Thrombomodulin/BDCA-3 Antibody (THBD/8188R) - Azide and BSA Free

Images

 
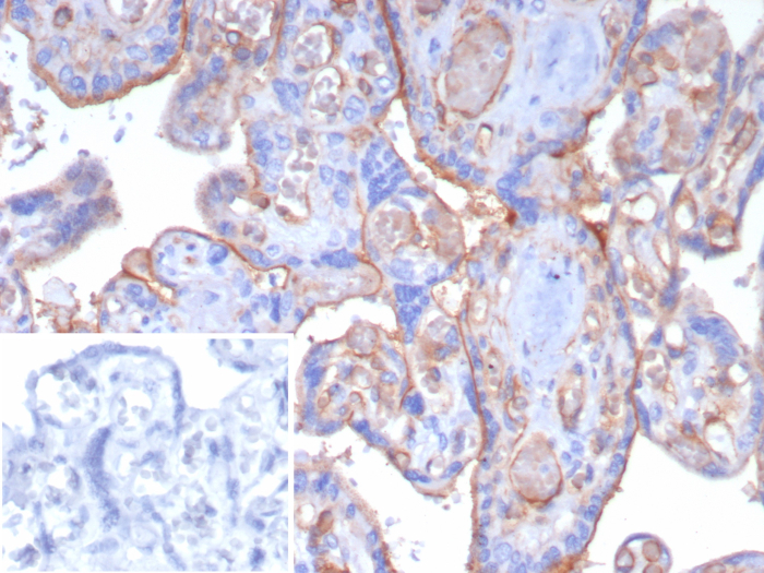
Formalin-fixed, paraffin-embedded human placenta stained with Thrombomodulin/BDCA-3 antibody (THBD/8188R). Inset: PBS instead of primary antibody; secondary only negative control.

Product Details

Summary
Reactivity HuSpecies Glossary
Applications IHC
Clone
THBD/8188R
Clonality
Monoclonal
Host
Rabbit
Conjugate
Unconjugated
Format
Azide and BSA Free
Concentration
1 mg/ml

Order Details

Thrombomodulin/BDCA-3 Antibody (THBD/8188R) - Azide and BSA Free Summary

Description
Positive Controls: Placenta, Angiosarcoma, Bladder or Cervical Carcinoma.

Antibody with azide - store at 2 to 8C. Antibody without azide - store at -20 to -80C. Non-hazardous. No MSDS required.
Additional Information
Recombinant Monoclonal Antibody
Immunogen
Recombinant full-length human Thrombomodulin/BDCA-3 protein
Localization
Cell Surface. Cytoplasm.
Isotype
IgG Kappa
Clonality
Monoclonal
Host
Rabbit
Gene
THBD
Purity
Protein A or G purified
Innovator's Reward
Test in a species/application not listed above to receive a full credit towards a future purchase.

Applications/Dilutions

Dilutions
  • Immunohistochemistry-Paraffin 1-2 ug/ml
Application Notes
Immunohistochemistry (Formalin-fixed): 1-2ug/ml for 30 minutes. at RT. Staining of formalin-fixed tissues requires heating tissue sections in 10mM Tris with 1mM EDTA, pH 9.0, for 45 min at 95C followed by cooling at RT for 20 minutes.

Optimal dilution for a specific application should be determined.

Packaging, Storage & Formulations

Storage
Store at -20 to -70C. Avoid freeze-thaw cycles.
Buffer
10mM PBS
Preservative
No Preservative
Concentration
1 mg/ml
Purity
Protein A or G purified

Alternate Names for Thrombomodulin/BDCA-3 Antibody (THBD/8188R) - Azide and BSA Free

  • BDCA3
  • BDCA-3
  • CD141 antigen
  • CD141
  • Fetomodulin
  • THBD
  • THRM
  • Thrombomodulin
  • TM

Background

CD141/Thrombomodulin is an exclusively endothelial cell surface glycoprotein that forms a 1:1 complex with thrombin. Binding of thrombin to this high affinity receptor alters its specificity toward several substrates. The complex activates protein C approximately 1000 times faster than thrombin alone. Activated protein C degrades clotting factors V and VIII; thus, thrombomodulin converts thrombin into a physiologic anticoagulant. Thrombomodulin is also found in the circulatory and urinary systems, the physiologic significance of this is obscure.

