TIMP-3 Antibody

Images

 
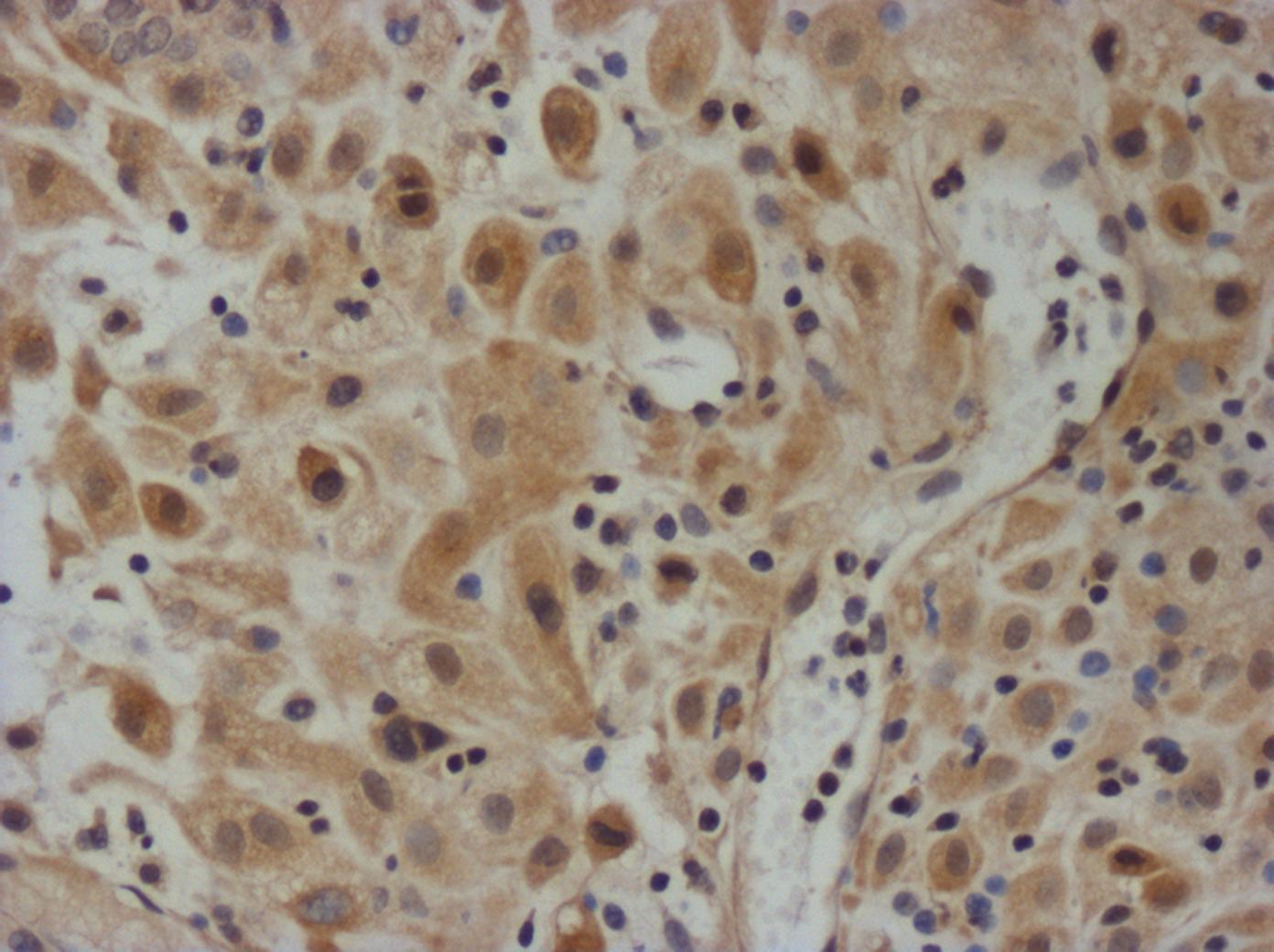
Immunohistochemistry-Paraffin: TIMP-3 Antibody [NBP2-29478] - TIMP-3 is expressed in first trimester human decidual cells. This image was submitted via customer Review.
Immunohistochemistry-Paraffin: TIMP-3 Antibody [NBP2-29478] - Formalin-fixedn, paraffin-embedded human placenta stained with TIMP3 Rabbit polyclonal antibody

