Mediated Pathways Regulates Inflammatory Cell Death Signaling in Healthy and Diseased Tissues. Front Cell Dev Biol. 2020;8:365. https://doi.org/10.3389/fcell.2020.00365

5. Kalliolias GD, Ivashkiv LB. TNF biology, pathogenic mechanisms and emerging therapeutic strategies. Nat Rev Rheumatol. 2016; 12(1):49-62. https://doi.org/10.1038/nrrheum.2015.169

6. Chen AY, Wolchok JD, Bass AR. TNF in the era of immune checkpoint inhibitors: friend or foe?. Nat Rev Rheumatol. 2021;17(4):213-223. doi:10.1038/s41584-021-00584-4

Limitations

This product is for research use only and is not approved for use in humans or in clinical diagnosis. Primary Antibodies are guaranteed for 1 year from date of receipt.

Customers Who Viewed This Item Also Viewed...

M6000B
Species: Mu
Applications: ELISA
DY417
Species: Mu
Applications: ELISA
485-MI
Species: Mu
Applications: BA
201-LB
Species: Hu
Applications: BA
202-IL
Species: Hu
Applications: BA
NB100-56583
Species: Hu, Rb, Rt
Applications: Flow, IHC,  IHC-P, KO, Simple Western, WB
6507-IL/CF
Species: Hu
Applications: BA
MAB208
Species: Hu
Applications: CyTOF-ready, ELISA(Cap), ELISA(Det), ELISA(Sta), ICC, ICFlow, Neut, Simple Western, WB
NB300-605
Species: Hu, Mu, Po, Rt
Applications: Flow, IB, ICC/IF, IHC, IHC-Fr,  IHC-P, In vitro, WB
7268-CT
Species: Hu
Applications: BA
DY1707
Species: Hu
Applications: ELISA
NB100-524
Species: Hu, Mu
Applications: Flow-IC, Flow, ICC/IF, IHC, IHC-Fr,  IHC-P, IP, WB
DCP00
Species: Hu
Applications: ELISA
NBP2-79843
Species: Hu
Applications: CyTOF-ready, ELISA, Flow, ICC/IF, IHC,  IHC-P, PA, WB
211-TBB/CF
Species: Hu
Applications: BA
DRT100
Species: Hu
Applications: ELISA
AF1230
Species: Hu, Mu, Rt
Applications: IHC, KO, WB
NBP2-34419
Species: Hu, Mu, Rt, Ca, Fe, Rb, Ze
Applications: Flow, ICC/IF, IHC, CyTOF-ready

Publications for TNF-alpha Antibody (NBP2-34419)(1)

We have publications tested in 1 confirmed species: Canine.


Filter By Application
All Applications
Filter By Species
Canine
(1)
All Species

Reviews for TNF-alpha Antibody (NBP2-34419) (0)

There are no reviews for TNF-alpha Antibody (NBP2-34419). By submitting a review you will receive an Amazon e-Gift Card or Novus Product Discount.
  • Review with no image -- $10/€7/£6/$10 CAD/¥70 Yuan/¥1110 Yen
  • Review with an image -- $25/€18/£15/$25 CAD/¥150 Yuan/¥2500 Yen

Product General Protocols

Find general support by application which include: protocols, troubleshooting, illustrated assays, videos and webinars.

Video Protocols

ICC/IF Video Protocol

FAQs for TNF-alpha Antibody (NBP2-34419). (Showing 1 - 4 of 4 FAQ).

