TLE3 Antibody (CL3573) - Azide and BSA Free

Images

 
Staining of HeLa cells using the Anti-TLE3 monoclonal antibody) .
Lane 1: Marker [kDa] 250, 130, 100, 70, 55, 35, 25, 15, 10Lane 2: Human cell line HEK 293
Lane 1: Marker [kDa] 250, 130, 100, 70, 55, 35, 25, 15, 10Lane 2: Human cell line HeLa nuclear extract
Staining of human kidney shows weak to moderate nuclear positivity in a subset of cells.
Staining of human cervix shows strong nuclear immunoreactivity in epithelial cells.
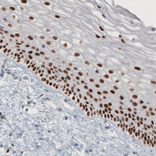
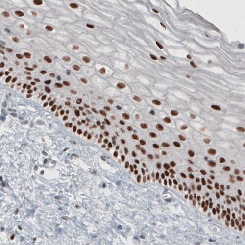
Staining of human oral mucosa shows strong nuclear positivity in epithelial cells.
Staining of human skeletal muscle shows absence of immunoreactivity (negative control).
Genetic Strategies: Analysis in HEK293 cells transfected with control siRNA, target specific siRNA probe #1 and #2, using Anti-TLE3 antibody. Remaining relative intensity is presented. Loading control: Anti-GAPDH.
Staining of human small intestine shows moderate nuclear immunoreactivity in glandular epithelium cells.
Staining of human tonsil shows nuclear immunoreactivity in a subset of lymphoid cells.

Product Details

Summary
Reactivity HuSpecies Glossary
Applications WB, ICC/IF, IHC
Clone
CL3573
Clonality
Monoclonal
Host
Mouse
Conjugate
Unconjugated
Format
Azide and BSA Free
Concentration
LYOPH
Validated by:
     

Genetic Strategies

   

Order Details

TLE3 Antibody (CL3573) - Azide and BSA Free Summary

Description
Novus Biologicals Mouse TLE3 Antibody (CL3573) - Azide and BSA Free (NBP2-61621) is a monoclonal antibody validated for use in IHC, WB and ICC/IF. All Novus Biologicals antibodies are covered by our 100% guarantee.
Immunogen
This antibody was generated using a recombinant protein sequence of Q04726, with the exact immunogen sequence remaining proprietary.
Isotype
IgG1
Clonality
Monoclonal
Host
Mouse
Gene
TLE3
Purity
Protein A purified
Innovator's Reward
Test in a species/application not listed above to receive a full credit towards a future purchase.

Applications/Dilutions

Dilutions
  • Immunocytochemistry/ Immunofluorescence 2-10 ug/ml
  • Immunohistochemistry-Paraffin 1:10000 - 1:20000
  • Western Blot 1 ug/ml
Application Notes
For IHC-Paraffin, HIER pH 6 retrieval is recommended. For Immunocytochemistry/ Immunofluorescence/IF, PFA/Triton X-100 is recommended for fixation/permeabilization.

Packaging, Storage & Formulations

Storage
Store at 4C short term. Aliquot and store at -20C long term. Avoid freeze-thaw cycles.
Buffer
Lyophilized from a 0.2 um filtered solution in PBS with Trehalose
Preservative
No Preservative
Concentration
LYOPH
Purity
Protein A purified
Reconstitution Instructions
Centrifuge the vial of lyophilized antibody at 12,000 x g for 20 seconds. Reconstitute by adding sterile, distilled water to achieve a final antibody concentration of 1mg/ml.

Alternate Names for TLE3 Antibody (CL3573) - Azide and BSA Free

  • ESG3
  • ESG3Enhancer of split groucho-like protein 3
  • ESGenhancer of split groucho 3
  • Grg3
  • HsT18976
  • KIAA1547FLJ39460
  • TLE3
  • transducin-like enhancer of split 3 (E(sp1) homolog, Drosophila)
  • transducin-like enhancer of split 3, homolog of Drosophila E(sp1)
  • transducin-like enhancer protein 3

Background

Transcriptional corepressor that binds to a number of transcription factors. Inhibits the transcriptional activation mediated by CTNNB1 and TCF family members in Wnt signaling. The effects of full-length TLE family members may be modulated by association with dominant-negative AES

Limitations

This product is for research use only and is not approved for use in humans or in clinical diagnosis. Primary Antibodies are guaranteed for 1 year from date of receipt.