Product Details

Summary
Reactivity Hu, Mu, Rt, Bv, Ca, EqSpecies Glossary
Applications Flow, ICC/IF, IHC
Clonality
Polyclonal
Host
Rabbit
Conjugate
Unconjugated
Concentration
0.2 mg/ml

Order Details

View Available Formulations
Catalog# & Formulation Size Price

TIMP-3 Antibody Summary

Description
200ug/ml of antibody purified from rabbit anti-serum by Protein A. Prepared in 10 mM PBS with 0.05% BSA & 0.05% azide. Also available WITHOUT BSA at 1.0 mg/ml. (NBP2-33098)

Antibody with azide - store at 2 to 8C. Antibody without azide - store at -20 to -80C.
Immunogen
TIMP-3 (aa175-211) (Uniprot: P35625)
Localization
Cytoplasmic
Isotype
IgG
Clonality
Polyclonal
Host
Rabbit
Gene
TIMP3
Purity
Protein A purified
Innovator's Reward
Test in a species/application not listed above to receive a full credit towards a future purchase.

Applications/Dilutions

Dilutions
  • Flow Cytometry 1-2 ug/million cells
  • Immunocytochemistry/ Immunofluorescence 1-2 ug/ml
  • Immunohistochemistry 1-2ug/ml
  • Immunohistochemistry-Paraffin 1-2 ug/ml
Application Notes
Immunohistochemistry (Formalin-fixed): 1-2ug/ml for 30 minutes at RT. Staining of formalin-fixed tissues requires heating tissue sections in 10mM Tris with 1mM EDTA, pH 9.0, for 45 min at 95C followed by cooling at RT for 20 minutes.
Optimal dilution for a specific application should be determined.
Theoretical MW
30 kDa.
Disclaimer note: The observed molecular weight of the protein may vary from the listed predicted molecular weight due to post translational modifications, post translation cleavages, relative charges, and other experimental factors.
Reviewed Applications
Read 3 Reviews rated 3.7
using
NBP2-29478 in the following applications:

Reactivity Notes

The amino acid sequence used as the immunogen for the TIMP3 antibody is 100% homologous in human, cow, dog and horse, and 94% homologous in mouse and rat. Sheep data from customer review.

Packaging, Storage & Formulations

Storage
Store at 4C.
Buffer
10 mM PBS with 0.05% BSA
Preservative
0.05% Sodium Azide
Concentration
0.2 mg/ml
Purity
Protein A purified

Alternate Names for TIMP-3 Antibody

  • HSMRK222
  • K222
  • K222TA2
  • metalloproteinase inhibitor 3
  • MIG-5 protein
  • Protein MIG-5
  • pseudoinflammatory)
  • SFD
  • TIMP metallopeptidase inhibitor 3
  • TIMP3
  • TIMP-3
  • tissue inhibitor of metalloproteinase 3 (Sorsby fundus dystrophy
  • Tissue inhibitor of metalloproteinases 3

Background

TIMP3 (tissue inhibitor of metalloproteinases 3), along with family members TIMP1, TIMP2, and TIMP4, are inhibitors of the matrix metalloproteinases (MMPs), a group of peptidases involved in degradation of the extracellular matrix (ECM). An imbalance between MMPs and the associated TIMPs may play a significant role in the invasive phenotype of malignant tumors. TIMP's inhibit the proteolytic invasiveness of tumor cells and normal placental trophoblast cells. TIMP-3 may be involved in regulating trophoblastic invasion of the uterus as well as in regulating remodeling of the extracellular matrix during the folding of epithelia, and in the formation, branching and expansion of epithelial tubes.

Limitations

This product is for research use only and is not approved for use in humans or in clinical diagnosis. Primary Antibodies are guaranteed for 1 year from date of receipt.

Customers Who Viewed This Item Also Viewed...