  1. I need to know about TNF-alpha antibody kits for mice.
    • We currently have two TNFalpha ELISA kits specific for mouse: catalog numbers KA0257 and NBP1-92670.
  2. I would like to ask you for help. I need an antibody for Elisa to detect human TNF alpha in a supernatant from a cell culture (meaning supernatant after centrifugation of collected cell suspension from a plate well). Which of your antibodies against human tnf alpha would be suitable? I would like to buy only the primary antibody.
    • I would recommend catalog number NBP1-67821 or NB600-587; however, a full list of our anti-human TNF alpha antibodies suitable for use in ELISA can be found using this link.
  3. I am interested in a TNF alpha antibody, cross reactive for human, rat and mouse (host species: rabbit). Could your product NBP1-19532 be used in western blotting applications? Or do you have a similar product in your catalog which could fit with my request?
    • The antibody you mention, NBP1-19532, has not yet been validated in Western blot. I would instead recommend either NBP1-67821 or NB600-587. These are both rabbit polyclonal antibodies that cross-reacts with human, mouse and rat and have been used in Western blotting.
  4. Can your TNF-alpha products be used to treat TBI victims and therefore avoid the perispinal injections with Enbrel?
    • I am very sorry, but all of our products are for scientific research use only, and none are intended or approved for use in humans.

Secondary Antibodies

 

Isotype Controls

Additional TNF-alpha Products

Research Areas for TNF-alpha Antibody (NBP2-34419)

Find related products by research area.

Blogs on TNF-alpha. Showing 1-10 of 13 blog posts - Show all blog posts.

Unlocking the Potential of Biosimilars in Immuno-Oncology
By Jennifer Jones, M.S.Biosimilar Antibodies: Imitation Meets InnovationIn the ever-evolving medical landscape, a new class of pharmaceuticals is emerging as a game-changer, poised to transform the way we approach...  Read full blog post.

Tired T cells: Hypoxia Drives T cell Exhaustion in the Tumor Microenvironment
By Hunter MartinezThe paradigm shifting view of the immune system being leveraged to target cancer has led to numerous therapeutic breakthroughs. One major cell group responsible for this revelation is a T cell. ...  Read full blog post.

Immune Cell Metabolic Flux Influences Type I Diabetes
By Hunter MartinezWhat is Immunometabolism?It is well established that abnormal metabolic environments can be a risk factor for disease development. One characteristic example is the role of dyslipidemia (high lev...  Read full blog post.


  Read full blog post.


  Read full blog post.


  Read full blog post.

Liver ASK1 activates autophagy to protect against hepatic fat accumulation, non-alcoholic steatohepatitis and fibrosis
By Jamshed Arslan, Pharm. D., PhD. The most common chronic liver disorder worldwide is non-alcoholic fatty liver disease (NAFLD). This obesity-linked disorder can manifest as hepatic fat accumulation (steatosis) wit...  Read full blog post.

Metabolic Syndrome: Symptoms and associated disease states
By Jamshed Arslan, Pharm. D., PhD. What is metabolic syndrome?It was 1988 when, after decades of research, Dr. GM Reaven    of the Stanford University, CA, explained the relationship between four diseases:...  Read full blog post.

Increased wild type FUS levels in ALS patients lead to a toxic microenvironment and motor neuron neurodegeneration
By Michalina Hanzel, PhDFUS mutations in Amyotrophic Lateral SclerosisFused in sarcoma (FUS) is a ribonucleoprotein that continuously shuttles between the nucleus and the cytoplasm to regulate pre-mRNA splicing, mRN...  Read full blog post.

You complete me: Natural killer cells need TGF-beta inhibition to effectively combat cancers
By Jamshed Arslan Pharm.D. Natural killer (NK) cells are lymphocytes of the innate immune system that were first discovered for their “natural” ability to kill cancer cells. To use NK cells as anti-cancer therapy, t...  Read full blog post.

Showing 1-10 of 13 blog posts - Show all blog posts.

Customers Who Bought This Also Bought

Contact Information

Product PDFs

Calculators

Concentration Calculator

The concentration calculator allows you to quickly calculate the volume, mass or concentration of your vial. Simply enter your mass, volume, or concentration values for your reagent and the calculator will determine the rest.

=
÷

Review this Product

Be the first to review our TNF-alpha Antibody (SPM543) - Azide and BSA Free and receive a gift card or discount.

Bioinformatics

Gene Symbol TNF