Customers Who Viewed This Item Also Viewed...

NBP2-01733
Species: Hu, Mu, Rt
Applications: Flow, ICC/IF, IHC,  IHC-P, WB
NBP2-46134
Species: Hu, Mu, Rt
Applications: Flow, ICC/IF, IHC,  IHC-P, WB
NBP2-50028
Species: Bv, Hu, Mu, Rt
Applications: ICC/IF, IHC-FrFl, IHC,  IHC-P, WB
NBP2-15140
Species: Hu, Rt
Applications: ICC/IF, IHC,  IHC-P, WB
M6000B
Species: Mu
Applications: ELISA
AF808
Species: Mu
Applications: ELISA(Cap), ELISA(Det), ELISA(Sta), ICC, IHC, Neut, WB
NBP2-45731
Species: Ca, Hu, Pm
Applications: IHC,  IHC-P, WB
H00006934-M06
Species: Hu, Mu
Applications: ELISA, ICC/IF, IHC,  IHC-P, WB
AF231
Species: Hu
Applications: CyTOF-ready, Dual ISH-IHC, ELISA(Cap), ELISA(Det), ELISA(Sta), Flow, ICC, IHC, IP, Simple Western, WB
NBP1-82554
Species: Fe, Hu, Mu
Applications: ICC/IF, IHC, IHC-Fr,  IHC-P, KO, WB
AF3125
Species: Hu
Applications: ICC, WB
NBP1-47791
Species: Hu, Mu, Rt
Applications: ChIP, ICC/IF, IHC,  IHC-P, WB
AF1759
Species: Hu, Mu
Applications: ChIP, ICC, IP, Simple Western, WB
AF3444
Species: Hu
Applications: IHC, WB
NBP1-89522
Species: Hu, Mu, Rt
Applications: ICC/IF, IHC,  IHC-P, WB
1129-ER
Species: Hu
Applications: BA
NBP3-43936
Species: Hu
Applications: WB, ICC/IF, IHC

Publications for TLE3 Antibody (NBP3-43936) (0)

There are no publications for TLE3 Antibody (NBP3-43936).
By submitting your publication information earn gift cards and discounts for future purchases.

Reviews for TLE3 Antibody (NBP3-43936) (0)

There are no reviews for TLE3 Antibody (NBP3-43936). By submitting a review you will receive an Amazon e-Gift Card or Novus Product Discount.
  • Review with no image -- $10/€7/£6/$10 CAD/¥70 Yuan/¥1110 Yen
  • Review with an image -- $25/€18/£15/$25 CAD/¥150 Yuan/¥2500 Yen

Product General Protocols

Find general support by application which include: protocols, troubleshooting, illustrated assays, videos and webinars.

Video Protocols

WB Video Protocol
ICC/IF Video Protocol

FAQs for TLE3 Antibody (NBP3-43936) (0)

There are no specific FAQs related to this product. Read our general customer & technical service FAQs.

Secondary Antibodies

 

Isotype Controls

Additional TLE3 Products

Array NBP3-43936

Research Areas for TLE3 Antibody (NBP3-43936)

Find related products by research area.

Blogs on TLE3

There are no specific blogs for TLE3, but you can read our latest blog posts.

Customers Who Bought This Also Bought

Contact Information

Product PDFs

Calculators

Concentration Calculator

The concentration calculator allows you to quickly calculate the volume, mass or concentration of your vial. Simply enter your mass, volume, or concentration values for your reagent and the calculator will determine the rest.

=
÷

Review this Product

Be the first to review our TLE3 Antibody (CL3573) - Azide and BSA Free and receive a gift card or discount.

Bioinformatics

Gene Symbol TLE3