DTM100
Species: Hu
Applications: ELISA
DTM200
Species: Hu
Applications: ELISA
MMP200
Species: Ca, Hu, Mu, Po, Rt
Applications: ELISA
DMP900
Species: Hu
Applications: ELISA
NB200-106
Species: Mu, Rt
Applications: ELISA, ICC/IF, IHC, IHC-Fr,  IHC-P, WB
DMP300
Species: Hu
Applications: ELISA
MAB9181
Species: Hu
Applications: CyTOF-ready, Flow, IHC, IP, WB
DTM400
Species: Hu
Applications: ELISA
AF748
Species: Hu, Mu
Applications: CyTOF-ready, Dual ISH-IHC, Flow, ICC, IHC, Simple Western, WB
930-ADB
Species: Hu
Applications: EnzAct
DM1300
Species: Hu
Applications: ELISA
NB100-168
Species: Hu, Mu(-)
Applications: CyTOF-ready, Flow-IC, Flow, ICC/IF, IHC,  IHC-P, Simple Western, WB
NBP2-03644
Species: Hu, Mu, Rt
Applications: Flow, ICC/IF, IHC,  IHC-P, WB
DVE00
Species: Hu
Applications: ELISA
NB100-91662
Species: Hu, Mu, Rt
Applications: Flow, ICC/IF, IHC,  IHC-P, Simple Western, WB
NBP3-21649
Species: Hu, Mu, Rt
Applications: ICC/IF, IHC, WB
MAB901
Species: Hu
Applications: IHC, IP, KO, Neut, WB

Publications for TIMP-3 Antibody (NBP2-29478) (0)

There are no publications for TIMP-3 Antibody (NBP2-29478).
By submitting your publication information earn gift cards and discounts for future purchases.

Reviews for TIMP-3 Antibody (NBP2-29478) (3) 3.73

Average Rating: 3.7
(Based on 3 reviews)
We have 3 reviews tested in 2 species: Human, Other.

Reviews using NBP2-29478:
Filter by Applications
WB
(1)
 IHC-P
(2)
All Applications
Filter by Species
Human
(2)
Other
(1)
All Species
Images Ratings Applications Species Date Details
Western Blot TIMP-3 NBP2-29478
Enlarge
4
reviewed by:
Shinford Sun
WB Human 08/11/2023
View

Summary

ApplicationWestern Blot
Sample Testedfibroblast cells,fibroblasts,human lung cancer cell line,Human lung cancer tissue samples,human lung cancer
SpeciesHuman
Lot7078-1P220908

Comments

Comments***Bio-Techne Response: This review was submitted through the legacy Novus Innovators Program, reflecting a new species or application tested on a primary antibody.***
Immunohistochemistry-Paraffin TIMP-3 NBP2-29478
Enlarge
4
reviewed by:
Ruhul Choudhury
 IHC-P Human 01/18/2017
View

Summary

ApplicationImmunohistochemistry-Paraffin
Sample TestedFirst trimester human decidua
SpeciesHuman
Lot7078-1P 160127

Comments

CommentsSodium Citrate antigen retrieval
Immunohistochemistry-Paraffin TIMP-3 NBP2-29478
Enlarge
3
reviewed by:
Bryan Tinsley
 IHC-P Other 09/09/2014
View

Summary

ApplicationImmunohistochemistry-Paraffin
Sample TestedSheep lymph node
SpeciesOther

Product General Protocols

Find general support by application which include: protocols, troubleshooting, illustrated assays, videos and webinars.

Video Protocols

ICC/IF Video Protocol

FAQs for TIMP-3 Antibody (NBP2-29478) (0)

There are no specific FAQs related to this product. Read our general customer & technical service FAQs.

Secondary Antibodies

 

Isotype Controls

Additional TIMP-3 Products

Research Areas for TIMP-3 Antibody (NBP2-29478)

Find related products by research area.

Blogs on TIMP-3

There are no specific blogs for TIMP-3, but you can read our latest blog posts.

Customers Who Bought This Also Bought

Contact Information

Product PDFs

Calculators

Concentration Calculator

The concentration calculator allows you to quickly calculate the volume, mass or concentration of your vial. Simply enter your mass, volume, or concentration values for your reagent and the calculator will determine the rest.

=
÷

Recent Reviews

3.7
5
0
4
2
3
1
2
0
1
0

Shinford Sun
08/11/2023
Application: WB
Species: Human

Ruhul Choudhury
01/18/2017
Application:  IHC-P
Species: Human

Bryan Tinsley
09/09/2014
Application:  IHC-P
Species: Other

Bioinformatics

Gene Symbol TIMP3
Uniprot