Limitations

This product is for research use only and is not approved for use in humans or in clinical diagnosis. Primary Antibodies are guaranteed for 1 year from date of receipt.

Customers Who Viewed This Item Also Viewed...

H00005555-P01
Species: Hu
Applications: ELISA, AP, PA, PAGE, WB
NB600-586
Species: Ca, Fe, Hu, Mu
Applications: Dual ISH-IHC, ICC/IF, IHC, IHC-Fr,  IHC-P
NBP1-58268
Species: Hu, Mu
Applications: IHC,  IHC-P, WB
NBP1-19773
Species: Hu, Mu, Rt
Applications: ELISA, ICC/IF, IHC, IHC-Fr,  IHC-P, WB
DTPA00
Species: Hu
Applications: ELISA
AF1267
Species: Hu
Applications: IP, Neut, WB
AF2245
Species: Hu
Applications: CyTOF-ready, Flow, IHC, WB
NB600-930
Species: Hu, Rt
Applications: ELISA, WB
DTFP10
Species: Hu
Applications: ELISA
AF4885
Species: Mu
Applications: IP, WB
AF6036
Species: Hu
Applications: IHC, WB
BBA16
Species: Hu
Applications: ELISA(Cap), ELISA(Det), ELISA(Sta), Flow, ICC, IHC, IP, WB
NB100-91662
Species: Hu, Mu, Rt
Applications: Flow, ICC/IF, IHC,  IHC-P, Simple Western, WB
M6000B
Species: Mu
Applications: ELISA
DY1707
Species: Hu
Applications: ELISA
2914-HT
Species: Hu
Applications: BA

Publications for Thrombomodulin/BDCA-3 Antibody (NBP3-21031) (0)

There are no publications for Thrombomodulin/BDCA-3 Antibody (NBP3-21031).
By submitting your publication information earn gift cards and discounts for future purchases.

Reviews for Thrombomodulin/BDCA-3 Antibody (NBP3-21031) (0)

There are no reviews for Thrombomodulin/BDCA-3 Antibody (NBP3-21031). By submitting a review you will receive an Amazon e-Gift Card or Novus Product Discount.
  • Review with no image -- $10/€7/£6/$10 CAD/¥70 Yuan/¥1110 Yen
  • Review with an image -- $25/€18/£15/$25 CAD/¥150 Yuan/¥2500 Yen

Product General Protocols

Find general support by application which include: protocols, troubleshooting, illustrated assays, videos and webinars.

FAQs for Thrombomodulin/BDCA-3 Antibody (NBP3-21031) (0)

There are no specific FAQs related to this product. Read our general customer & technical service FAQs.

Secondary Antibodies

 

Isotype Controls

Additional Thrombomodulin/BDCA-3 Products

Research Areas for Thrombomodulin/BDCA-3 Antibody (NBP3-21031)

Find related products by research area.

Blogs on Thrombomodulin/BDCA-3.

Thrombomodulin - A multifunctional protein with roles in inflammation and coagulation
Thrombomodulin, also known as BDCA-3, is a glycosylated transmembrane protein present on the surface of vascular endothelial cells. Thrombomodulin is a high-affinity receptor for thrombin, a key protein in the coagulation cascade. Formation of the...  Read full blog post.

Customers Who Bought This Also Bought

Contact Information

Product PDFs

Calculators

Concentration Calculator

The concentration calculator allows you to quickly calculate the volume, mass or concentration of your vial. Simply enter your mass, volume, or concentration values for your reagent and the calculator will determine the rest.

=
÷

Review this Product

Be the first to review our Thrombomodulin/BDCA-3 Antibody (THBD/8188R) - Azide and BSA Free and receive a gift card or discount.

Bioinformatics

Gene Symbol THBD